El síndrome de Budd-Chiari (SBC) es un grupo heterogéneo de enfermedades que se caracterizan por la obstrucción del flujo venoso de salida del hígado a nivel de las venas suprahepáticas (VSH) o de la vena cava inferior (VCI). Esta obstrucción resulta en un incremento de la presión sinusoidal hepática e hipertensión portal, que de no tratarse pueden conducir a cirrosis hepática1. Las causas más frecuentes del SBC en nuestro medio son las alteraciones hematológicas2, siendo rara la obstrucción completa de la VCI por membrana3,4. La relación entre el SBC y el aumento del riesgo de carcinoma hepatocelular (CHC) no está bien establecido2.
Presentamos el caso de una paciente de 34 años, que fue diagnosticada en 2008, en otro centro de hepatopatía crónica, a raíz del hallazgo intraoperatorio de ascitis durante una cesárea. A partir de 2009 la paciente realizó el seguimiento en nuestro centro, siendo diagnosticada de SBC crónico por trombosis de las VSH de causa idiopática, tras descartar causas hematológicas.
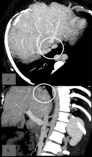
En una ecografía abdominal de control en 2015 se objetivó una imagen compatible con un CHC en el segmento 6 hepático de 2,7cm, confirmada mediante TC abdominal (fig. 1A). Ante una paciente con un CHC y signos de hipertensión portal (trombocitopenia y antecedente de ascitis) se planteó trasplante hepático5. Sin embargo, en la TC abdominal se objetivó que las VSH derecha e izquierda eran permeables, la vena media se encontraba ocluida, y había una estenosis de la parte superior de la VCI con formación de circulación colateral a nivel de la vena ácigos y venas lumbares (fig 1B); siendo pues una causa potencialmente tratable, se decidió realizar una cavografía con intención terapéutica. La cavografía informó de una obstrucción de la VCI por encima de la desembocadura de una vena suprahepática derecha dilatada, con una colateral próxima al punto de oclusión que conectaba con la VCI por encima de la estenosis (fig. 2A). Ante la imposibilidad de progresar la guía a través de la oclusión, se decidió conectar los segmentos supra e infra-estenosis mediante punción directa y colocación de una prótesis cubierta (Wallgraft® de 8mm de diámetro y 30mm de longitud). La cavografía de comprobación mostró un correcto paso de contraste a través de la prótesis con reducción significativa de la circulación colateral hacia el sistema ácigos (fig. 2B). En los controles posteriores al procedimiento, la paciente no presentaba ascitis y normalizó su cifra de plaquetas. Considerando, en este momento, que nos hallamos ante una paciente con una hepatopatía crónica, que en caso de haber desarrollado cirrosis sería clasificada como Child-Pugh A, sin signos de hipertensión portal, se consideró tributaria de una resección hepática.
La paciente se intervino quirúrgicamente en enero de 2016, realizando una resección limitada de la lesión en el segmento 6, cursando con un postoperatorio sin incidencias. La Anatomia patológica informó de la presencia de un CHC de 2,8cm con margen de resección libre, sin factores de mal pronóstico y con parénquima hepático con cirrosis.
El SBC secundario a una obstrucción completa de la VCI por membrana es una enfermedad frecuente en África y Asia, y son varios los autores que han propuesto distinguirlo del SBC clásico por sus diferencias en la fisiopatogenia y evolución6,7. Esta entidad suele presentar un curso crónico y con escasa sintomatología, por lo que el diagnóstico habitualmente se realiza en estadios avanzados de la enfermedad3,4,6, con una incidencia de hasta el 70% de cirrosis hepática6. La revascularización percutánea es el tratamiento de elección8, y se basa en la realización de una cavografía, punción directa de la membrana para superar la estenosis de la VCI y la colocación de un stent7,9. También está descrita la cirugía con colocación de un injerto entre la VCI pre-estenosis y la aurícula derecha3, para los casos que no pueden resolverse percutáneamente. Los resultados de la colocación de un stent en la obstrucción de la VCI son excelentes; Zhang et al.10, describen el éxito inicial del tratamiento en un 94% de pacientes, con mejoría clínica en todos ellos, y de estos, en el 96,7% los stents seguían permeables al finalizar el seguimiento.
En un reciente revisión de Ren et al.4, se describe una prevalencia del CHC en los pacientes con SBC del 17,6%, y llega hasta el 26,5% en los pacientes con obstrucción de la VCI. El aumento del riesgo de desarrollar un CHC en pacientes con obstrucción de la VCI se ha atribuido a que estos presentan un proceso de larga evolución y con escasa sintomatología, que permite al hígado lentamente desarrollar fibrosis y, finalmente, cirrosis6,7. Por el contrario, en occidente, donde la mayoría de casos de Budd-Chiari son secundarios a alteraciones hematológicas, y la evolución de la enfermedad tiende a ser aguda o sub-aguda, la asociación entre el SBC y cirrosis hepática o CHC es infrecuente2.
En conclusión, la obstrucción de la VCI por membranas es una enfermedad con baja prevalencia en occidente, que dada su cronicidad, con frecuencia es causa de cirrosis. El caso descrito muestra la posibilidad de tratamiento de la obstrucción, lo cual puede modificar la situación clínica e influir en el tratamiento de un eventual CHC.






