Sr. Director:
Presentamos el caso de una mujer de 59 años con antecedentes de hipertensión arterial y artritis reumatoide. Refería dolor abdominal continuo, de predominio en el hipocondrio izquierdo, irradiado a espalda, de 15 h de evolución y comienzo brusco, con rectorragia autolimitada. La paciente refería pérdida de 4 kg de peso en los últimos meses.
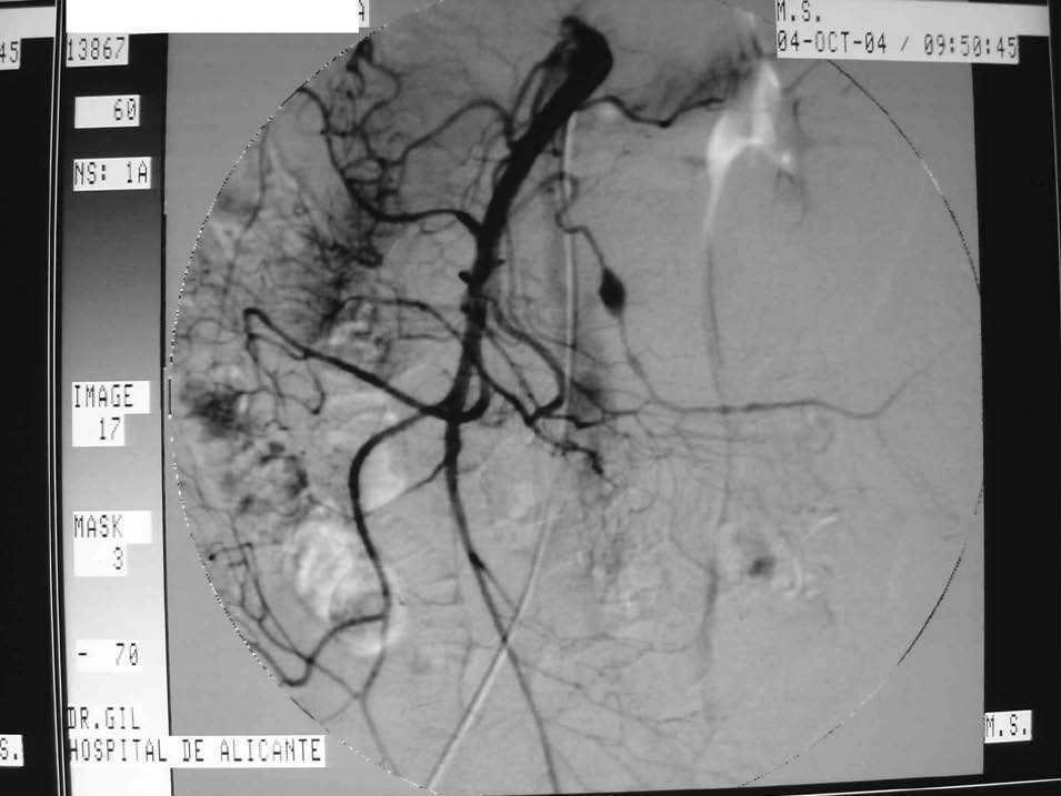
La analítica puso de manifiesto una leucocitosis (24,7 * 103/ul) y una anemia (hemoglobina 8,9 g/dl y hematócrito del 29%). Se le realizó un tomografía computarizada abdominopélvica en la que se describió una doble lesión quística pediculada dependiente de curvatura mayor gástrica, de 4,8 * 2,9 * 7,8 cm la lesión superior y 3,2 * 2 * 4,5 cm la lesión inferior, sugestiva de lesión neoplásica mesentérica (probable linfoma) o hematoma organizado (fig. 1). Se realizó una punción-aspiración con aguja fina (PAAF) de la lesión obteniéndose material sanguinolento. Se realizó una colonoscopia, y se observó una colitis isquémica segmentaria de colon. La resonancia magnética de abdomen y pelvis mostró una tumoración en la región epigástrica que ocupaba la transcavidad de los epiplones. Se realizó una arteriografía visceral selectiva, observándose una dilatación aneurismática de una rama de la arteria mesentérica superior que presentaba distalmente un calibre irregular con segmentos también dilatados (fig. 2).
Fig. 1. TC abdominal. Hematoma organizado.
Fig. 2. Angiografía. Aneurisma de rama de arteria mesentérica superior.
La gastroscopia fue normal. Ante la impresión de esta lesión benigna y el diagnóstico de aneurisma de rama de arteria mesentérica superior se decidió realizar una intervención quirúrgica, en la que se practicó la ligadura y la sección del aneurisma sin resección intestinal debido a la colateralidad presente, así como la resección del quiste de duplicación gástrica. La anatomía patológica mostró un aneurisma de etiología desconocida y la tumoración gástrica un hematoma organizado. El postoperatorio cursó sin complicaciones y actualmente la paciente se encuentra asintomática.
Los aneurismas de la arteria mesentérica superior son raros y representan el 5,5% de los aneurismas de arterias viscerales y < 0,5% de los aneurismas intraabdominales1. La mayoría de los casos son diagnosticados después de la aparición de complicaciones, dada la escasez de síntomas producidos; sin embargo, su diagnóstico es cada vez más frecuente debido a la multitud de pruebas diagnósticas realizadas en nuestro medio2. En cuanto al origen, la principal etiología es debida a la arteriosclerosis, influyendo a veces factores hemodinámicos, según demuestran algunos casos asociados a estenosis de otras ramas viscerales.
El sexo masculino y los aneurismas no calcificados parecen asociarse con un mayor riesgo de rotura, mientras que la terapia con bloqueadores beta podría proteger frente a su rotura.
La intervención es razonable en todos los pacientes con riesgo operatorio bajo, considerando las altas tasas de roturas publicadas3, minimizando las tasas de mortalidad en torno al 50%2 y la prevalencia de infarto intestinal4. Hay variedades técnicas para el tratamiento, desde intravasculares hasta el tradicional bypass autólogo o con prótesis.






