Introducción
La amiloidosis es una enfermedad sistémica que se caracteriza por el depósito anormal de amiloide en distintas partes del organismo. La afectación del sistema respiratorio no es frecuente y menos su presentación en forma nodular intraparenquimatosa. Es, por tanto, uno de los diagnósticos diferenciales del nódulo pulmonar solitario, y su etiología se puede establecer de modo definitivo al descubrir en el estudio histológico con tinción de rojo-Congo la típica birrefringencia verde del material amiloide. Debido a la captación positiva en la tomografía por emisión de positrones (PET) de algunos nódulos amiloideos, el diagnóstico diferencial con el cáncer broncopulmonar resulta más difícil. Presentamos aquí el caso de un varón de 72 años con un nódulo pulmonar diagnosticado radiológicamente de forma casual, en el que el estudio anatomopatológico posterior a su exéresis quirúrgica confirmó la presencia en el parénquima de una amiloidosis nodular.
Caso clínico
Varón de 72 años, fumador y bebedor ocasional, con antecedentes personales de obesidad, hipertensión arterial, hiperuricemia, diabetes mellitus no dependiente de la insulina y enfermedad pulmonar obstructiva crónica (EPOC), con frecuentes reagudizaciones infecciosas que, en un control radiográfico, destaca la aparición de un nódulo pulmonar en el lóbulo superior del pulmón izquierdo de unos 3 cm de diámetro. El electrocardiograma y la analítica estándar resultaron normales.
Los valores gasométricos arteriales fueron: pH de 7,39, PaCO2: 49,2, PaO2: 65, HCO3: 28,9, saturación de O2: 93,4%, y en las pruebas de función respiratoria se demostró una alteración ventilatoria obstructiva de grado moderado con una capacidad vital forzada de 2,48 (80%), un volumen espiratorio máximo en el primer segundo de 1,56 (66%) y un índice de Tiffenau del 63%.
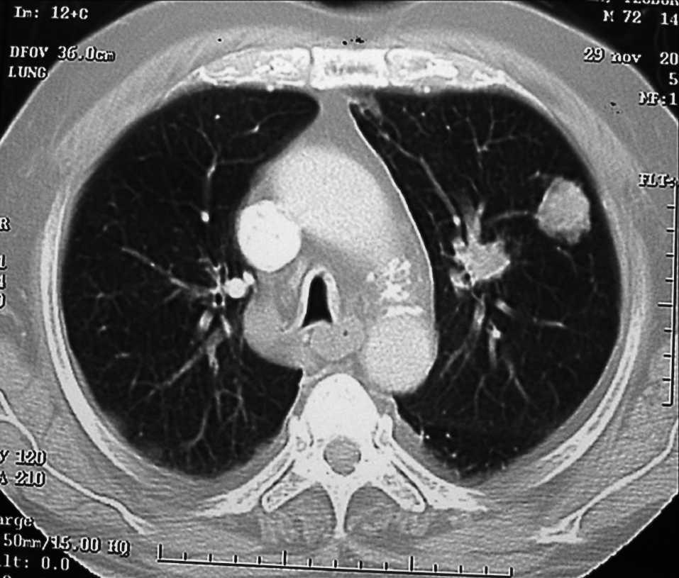
Se le practicó una tomografía computarizada (TC) con contraste intravenoso en la que se descubrieron pequeñas adenopatías menores de 1 cm en la región retrocava y la ventana aortopulmonar, y en el lóbulo superior izquierdo (LSI), un nódulo de 3 cm de contornos abollonados y espiculados que no contactaba con la pleura visceral. En la base del pulmón derecho había un nódulo menor de 1 cm sin derrame pleural acompañante y un hemiabdomen superior normal (fig. 1).
Fig. 1. Corte axial de tomografía computarizada con nódulo pulmonar en lóbulo superior del pulmón izquierdo.
En la broncoscopia realizada se observaron signos de bronquitis crónica sin tumor intraluminal, con un aspirado y biopsia bronquial sin células neoplásicas. Se le realizó una PET con 18 fluorodesoxiglucosa (18-FDG), en la que destacaba un foco de hipercaptación único coincidente con la lesión conocida en el LSI (fig. 2).
Fig. 2. Tomografía por emisión de positrones con 18-FDG que muestra nódulo pulmonar hipercaptante en lóbulo superior izquierdo.
Ante la presencia de un nódulo pulmonar distal con características de malignidad en la TC y captación positiva en la PET, sin poder determinar con fiabilidad histológicamente su etiología, se procedió a la intervención quirúrgica mediante toracotomía limitada con biopsia excisional de 3 nódulos en LSI y el lóbulo inferior del pulmón izquierdo. La biopsia peroperatoria informó de zona hialinizada focalmente calcificada sin células tumorales. En el estudio anatomopatológico diferido de las piezas resecadas se identificó parénquima pulmonar con amiloidosis nodular focalmente calcificado con infiltrado inflamatorio crónico de células plasmáticas y células gigantes con material amiloide. El resto del parénquima pulmonar presentaba congestión vascular. En la inmunohistoquímica, las células plasmáticas tenían policlonalidad de cadenas ligeras kappa y lambda.
Durante el seguimiento del paciente no se mostró progresión clínica ni radiológica de la enfermedad. Sin embargo, a los 2 años de la intervención, el paciente presentó un episodio de reagudización de su EPOC, broncoaspiración con una insuficiencia respiratoria grave y, a pesar de las maniobras de resucitación avanzadas que se le practicaron, falleció.
Discusión
La amiloidosis es una enfermedad sistémica que consiste en el depósito de material amiloide en distintas regiones del organismo. En la amiloidosis primaria o idiopática, una población monoclonal de células plasmáticas fabrica cantidades elevadas de inmunoglobulinas que se depositan en forma de acúmulos extracelulares. La amiloidosis secundaria suele producirse tras procesos inflamatorios e infecciosos crónicos, hemodiálisis, asociada a enfermedades linfoproliferativas y reumatológicas, etc. La amiloidosis se puede clasificar a partir del material depositado, siendo éste del tipo AL en la amiloidosis primaria, AA en la secundaria y β2 microglobulina en la asociada a hemodiálisis1.
Los órganos que pueden estar involucrados en esta enfermedad son múltiples, por lo que hay una gran variabilidad en cuanto a la presentación clínica y afectación funcional. El riñón es el órgano más frecuentemente dañado, seguido de hígado, tracto gastrointestinal, corazón, sistema neuromuscular, piel, etc.1
La afectación pulmonar en la amiloidosis es rara, y generalmente se inicia en la quinta o sexta décadas de la vida como hallazgo radiológico ocasional2. Suele presentarse como una enfermedad intersticial de localización traqueobronquial debido al depósito difuso de amiloide en los tabiques alveolares y muestra un patrón reticular en la radiología. En raras ocasiones, aparecen lesiones intraparenquimatosas en forma nodular3, como es el caso que presentamos. Las manifestaciones clínicas habituales son disnea, tos, hemoptisis y, en ocasiones, se acompaña de una afección obstructiva.
Ante un nódulo pulmonar intraparenquimatoso, se plantea un amplio espectro de posibilidades diagnósticas, por lo que resulta necesario consultar datos clínicos, epidemiológicos y otras pruebas complementarias para establecer una correcta aproximación etiológica. La TC con contraste intravenoso es una técnica ideal para establecer las características y la localización del nódulo pulmonar. La resonancia magnética presenta una sensibilidad y una especificidad semejantes, y tan sólo se reserva para casos particulares4. La broncoscopia tiene escasa rentabilidad en el diagnóstico de nódulos pulmonares localizados periféricamente, aunque puede resultar de utilidad en las lesiones centrales y ganglionares mediastínicas. En nuestro paciente, la TC confirmó, localizó y definió el nódulo, además de identificar adenopatías en la región retrocava, la ventana aortopulmonar y otra lesión menor de 1 cm en la base del pulmón derecho, mientras que la broncoscopia que se le practicó no obtuvo resultados aclaradores.
La PET con 18-FDG es una técnica con alta sensibilidad para el diagnóstico y el seguimiento del cáncer pulmonar, así como para detectar una posible afectación ganglionar y enfermedad metastásica. Sin embargo, hay falsos positivos, entre los que podemos encontrar linfomas, enfermedades infecciosas e inflamatorias como la tuberculosis, histoplasmosis, nódulos reumatoideos, amiloidosis, etc.5,6. Cuando el resultado de la PET es negativo, se recomienda el seguimiento y la reevaluación periódicos4.
La punción transtorácica y transbronquial son técnicas empleadas en el diagnóstico diferencial del nódulo pulmonar con una rentabilidad diagnóstica variable, según distintas series. Los riesgos asociados a estas técnicas son: neumotórax (25-30%), hemoptisis o hemorragia (10%), embolia aérea (0,1%) y siembra tumoral (0,05%)4. En nuestro paciente la localización de la lesión no visualizada en la broncoscopia y la posible lesión pulmonar al acceder por vía transtorácica hicieron que estas técnicas no se consideraran indicadas.
El diagnóstico específico de la amiloidosis pulmonar es difícil, y, en ocasiones, es necesario realizar una biopsia pulmonar7 para la demostración histológica de los depósitos de material amiloide, que se visualizan con birrefringencia verde al teñirlos con rojo-Congo en el microscopio de luz polarizada. A diferencia del caso que presentamos, la calcificación y la osificación son hallazgos infrecuentes en las muestras pulmonares.
El tratamiento más empleado para este tipo de enfermedad en su forma sistémica consiste en la administración de corticoides, en ocasiones acompañados de otros inmunodepresores como melfalán, colchicina, etc., además del tratamiento sintomático y funcional, dependiendo de la afectación y la localización de la enfermedad. Recientemente se han publicado casos en los que el tratamiento con radioterapia externa8 o con dimetil sulfóxido parece ser efectivo en el caso de afectación pulmonar9. Como sucede en el caso presentado, la resección quirúrgica es la opción curativa en la forma nodular pulmonar de esta enfermedad. Aunque el pronóstico es benigno, debe considerarse la resección no sólo ante la imposibilidad de descartar un proceso neoplásico7, sino también por el hecho de que el depósito de amiloide puede localizarse en el interior de una neoplasia pulmonar10.
Por tanto, la amiloidosis nodular pulmonar, a pesar de ser una presentación clínica rara de esta enfermedad, debe considerarse como uno de los múltiples diagnósticos diferenciales del nódulo pulmonar solitario, en el que la positividad de la PET puede condicionar la realización de una biopsia quirúrgica para establecer una etiología definitiva.
Correspondencia: Dr. M. Bruna Esteban.
Servicio de Cirugía General y Aparato Digestivo. Consorcio Hospital General Universitario de Valencia.
Lepanto 2, bloque 3, pta. 3. 46137 Playa de La Pobla de Farnals. Valencia. España.
Correo electrónico: drbruna@comv.es






