Nos parece interesante incluir un caso nuevo de absceso hepático amebiano «autóctono», tanto por lo inusual en nuestro medio como por los pocos casos de tratamiento quirúrgico comunicados1,2, que sin ser el tratamiento de elección3 nos ha llevado por las características específicas del caso a la necesidad de intervención quirúrgica4.
La amebiasis es una parasitosis intestinal producida por el protozoo Entamoeba histolytica, endémica en gran parte de Asia, Centro y Sudamérica, y África. En nuestro medio, la mayor parte de los casos se dan en la población inmigrante, axial y en ciudadanos nativos que viajan a zonas endémicas, y afecta principalmente a varones y a adultos jóvenes. El hombre es el principal reservorio y el mecanismo de transmisión más frecuente es el fecooral. Puede estar presente en el intestino y permanecer asintomático (90% de los casos), o ser altamente virulento e invasivo según el grado de inmunocompetencia del paciente, con afectación local (colitis amebiana) o afectación extraintestinal; la más frecuente es la afectación hepática (lóbulo hepático derecho)5 por vía portal, y produce trombosis venosa con necrosis que constituirán la cavidad del absceso.
Nuestro caso se trata de un varón de 32 años residente en la provincia de Orense que no refiere viajes al extranjero ni contactos con personas de áreas endémicas.
No presenta antecedentes de interés ni enfermedades concomitantes.
Acude al Servicio de Urgencias con cuadro de malestar general, fiebre elevada, molestias abdominales, vómitos y deterioro del estado general de 4 días de evolución. No refiere ictericia ni alteraciones del hábito intestinal. En el ingreso presenta una temperatura de 38,8°C, presión arterial de 110/60 de mmHg y auscultación cardiopulmonar normal; destacan en la exploración abdominal distensión, dolor difuso con exacerbación a la palpación en el hipocondrio derecho, signo de Murphy positivo y efecto masa en esa zona sin signos de peritonitis generalizada.
Como pruebas complementarias, en el ingreso se realiza una analítica en la que destaca recuento de leucocitos de 22,8×109/l, con un 84,8% de neutrófilos, sin eosinofilia ni anemia. La bioquímica sanguínea es normal, salvo por una leve elevación de la aminotransferasa glutamicoxalacética, la aminotransferasa glutámico pirúvica y la gammaglutamil transpeptidasa.
En ecografía abdominal se encuentra una masa hepática en el segmento medial de lóbulo hepático izquierdo (LHI), en contacto con la parte medial de la vesícula biliar, de 100mm de diámetro mayor, bien delimitado, homogéneo e hipoecoico. Como posibilidades diagnósticas se ofrecen absceso, tumor primario o tumor metastásico.
Ingresa en Servicio de Digestivo y se le administra tratamiento con imipenen.
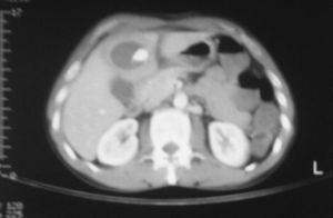
A las pocas horas del ingreso se realiza una tomografía computarizada (TC) abdominal con contraste intravenoso (i.v.) y se evidencia una colección abscesificada en el LHI de 110×90mm con un ribete que no realza con contraste y con impronta en el hilio hepático, lo que ocasiona una moderada dilatación de la vía biliar intrahepática. Se coloca un drenaje percutáneo y se remiten muestras para microbiología y citología (fig. 1).
Asimismo, se solicitan hemocultivos, coprocultivos y pruebas serológicas protocolizadas, incluido E. histolytica.
Tras 24h el paciente continúa con fiebre, leucocitosis y tendencia a la hipotensión; el drenaje por catéter percutáneo es poco productivo y viscoso. Se consulta al Servicio de Cirugía y, dado el estado séptico del paciente, se decide realizar una intervención quirúrgica urgente. Mediante el abordaje subcostal derecho se evidencia una protrusión del absceso a tensión en el LHI. Se toman muestras para cultivo del líquido libre intraabdominal (aspecto seroso) y del contenido del absceso; se procede a su drenaje tras un aislamiento meticuloso de éste, de donde se extraen unos 400cm3 de material purulento oscuro. Asimismo, se envía una muestra de la cápsula del absceso a Anatomía Patológica. Finalmente se colocan 2 drenajes, uno en la cavidad de absceso y otro subhepático.
En el postoperatorio inmediato el enfermo mejora en su estado general, está afebril, con buenas constantes y drenajes productivos.
Los resultados serológicos dan positivo para E. hystolitica con técnicas de inmunofluorescencia indirecta: inmunoglobulina IgG de 1/5.120, IgM de 1/160; el resto de las determinaciones serológicas para hidatidosis, Brucella, Rickettsia, Coxiella y Salmonella son negativas, así como los hemocultivos y coprocultivos. El cultivo del contenido quístico es estéril y el estudio anatomopatológico de la pared del quiste muestra fibrina con abundantes polimorfonucleares, sin granulomas ni parásitos.
Una vez diagnosticado el enfermo de absceso hepático amebiano, se le administra tratamiento antibiótico con metronidazol (750mg) i.v. cada 8h (tratamiento primario de elección) y paranomicina (500mg) por vía oral cada 12h. La duración del tratamiento es de un total de 3 semanas.
La evolución del enfermo es favorable; se realiza en el postoperatorio una colangioresonancia magnética para valoración de la vía biliar sin detectarse alteraciones
En sucesivas TC de control se aprecia la disminución progresiva del absceso (fig. 2). Los drenajes se retiran sucesivamente a los 7 y 14 días.
Cuando se da el alta hospitalaria al paciente, está asintomático.
Tras un año de seguimiento por parte de Medicina Interna y Cirugía en consultas externas, al paciente se le da el alta.
Ante un absceso hepático en un paciente autóctono debemos tener en cuenta la amebiasis, todavía infrecuente en nuestro medio, pero con número de casos en aumento. En España, el número de casos notificados según fuentes del Boletín Epidemiológico del Centro Nacional de Epidemiología entre los años 1999 y 2007 fue de 165, número menor al real si consideramos que la amebiasis no se encuentra dentro de las enfermedades de declaración obligatoria. Aunque la intervención quirúrgica no es el tratamiento de elección, en nuestro caso, dado el estado séptico del paciente tras el tratamiento antibiótico de amplio espectro y el drenaje percutáneo6 junto con el gran tamaño del absceso y su localización en el LHI con el consiguiente riesgo de rotura a pericardio7,8, consideramos indicado el tratamiento quirúrgico y el establecimiento posterior, una vez identificado el agente, del tratamiento específico9.






