El estudio diagnóstico de una masa cervical varía en los pacientes pediátricos respecto a los adultos, sobre todo por las diferencias en la etiología. En el caso de los niños, generalmente corresponden a procesos inflamatorios (infección vírica de vías respiratorias altas, adenitis bacteriana, escrófula o tuberculosis, enfermedad de arañazo de gato) o a anomalías congénitas (linfangiomas, quistes dermoides, etc.). Menos del 10% de las masas cervicales pediátricas persistentes que se extirpan son malignas, sin embargo, pueden llegar al 80% en los adultos. La localización exacta orienta en el diagnóstico: las masas de línea media son quistes de conducto tirogloso, nódulos tiroideos, lipomas, tumores dermoides, etc., mientras que las masas laterales son ganglios benignos o malignos aumentados de tamaño, glomus carotídeo, linfangiomas, quistes branquiales o sebáceos, etc.
El linfangioma es una enfermedad rara, benigna, que comprende afectaciones congénitas y adquiridas de los vasos linfáticos. Se piensa que representan segmentos aislados y secuestrados del sistema linfático que mantienen la capacidad de producir linfa; a medida que aumenta el volumen de ésta, se produce el crecimiento del tumor. Una gran parte de los linfangiomas está presente en el momento del nacimiento y se llega a identificar hasta un 95% dentro de los 2 primeros años de vida.
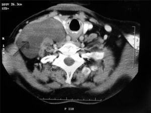
Presentamos el caso de una mujer de 77 años, sin alergias medicamentosas y con antecedentes de hipertensión arterial e intervención de prolapso uterino. Acude a nuestras consultas porque nota desde hace 6 meses un bulto indoloro en el cuello, de crecimiento lento pero constante. No cuenta disfonía, disnea ni disfagia. En la exploración se aprecia una tumoración en la región posterolateral del cuello, de unos 12 cm de diámetro, blanda, de compresión fácil, indolora y no pulsátil. La piel que lo recubre no muestra alteraciones y las cifras analíticas son normales, con marcadores negativos. Se realiza tomografía computarizada (TC) que informa de «tumor cervical multiloculado con contenido líquido, homogéneo, sin infiltrar estructuras vasculares ni musculares». El resultado de la punción aspirativa con aguja fina (PAAF) es compatible con linfangioma. Se intervino a la paciente bajo anestesia general y se realizó la exéresis total de la tumoración por cervicotomía externa, siguiendo el borde posterior del esternocleidomastoideo. El postoperatorio transcurrió sin incidencias y se le dio de alta al sexto día. El diagnóstico final anatomopatológico fue de linfangioma quístico.
La localización más frecuente de los linfangiomas es en el tejido subcutáneo de cabeza y cuello; menos veces se encuentran en la axila y la cavidad abdominal, también se han descrito en mediastino y cavidad torácica, retroperitoneo y extremidades1. Hay 3 subtipos histológicos: a) capilar (compuesto por finas paredes capilares); b) cavernoso (con espacios linfáticos dilatados y adventicia), y c) quístico o higroma quístico (compuesto de quistes delimitados por una capa de endotelio). A veces, varios de estos tipos coexisten en una misma lesión. El cavernoso es más frecuente donde predomina el músculo, por ejemplo en el suelo de la boca, mientras que el quístico se presenta en territorios de tejido laxo donde puede expandirse con facilidad. Según el tamaño de los espacios se clasifican en macroquísticos, microquísticos o mixtos.
Describimos este caso de linfangioma quístico cervical (LQC) por la rareza que implica su presentación en la edad adulta. Se presenta en el triángulo cervical posterior y, si es de aparición brusca, se relaciona frecuentemente con un antecedente traumático o con procesos infecciosos de las vías respiratorias altas. En nuestra paciente no hubo antecedentes, por lo que lo consideramos de etiología desconocida. La sintomatología que presentó fue la habitual del LQC del adulto: una masa de crecimiento progresivo, fluctuante, multilocular, blanda, compresible e indolora. Son raras la disfagia o la obstrucción de la vía aérea.
Para el diagnóstico por imagen se utiliza la TC, que determina a la vez la extensión de la lesión y su relación con las estructuras circundantes (fig. 1); la resonancia magnética es menos usada y tiene gran rendimiento en los linfangiomas difusos2. La PAAF presenta alta sensibilidad para el diagnóstico, y en el caso descrito su resultado coincidió con el informe anatomopatológico definitivo. Tiene una exactitud del 85% en el estudio de masas cervicales malignas y hasta del 95% en masas cervicales benignas3. El diagnóstico de certeza nos lo da finalmente la histología de la pieza.
Se considera que la primera opción terapeútica es la escisión quirúrgica, que debe ser completa para evitar recidivas. Esto es difícil cuando los linfangiomas infiltran estructuras importantes vasculares o nerviosas, además de que las complicaciones y secuelas tras estas cirugías son altas4,5. Pueden ser necesarias varias intervenciones quirúrgicas para obtener resultados satisfactorios. Como tratamiento alternativo se ha utilizado la inyección intralesional de sustancias esclerosantes: sellantes de fibrina, triamcinolona, OK-432 (picibanil) y bleomicina6–8. La tercera opción es una técnica mixta: uso de agentes esclerosantes para conseguir una remisión parcial del linfangioma que facilite la cirugía posterior, o bien se inyectan esas sustancias si se produce recidiva4.





