La hidatidosis se trata de una enfermedad endémica originada por el parásito Echinococcus granulosus. Generalmente, se localiza en el hígado, y en muchos casos es asintomática durante largos períodos, hasta que el crecimiento y la expansión de la lesión quística originan la clínica, por lo general, de dolor abdominal crónico. La rotura del quiste hidatídico hepático producirá un cuadro agudo, habitualmente en concomitancia con un episodio de traumatismo o factores que aumenten la presión intraabdominal, como la tos y el estreñimiento. La rotura espontánea del quiste se trata de una complicación poco frecuente1, y todavía más inusual es su rotura hacia el peritoneo y no hacia el árbol biliar. A continuación exponemos un caso ilustrativo de este tipo de complicación que fue tratado recientemente en nuestro hospital.
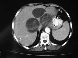
Mujer de 78 años con antecedentes de hidatidosis hepática múltiple, intervenida en por este motivo en dos ocasiones. Acude a urgencias por un cuadro agudo de dolor abdominal y náuseas de 4h de evolución. A la exploración presentaba importante afectación del estado general, con dolor difuso a la palpación abdominal y signos de peritonismo. Apirética y con constantes vitales mantenidas. En ningún momento presentó signos o síntomas compatibles con reacción anafiláctica. En las pruebas complementarias destacaba una ligera leucocitosis con fórmula y recuento celular normales. Los parámetros bioquímicos mostraron un aumento de GGT; las demás enzimas hepáticas eran normales. Se practicó ecografía y tomografía computarizada abdominal (fig. 1), que confirmaron 4 quiste hepáticos, 2 en el lóbulo hepático derecho, de 8,5 y 8cm, respectivamente, y otros 2 en el lóbulo hepático izquierdo, de 6,6 y 4,2cm, con evidencia de líquido libre intraperitoneal de 2cm de espesor. Con el diagnóstico de abdomen agudo secundario a rotura espontánea de quiste hidatídico, se realizó laparotomía de urgencia. En el acto quirúrgico se confirmó la peritonitis generalizada secundaria a la rotura de uno de los quistes, por lo que se realizó su quistectomía parcial junto con lavado peritoneal. Los estudios microbiológicos del líquido peritoneal confirmaron escólex de Echinococcus por lo que se inició tratamiento con albendazol oral durante el postoperatorio. La evolución de la paciente fue tórpida, con múltiples complicaciones durante su estancia en reanimación: sepsis de origen abdominal, síndrome de distress respiratorio del adulto, por lo que precisó soporte ventilatorio de manera prolongada, e infección de la herida quirúrgica. Al alta completó 3 ciclos de tratamiento con albendazol. En las técnicas de imagen practicadas de control a los 3 meses se observó la persistencia de las lesiones quísticas.
La hidatidosis es una enfermedad endémica de zonas del Mediterráneo, América del Sur y Cercano Oriente. La clínica más frecuente es de dolor abdominal crónico, náuseas, vómitos e ictericia. Una de las mayores complicaciones es la perforación quística, con una incidencia, según las series, del 15–40% de los casos; es mucho más infrecuente (2–7%) su rotura hacia la cavidad peritoneal2. La rotura generalmente se origina tras un traumatismo, aunque la perforación espontánea es posible y no siempre en relación con un factor precipitante, como en nuestro caso. La clínica de la perforación suele ser abdominal, con reacciones anafilácticas en menos del 1% de los casos3. Aunque la presentación como abdomen agudo es rara, debe formar parte del diagnóstico diferencial de dolor abdominal en zonas endémicas como nuestro país. El tratamiento de la perforación quística debe ser siempre quirúrgico. Los fármacos antihelmínticos, como el albendazol a dosis de 10mg/kg, administrados durante al menos 2 o 3 meses, suelen combinarse con el tratamiento quirúrgico para evitar recidivas4. La mortalidad que conlleva la perforación quística es mayor que en los casos sin perforación. Los abscesos intraabdominales, la infección piogénica de la cavidad quística, la fístula biliar y la infección de la herida quirúrgica son las complicaciones más frecuentes5.





