El trombo en la aurícula derecha con obstrucción de la vena cava superior como manifestación inicial de un carcinoma metastásico con origen primario desconocido no es un evento frecuente. Las guías basadas en la evidencia para el manejo clínico de los pacientes con trombo son todavía limitadas. Presentamos una paciente de 82años con antecedente de EPOC, exfumadora y con diabetes mellitus tipo2 que ingresa por síncope frecuente y disnea limitante. El estudio ecocardiográfico evidencia una gran masa en la aurícula derecha en la desembocadura de la vena cava superior. Se realizó la resección quirúrgica de la misma, que resultó ser un trombo, y se resecó además una adenopatía en el mediastino anterior, que resultó positiva para carcinoma metastásico indiferenciado de células grandes. No se encontró el primario en los estudios realizados. La paciente se mantiene estable con disnea ligera cuatro meses después de la cirugía. No obstante, el pronóstico sobre una paciente con dicho diagnóstico es pobre. En la operación de un trombo intracardiaco obstructivo se debe sospechar la posibilidad de un síndrome paraneoplásico adyacente, por lo que se debe tener en cuenta en la práctica clínica y hacer un buen acopio de muestras en el acto quirúrgico para el estudio anatomopatológico. La cirugía, a pesar de ser riesgosa, es una opción en pacientes con una masa intracardiaca con compromiso hemodinámico.
Right atrial thrombus with superior vena cava obstruction as the initial manifestation of metastatic carcinoma of unknown primary origin is not a frequent event. Evidence-based guidelines for the clinical management of patients with thrombus are still limited. We present an 82-year-old patient with a history of COPD, diabetes mellitus and an ex-smoker, who was admitted due to frequent syncope and limiting dyspnea. The echocardiographic study revealed a large mass in the right atrium at the entrance of the superior vena cava. Surgical resection of the same was performed, which turned out to be a thrombus, a lymph node in the anterior mediastinum was also resected, which was positive for metastatic undifferentiated large cell carcinoma. The primary lesion was not found in the studies carried out. The patient remains stable clinically with mild dyspnea four months after surgery. However, the prognosis for a patient with such a diagnosis is poor. In the operation of an obstructive intracardiac thrombus, the possibility of an adjacent paraneoplastic syndrome should be suspected, so it should be taken into account in clinical practice and a good collection of samples should be made in the surgical act for the anatomopathological study. Surgery, despite being risky, is an option in patients with an intracardiac mass with hemodynamic compromise
Ante la imagen de una masa en la aurícula derecha resalta un arsenal de posibles diagnósticos. La patología más frecuente es el trombo debido a la conexión con el sistema venoso profundo, aunque el mixoma auricular, la metástasis y otros tumores raros también han sido reportados1.
El trombo en la aurícula derecha con obstrucción de la vena cava superior como manifestación inicial de un carcinoma metastásico no es un evento frecuente. En este artículo describimos la evolución clínica y el resultado quirúrgico de una paciente de 82años que ingresa por síncope frecuente y disnea limitante. En la revisión realizada por los autores hay pocos artículos publicados sobre este tema.
Caso clínicoPaciente mujer de 82años con antecedentes de diabetes mellitus tipo2, exfumadora, EPOC, con angina estable con tratamiento regular y enfermedad renal crónica (quiste renal). Hace dos años comenzó con palpitaciones a los esfuerzos moderados y síncope ocasional. El mismo cuadro empeoró en el transcurso del tiempo e ingresa por disnea limitante y síncope al menor esfuerzo, clase funcionalIV. Niega dolor precordial, pérdida de peso o anorexia. Al examen físico encontramos piel y mucosas normocoloreadas, cabeza, cuello y mamas normales para su edad, sin adenopatías, frecuencia respiratoria 19, murmullo vesicular audible, estertores pulmonares crepitantes finos aislados, saturación de O2 96%, frecuencia cardiaca de 88 latidos por minuto, ruidos cardiacos de buen tono e intensidad, extrasístoles aisladas, primer y segundo ruidos cardiacos presentes y normales, sin varices en ambos miembros inferiores ni edema, y presión arterial de 130/70mmHg.
Estudios realizados: hemograma y constantes corpusculares en valores normales, eritrosedimentación 65mm/h (valor de referencia, 4-20mm/h) aumentada, valores hemoquímicos y coagulograma en rango de normalidad. Estudios serológicos, hemocultivos y urocultivos negativos. Electrocardiograma con bloqueo completo de rama derecha.
En la ecografía transesofágica (ETE; fig. 1) se aprecia una masa multilobulada que ocupa dos tercios de la aurícula derecha, de 48×36mm, con un área de 17cm2, con base ancha, adosada al septum interauricular hacia el fondo de la aurícula derecha. Esta masa obstruye la desembocadura de la vena cava superior en casi su totalidad, y dicha vena se observa dilatada, con 25mm de diámetro. La ecografía transtorácica muestra una masa en la aurícula derecha (fig. 1), cavidades cardiacas con geometría y diámetros normales, función sistólica y diastólica conservada en reposo, fracción de eyección del ventrículo izquierdo del 68%. Válvulas cardíacas de morfología normal, insuficiencia tricúspide ligera, grosor parietal y pericardio normales, sin derrame pericárdico.
Ecografía abdominal: no se encontraron alteraciones hepáticas ni en el resto de los órganos intraabdominales, ni adenopatías, ni tumoración visible. En la ecografía transvaginal no se observan signos de infiltración tumoral. En la radiografía se observa una ligera cardiomegalia, sin evidencia de lesiones nodulares o de consolidaciones pleuropulmonares, ni de lesiones líticas.
En la ecografía Doppler periférica arterial y venosa no se observaron signos de trombosis venosa profunda.
La coronariografía no presentó lesiones coronarias angiográficamente visibles.
La tomografía computarizada se realizó en el postoperatorio, dado que no estaba disponible previo a la cirugía dada la necesidad urgente de intervención. Se observó un patrón enfisematoso en ambos campos pulmonares, con múltiples y pequeñas bullas centrolobulillares; no se observaron nódulos pulmonares ni adenopatías. Alteración de la grasa mediastinal, en posible relación con un proceso residual por cirugía. Sin otras alteraciones mediastinales.
Una vez definida la indicación quirúrgica y posterior a la esternotomía media, se constató adenopatía mediastinal, que fue resecada junto a la pleura derecha adyacente y la grasa mediastinal periganglionar, enviándose la muestra para estudio anatomopatológico. Al realizar la pericardiotomía se constató la vena cava superior muy dilatada, por lo que se decidió entrar en circulación extracorpórea con canulación arterial aórtica y venosa bicaval, descenso de temperatura a 34°C, pinzamiento aórtico y anteroplejía. Auriculotomía derecha oblicua paralela al surco auriculoventricular. Se confirmó la masa de base ancha, 4,5×3,6cm, de aspecto ovulado, superficie lisa, color heterogéneo (pardo claro, amarillo naranja), consistencia fibroelástica, adosada al techo, a la pared posterior de la aurícula derecha y a parte del tabique interauricular, que obstruía la desembocadura de la vena cava superior en casi su totalidad (fig. 2). Se resecó la masa en su totalidad y se electrocauterizó la base de implantación de la misma. La biopsia por congelación informó trombo intracardiaco, adenopatía mediastinal positiva de malignidad. Procedimiento de decanulación y cierre de forma convencional. Pinzamiento aórtico 27min, tiempo de circulación extracorpórea 40min, tiempo de intubación 6horas.
Presentó neumotórax derecho al segundo día del postoperatorio, resuelto por pleurostomía. Presentó fibrilación auricular paroxística en el primer día del postoperatorio con reversión espontánea. Infección urinaria por Pseudomonas a los 5días del posoperatorio, tratada y con evolución clínica favorable. Estancia hospitalaria: 40 días. Paciente que a los 4 meses del postoperatorio se mantiene estable, con clase funcionall.
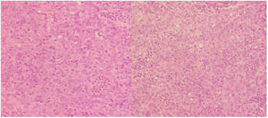
Al estudio anatomopatológico (figs. 3 y 4), la adenopatía del mediastino anterior, pétrea, mide 4×2,3cm, multinodular; al corte, tejido blanquecino y pardo claro, con focos de calcificación. La inmunohistoquímica PANCK (anticuerpo anti-pan-citoqueratina) resultó positiva, melanoma Triple Cocktail, HMB45 y MELANA negativos. Se informa como metástasis mediastinal de un carcinoma indiferenciado de células grandes, con patrón similar a linfoepitelioma. No se realizan otras tinciones.
El trombo intracardiaco ocurre en una variedad de localizaciones y frecuentemente no es tomado en cuenta. Las guías basadas en la evidencia para el manejo clínico de los pacientes con trombo son todavía limitadas2. El trombo en la aurícula generalmente se forma en el marco de alguna enfermedad cardiovascular estructural, como fibrilación auricular o enfermedad valvular, e igualmente en pacientes con intervención cardiaca invasiva previa, marcapasos en la aurícula derecha o tromboembolismo venoso3. Esta última representa una de las manifestaciones paraneoplásicas hematológicas más frecuentes en las enfermedades malignas, particularmente en el cáncer de pulmón4. Tal sucede porque se conoce que hay enfermedades malignas que inducen un estado de hipercoagulabilidad5. No obstante, la presentación del trombo en la aurícula derecha, con obstrucción de la vena superior, no es un comportamiento frecuente como presentación inicial del carcinoma indiferenciado de células grandes. Se plantea la posibilidad de una trombosis venosa profunda previa no diagnosticada, pues es una de las fuentes más frecuentes de trombo en las cavidades derechas.
Por las características patológicas de la adenopatía estudiada y el antecedente de ser fumadora, se consideró el cáncer de pulmón como posible primario, aunque no se ha podido demostrar en los estudios realizados. Después de ajustar por edad y sexo, el riesgo trombótico estimado en pacientes con cáncer de pulmón es 20 veces mayor que en la población general, y el riesgo tromboembólico es superior en el cáncer de pulmón de células no pequeñas4,6, como pudiera ser el caso.
Los carcinomas indiferenciados de células grandes, que también se denominan simplemente carcinomas de células grandes, son neoplasias malignas del pulmón que no muestran diferenciación escamosa, glandular o de células pequeñas (neuroendocrinas) en secciones teñidas de forma rutinaria de los tejidos o frotis de las muestras citológicas7.
La presentación clínica de las masas intracardiacas incluye disnea, dolor torácico, palpitaciones, accidente cerebrovascular y síncope, aunque casi el 20% de los pacientes son asintomáticos8. El síncope fue el síntoma inicial y se presentaba a diario. Tal comportamiento, probablemente atribuido a obstrucción de las cavidades derechas (obstrucción casi total de la vena cava superior), genera un cuadro de bajo gasto3.
La cirugía está indicada en los casos de una masa intracardiaca con compromiso hemodinámico o ante la presencia de embolización recurrente9.
La adenopatía mediastinal, que resultó positiva para carcinoma indiferenciado de células grandes, fue un hallazgo intraoperatorio, y es conocido que la presencia de manifestaciones tromboembólicas, así como la metástasis mediastinal, empobrecen el pronóstico en el cáncer6,10.
ConclusiónEn la operación de un trombo intracardiaco obstructivo se debe sospechar la posibilidad de un síndrome paraneoplásico adyacente, por lo que se debe tener en cuenta en la práctica clínica y hacer un buen acopio de muestras en el acto quirúrgico para el estudio anatomopatológico. La cirugía, a pesar de ser riesgosa, es una opción en pacientes con una masa intracardiaca con compromiso hemodinámico.
Consideraciones éticasLos autores declaran que cuentan con el consentimiento informado de la paciente para proceder a la publicación de sus datos en este artículo, y que la intervención fue aprobada por el comité de ética institucional.
FinanciaciónNo se recibió ningún patrocinio para llevar a cabo este artículo.
Conflicto de interesesLos autores declaran no tener ningún conflicto de intereses.







