El aneurisma de la arteria iliaca común es relativamente raro, se ha observado en solo el 2-7% de todos los aneurismas intraabdominales. Es una afección potencialmente mortal cuando se produce la rotura y el sangrado masivo. Presentamos el caso de un paciente de 38 años que acude a urgencias por dolor abdominal en hipocondrio derecho, ictericia en esclerótica y signo de Murphy positivo, compatible con colecistitis aguda. Se realizó tomografía axial computarizada por cuadro clínico insidioso que incidentalmente reveló aneurisma gigante (>10cm) en arteria iliaca común derecha y trombo mural. Debido al tamaño del aneurisma y la infección por líquido libre en la cavidad se realizó un procedimiento quirúrgico abierto de urgencia y reparación con injerto aortofemoral autólogo con buena evolución para el paciente. El aneurisma de la arteria iliaca común gigante con compromiso renal y hepático significativo puede presentarse atípicamente en la práctica clínica y simular otras patologías quirúrgicas. La CIAA es una enfermedad con alta morbimortalidad ya que puede poner en peligro la vida del paciente cuando se rompe el aneurisma. Debe tenerse en cuenta dentro de los diagnósticos diferenciales cuando las manifestaciones clínicas son insidiosas.
The common iliac artery aneurysm is relatively rare, has been observed in only 2-7% of all intra-abdominal aneurysms. It is a life-threatening condition when rupture and massive bleeding occur. We report the case of a 38-year-old patient who presented to the emergency room due to abdominal pain in the right hypochondrium, jaundice in the sclera, and a positive Murphy sign, compatible with acute cholecystitis. Computerized axial tomography was performed due to an insidious clinical picture that incidentally revealed a giant aneurysm (>10cm) in the right common iliac artery and mural thrombus. An open emergency surgical procedure was performed due to the size of the aneurysm and infection by free fluid in the cavity and repair with autologous aorto-femoral graft with a good outcome for the patient. Giant AAIC with significant renal and hepatic involvement may present atypically in clinical practice and mimic other surgical pathologies. Common iliac artery aneurysm is a disease with high morbidity and mortality since it can threaten the patient's life when the aneurysm ruptures. It should be taken into account within the differential diagnoses when the clinical manifestations are insidious.
El aneurisma arterial (AA) se define como una dilatación focal de un vaso sanguíneo respecto al diámetro del vaso en su condición normal. De acuerdo a la Sociedad Americana de Cirugía Vascular (ASV; por sus siglas en inglés) y la Sociedad Americana del Corazón (AHA; por sus siglas en inglés), el aneurisma de la arteria aorta abdominal (AAA) se define como el incremento del diámetro mayor de 3cm de diámetro1,2. Del mismo modo, el aneurisma de la arteria iliaca (AAI) se define por un incremento en el diámetro de 2cm de diámetro3. Los AAI son relativamente raros, se ha reportado una prevalencia menor del 2% en la población general4,5. Los AAI se presentan de forma bilateral en el 50% de los casos4,6. Otros estudios demuestran que cerca del 20-40% de los pacientes con aneurismas abdominales pueden tener aneurisma de la arteria iliaca ya sea unilateral o bilateral7–9.
Los AAI generalmente son asintomáticos y se detectan de forma incidental durante la búsqueda de otras patologías o cuando se manifiestan clínicamente por la rotura del aneurisma, provocando shock, dolor abdominal difuso y distensión10,11. Por lo tanto, se considera una condición amenazante para la vida del paciente y requiere monitorización o manejo quirúrgico dependiendo del tamaño del aneurisma y la condición crítica del paciente cuando existe inestabilidad hemodinámica5.
Se presenta el caso de una paciente de 38 años con AAIC y cuadro clínico atípico, ya que simula colecistitis aguda por efecto de masa y que le ocasionó hidronefrosis severa, con necesidad de nefrectomía derecha. El propósito de este artículo es resaltar el desafío diagnóstico que representa esta presentación clínica inusual de AAIC y una breve revisión de esta entidad clínica.
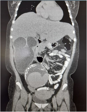
Caso clínicoPaciente mujer de 38 años de edad, quien acude al servicio de urgencias de un hospital de nivel III de complejidad, por dolor abdominal en el hipocondrio derecho, tipo cólico, sin irradiación, en la escala subjetiva del dolor 6/10, asociado a leve ictericia en escleras, náuseas y emesis en 3 ocasiones hace 4 días. No refiere otros síntomas. En el historial médico sin antecedentes destacados. Al examen físico con signos vitales estables (presión arterial: 110/70mmHg, frecuencia cardiaca: 78 latidos/minuto, frecuencia respiratoria: 16 respiraciones/minuto, saturación de oxígeno: 90%, temperatura: 37°C). A nivel cefálico; leve ictericia en esclerótica, y en el abdomen; dolor en hipocondrio derecho a la palpación superficial y profunda, sin irradiación, signo de Murphy positivo y masa en hipogastrio, pulsátil, no dolorosa, sin signos de irritación peritoneal, sin signos de respuesta inflamatoria sistémica. El resto del examen físico fue negativo para otros hallazgos. Los análisis de sangre muestran leucocitosis, función hepática y renal alterada y bilirrubina elevada (tabla 1). Ante este escenario por masa en hipogastrio, se solicita ecografía de abdomen completo, iniciando líquidos por deshidratación moderada y vigilancia clínica. La ecografía abdominal reveló una bolsa hidronefrótica derecha y una masa heterogénea en fosa iliaca derecha mal delimitada, por lo que se decidió realizar una tomografía axial computarizada (TAC) para determinar la naturaleza de la masa (fig. 1). La TAC muestra dilatación aneurismática que compromete la arteria iliaca común derecha con un trombo mural excéntrico y calcificaciones en su pared (fig. 2). Se valora por cirugía vascular que considera arteriografía de los vasos abdominales para establecer la anatomía del aneurisma. Se procede a realizar la intervención quirúrgica, en los hallazgos intraoperatorios se observa un aneurisma gigante de 10cm en la arteria iliaca común derecha con proceso inflamatorio retroperitoneal, asociado a riñón atrófico, múltiples quistes con líquido turbio en cavidad peritoneal del cual se tomaron muestras para Gram y cultivo. El servicio de urología decidió realizar una nefrectomía derecha amplia con ligadura del uréter severamente dilatado, se presume que el tamaño del aneurisma provocó la hidronefrosis severa. Se realiza un lavado peritoneal abundante de la cavidad contaminada hasta drenar líquido claro. En el mismo tiempo operatorio, cirugía vascular realiza resección del aneurisma preservando la bifurcación hipogástrica, con reparación por injerto aortofemoral autólogo con endarterectomía, ligadura u obliteración de la zona iliaca, más disección de los vasos retroperitoneales, rafia de la vena cava a nivel de las venas lumbares dilatadas, ligadura de múltiples vasos intraabdominales. Además, para la extracción del injerto de la vena safena mayor se ejecuta ligadura de vasos arteriales y venosos suprarrotulianos del lado derecho con disección de la vena femoral. El injerto fue impregnado con antibiótico por desajuste de los vasos nativos.
Se describe los laboratorios iniciales del paciente
| Examen | Valor |
|---|---|
| Leucocitos | 11.400 cel/cm3 |
| Neutrófilos | 9.900 cel/cm3 |
| Linfocitos | 800 cel/cm3 |
| Hemoglobina | 11,9 mg/dl |
| Hematocrito | 36,6% |
| Plaquetas | 183.000 cel/cm3 |
| Función renal | creatinina 1,26 mg/dlNitrógeno ureico 25,7 mg/dl |
| Función hepática | TSA: 12,6TLA: 7,9 |
| Bilirrubinas totales | 1,70 mg/dl |
| Bilirrubina directa | 0,76 mg/dl |
| Bilirrubina indirecta | 0,94 mg/dl |
| Glucemia | 94 mg/dl |
| Fosfatasa alcalina | 195 mg/dl |
| Amilasa | 22 mg/dl |
Fuente: elaboración propia.
Se realiza lavado de cavidad y se coloca parche en fosa renal derecha, sangrando aproximadamente 700 cc, finalizando el acto quirúrgico sin complicaciones y con evidencia de buena perfusión distal al final de la cirugía. Se traslada a la Unidad de Cuidados Intensivos para recuperación postoperatoria y se inicia antibioterapia con ampicilina-sulbactam (3g cada 6 h). Paciente con evolución satisfactoria, sin signos de sangrado ni secreción de la herida quirúrgica, sin signos de infección local ni sistémica, pulsos distales conservados y sin signos de isquemia crítica. En días posteriores se informa cultivo negativo para microorganismos, por lo que se suspende antibioticoterapia y se decide otorgar alta hospitalaria con cita de seguimiento en un mes para cirugía vascular y urología. Durante el seguimiento en consulta externa, la paciente con buena evolución clínica, sin complicaciones, expresa agradecimiento al personal de salud por salvarle la vida.
DiscusiónEl AAI es una condición clínica definida como la dilatación de la arteria iliaca > 2cm de diámetro y dilatación de los vasos sanguíneos3, tanto la aorta como la arteria iliaca común tienen un proceso complejo y dinámico que resulta de la interacción de al menos 3 componentes: proteólisis, inflamación y apoptosis de las células del músculo liso vascular3,12. Los factores de riesgo en el AAA han sido bien estudiados; como la aterosclerosis, el tabaquismo, la edad avanzada, el género masculino, antecedentes familiares de aneurismas, hipertensión, hipercolesterolemia y antecedentes de disección arterial10. Otras enfermedades pueden predisponer al desarrollo de aneurismas, como la necrosis quística medial, la sífilis, el VIH, el síndrome de Ehlers-Danlos, el síndrome de Marfan y el síndrome de Loeys-Dietz10. Sin embargo, en la AAI aún no están del todo dilucidados, en algunos estudios se ha logrado establecer factores como el tabaquismo y la hipertensión8.
La enfermedad es rara, se ha estimado una frecuencia entre el 2-7% de todos los aneurismas intraabdominales4,6. En general, los aneurismas, independientemente de su localización, son asintomáticos antes de la rotura, lo que puede causar mortalidad en el 65-80% de los casos (pacientes que fallecen fuera del hospital más mortalidad perioperatoria)13,14. Cuando el aneurisma es lo suficientemente grande, puede generar compresión de estructuras adyacentes y causar dolor o efecto de masa en el paciente3.
Los predictores más relevantes para la rotura del AAA son el diámetro del aneurisma (que cuando es mayor de 7,0cm aumenta el riesgo en un 5,2-7,9%)15 y la hipertensión arterial debe ser considerada para cirugía intervencionista cuando el riesgo de rotura excede el riesgo quirúrgico12. En el AAI estos predictores no están muy bien establecidos; se ha propuesto que la frecuencia de expansión (0,29cm/año) y la hipertensión predicen una expansión rápida. Pero el aneurisma < 3,5cm no tiene riesgo de rotura y >3,5cm la reparación asintomática del aneurisma puede estar justificada16. En una revisión sistemática reciente, sostienen que se debe considerar un diámetro >4cm para tratamiento endovascular6. En el caso presentado, el paciente presenta un aneurisma de 10cm de diámetro, lo que significa un alto riesgo de rotura a pesar de que la presión arterial es normal, por lo que se realizó un procedimiento quirúrgico de urgencia.
En los programas de tamizaje, se ha utilizado la ecografía abdominal como principal herramienta en este proceso, ya que puede detectar aneurismas en el 97,3% de los pacientes afectados17. Estos programas han demostrado tener un impacto favorable en la identificación oportuna12. El diagnóstico es incidental durante la búsqueda de otras patologías ya que comúnmente son asintomáticas o cuando se manifiestan se presentan con dolor abdominal que se irradia a la espalda o si hay rotura con signos de hipotensión, taquicardia, dolor súbito y síncope debido a la fuga masiva de sangre6,15. En este caso de estudio, el paciente acudió a urgencias por dolor abdominal en hipocondrio derecho e ictericia leve en esclerótica, Murphy positivo y dolor a la palpación superficial y profunda, lo que pudo confundir al médico clínico con colecistitis aguda. Además, la masa en el hipogastrio también podría sugerir una neoplasia. Es muy probable que por el tamaño del AAI se haya generado compresión del uréter y pelvis renal, lo que provocó atrofia renal que derivó en nefrectomía y afectación hepatorrenal con aumento de bilirrubina y contaminación de la cavidad peritoneal. Entre los diagnósticos diferenciales hay que tener en cuenta la isquemia mesentérica, la enfermedad ulcerosa péptica, la litiasis renal, la diverticulitis y la pielonefritis3,10. En ese sentido, es necesario el enfoque de las patologías quirúrgicas que se presentan usualmente como abdomen agudo, para descartarlas lo más pronto posible y alcanzar el diagnóstico del aneurisma. Por lo menos, el diagnóstico de la apendicitis aguda inicia como un dolor en la región periumbilical que finalmente migra y se establece en la fosa iliaca derecha, así mismo, es guiado por los criterios de Alvarado y signos como McBurney positivo, flexión y abducción de la extremidad derecha o percusión del talón. La isquemia mesentérica se presenta con un dolor agudo y súbito, tipo urente que puede ocasionar rigidez mecánica del abdomen y signo de rebote. La torsión ovárica o testicular puede sospecharse en el paciente con dolor súbito, unilateral, en el cuadrante inferior o fosa iliaca que puede aumentar o disminuir y se asocia a vómito. La litiasis renal se manifiesta como un dolor tipo cólico súbito en fosa iliaca derecha y emesis. La diverticulitis aguda se presenta con dolor en fosa iliaca izquierda, mientras que la colecistitis es un dolor tipo cólico en epigastrio o cuadrante superior derecho, asociado a emesis e ictericia o con fiebre, si es una colangitis. Un aneurisma es pulsátil a la palpación, asociado a dolor tipo cólico, o si existe la rotura puede provocar un síncope por la fuga masiva de sangre18,19.
En las pruebas diagnósticas, la ecografía es útil por su ejecución fácil y acceso rápido; sin embargo, la TAC ayuda a determinar la ubicación exacta, el tamaño, la extensión y la afectación de otros vasos. Se ha utilizado la angiografía y la resonancia magnética para delimitar la anatomía del aneurisma20. Para la reparación del AAI sin rotura se han establecido dos opciones terapéuticas: la cirugía abierta y la reparación endovascular (REV). Esta conducta quirúrgica ha ido cambiando a lo largo del tiempo de acuerdo al contexto clínico del paciente. En este sentido, la indicación de tratamiento quirúrgico es controversial, ya que se han propuesto varias opciones en cuanto al tamaño de realizar la intervención quirúrgica. Una revisión sistemática reciente propone que el tratamiento de elección es el REV, es posible y seguro, con bajas tasas de mortalidad y una excelente frecuencia de éxito; y se debe considerar la posibilidad de aumentar el umbral de diámetro para la intervención de la AAIC a 4cm6. La reparación electiva de la AAI se da mediante reparación abierta por vía transabdominal o retroperitoneal, que ha sido el estándar de oro; ya que ofrece una buena supervivencia y la opción de reoperación a largo plazo. Mientras que el abordaje endovascular a través de la arteria femoral ha ido cobrando mayor protagonismo en determinados escenarios, especialmente en pacientes ancianos con alto riesgo y que no son candidatos a cirugía abierta12. La reparación de urgencia de la AAI tiene varias connotaciones y está sujeta a ciertas condiciones, como los hallazgos anatómicos, el grado de inestabilidad hemodinámica y la experiencia de elección del cirujano (abordaje endovascular o abierto). La restricción de líquidos y el manejo preoperatorio de la hipotensión están dirigidos a reducir el sangrado previo a la cirugía cuyo objetivo es mantener la presión arterial alrededor de 70mmHg3,6.
Por otro lado, el manejo de los aneurismas infectados es crucial, especialmente en la reparación con injertos axilofemorales. Según Laohapensang et al.21, de un total de 94 pacientes intervenidos de reparación de aneurisma aortoiliaco, de los cuales 16 estaban infectados, se administró antibiótico parenteral durante 1 semana y se mantuvo la antibioterapia posquirúrgica durante 4-6 semanas. La mortalidad específica de la enfermedad fue del 31,25% y la mortalidad a los 30 días de los casos de rotura fue del 67%. El diagnóstico precoz y la cobertura antibiótica adecuada proporcionan mejores resultados del injerto, aunque la infección y la rotura siguen teniendo una alta mortalidad21. En el caso presentado, por líquido libre en la cavidad, se consideró aneurisma infectado y se inició antibiótico, realizándose injerto y obteniendo buen resultado en el paciente.
Dentro de las limitaciones de este reporte de caso, cabe mencionar que no fue posible realizar estudios genéticos para descartar enfermedades del colágeno como síndrome de Marfan, síndrome de Alport o síndrome de Ehlers-Danlos.
ConclusionesEl AAI gigante con lesión renal severa y compromiso hepático puede presentarse de forma inusual en la práctica clínica y simular otras patologías quirúrgicas como colecistitis, diverticulitis o la litiasis renal. El AAI es una enfermedad con alta mortalidad ya que puede poner en peligro la vida del paciente cuando se rompe el aneurisma y no se trata de forma urgente. Debe tenerse en cuenta dentro de los diagnósticos diferenciales cuando las manifestaciones clínicas son insidiosas.
Consideraciones éticasEl paciente acepta la publicación y proporcionó el consentimiento informado que reposa en poder de los autores.
FinanciaciónEste trabajo no ha recibido ningún tipo de financiación.
Conflicto de interesesLos autores declaran no tener ningún conflicto de intereses.






