Las valvulopatías congénitas comprenden un espectro amplio y heterogéneo de anomalías valvulares con una incidencia baja. Analizamos los resultados y la evolución de las valvuloplastias quirúrgicas múltiples de 2 o más válvulas de nuestro centro en los últimos 15 años.
MétodosAnálisis retrospectivo de todas las valvuloplastias combinadas desde enero de 2007 hasta junio de 2021 en un centro de referencia de tercer nivel.
ResultadosSe operaron 25 pacientes con una mediana de edad de 4 años en global: 8 adultos con mediana de edad de 54 años y 17 niños con mediana de edad de 13,5 meses. Veintidós pacientes presentaron insuficiencia mitral, 8 insuficiencia aórtica, 2 estenosis mitral y uno estenosis aórtica severa. Dieciocho pacientes presentaron insuficiencia tricuspídea. Se realizaron 16 plastias mitrotricuspídeas, 7 mitroaórticas, una tricúspide-pulmonar y una triple plastia mitroaortotricuspídea. Tres fallos primarios de valvuloplastia requirieron reintervención, con un fallecimiento. Tres pacientes requirieron marcapasos definitivo en el postoperatorio inmediato y un paciente presentó infarto perioperatorio por estenosis de la coronaria derecha secundario a un punto del anillo tricúspide. La mediana del seguimiento fue de 45,3 meses. No hubo fallecimientos tardíos. Dos pacientes se reintervinieron en el seguimiento. En el último ecocardiograma de seguimiento 2 presentan insuficiencia mitral severa, uno una insuficiencia aórtica moderada y otro una insuficiencia tricuspídea severa, todas clínicamente bien toleradas.
ConclusiónLa cirugía reparadora valvular múltiple en pacientes con cardiopatías congénitas es factible y tiene buenos resultados a corto-medio plazo. Se puede emplear como tratamiento definitivo o como terapia paliativa a favor del crecimiento anular.
Congenital heart valve disease is a wide and heterogeneous spectrum of valvular anomalies with low incidence. We analysed the results and follow-up of all our patients with 2 or more surgical heart valve repairs over a period of 15 years.
MethodsWe retrospectively analysed all combined valve repairs performed from January 2007 to June 2021 in a tertiary referral hospital.
ResultsTwenty-five patients were operated with a median age of 4 years: 8 adults with a median age of 54 years, and 17 children with a median age of 13.5 months. Twenty-two patients presented mitral regurgitation, 8 aortic regurgitation, 2 mitral stenosis, and one severe aortic stenosis. Eighteen patients presented tricuspid regurgitation. Sixteen mitro-tricuspid, 7 mitro-aortic, one tricuspid-pulmonary, and one triple mitro-aortic-tricuspid combined heart valve plasties were performed. Three primary plasty failures required reintervention, and one resulted in death. Three patients required a permanent pacemaker in the immediate postoperative course, and one suffered from perioperative myocardial infarction due to right coronary artery kinking secondary to a tricuspid ring suture. Median follow-up was 45.3 months, without late deaths. Two patients were reoperated during follow-up. In the last follow-up echocardiogram, 2 patients had severe mitral regurgitation, one moderate aortic regurgitation, and one severe tricuspid regurgitation, all of them clinically well tolerated.
ConclusionHeart valve plasties of 2 or more valves in patients with congenital heart disease is viable with good short-midterm results. It could be performed as a definitive solution or as palliative treatment in favour of annular growth.
Las valvulopatías congénitas comprenden un espectro amplio y heterogéneo de anomalías valvulares. Su incidencia es baja respecto a las valvulopatías adquiridas, y la implicación de más de una válvula es aún más rara1. En el momento de operar una valvulopatía congénita, la reparación valvular ofrece claras ventajas respecto a la sustitución por una prótesis. La valvuloplastia quirúrgica permite mejorar la función valvular con posibilidad de crecimiento del anillo valvular, y no requiere tratamiento anticoagulante de por vida, que son aspectos a tener en cuenta en pacientes jóvenes con vida activa que aún no han completado su crecimiento2,3. La literatura sobre el tratamiento quirúrgico conservador de 2 o más válvulas en este tipo de pacientes se reduce a series de casos4,5. En ellas, cada centro acaba adoptando las técnicas con las que tienen más experiencia y con las que se sienten más seguros6.
Nuestro servicio está localizado en un hospital universitario de nivel terciario y atiende las necesidades quirúrgicas de los pacientes con cardiopatía congénita desde el período neonatal hasta la edad adulta. Atendemos pacientes de nuestra comunidad autónoma y de otras, porque somos uno de los centros de referencia nacional para la atención de cardiopatías congénitas. Presentamos en este manuscrito nuestra experiencia y analizamos los resultados y la evolución de las valvuloplastias quirúrgicas de 2 o más válvulas durante los últimos 15 años.
Material y métodosPacientesRevisamos de forma retrospectiva las historias clínicas de todos los pacientes con cardiopatía congénita operados de 2 o más válvulas en nuestro centro durante el período temporal comprendido desde enero de 2007 hasta junio de 2021. Se excluyen todos aquellos pacientes donde se asoció una sustitución valvular junto con la valvuloplastia.
Todos los pacientes y/o sus tutores legales fueron informados acerca de la intervención, y firmaron el consentimiento informado autorizando el uso de datos e imágenes de forma anónima y con fines docentes. La recogida de datos se ha hecho de forma anónima, respetando en todo momento la ley de protección de datos vigente en nuestro país y siguiendo los protocolos de nuestro hospital para la realización de estudios clínicos.
Estudio estadísticoSe realizó un análisis descriptivo de todas las variables, expresando las cuantitativas con distribución normal mediante media±desviación típica. Aquellas con una distribución no normal se presentan como medianas y rangos intercuartiles. Las variables cualitativas se presentan como valor absoluto y porcentajes. Todos los análisis mediante gráficas se realizaron con el software STATA (versión 14.2).
ResultadosSe operaron un total de 25 pacientes: 11 varones y 14 mujeres. El 68% fueron pacientes pediátricos y el 32% adultos. En la tabla 1 se resumen las características de los pacientes. Como se puede observar en la tabla, el grupo de pacientes que con más frecuencia es candidato a reparación valvular múltiple son los que presentan defectos de la septación auriculoventricular (44%), seguidos por los pacientes con síndrome de Marfan (20%). Un tercio de la población adulta presentaba una esternotomía previa, mientras que en la infantil solo hubo un caso de esternotomía previa: un neonato trasladado de otro centro.
Características de los pacientes
| Total(n=25) | Niños(n=17) | Adultos(n=8) | |
|---|---|---|---|
| Edad mediana (años) | 4 | 1,13 | 54 |
| Varones, n (%) | 9 (36) | 6 (35) | 3 (38) |
| RACHS-1 medio | 2,84 | 2,75 | 2,88 |
| Aristóteles medio | 7,63 | 7,7 | 7,5 |
| Cirugías previas | |||
| Ninguna | 21 | 16 | 5 |
| Una | 4 | 1 | 3 |
| Diagnóstico | |||
| Canal AV | 9 | 7 | 2 |
| Síndrome de Marfan | 5 | 3 | 2 |
| Estenosis aórtica | 3 | 3 | 0 |
| Valvulopatía mitral | 2 | 1 | 1 |
| Complejo de Shone | 2 | 2 | 0 |
| CIA-OP | 2 | 1 | 1 |
| CIA-OS | 2 | 0 | 2 |
Canal AV: canal auriculoventricular; CIA-OP: comunicación interauricular tipo ostium primum; CIA-OS: comunicación interauricular tipo ostium secundum; RACHS-1: Risk Adjustment for Congenital Heart Surgery-1.
Se realizaron 16 plastias mitrotricuspídeas, 7 mitroaórticas, una tricúspide-pulmonar y una triple plastia mitroaortotricuspídea.
Características de las valvulopatías
| Total pacientes | 25 |
| Insuficiencia mitral | 22 |
| Tipo I-1: dilatación anular | 8 |
| Tipo I-2: cleft | 10 |
| Tipo II-1: cuerdas elongadas | 4 |
| Tipo II-2: músculos papilares elongados | 1 |
| Tipo IIIa: cuerdas tendinosas cortas | 6 |
| Estenosis mitral | 2 |
| Tipo IIIb: músculos papilares anormales | 2 |
| Insuficiencia aórtica | 8 |
| Tipo Ib: dilatación de senos de Valsalva y unión sinotubular | 3 |
| Tipo Ic: dilatación del anillo valvular | 1 |
| Tipo Id: perforación de un velo | 1 |
| Tipo III: restricción de un velo | 3 |
| Insuficiencia tricuspídea | 18 |
| Dilatación del anillo | 14 |
| Displasia de los velos | 3 |
| Prolapso | 1 |
| Estenosis pulmonar | 1 |
| Grado III | 1 |
Las lesiones mitrales y aórticas se han clasificado de acuerdo con la clasificación de Carpentier. Una misma válvula puede tener más de un tipo de lesión.
Se ha empleado la clasificación funcional de Carpentier para clasificar las lesiones mitrales5. Debido a que una válvula podía presentar varias lesiones, se han seleccionado las de mayor peso.
Veintidós pacientes presentaron insuficiencia mitral (IM) (grado iii=8 y grado iv=11). Un paciente presentó estenosis mitral grado iii. La mayoría de los pacientes presentaban IM secundaria a la presencia de un cleft en la válvula mitral.
Válvula aórticaSe ha empleado una clasificación similar a la de Carpentier para la válvula mitral, propuesta por Boodhwani et al.7.
Ocho pacientes presentaron insuficiencia aórtica (grado iii=2 y grado iv=3) y un paciente presentó estenosis aórtica severa. Los mecanismos más comunes de la insuficiencia aórtica fueron por retracción de los velos (n=3) y por dilatación de la raíz (n=3).
Válvula tricúspideDieciocho pacientes presentaron insuficiencia tricuspídea (IT) (grado ii=2, grado iii=9 y grado iv=7). Un paciente con IT grado ii no se trató al padecer una insuficiencia leve. Salvo 2 casos, todos fueron IT funcionales por dilatación del anillo.
Válvula pulmonarSolo hubo una plastia de la válvula pulmonar: una estenosis en una válvula bicúspide displásica con fusión comisural a la que se realizó una comisurotomía.
Técnica quirúrgica empleadaMediante esternotomía media convencional, se entra en circulación extracorpórea canulando la aorta y ambas venas cavas; las cirugías se realizan en hipotermia moderada. La protección miocárdica se realiza con Celsior® administrada por vía anterógrada. El rango de los tiempos de circulación extracorpórea oscila entre 72 y 347min (media 159,2±65,9min), y el de pinzamiento aórtico oscila entre 49 y 308min (media 121,6±63,5min).
El abordaje a la válvula mitral se realiza a través de una atriotomía izquierda paralela al surco de Sondergaard o por vía transeptal. Las reparaciones aórticas se realizan a través de una aortotomía transversa. El acceso a la válvula tricúspide se realiza a través de una atriotomía derecha y la reparación pulmonar a través de una arteriotomía pulmonar. Primeramente se reparan las válvulas del lado izquierdo del corazón y después las del lado derecho. Las técnicas empleadas para la reparación de las distintas válvulas se resumen en la tabla 3. Una válvula puede ser subsidiaria de más de una técnica de plastia. Comprobamos la reparación valvular tanto con el test de agua hecho con el corazón parado como con la ecocardiografía transesofágica o transtorácica perioperatoria. Tras el despinzado aórtico, la salida de circulación extracorpórea fue exitosa en todos los casos, salvo un neonato que precisó sistema de oxigenación por membrana extracorpórea y que se comentará en el siguiente apartado.
Técnicas quirúrgicas de plastias valvulares empleadas en nuestros pacientes
| Plastia mitral | |
| Anillo | 11 |
| Cierre cleft | 12 |
| Alfieri | 3 |
| Neocuerda | 6 |
| Papilotomía | 1 |
| Acortamiento de cuerdas tendinosas | 1 |
| Resección cuadrangular y deslizamiento del velo posterior | 1 |
| Ampliación de velo posterior | 1 |
| Resección de anillo supramitral | 1 |
| Plastia aórtica | |
| David V | 3 |
| Plastia de velos | 3 |
| Afeitado de velos | 2 |
| Liberación de rafe | 3 |
| Comisurotomía | 1 |
| Plastia tricuspídea | |
| Anillo | 6 |
| Comisuroplastia | 6 |
| Alfieri | 3 |
| De Vega | 2 |
| Plicatura de velo | 1 |
| Plastia pulmonar | |
| Comisurotomía | 1 |
Una misma válvula puede ser subsidiaria de varias técnicas.
Hubo 3 fallos primarios de valvuloplastia. El primer caso fue un niño de 5 años con diagnóstico genético de miocardiopatía no compactada con IM e IT graves grado iv, ambas secundarias a dilatación severa del anillo. Se realizó una plastia mitral con implante de anillo CG Future® de 26mm (Medtronic) y anuloplastia tricuspídea según la técnica de De Vega. A las 72h del postoperatorio el paciente presenta edema agudo de pulmón y es reintubado. En el ecocardiograma se objetiva dehiscencia del anillo mitral, por lo que es reintervenido con implante de una bioprótesis mitral biológica Mosaic® 27mm (Medtronic).
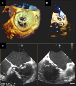
El segundo paciente fue un adulto de 66 años, operado en la infancia de un cierre de la comunicación interauricular. Presentaba una alta incidencia familiar de cardiopatía congénita sin aislamiento de un sustrato genético. Tenía una IM grado iv por restricción del velo posterior con un anillo mitral de 64mm y una IT grado ii con anillo tricuspídeo de 47mm. Se realiza una plastia mitral con anillo de CG Future® de 36mm (Medtronic) con implante de neocuerda en segmento A1 y una anuloplastia tricuspídea con anillo Contour 3D® de 36mm (Medtronic). Presenta bloqueo auriculoventricular completo en el postoperatorio inmediato, por lo que se implanta un marcapasos definitivo al sexto día postoperatorio. A las 24h de la intervención se realiza un cateterismo de urgencia por infarto postoperatorio. Se objetiva acodamiento de la coronaria derecha debido a un punto del anillo tricúspide. Dado que la repercusión solo era bioquímica, sin alteración en la contractilidad, se decide tomar una actitud conservadora y el paciente evoluciona de manera satisfactoria. No obstante, a los 20 días de la intervención el paciente presenta de manera súbita disnea y ortopnea. Se objetiva dehiscencia de la porción posterior del anillo mitral (fig. 1), por lo que se interviene de urgencia implantando una prótesis mitral mecánica Carbomedics® 31mm.
El tercer paciente fue un neonato de 22 días de vida con diagnóstico posnatal de estenosis aórtica crítica. En su centro de referencia se realizó una valvuloplastia aórtica percutánea a los 2 días de vida, con resultado adverso de doble insuficiencia aórtica y mitral severa. Posteriormente se realizó una valvuloplastia quirúrgica del músculo papilar anterior, que no tuvo éxito. El paciente precisó oxigenación por membrana extracorpórea venoarterial por incapacidad de destete de circulación extracorpórea. Se logró decanular a las 72h y tras un ingreso tórpido fue trasladado a nuestro centro. El paciente llegó a nuestra unidad en situación de shock cardiogénico y se le ofreció cirugía de forma compasiva. Realizamos una plastia aórtica con exéresis del velo desgarrado y reconstrucción del mismo con parche de pericardio bovino Photofix®. En la válvula mitral se objetivó un prolapso de A2 por rotura del músculo papilar debido a dehiscencia de la sutura de la intervención previa. Se decidió realizar una plastia tipo Alfieri entre A2-P2. En el ecocardiograma en la unidad de neonatos se objetivó ausencia de insuficiencia aórtica y una IM grado iii-iv. El postoperatorio del paciente continuó un camino tórpido con trombosis de las venas yugulares que se trataron, sin éxito, con heparina y fibrinólisis. Secundario a la trombosis presentó un quilotórax que requirió drenaje con terapia de cierre asistido por vacío. Tras un fallo de extubación, una ecografía objetivaba una IM grado iv junto con un gradiente supraaórtico de 40mmHg, secuela de las múltiples canulaciones. Se reintervino con implante de prótesis pulmonar biológica de yugular bovina Melody® en posición mitral8,9 y ampliación de la aorta ascendente con parche de pericardio. Presentó un fracaso multiorgánico en el postoperatorio inmediato y se decidió adecuar el esfuerzo terapéutico. Es el único fallecido de nuestra serie, que supone una cifra del 4% de mortalidad hospitalaria.
MorbilidadLas complicaciones posquirúrgicas fueron las siguientes: 3 pacientes requirieron marcapasos definitivo en el postoperatorio inmediato y un paciente presentó un infarto perioperatorio por estenosis de la coronaria derecha secundario a un punto del anillo tricúspide.
Ecocardiograma al altaDe las 23 reparaciones mitrales, el ecocardiograma al alta mostró IM grado ii o menos en 16 pacientes, 4 presentaron IM grado iii, y 3 tenían IM grado iv, que fueron los que se reintervinieron, ya comentados previamente.
De las 7 plastias aórticas, solo un paciente presentaba insuficiencia aórtica grado iii, el resto fueron grado ii o menos.
Se realizaron 17 plastias tricuspídeas: 13 con IT grado ii o menos y 4 con IT grado iii.
La única plastia pulmonar de la serie no presentaba IP residual al alta.
SeguimientoHubo 2 pérdidas de seguimiento debido a migración a otro país. El tiempo mediano de seguimiento fue de 45,3 meses (rango intercuartil 16-72 meses). No hubo fallecimientos tardíos.
Dos pacientes se reintervinieron en el seguimiento, ambos de la cohorte pediátrica. El primero es un paciente de 2 meses de edad operado de canal AV con plastia mitral y tricúspide. Tras casi 3 años de la intervención presenta IM grado iv y a la edad de 3 años se reinterviene realizándose un Alfieri de la válvula mitral. Se logra reducir la IM grado iv torrencial a una IM grado ii-iii. El segundo caso es un paciente con diagnóstico de Marfan al que se realizó una plastia mitral y una reparación de David V con modificación de Stanford a la edad de 16 años. A los 17 meses presentó fracaso de la plastia aórtica con desgarro de uno de los velos, por lo que se implantó una prótesis aórtica Carbomedics® 23mm. Posteriormente, ante un deterioro progresivo de la contractilidad del ventrículo izquierdo, fue diagnosticado de miocardiopatía dilatada refractaria a tratamiento convencional y se incluyó en lista de trasplante cardíaco. Se implantó un desfibrilador automático implantable como prevención primaria y a la edad de 18 años se trasplantó.
Ecocardiogramas de seguimientoEl 70% de los pacientes con plastia mitral (n=16) presentan IM grado ii o menor en el último seguimiento. Dos pacientes presentan IM grado iv, ambos son niños que mostraron ya una IM grado iii en el momento del alta. Actualmente presentan buena evolución clínica, con un adecuado crecimiento y sin limitaciones en sus actividades diarias. Cinco presentan IM grado iii. En cuanto a las plastias aórticas, no hubo cambios con respecto a las insuficiencias al alta (un paciente con insuficiencia aórtica grado iii, el resto con grado ii o menos). El 71% de los pacientes operados de plastia tricúspide (n=12) presentan IT grado ii o menor en el último seguimiento. Un paciente presenta IT grado iv y 4 IT grado iii. El paciente con la plastia de la válvula pulmonar no presenta insuficiencia pulmonar.
DiscusiónComo ya hemos dicho previamente, la valvulopatía congénita múltiple es bastante infrecuente. Tomando datos de nuestro último registro publicado de cirugía de cardiopatías congénitas10, la enfermedad multivalvular supone un 7% del total de la cirugía valvular congénita y un 1,6% del total de la cirugía de cardiopatías congénitas realizada en nuestro país con circulación extracorpórea, incluyendo ahí tanto la reparación como la sustitución valvular, y asocia unas cifras de mortalidad hospitalaria en torno al 6-7%.
La valvuloplastia de 2 o más válvulas, en la cirugía de las cardiopatías congénitas, es una opción terapéutica factible con buenos resultados a corto y medio plazo. La mortalidad de nuestra serie es baja, menor que las reportadas en las series de sustitución valvular con una cohorte de pacientes similar4,11,12. Nuestro único fallecido fue un neonato, en los que ya de por sí este tipo de intervenciones tienen una alta mortalidad13. En este caso concreto, el paciente fue trasladado a nuestro centro en una situación severamente comprometida, que con seguridad condicionó su desenlace posterior.
La reintervención cardíaca no debería contraindicar la posibilidad de plastia valvular. En nuestra serie, un 16% de los pacientes tenían una cirugía previa y este hecho no imposibilitó las plastias valvulares. Al igual que otras series pediátricas donde hay casos aislados de rereparación7,12, en nuestra serie se dio un caso de rereparación mitral consistente en la realización de un Alfieri en un paciente con cierre de cleft de canal AV previo.
Hubo 5 fallos de la plastia (16%); 3 en el postoperatorio inmediato y 2 en el seguimiento. Esta cifra se asemeja a las de las series publicadas de 9,5-15%11,12.
La reparación mitrotricuspídea es común en las cardiopatías adquiridas, incluso en los jóvenes con enfermedad reumática12. En nuestra experiencia, también fue la combinación más frecuente y se daba en el contexto de los defectos de cojinetes endocárdicos (CIA-OP o canales AV). En esta enfermedad, al faltar parcial o totalmente la cruz del corazón, la formación de las válvulas auriculoventriculares es anómala y muchas veces hay una sola válvula común en lugar de 2. Esta implantación anómala de la válvula con frecuencia presenta defectos de coaptación que amerita una reparación junto con el cierre del defecto septal.
El futuro de la cirugía de reparación valvular múltiple en los pacientes con cardiopatía congénita es incierto. Hay debate sobre el material y las técnicas a emplear. Idealmente no hay que emplear material protésico que degenera con el tiempo y no crece, e intentar trabajar con el tejido autógeno siempre que sea posible. En nuestro caso, ha sido frecuente emplear varias técnicas distintas para reparar una misma válvula5,6,12,14. Este tipo de reparaciones difiere de los cánones habituales de la reparación de valvulopatías adquiridas. En el caso de los defectos de los cojinetes endocárdicos, habitualmente no empleamos anillos protésicos para la válvula mitral. Los defectos de este estilo se corrigen bien cerrando el cleft mitral y a veces es preciso asociar una comisuroplastia. La arquitectura de las válvulas auriculoventriculares de estos pacientes está alterada, y comparado con la anatomía habitual, un anillo protésico distorsiona la plastia mitral15,16. El abordaje cambia cuando la etiología de la valvulopatía mitral es una displasia primaria no asociada a defecto del septo auriculoventricular; aquí la reparación es más compleja, requiriendo diversas técnicas para conseguir una buena coaptación de los velos. En este tipo de pacientes sí es necesario asociar un anillo mitral para consolidar la reparación, siempre y cuando el tamaño del paciente nos lo permita (fig. 2). En la válvula tricúspide se emplea más libremente el anillo o, en su defecto, una plastia de Vega cuando el paciente es pediátrico. En el caso de la válvula aórtica recomendamos afeitado de velos y apertura de comisuras en válvulas estenóticas para ganar movilidad, aunque el arsenal terapéutico para anillos pequeños es más limitado (fig. 3). En los casos de insuficiencia aórtica se hará plastia de velos para evitar que estos prolapsen y logren una buena altura de coaptación, y si esta se asocia a dilatación aneurismática de la raíz aórtica se realizará técnica de David. Cuando la valvuloplastia convencional no es suficiente hay que explantar la válvula, teniendo como principal opción el Ross en lactantes y niños pequeños. Nuestra experiencia inicial con la técnica de Ozaki (reconstrucción de neovelos aórticos) es buena y puede tener un papel en los candidatos que requieran la reparación de 2 o más válvulas13.
A pesar de estas incertidumbres, la cirugía de reparación valvular múltiple en estos pacientes nos permite retrasar e incluso evitar el empleo de prótesis valvulares. El empleo de prótesis biológicas en pacientes jóvenes presenta un fracaso por deterioro estructural de hasta un 4%/año, y en niños esta tasa puede ser mayor7. En el caso de las prótesis mecánicas, obligatoriamente hay que anticoagular de por vida al paciente con el riesgo asociado de trombosis y hemorragia de 2%/año cada una7,17. Teniendo en cuenta la expectativa de vida que tiene este tipo de pacientes, no sería infrecuente registrar alguna de estas complicaciones a lo largo de su vida. Las plastias también permiten el crecimiento anular para, cuando la valvulopatía no pueda ser reparable, poder implantar una prótesis de mayor tamaño, ya definitiva y adecuada a la superficie corporal del paciente6,12.
ConclusiónEn conclusión, la valvuloplastia quirúrgica de 2 o más válvulas cardíacas en pacientes con cardiopatías congénitas es factible y tiene buenos resultados a corto-medio plazo. Se pueden emplear como tratamiento definitivo o como terapia paliativa a favor del crecimiento anular.
Conflicto de interesesLos autores declaran no tener ningún conflicto de intereses.



















