Presentamos 3 pacientes con valvulopatía aórtica. Debido a su corta edad e imposibilidad de realizar el procedimiento de Ross, optamos por reconstrucción mediante cilindro de pericardio heterólogo. Las dimensiones del rectángulo para su confección son D×4,5D, siendo D el diámetro del anillo nativo. La implantación es sencilla y reproducible.
Three patients with aortic valve disease are presented. Young age and Ross rejection prompted us to devise a cylinder-type valve made from heterologous pericardium. Rectangular measures to perform the cylinder are D×4.5D, D being equal to aortic annulus. The implantation technique is simple and reproducible.
Las opciones quirúrgicas en el tratamiento de la valvulopatía aórtica en niños son controvertidas, tanto más cuanto menor es su edad1,2. Alternativas como prótesis mecánicas, bioprótesis u homoinjertos arrojan resultados subóptimos. El autoinjerto pulmonar (operación de Ross) presenta buen comportamiento hemodinámico y menor tasa de reintervención3, aunque no es aplicable en determinadas cardiopatías (truncus, por ejemplo). Una variedad de procedimientos, englobados bajo el común de «reparación», ha surgido en los últimos años. Así, técnicas como resuspensión, plicatura, anuloplastia, adelgazamiento o extensión de velos, etc., vienen a engrosar el bagaje del cirujano. Ozaki et al. publicaron hace ya 10 años una serie inicial de reparación valvular aórtica4 en adultos consistente en sustituir la válvula nativa degenerada por 3 neovelos de pericardio autógeno curtidos con glutaraldehído, basándose (entre otros) en los trabajos de Gómez-Durán. El éxito a corto y medio plazo de su técnica animó a numerosos grupos, aunque la literatura en población infantil5 es todavía escasa.
Presentamos una serie breve de 3 pacientes (tabla 1) de corta edad con afección de la válvula sigmoidea sistémica. Habida cuenta de su pequeño tamaño, la imposibilidad de realizar el procedimiento de Ross y la escasa experiencia en técnicas de reparación, optamos por una estrategia más simple previamente descrita por Hosseinpour et al.6. Básicamente, se trata de confeccionar un cilindro de pericardio a partir de un rectángulo (fig. 1), cuyos lados miden D y 4,5D (siendo D el diámetro de la raíz aórtica). Como alternativa al pericardio autógeno, al tratarse de reintervenciones, usamos uno equino libre de glutaraldehído (Matrix Patch™, Auto Tissue Berlin GmbH, Berlín, Alemania) y de textura similar al nativo. Finalmente, dicho cilindro es implantado7 en la raíz (fig. 2) mediante una sutura circular (anillo) y 3 verticales (comisuras).
Distribución de pacientes, diagnóstico y técnicas quirúrgicas
| Paciente | Edad | Peso (kg) | Diagnóstico | Diámetro (mm) | Técnica | Seguimiento |
|---|---|---|---|---|---|---|
| 1 | 14 meses | 7 | Truncus intervenido, insuficiencia aórtica | 18 | Cilindro válvula truncal, recambio conducto | Tres años, insuficiencia truncal moderada |
| 2 | 6 meses | 6 | Switch paliativo y cerclaje, dilatación raíz aórtica | 15 | Cilindro válvula neoaórtica, recerclaje neopulmonar | Exitus 6 meses (sepsis) |
| 3 | 13 días | 3,1 | Atresia válvula aórtica, hipoplasia aorta y arco, displasia válvula pulmonar | 11 | Cilindro válvula pulmonar, bicerclaje, stent ductus | Trasplante 2 meses.Un año postrasplante |
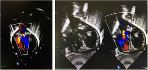
El primer paciente, mujer, presentaba un truncus arteriosus con válvula truncal tetracúspide y displásica. Con 5 días de vida, fue intervenido realizándose cierre de comunicación interventricular más conducto avalvulado de 8mm en el lado derecho y tricuspidización valvular más adelgazamiento de velos. Progresivamente fue desarrollando insuficiencia de su válvula truncal hasta hacerse severa y se reintervino con 14 meses. Descartado el procedimiento de Ross y una prótesis, las opciones de reparación resultaban escasas8. El anillo valvular medía 17-18mm de diámetro y el cilindro se confeccionó con un rectángulo de 18×80mm. Una vez implantada la neoválvula7, el conducto previo fue recambiado por uno valvulado del n.o 18. El resultado inicial y a los 6 meses fue satisfactorio (fig. 3), con una regurgitación central trivial sin gradiente. Empíricamente, se mantuvo antiagregado. Tres años más tarde, presenta una insuficiencia moderada por inmovilidad de uno de los velos.
Paciente 2Nuestro segundo caso se trataba de una niña con ventrículo único, discordancia ventriculoarterial, comunicación interventricular, hipoplasia de arco aórtico y estenosis subaórtica. En periodo neonatal se realizó un switch paliativo9 más cerclaje de tronco neopulmonar, con buen resultado. Una dilatación progresiva del anillo neoaórtico produjo una regurgitación valvular hasta convertirse en moderada-severa, a pesar de velos normales. La alternativa de una cirugía tipo David o Yacoub fue descartada, por el pequeño tamaño. Con 6 meses fue reintervenida, desmontando el cerclaje y Lecompte previos para acceder a la neorraíz aórtica10. El diámetro era de 15mm y las dimensiones del rectángulo para la confección del cilindro de 15×67mm. El resultado inmediato fue satisfactorio, con regurgitación central trivial (fig. 4). Lamentablemente, falleció 6 meses después por una sepsis de origen respiratorio, en espera del segundo tiempo para la reparación univentricular.
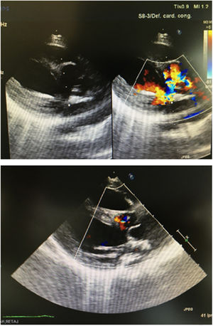
Paciente 3Finalmente, el tercer caso, un niño, nació con una atresia valvular aórtica, hipoplasia de aorta y arco, además de válvula pulmonar displásica (gradiente 60mmHg). Se daba la circunstancia de que dicha válvula pulmonar actuaba como sistémica, dando flujo anterógrado a la aorta descendente y retrógrado a los troncos supraaórticos y las coronarias. Con 13 días y 3,1kg fue intervenido, realizándose un procedimiento híbrido: cerclaje de ambas ramas pulmonares más implantación de stent ductal, además de neoválvula en posición pulmonar. Para ello, la arteria pulmonar fue seccionada inmediatamente por debajo de la bifurcación. Una de las comisuras fue abierta longitudinalmente hasta el triángulo subcomisural, dadas sus dimensiones reducidas (11mm). El cilindro se realizó a partir de un rectángulo con medidas de 11×50mm. La ecografía inicial mostraba una insuficiencia ligera paracomisural, coincidente con la apertura longitudinal previa (fig. 5). Habiendo descartado la opción de una reparación biventricular compleja (Norwood-Rastelli o técnica de Yasui) que dejase nuestra neoválvula en posición sistémica, fue trasplantado 2 meses después. Un año más tarde, se encuentra en buen estado.
DiscusiónComo apuntamos en la introducción, las técnicas de reparación valvular aórtica ganan adeptos frente a las convencionales como prótesis o Ross1–3, máxime cuando estas no son aplicables. En cualquier caso, por simple prudencia, las consideramos paliativas, asumiendo la probabilidad de necesitar nuevas cirugías en el futuro. Aunque el título de este breve trabajo apunta a la válvula aórtica, curiosamente ninguno de los 3 niños presenta una «válvula aórtica» estrictamente hablando. Se trata de una válvula truncal, otra neoaórtica tras un switch arterial y, finalmente, una pulmonar de comportamiento sistémico. De ahí la nomenclatura de válvula sigmoidea sistémica en el encabezamiento.
Otro aspecto común es el de su corta edad y sin opciones reales de prótesis ni Ross. La serie inicial de Boston5 aplicando la técnica de Ozaki en niños (57 casos, con anillo medio de 20,9±5mm) se nos antojaba no extrapolable a nuestro entorno (diámetros de 17, 15 y 11mm, respectivamente). Recientemente, el mismo grupo de Boston reporta ampliaciones de anillo aórtico junto con reconstrucción valvular con técnica de Ozaki, de ahí la búsqueda de técnicas sencillas y reproducibles6. Como puede apreciarse en el vídeo de Pardo et al.7, la confección e implantación de la válvula cilíndrica resulta relativamente simple.
Tres años después, el paciente 1 (s/p reparación truncus) ha desarrollado una insuficiencia moderada por retracción de uno de sus 3 velos, que se mantienen finos. El anillo ha pasado de 18 a 22mm, habiendo disminuido la altura de coaptación de 12 a 10mm. Asumimos que precisará una prótesis en el futuro8. En el segundo caso (insuficiencia por dilatación de neorraíz en switch arterial), preveíamos una cirugía tipo Bentall asociada al Fontan extracardiaco. Respecto al tercer niño, nuestro objetivo fue mejorar la hemodinámica en espera de un trasplante. Honestamente, no pensamos en dejar nuestra válvula como sistémica en una hipotética cirugía compleja tipo Yasui. Con esta premisa común, buscábamos una técnica de reparación sencilla y aplicable en anillos de pequeño tamaño con efecto paliativo (ganar tiempo en espera de diámetros que permitan la implantación de una prótesis convencional o trasplante, en nuestro tercer paciente).
ConclusiónLa reconstrucción de una válvula aórtica con técnica de cilindro de pericardio es simple y reproducible. No deja de ser una paliación, al menos en situaciones con anillos pequeños. Nuestro paciente con seguimiento de 3 años mantiene velos finos (aunque uno de ellos retraído), con discreta elongación del anillo y escasa disminución en la altura de coaptación.
Consideraciones éticasLos autores cuentan con el consentimiento informado de los padres de los pacientes para la publicación de este trabajo.
Conflicto de interesesLos autores declaran no tener ningún conflicto de intereses.









