To investigate the clinicopathological significance of podoplanin expression in the intratumoral stroma and neoplastic cells of early stage uterine cervical cancer.
MATERIALS AND METHODS:A total of 143 patients with clinical stage I and IIA uterine cervical carcinomas underwent surgery between 2000 and 2007. Clinicopathological data and slides associated with these cases were retrospectively reviewed. Immunodetection of podoplanin expression in histologic sections of tissue microarray blocks was performed using the monoclonal antibody D2-40.
RESULTS:Expression of podoplanin was detected in neoplastic cells in 31/143 (21.6%) cases, with 29/31 (93.5%) of these cases diagnosed as squamous carcinoma. For all of the cases examined, the strongest signal for podoplanin expression was observed at the proliferating edge of the tumor nests. The rate of positive podoplanin expression for node-positive cases was lower than that of node-negative (18.9% vs. 22.6%, respectively). Furthermore, the rate of positive podoplanin expression in fatal cases was 10.5% vs. 21.6%, respectively. In 27/143 (18.8%) cases, podoplanin expression was detected in fibroblasts of the intratumoral stroma, and this expression did not correlate with patient age, clinical stage, tumor size, histologic type, depth of infiltration, or vascular involvement. Moreover, expression of podoplanin in intratumoral stroma fibroblasts was only negatively associated with nodal metastasis. A greater number of fatal cases was observed among negative intratumoral stroma fibroblasts (15.5% vs. 3.7%, respectively), although this difference was not significant.
CONCLUSIONS:These preliminary results suggest that podoplanin may have a role in host-tumor interactions and, as a result, may represent a favorable prognostic factor for squamous cervical carcinomas.
Despite an increased emphasis on the use of intense screening to diagnose cervical cancer in its early stages over the past decade, higher rates of cervical cancer have recently been observed among women.1 In the United States, a higher incidence of cervical cancer has also been associated with African-American and Hispanic women.2 In Brazil, where uterine cervical cancer is the second most common cancer diagnosed in women, the Brazilian National Cancer Institute projects that approximately 18,430 new cases will be diagnosed in 2010.3 In the different geographical regions of Brazil, the number of uterine cervical cancer cases ranges from 12.93 to 31.18 per 100.000 women.3 As with other types of cancer, lymph node status is one of the most important factors for patient prognosis and therapeutic strategy.4,5 Therefore, there is a great need to define the mechanisms by which tumor cells enter the lymphatic vessels to give rise to lymph node metastases. Increasing evidence suggests that the epithelial-mesenchymal transition (EMT) has a role in the metastatic potential of neoplasias.6 Although the molecular mechanisms of this process have not been completely elucidated, a number of signaling molecules that may be involved have been identified, and all of these have some type of association with loss of E-cadherin function.6 For cancers involving single cell migration and an early dissemination of tumor cells, the EMT is considered to be a particularly important event.7 In contrast, the pattern of invasion by large cell sheets, often referred to as collective cell migration, is a process that is less well understood. Furthermore, unlike the EMT, these cell sheets maintain expression of epithelial adhesion structures, yet still maintain the capacity to invade and destroy the host organ.8,9
Podoplanin has been shown to mediate signaling that facilitates collective cell migration and invasion both in vivo and in vitro. These effects of podoplanin are in contrast with those of E-cadherin.8,9 Podoplanin has also been found to be widely expressed in various types of specialized cells throughout the body, including neoplastic cells associated with uterine cervical cancer.9,10 In addition, expression of podoplanin has been observed in neoplastic cells of squamous cell carcinomas localized to different areas of the body, and to be associated with poor patient outcomes.10-12 However, in cases of stromal fibroblasts, the significance of podoplanin expression remains controversial.13,14 Kawase et al. described the stromal expression of podoplanin as an adverse prognostic factor in lung carcinomas, while Yamanashi et al. found podoplanin expression to be associated with a better prognosis in patients with colorectal carcinomas.13,14
In uterine cervical carcinoma, expression of podoplanin by intratumoral stromal (ITS) cells has been cited, yet has not been specifically investigated as a potential prognostic factor.10 Therefore, the goal of this study was to analyze the association between stromal expression of podoplanin and vascular invasion, nodal involvement, and prognosis of uterine cervical cancers. In addition, the association between neoplastic expression of podoplanin and patient prognosis was examined. To our knowledge, this is the first study to examine the significance of podoplanin expression by ITS fibroblasts in cases of uterine cervical cancer.
MATERIALS AND METHODSInstitutional CertificationsThis study was approved by the Department of Obstetrics and Gynecology Scientific Committee of the Faculdade de Medicina da Universidade de São Paulo, the Ethical Committee for Research Projects of the Hospital das Clinical da Faculdade de Medicina da Universidade de São Paulo (Comissão de Ética para Análise de Pesquisa), and the Ethical Committee for Research of the Instituto Brasileiro de Controle do Cancer.
Patients and Pathological studyA cohort of 143 patients who underwent primary surgical treatment at the Instituto Brasileiro de Controle do Cancer (São Paulo, Brazil) between January 2000 and December 2007 for uterine cervical cancer were included in this study. Only patients with at least one sample of lymph node tissue available were included in the study. The clinicopathological characteristics of these patients are listed in Tables 1 and 2. Between 4 and 51 lymph nodes were examined in each case (median, 23) and in 7 cases, less than 10 lymph nodes were examined per patient. Of these cases, 3 had positive lymph nodes detected, while 4 cases were associated with superficially invasive disease and had no signs of metastasis. Patient demographics, clinical presentation, pathologic characteristics, adjuvant therapy, recurrence and survival outcome were compared for this cohort. Overall survival was measured from the date of surgery to the date of death from the disease, or the date the patient was last known to be alive. The duration of follow-up ranged from 8-97 months (median, 33), and all of the patients that completed less than 18 months of follow-up died as a result of the disease. All slides were reviewed by two pathologists (BGLA, FMC), and tumors were classified according to criteria of the World Health Organization (WHO) Classification of Tumors.15 The presence of lymphatic space involvement and depth of invasion were also evaluated for all cases. A representative area of the tumor was selected for the construction of tissue microarray blocks and immunohistochemical study.
Clinicopathologic features of 143 cases of uterine cervical cancer with respect to lymph node status
| Lymph nodes | p-value | ||
|---|---|---|---|
| Variable | Positive n (%) | Negative n (%) | |
| Age, y | 50.57 ± 15.42 | 50.28 ± 11.41 | 0.9051 |
| FIGO Stage | |||
| IB1 | 19 (13.3%) | 64 (44.7%) | 0.7782 |
| IB2 | 13 (9.1%) | 31 (21.7%) | |
| IIA | 4 (2.8%) | 12 (8.4%) | |
| Tumor size | 3.91 ± 1.74 cm | 2.84 ± 1.60 cm | 0.0011 |
| Depth of infiltration | 1.04 ± 0.26 cm | 0.73 ± 0.39 cm | < 0.0011 |
| Histologic type | |||
| Squamous carcinoma | 25 (17.5%) | 76 (53.1%) | 0.7782 |
| Adenocarcinoma | 12 (8.4%) | 30 (20.9%) | |
| Histologic grade (n = 139) | |||
| 1 | 4 (2.9%) | 22 (15.8%) | 0.2642 |
| 2 | 26 (18.7%) | 57 (41.0%) | |
| 3 | 7 (5.0%) | 23 (16.5%) | |
| Intravascular space involvement | |||
| Present | 33 (23.1%) | 35 (24.5%) | < 0.0012 |
| Absent | 4 (2.8%) | 71 (49.6%) | |
| Vaginal involvement | |||
| Present | 10 (7.0%) | 8 (5.6%) | 0.0202 |
| Absent | 28 (19.6%) | 97 (67.8%) | |
| Parametrial involvement | |||
| Present | 10 (7.0%) | 1 (0.7%) | < 0.0012 |
| Absent | 27 (18.9%) | 105 (73.4%) | |
| Podoplanin expression in ITS fibroblasts | |||
| Present | 12 (8.4%) | 15 (10.5%) | 0.0142 |
| Absent | 25 (17.5%) | 91 (63.6%) | |
| Podoplanin expression in cancer cells | |||
| Present | 7 (4.9%) | 24 (16.8%) | 0.6362 |
| Absent | 30 (20.9%) | 82 (57.3%) | |
Associations between clinicopathologic features in 143 cases of uterine cervical cancer and patient death
| Variable | Fatal Cases n (%) | Alive n (%) | p-value |
|---|---|---|---|
| Age, y | 51.26 ± 15.85 | 50.22 ± 11.99 | 0.7051 |
| FIGO Stage | |||
| IB1 | 5 (3.5%) | 78 (54.5%) | 0.0082 |
| IB2 | 11 (7.7%) | 33 (23.1%) | |
| IIA | 3 (2.1%) | 13 (9.1%) | |
| Tumor size | 4.32 ± 2.12 cm | 2.93 ± 1.55 cm | 0.0011 |
| Depth of infiltration | 0.95 ± 0.3 cm | 0.79 ± 0.39 cm | 0.0851 |
| Histologic type | |||
| Squamous carcinoma | 10 (7.0%) | 90 (62.9%) | 0.1282 |
| Adenocarcinoma | 9 (6.3%) | 34 (23.8%) | |
| Histologic grade (n = 139) | |||
| 1 | 1 (0.7%) | 25 (18.0%) | 0.9282 |
| 2 | 15 (10.8%) | 68 (48.9%) | |
| 3 | 3 (2.1%) | 27 (19.4%) | |
| Intravascular space involvement | |||
| Present | 14 (9.7%) | 54 (37.8%) | 0.0132 |
| Absent | 5 (3.5%) | 70 (48.9%) | |
| Vaginal involvement | |||
| Present | 2 (1.4%) | 16 (11.2%) | 0.7122 |
| Absent | 17 (11.9%) | 108 (75.5%) | |
| Parametrial involvement | |||
| Present | 4 (2.8%) | 7 (4.9%) | 0.0182 |
| Absent | 15 (10.4%) | 117 (81.9%) | |
| Podoplanin expression in ITS fibroblasts | |||
| Present | 1 (0.7%) | 26 (18.2%) | 0.1032 |
| Absent | 18 (12.6%) | 98 (68.5%) | |
| Podoplanin expression in cancer cells | |||
| Present | 2 (1.4%) | 29 (20.3%) | 0.2052 |
| Absent | 17 (11.9%) | 95 (66.4%) | |
Tumor areas were selected based on an analysis of slide samples, whereby regions of tumor identified in the slides were correspondingly marked in the matching paraffin donor blocks. A cylinder, 2.0 mm in diameter, was punched from each of the donor blocks and these were mounted into paraffin blocks at 1 mm intervals using a precision microarray instrument (Beecher Instruments, Silver Spring, MD, USA). A grid system was established so that each core would have a coordinate reference (i.e. x-axis, y-axis) for sample identification. Blocks were sealed at 60°C for 10 min before 3 μm sections were prepared using standard techniques. Sections were mounted on Starfrost® slides (Knittel Glaser, Germany) and the first histologic sections cut were stained with hematoxylin-eosin and examined to ensure that the appropriate areas were included.
ImmunohistochemistryAdditional histologic sections from tissue microarray (TMA) blocks were quenched with 3% hydrogen peroxide solution in phosphate-buffered saline (PBS; Sigma, St. Louis, MO, USA) for 20 min to block endogenous peroxidase activity. After several washes in PBS, sections were heated in a microwave (Electrolux, 900W, Made in Brazil) for 15 min in 0.01 M citrate buffer (pH 6.0), then cooled at RT for 20 min. Sections were then incubated with a monoclonal antibody against human podoplanin (clone D2-40; 1∶400; Dako, Carpinteria, CA, USA) overnight. Slides were washed 3 times with PBS then incubated with a novolink polymer® detection system (Novocastra, Newcastle-upon-Tyne, UK), with diaminobenzidine (DAB) as the chromogen.
Positive staining was associated with the cytoplasm of endothelial cells of the lymphatic vessels, with the cytoplasm of epithelial cells, and with the cytoplasm of ITS cells. For the purpose of this study, only the reactivity of fibroblast-like stromal cells and neoplastic cells were analyzed. When >10% of the ITS fibroblasts exhibited unequivocal staining of at least moderate intensity, the samples were recorded as positive. For the neoplastic cells, when moderate or intense staining was observed in the cytoplasm, independent of the number of stained cells present, the sample was recorded to be positive and the percentage of positive cells was recorded. Adjacent, lymphatic endothelial cells exhibiting a normal phenotype within each section served as positive internal controls. False positives were evaluated based on an absence of staining in all other non-endothelial cell types.
Statistical analysesFor comparison of age, tumor size and depth of infiltration in relation to lymph node status and patient survival, mean values were analyzed using Fisher's analysis of variance (ANOVA). The association between categorical variables and lymph node status and survival were evaluated using Pearson's Chi-square test. These statistical analyses were performed using Epi Info™, Version 3.5.1 software, (Atlanta, GA, USA). 16
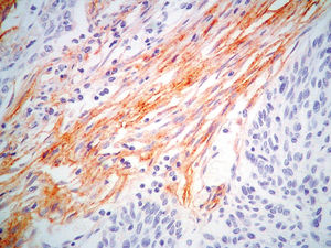
RESULTSExpression of podoplanin was identified in ITS cells in 27/143 (18.8%) cases. Of these cases, 22/27 (81.5%) were diagnosed as squamous cell carcinomas and 5/27 (18.5%) were diagnosed as adenocarcinomas (Fig. 1). Expression of podoplanin was detected in the cytoplasm of neoplastic cells in 31/143 (21.6%) cases and, of these, only 16/31 (11.2%) had a positively-stained population of more than 10%. For statistical purposes, any proportion of cells exhibiting moderate or intense staining was recorded as a positive result. Of the 5 cases diagnosed as adenocarcinomas, one was classified as an adenosquamous carcinoma, and the positively stained cells were associated with the squamous component. In all of the 31 cases examined, the positively stained cells were observed to be localized at the proliferating edge of the tumor nests (Fig. 2). Furthermore, of the 31 cases associated with positive podoplanin expression, 5 included positively stained ITS fibroblasts, although this association was not significant.
The intratumoral stroma (ITS) region of squamous cell carcinoma. A representative histologic section of the ITS region of a squamous cell carcinoma sample containing fibroblast-like cells positive for podoplanin expression is shown. (Immunohistochemistry, D2-40, original magnification, 400×).
Cytoplasmic expression of podoplanin in squamous cell carcinoma. Detection of podoplanin expression in the cytoplasm of neoplastic cells of a squamous cell carcinoma sample shows that stronger expression of podoplanin is associated with the front of invasion (Immunohistochemistry, D2-40, original magnification, 100×)
Associations between the clinicalpathological factors collected for each patient and lymph node status vs. survival data for each patient are summarized in Tables 1 and 2, respectively. Among the classical prognostic factors, there was no significant correlation between the presence of positive lymph nodes and patient age, International Federation of Gynecology and Obstetrics (FIGO is current international denomination of the International Federation of Gynecol. and Obstet., although the origin of the short name comes from the French.) stage, histologic type, or histologic grade (Table 1). However, tumor size (p = 0.001), depth of infiltration (p < 0.001), intravascular space involvement (p < 0.001), vaginal involvement (p = 0.020), and parametrial involvement (p < 0.001) were associated with positive lymph nodes (Table 1).
Regarding patient survival, age, histologic grade and vaginal involvement were not found to be significant prognostic factors. Adenocarcinomas were associated with a greater frequency of fatal cases (20.9% vs. 9.9%); however, this difference was not significant (p = 0.128, Table 2). In addition, the mean depth of infiltration was found to be greater for fatal cases, although this difference was also not significant (Table 2). In contrast, patient death was significantly associated with FIGO stage, tumor size, vascular space involvement, and parametrial involvement (Table 2).
Cases involving lymph node metastasis had a lower proportion of cancer cells that expressed podoplanin (7/30, 18.9%) compared with cases without nodal involvement (24/82, 22.6%). Fatal cases were also associated with a reduced rate of podoplanin expression in the cancer cells present (2/17, 10.5%) compared with surviving patients (29/124, 23.4%). However, these differences were not statistically significant.
Podoplanin expression in ITS fibroblasts was also found to be negatively associated with lymph node metastasis (p = 0.014). Although the proportion of fatal outcomes among the positive cases was smaller than that of the negative cases (3.7% vs. 15.5%), this difference was not statistically significant.
DISCUSSIONA tumor's microenvironment plays a significant role in tumorigenesis, with the progression from local invasion to distant metastasis events involving dynamic interactions between tumor cells and their surrounding stromata. Furthermore, the translocation of tumor cells depends on cell-cell and cell-matrix interactions, degradation and remodeling of the extracellular matrix, reorganization of the cytoskeleton, and gain of migratory behavior.17 Therefore, the role of the microenvironment in tumor progression is a key factor in understanding cancer biology.
Recent data suggest that podoplanin may be involved in cancer cell metastasis.8,9 Podoplanin is a 38 kDa mucin-type transmembrane glycoprotein that is specifically expressed by lymphatic, but not blood vascular, endothelial cells. As podoplanin appears to be present in smaller, rather than larger, lymphatic vessels and blood vessels, it is considered to be a reliable marker of lymphangiogenesis.4 Podoplanin has been hypothesized to have a role in the migration and metastasis of cancer cells, that probably involves several mechanisms. For example, Wicki et al. postulate that podoplanin has the capacity to induce cancer cell invasion by modulating not only collective cell migration, but also by mediating single cell migration following the loss of E-cadherin.8,9
Recent studies have described podoplanin expression for a subset of cancer cells, particularly squamous cell carcinomas.10-12 In some of these studies, podoplanin expression was associated with a poor patient outcome.11,12 However, the results of this study and of the work by Dumoff et al., identified a negative association between expression of podoplanin in cervical cancer and vascular involvement, and nodal metastasis.10 These results emphasize that podoplanin may have important biologic functions in cancer dissemination, which remain to be characterized. Furthermore, as demonstrated in this study and others, expression of podoplanin is generally observed at the invasion front of the tumors analyzed,8,12 thereby supporting the hypothesis that cross-talk between neoplastic cells and the stroma are the basis for mechanisms involving local invasion and cellular migration to the lymphatic vessels. Although recent studies have focused on the significance of podoplanin expression in stromal fibroblasts,13,14 these results remain controversial. For example, while Yamanashi et al. demonstrated that podoplanin expression in stromal fibroblasts can be an indicator of good prognosis in patients with advanced colorectal carcinoma,13 other studies have reported the expression of podoplanin to be associated with a poor outcome.12,14 In a study of uterine cervical cancer by Dumoff et al., podoplanin reactivity was more frequently observed in the ITS than in the normal adjacent stroma. However, the authors did not investigate a possible prognostic role.10 In this study, a lower percentage of cases expressing stromal podoplanin were observed compared to the study by Dumoff et al., with 94 cases (65.7%) being negative, and 22 (15.4%) cases containing no more than 10% of the stromal cells exhibiting positive expression of podoplanin. Furthermore, only 27 (18.9%) cases exhibited strong expression of podoplanin in more than 10% of the cells.
Most of the cases associated with positive expression of podoplanin involved squamous cell carcinoma (81.5%), which is consistent with previous reports.9-12 In addition, a significant association between stromal podoplanin expression and lymph node metastasis was observed. For survival, a fatal patient outcome was more frequently associated with podoplanin-negative cases than with podoplanin-positive cases, although this difference was not statistically significant. These results suggest that podoplanin plays an important role in tumor dissemination. Moreover, the significance of these results to cases of cervical cancer indicates that further investigation is needed, particularly with a larger cohort of patients. A phenotypic analysis of both stromal cells and cancer cells would also provide further insight into the regulation of podoplanin expression by stromal fibroblasts in relation to interactions between stromal fibroblasts and the microenvironment. It is anticipated that these mechanisms would identify molecular targets for the treatment of uterine cervical cancer in addition to other types of cancer.
CONCLUSIONSBased on the small number of cases examined in this study, our results only represent preliminary conclusions. However, the observation that podoplanin was primarily expressed in carcinomas with a squamous histologic type, and the identification of a possible role for podoplanin in mediating host-tumor interactions, suggests that podoplanin may act as a protective factor against invasion and should be further investigated.
We thank Antonio de Castro Bruni, M.S., for help with the statistical analyses, and Dr. Eloa Muniz de Freitas Alves and Prof. Joao Guidugli Neto for providing pathological materials. This work was supported by grants from the Centro de Estudos do Instituto Brasileiro de Controle do Cancer.



