Hypothermia is a frequent event in severe acute pancreatitis (AP) and its real effects on the normal pancreas have not been well demonstrated. Moreover, neither have its effects on the outcome of acute pancreatitis been fully investigated. One hypothesis is that oxidative stress may be implicated in lesions caused or treated by hypothermia.
Aim of the study:To investigate the effect of hypothermia in cerulein-induced acute pancreatitis (CIAP) in rats and the role played by oxidative stress in this process.
METHODS:Male Wistar rats were divided into hypothermic and normothermic groups. Hypothermia was induced with a cold mattress and rectal temperature was kept at 30°C for one hour. Acute pancreatitis was induced with 2 doses of cerulein (20 ìg/kg) administered at a one-hour interval. Serum amylase, pancreas vascular permeability by Evan's blue method, pancreas wet-to-dry weight ratio and histopathology were analyzed in each group.
RESULTS:When compared with normothermic rats, hypothermic animals, with cerulein-induced acute pancreatitis, showed higher levels of pancreatic vascular permeability (P < 0.05), pancreas wet-to-dry weight ratio (P = 0.03), and histologically verified edema (P < 0.05), but similar serum amylase levels. The hypothermic group showed a higher oxidized-reduced glutathione ratio than the normothermic group.
CONCLUSION:Moderate hypothermia produced a greater inflammatory response in established acute pancreatitis induced by cerulein in rats. Moreover, this study suggests that oxidative stress may be one of the mechanisms responsible for the worse outcome in hypothermic rats with cerulein-induced acute pancreatitis.
Hipotermia é um evento freqüente em episódios de pancreatite aguda, contudo seu efeito real sobre pâncreas normal ainda não esta bem demonstrado. Além do mais, o efeito da hipotermia no decorrer da pancreatite aguda também não está completamente esclarecido. Uma das hipóteses sobre as causas das lesões causadas ou tratadas por hipotermia aventa a implicação de estresse oxidativo.
OBJETIVOS:Investigar o efeito da hipotermia em ratos com pancreatite aguda induzida por ceruleína e o papel do estresse oxidativo neste processo.
MÉTODOS:Ratos Wistar machos foram divididos em grupos hipotérmicos e normotérmicos. Hipotermia foi induzida com uma bolsa gelada de forma que a temperatura retal permanecesse em 30°C por uma hora. Pancreatite aguda foi induzida com duas aplicações de ceruleína (20 ìg/kg) administradas com intervalo de uma hora. A amilase sérica, a permeabilidade vascular do pâncreas, a razão peso seco/peso úmido do pâncreas, a histopatologia e os níveis de glutationa foram analisados em cada grupo.
RESULTADOS:Ratos hipotérmicos, com pancreatite aguda induzida por ceruleína, apresentaram maiores níveis de permeabilidade vascular no pâncreas (P < 0.05), razão peso seco/peso úmido do pâncreas (P = 0.03), e edema histológico (P < 0.05), mas os níveis de amilase sérica permaneceram iguais aos níveis apresentados pelos ratos normotérmicos. O grupo hipotérmico apresentou maior relação glutationa oxidada/glutationa reduzida em relação ao grupo normotérmico.
CONCLUSÃO:Hipotermia moderada produziu uma maior resposta inflamatória em ratos com pancreatite aguda estabelecida, induzida por ceruleína, sugerindo que este efeito pode estar ligado a um maior índice de estresse oxidativo em ratos com pancreatite aguda.
In acute pancreatitis (AP), severity and prognosis are directly related with the intensity of the initial damage.1 In 15% of cases, the pancreatic lesion is severe and the mortality varies from 10 to 100%, being greater in those cases where the pancreas is necrotic and infected. Such patients require intensive care for a longer period as well as multiple surgical interventions.2–6 The systemic inflammatory response and the medical care of these patients may alter their homeostasis by causing modifications in the body temperature. These patients may be in shock, with alterations in peripheral vascular resistance, under the effect of sedatives and curare agents. Frequently, they undergo multiple surgical interventions with prolonged peritoneal exposure and general anesthesia. Therefore, the intravenous infusion of cold fluids, and loss of the protective mechanisms for maintaining their temperature may predispose them to hypothermia.7–9
It has been demonstrated that although hypothermia reduces pancreatic endocrine and exocrine secretions, it may cause deleterious alterations in the pancreas. In the presence of hypothermia, prostacyclin may be inhibited, leading to disruption of pancreatic microcirculation.10
Alterations in the arrangement of acinar cells with enzymatic co-localization and its activation in intracellular space and interstitial tissue have also been demonstrated in an experimental hypothermia study.11 Furthermore, low body temperature reduces cardiac output, causing hypotension with a further decrease in pancreatic blood flow.12,13 Hypothermia also affects oxygen dissociation from hemoglobin,7 increases blood viscosity, induces alterations in coagulation, causing thrombosis in pancreatic vessels,14 and may cause ventilatory dysfunction due to lower efficiency of the diaphragm.8
In contrast, some authors found a protective effect of mild hypothermia in experimental acute pancreatitis, with less release of amylase, lipase and inflammatory cytokines in the hypothermic groups. They also found less histological damage with hypothermia. In spite of a decrease in pancreatic metabolism with low temperatures, the exact mechanism of this protective effect is still not clear. 15,16
The ischemia and reperfusion injury has been also treated with hypothermia, and many authors have found an amelioration of the lesions in experimental studies.17–21
Several studies have suggested that oxygen radicals play a role in a very early phase of AP,22–28 and that the elevation of the pancreas oxidative status is related to the severity of the disease.26,27 Exacerbated production of free oxygen radicals is related to the alteration of blood flow and to the ischemia/reperfusion phenomena.29,30
Hypothermia as a modifying factor of oxidative stress in acute pancreatitis has not been fully clarified. Thus, the aims of this study were to investigate the effect of hypothermia in cerulein-induced acute pancreatitis (CIAP) in rats and the possible relation of oxidative stress with this condition.
MATERIALS AND METHODSAnimalsAdult male Wistar rats, weighing 220 to 280 g, were individually caged in a temperature controlled room (22-28°C), with a 12 h light-dark cycle. They were fed a standard chow diet (PurinaÒ) and water ad libitum. The experimental protocol was pre-approved by the Ethics Commission of the Hospital das Clínicas, University of São Paulo, Brazil.
Experimental DesignThe animals were randomly divided into four groups: rats without CIAP and normothermia (Control 1; n=10); rats without CIAP and hypothermia (Control 2; n = 10); rats with CIAP and normothermia (Group I; n = 18); and rats with CIAP and hypothermia (Group II; n= 18). In subsets of Group I and Group II (n = 8), the ratio of oxidized (GSSG) to reduced (GSH) glutathione was evaluated as indicative of oxidative stress.
Induction of Acute PancreatitisAcute pancreatitis was induced by an excessive dose of cerulein as described by Lampel et al.31 and modified by Abdo et al.32 Briefly, two doses of cerulein (20 µg/kg) were administered at a one-hour interval. The first cerulein dose was administered subcutaneously to unanesthetized animals. After 1 h interval, rats were anesthetized by ketamine (Ketalarâ, Parke-Davis; 100 mg/kg, i.p.) and the second dose of cerulein was injected via the dorsal penis vein. The animals were kept under anesthesia until sacrificed.
Induction of HypothermiaHypothermia was induced with the aid of a cold mattress during 1 h, immediately after the second dose of cerulein in Group II. Body temperature was kept at 30°C, as monitored by a rectal thermometer. Immediately following the hypothermic period of one hour the rats were subjected to a median laparotomy and sacrificed by cardiac punction. The pancreas was totally removed and AP was evaluated. The entire pancreas was used to measure GSSG/GSH ratios.
Evaluation of PancreatitisPancreatitis was evaluated by measuring total water content, vascular permeability (by the Evans’ blue method), and histopathological examination. Serum amylase levels were measured as described by Lichtenstein et al.13
The pancreas wet-to-dry weight ratio was calculated as the difference between fresh and dehydrated tissue. This tissue was incubated for 48 hours at 56°C. Evans’ blue dye was extracted with 3 mL of formamide (4 µg/mg of pancreatic tissue) for 24 hours. Evans’ blue concentration was determined by spectrophotometry at 620 nm.
The histology was evaluated after fixation in 10% formalin for 24 hours, with each fragment embedded in a paraffin block and cut into 0.5 micra sections. The samples where placed on glass slides and stained with hematoxylin and eosin. All the specimens were examined and scored according to 5 different degrees of tissue damage intensity, according to a standard scale (Appendix 1).33
Evaluation of GSSG/GSH ratiosOxidized (GSSG) and reduced (GSH) glutathione were measured by HPLC/electrochemical detection according to Rodriguez-Ariza et al.34 in total pancreas samples obtained from the subsets of groups I and II.
Preparation of the samples: pancreas samples each weighing 200 mg were homogenized with 1.0 mL of perchloric acid, 1.0 M containing EDTA 2.0 mM; centrifugation was performed at 29,000 g for 20 min at 4°C. The lipid phase was discarded and the supernatant was filtered through a GV Durapore 0.22 mm filter (MillexÒ, Milipore). Samples were kept at -20°C for a maximum period of one hour before being analyzed. The fractions obtained were diluted 10-fold in the mobile phase and 40 mL aliquots were injected into the HPLC apparatus.
Chromatographic method: The separations were achieved in a Shimadzu chromatograph, equipped with a LC-10AD pump, a Nucleosil C-18 (250 x 4.6 mm I.D., 5 mm particle size, 100 Å pore size) column and an ESA Coulochem II electrochemical detector; isocratic elution was performed with 20 mM phosphate buffer pH 2.7. The potential settings of the detector were: guard-cell, +0.900 V; detector 1, +0.450 V; detector 2, +0.800 V.
Statistical AnalysisThe proximal and distal portions of the pancreas were analyzed separately, except for the glutathione assay, which was performed with the total pancreas. 2-Way ANOVA was used for comparison of the paired groups. The difference was considered statistically significant when P < 0.05.
RESULTSIn the present study the AP was induced by supramaximal stimulation of the endocrine pancreas with cerulein. In this experimental model we evaluated the severity of pancreatitis by measuring pancreas total water content, vascular permeability, and histopathological examination.
Our results point out to an enhanced effect of hypothermia on pancreatic vascular permeability, both in the distal and proximal portions of the pancreas (Figure 1), in CIAP. The control 2 group, submitted to hypothermia, exhibited no significant effect in pancreatic vascular permeability (Figure 1). Serum amylase and the water content were high in groups I and II when compared with controls (p<0.05, Table 1), however, no significant differences were observed in the results of these two groups.
Serum amylase, pancreas water content and GSSG/GSH ratios in Controls and AP Groups
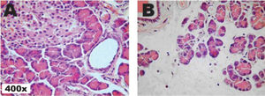
Histological studies have showed minimal edema in group I CIAP rats (figure 2, A) when compared with Group II (Figure 2, B) where a pronounced edema was observed. Accordingly, degrees of tissue damage intensity (scores according to a standard scale) point to an increased damage in pancreas of CIAP rats submitted to hypothermia (Figure 3), where differences of acinar cells were observed (Figure 3, compare Group I and Group II).
The oxidative stress evaluated through the GSSG/GSH ratio was significantly (P < 0.05) greater in Group II rats in comparison with the Group I and Control 1 rats, showing a possible role of reactive species in the observed effects of AP (Table 1).
DISCUSSIONThe present study demonstrates that moderate hypothermia induces an exacerbation of cerulein-induced acute pancreatitis as shown by enhanced vascular permeability (Figure 1), and changes in the morphology of the AP pancreas (Figure 2 and 3). The worsening of pancreatic lesions by hypothermia may be related to alterations in blood flow and pancreatic ischemia, leading to increased oxidative stress in the organ.
There is no consensus in the literature concerning the real effect of hypothermia in the pancreas or in acute pancreatitis. Recent papers show protection in acute pancreatitis induced by sodium taurocholate and cerulein with moderate hypothermia.15,16 They reduced the body temperature just after the induction of hypothermia. On the other hand, an experimental animal model in which pancreatic temperature was directly decreased resulted in histological and laboratory pancreatitis11. This author found co-localization of lysosomal and digestive enzymes, an important step in the initial process in AP.11 Moreover, hypothermia has been reported to be associated with risk for developing AP since the first report by Sano at al.35 in 1940 who found pancreatic perilobular and fat necrosis in patients with accidental hypothermia. Similar findings have been reported by others.36–38
Hypothermia has also been used to add to the preservation of the organs in transplantation, even in the case of pancreas transplantation, on account of decreased organ metabolism.39,40 Several experimental studies showed an attenuation in ischemia and reperfusion injury, in different organs (liver, lung, neuron), with hypothermia in different degrees.17–21 Hypothermia was also used as a stimulating factor for the production of heat shock proteins, that showed a prophylactic protection of organ lesions including ischemia and reperfusion injury and acute pancreatitis.41–43 Nevertheless, in clinical practice, some authors have found hyperamylasemia in hypothermic patients.44,45 Moreover, in an evaluation of 20 patients with accidental hypothermia admitted to ICU for causes other than those related to acute pancreatitis, Lichtenstein et al.13 found hyperamylasemia in 8/9 patients and necrohemorrhagic pancreatitis in 1/2 autopsies.
Heat shock proteins (HSPs) are a group of proteins that repair damaged proteins and are also involved in synthesis, degradation, folding, transport, and translocation of proteins. Induction of HSPs enhances cells ability to survive a further aggression.41–43 At the start of the inflammation process hypothermia showed a protective action in acute pancreatitis by production of heat shock proteins, in contrast when acute pancreatitis is already well established, hypothermia may play a deleterious role in pancreatic tissue inflammation and worsen its outcome. We used moderate hypothermia (30°C), as in others models of experimental pancreatitis15,16 such as can be present in clinical practice, one hour after the first injection of cerulein for induction of acute pancreatitis, and that may explain the worse outcome in hypothermic group.
It's known that glutathione (table 1) and other sulfhydryl components19 are depleted, while the lipid peroxidation is higher in the pancreatic tissue during the development of acute pancreatitis,46–48 so the oxidative stress may play an important role in lesion mechanism. Hypothermia can lead to pancreatic ischemia secondary to alterations in the cardiac output and ventilation, as well as in the pancreatic microcirculation.7,8,12,14 During the ischemic period, xanthine dehydrogenase is converted to xanthine oxidase, and upon reperfusion xanthine reacts with oxygen yielding reactive oxyradicals.49 It is known that, during the ischemic process, levels of antioxidants such as glutathione and superoxide dismutase are low, rendering the tissue prone to free radical lesions.50,51 The results of the present study demonstrate an increase in the oxidized/reduced glutathione ratio in the hypothermic group, suggesting increased oxidative stress determined by hypothermia in the cerulein-induced acute pancreatitis model.
Oxidative stress is one of the main processes during acute pancreatitis28 and the higher concentrations of reactive oxygen species in the hypothermic group suggest that it plays a role in the pathophysiology of the damage process in induced AP. How hypothermia increases the oxidative stress is still an open question. One might speculate that it damages the microcirculation, increasing pancreatic ischemia or, alternatively, that it acts directly on the pancreatic tissue, leading ultimately to the peroxidation of membranes and proteins.
In conclusion, moderate hypothermia aggravates established cerulein-induced acute pancreatitis inflammation in rats. Perhaps the most important molecular mechanisms underlying this process are those promoting a redox imbalance, which can be circumvented by the administration of antioxidant agents. Oxidative stress, like other processes that modify the outcome in acute pancreatitis, should be further investigated for it may be clinically relevant. Based on our results, special attention in controlling the patient's body temperature should be considered in the management of acute pancreatitis.
| Edema | |
| 0 | Absent |
| 0.5 | Focal expansion of interlobar septae |
| 1 | Diffuse expansion of interlobar septae |
| 1.5 | Same as 1 + focal expansion of interlobular septae |
| 2 | Same as 1 + diffuse expansion of interlobular septae |
| 2.5 | Same as 2 + focal expansion of interacinar septae |
| 3 | Same as 2 + diffuse expansion of interacinar septae |
| 3.5 | Same as 3 + focal expansion of intercellular spaces |
| 4. | Same as 3 + diffuse expansion of intercellular spaces |
| Acinar necrosis | |
| 0 | absent |
| 0.5 | Focal occurrence of 1-4 necrotic cells/HPF |
| 1 | Diffuse occurrence of 1-4 necrotic cells/HPF |
| 1.5 | Same as 1 + focal occurrence of 5-10 necrotic cells/HPF |
| 2 | Diffuse occurrence of 5-10 necrotic cells/HPF |
| 2.5 | Same as 2 + focal occurrence of 11-16 necrotic cells/HPF |
| 3 | Diffuse occurrence of 1 1-16 necrotic cells/HPF (foci of confluent necrosis) |
| 3.5 | Same as 3 + focal occurrence of > 16 necrotic cells/HPF |
| 4 | > 16 necrotic cells/HPF (Extensive confluent necrosis) |
| Hemorrhage and fat necrotis | |
| 0 | Absent |
| 0.5 | 1 focus |
| 1 | 2 foci |
| 1.5 | 3 foci |
| 2 | 4 foci |
| 2.5 | 5 foci |
| 3 | 6 foci |
| 3.5 | 7 foci |
| 4. | 8 foci |
| Inflammation and perivascular infiltrate | |
| 0 | 0-1 intralobular or perivascular leukocytes/ HPF |
| 0 | 5 2-5 intralobular or perivascular leukocytes/ HPF |
| 1 | 6-10 intralobular or perivascular leukocytes/ HPF |
| 1.5 | 11-15 intralobular or perivascular leukocytes/ HPF |
| 2 | 16-20 intralobular or perivascular leukocytes/ HPF |
| 2.5 | 21-25 intralobular or perivascular leukocytes/ HPF |
| 3 | 26-30 intralobular or perivascular leukocytes/ HPF |
| 3.5 | >30 leukocytes/HPF or focal microabscesses |
| 4 | >35 leukocytes/HPF or confluent microabscesses |
| HPF, high-power field. |




