Congenital posterolateral diaphragmatic defects, such as Bochdalek hernias (BHs), usually present during the neonatal period with respiratory symptoms and are associated with significant mortality (1). However, a subset of patients with BHs may remain asymptomatic during childhood, and the condition may present as a surgical emergency in adulthood (2). Surgical repair of the defect is the recommended therapy for all patients with BHs, regardless of the presence of symptoms (3). Traditionally, the repair of diaphragmatic defects has been performed via laparotomy or thoracotomy, but the use of laparoscopy has challenged the use of these traditional procedures. However, the laparoscopic management of incarcerated BH is rarely reported. In the present paper, we report the case of a patient who presented with a partial colonic obstruction that was caused by an incarcerated transverse colon through a Bochdalek defect and treated using a laparoscopic approach.
CASE DESCRIPTIONA 77-year-old Caucasian man was admitted to our emergency department with abdominal pain and nausea that had occurred for the previous 24 hours; the patient had a one-year history of intermittent abdominal pain and chest tightness during physical effort. He had been evaluated for these chest problems approximately one year ago at another center and was determined to have no cardiac issues. The plain chest X-rays that were taken at that time revealed consolidated areas in the left basal lung segments, and the patient was treated for a diagnosis of pneumonia. The patient did not have a significant history of trauma.
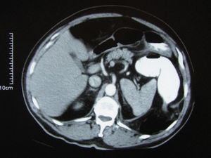
When the patient presented at our hospital, his abdomen was mildly distended and hyperactive bowel sounds were heard. A physical examination revealed muscular rigidity in the left upper quadrant of the patient's abdomen without rebound tenderness or signs of peritoneal irritation. The rectal examination revealed no masses or bleeding. The patient had a temperature of 37.5°C, a heart rate of 100/min, and a blood pressure of 160/90 mmHg. Laboratory analysis revealed an elevated white blood cell count of 19,000/mm3. The other laboratory results were normal. These signs were interpreted as a partial bowel obstruction of unknown origin because the patient was passing stool and flatus. An urgent computerized tomography (CT) scan with oral/rectal and intravenous contrast was performed; the scan revealed a left-sided BH, with a large segment of incarcerated transverse colon (Figures 1–2).
Axial CT scan shows 6-cm opening at the posterior segment of the diaphragm. Transvers colon and surrounding fat tissues enter thorax through the diaphragmatic defect. The entering segment of the colon is narrowed. These changes displace diaphragm, spleen and surrounding fat tissues anteriorly.
Sagittaly reformated CT scan shows dilated proximal transvers colon segment filled with oral contrast material. The entering segment of the colon is narrowed. Thoracic segment of the colon contains air. These changes displace diaphragm, spleen and surrounding fat tissues anteriorly and inferiorly.
The patient was taken to the operating room for laparoscopic repair of an incarcerated BH. The patient was placed in a modified lithotomy position, and five trocars were used. The intra-abdominal pressure was maintained at 10 mmHg after the pneumoperitoneum was achieved via the open technique. The head and the left side of the patient were raised to 30°. The omentum and the distal part of the transverse colon were found to be attached to the left-sided BH (Figure 3). The diaphragm was divided by a few centimeters to enable the reduction of the bowel. The dimensions of the defect were measured to be approximately 6×6 cm after the reduction of the omentum and colon into the abdomen. No signs of perforation or ischemia were present.
The defect was repaired with non-absorbable “0′' polypropylene sutures using a round-bodied 30-mm needle (Prolene; Ethicon, Bracknell, UK). An increased tidal volume was used before the last suture was placed to decrease any residual pneumothorax. A monofilament polypropylene (Prolene; Ethicon, Bracknell, UK) mesh was used to reinforce the repair, and a laparoscopic tacker was used for fixation of mesh.
The patient had an uneventful recovery, and he was discharged on postoperative day two. He remained well at his six-month follow-up, without evidence of clinical or radiological recurrence.
DISCUSSIONThe initial reports of congenital diaphragmatic hernia (CDH) date back to 1679, which was first described by Lazarus Riverius. Riverius incidentally observed a CDH in a 24-year-old man during a postmortem examination (4). In addition, an improper or absent migration of the diaphragmatic muscle was first described by Victor Alexander Bochdalek in 1948. Embryologically, the canal between the septum transversarum and the esophagus closes during the eighth week of gestation, and the failure of this closure results in a BH.
Although BHs present most often during the neonatal period, with life-threatening cardiopulmonary distress, many patients may remain asymptomatic until adulthood. A recently published study, which reviewed all cases and case series from 1955 to 2011, identified a total of 124 articles comprising a total of 173 adult patients with BHs (5). Because of the wide variation of presenting symptoms, the true incidence of the condition remains unknown. Mullins et al. reported an incidence of 0.17% after reviewing 13,138 CT scans. This previous study provides the best data on the incidence of asymptomatic BHs (6,7). Left-sided defects are more likely to produce symptoms than right-sided defects because of the protective effect of the liver on the right side of the body.
The diagnosis of a BH in adulthood is problematic because of the rarity of this disease and the variety of the presenting symptoms. The presence of bowel sounds within the chest and the absence of breath sounds are typical findings associated with a BH. Misdiagnosis of a BH is common, as reported in the current case, and may be fatal. A misdiagnosis rate of 38% has been reported by Thomas & Kapur (8). Misdiagnosis of BHs may lead to inappropriate interventions, such as tube thoracostomies (9). The patient that we described in the present case was treated for a pulmonary infection approximately one year prior to the writing of this case because of pulmonary symptoms and chest X-ray findings.
Clinicians should take great care during the management of patients with persistent pulmonary symptoms and abnormal chest X-ray findings. CT scans are the only way to directly visualize the focal defect in the diaphragm, and the presence of a soft tissue contour in the chest CT, in addition to opaque, filled, dilated bowel segments above the diaphragm, establishes a definitive diagnosis (10).
Because of the potential for life threatening complications, patients who have congenital or traumatic diaphragmatic hernias should undergo surgical repair regardless of the presence or absence of symptoms. Traditionally, the surgical management of diaphragmatic defects has been performed via laparotomy and/or thoracotomy. During the last two decades, successful laparoscopic repairs have also been reported. However, laparoscopic management of incarcerated BHs has been rarely reported (11–13). Several authors have suggested an abdominal approach for left-sided defects and a thoracic approach for right-sided hernias (14,15). The improved ability of separating adhesions between the hernia sac and pleura is the main advantage of transthoracic repair. In contrast, the management of a possible strangulation and the recognition of a possible malrotation, which is well documented with BHs, are better suited with a transabdominal approach. The ideal technique is not yet determined because of the lack of randomized trials comparing the two procedures. In addition, the procedure of choice depends on the surgeon's experience.
Regardless of the type of surgical procedure, controversy exists for parts of the management of BHs, such as the dissection of the hernia sac and the use of prosthetic grafts. Because the dissection of the sac is associated with a high risk of pleural injury, most surgeons prefer to leave the hernia sac in place (16). The development of a seroma in the remnant sac is a potential risk; however, it has been reported that the remnant sac completely disappears 30 days following surgery (60). We did not make any attempts to reduce the sac and did not observe any residual problems. Suturing the defect is likely important for the restoration of the anatomy between the thoracic and abdominal cavities. However, many surgeons prefer to construct a repair that is reinforced with a prosthetic graft because of the continuing stress on the diaphragm that results from respiratory movements and cardiac motions. Nevertheless, a tensionless type of repair has been validated as an option for BHs, which is similar to the type of repair used for all other hernia repairs. In addition, many types of meshes are available for use in these types of repairs. Although polypropylene mesh has the benefit of providing indefinite support and excellent tissue growth, erosion of the mesh into the gastrointestinal organs represents a theoretical risk. The decreased tendency for adhesion formation of polytetrafluoroethylene and other dual prostheses makes them more desirable. Surgeons should take great care during the fixation of grafts with a laparoscopic tacker where the diaphragm is relatively thin. Although a laparoscopic hernia stapler has the similar risks, such as pericardial injury, this method may be more useful near the pericardium because of the controlled firing advantage.
In conclusion, BHs are uncommon clinical findings in the adult population, and cases presenting with incarceration are even less common. CT is the preferred diagnostic tool for BHs. Laparoscopic repair of an incarcerated BH is an excellent option because of the advantages of its unique, minimally invasive nature.
AUTHOR CONTRIBUTIONSToydemir T, Akıncı H, and Tekinel M performed the surgery. Süleyman E and Acunaş B made the radiological diagnosis. Toydemir T and Süleyman E collected the data in the literature. Toydemir T, Yerdel MAY, Akıncı H, and Acunaş B authored the paper.
No potential conflict of interest was reported.




