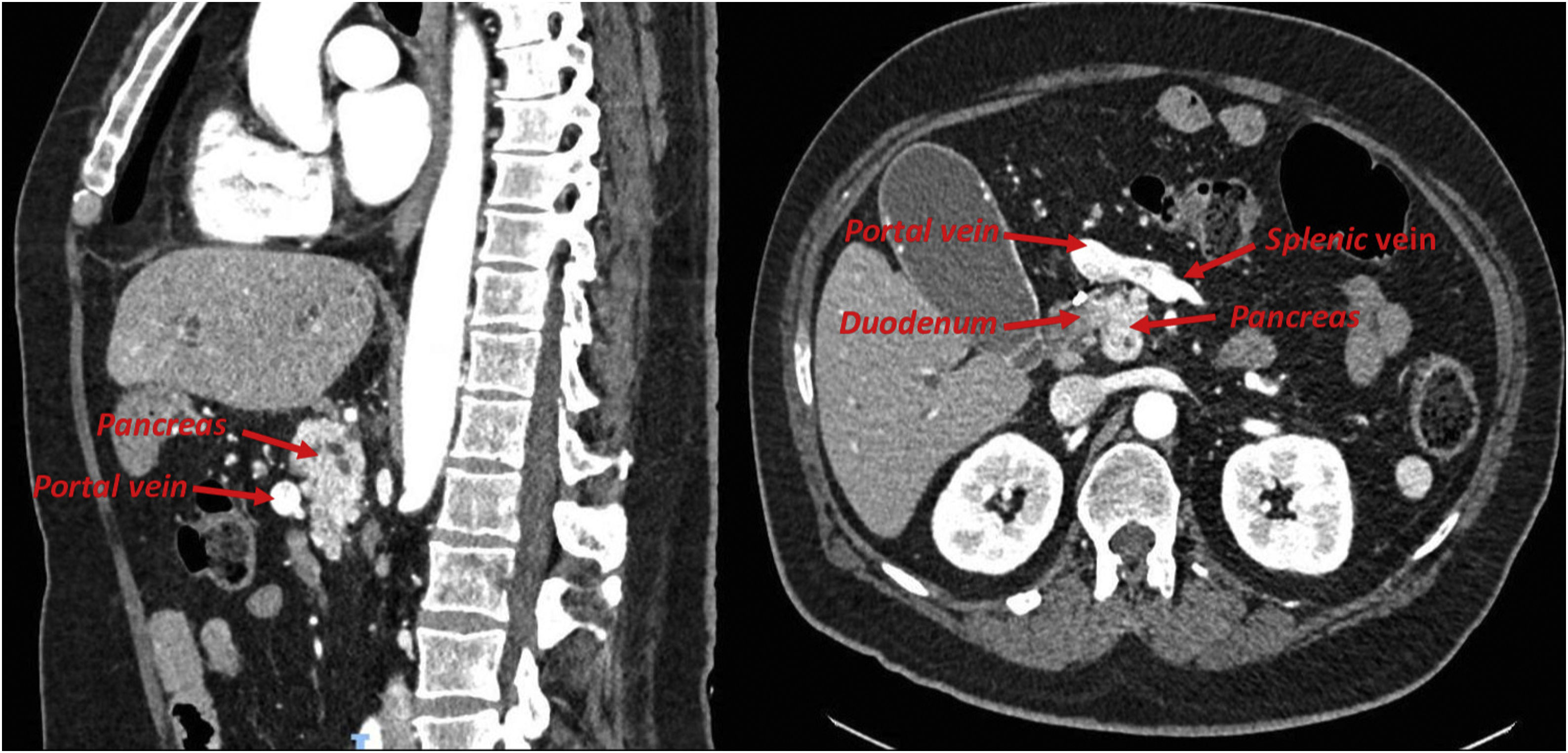
A 64-year-old male with history of SADI-S bypass was admitted due to jaundice, constitutional syndrome and hyperbilirubinemia. Abdominal CT scan showed bile ducts dilation due to a resectable pancreatic head adenocarcinoma and an incidental finding of a preduodenal portal vein (Fig. 1), an extremely rare anatomical variant with about 100 cases described worldwide.
Cephalic duodenopancreatectomy was performed with double-loop reconstruction and pancreatico-jejunal anastomosis without incidents. Preduodenal spleno-porto-mesenteric confluence was observed (Fig. 2). The biliopancreatic limb of SADI-S was used as biliopancreatic limb in double-loop reconstruction. The postoperative period was uncomplicated, and the patient was discharged with nutritional follow-up and exocrine pancreatic support.
FundingThis research has not received specific funding from public sector agencies, commercial sector, or non-profit entities.
Conflicts of interestThe authors declare no conflicts of interest.





