Introducción
Los trastornos alimenticios como la anorexia nerviosa, la bulimia nerviosa y sus variantes están en constante aumento en los países desarrollados1,2. La bulimia nerviosa, en particular, es un trastorno mental caracterizado por el consumo de cantidades exageradas de alimento antes de expulsarlo del organismo, normalmente mediante el vómito o en ocasiones gracias al uso de laxantes. Además, se caracteriza por un control patológico del peso corporal, que provoca que el/la paciente tenga una percepción distorsionada de su propio cuerpo.
Desde el punto de vista dental, la enfermedad se caracteriza por la pérdida del esmalte y la dentina, sin necesidad de una intervención bacteriana. Cuando el paciente vomita, los ácidos gástricos entran en contacto con los dientes y disuelven el esmalte y la dentina, provocando la erosión dental. El grado de esta erosión está relacionado directamente con la duración del trastorno y la frecuencia de vómitos.
La pérdida de tejido dental comporta consecuencias de naturaleza biológica (sensibilidad, exposición pulpar) y funcional (pérdida de la guía de los caninos y los incisivos), así como consecuencias estéticas.
Existe cierta controversia en cuanto a si el tratamiento solamente debe llevarse a cabo una vez se ha resuelto la enfermedad o si debe iniciarse mientras se está produciendo el trastorno. Algunos autores creen que si el trastorno persiste, las erosiones pueden extenderse más allá de los límites cervicales de las restauraciones. Sin embargo, si se combina bien un tratamiento preventivo y un tratamiento activo, pueden tener efectos beneficiosos para el paciente, incluso si el trastorno está activo3.
Odontología sustractivaaditiva y odontología aditiva
Tradicionalmente, una prótesis fija se basa en una preparación para corona de recubrimiento completo con la consiguiente pérdida de tejido sano no relacionado directamente con la patología que originó la necesidad del tratamiento. Este tratamiento se ha justificado esencialmente por la necesidad de crear un espacio para colocar y asegurar su duración en el tiempo. Ésta ha sido la estrategia en la época anterior a la existencia de los adhesivos, y la retención de los dientes estaba garantizado por macro retención.
Una preparación para corona de recubrimiento completo supone sacrificar el tejido sano, y en algunas circunstancias es necesario realizar un tratamiento de endodoncia, con un mayor coste biológico. Además, la odontología protésica tradicional es muy costosa desde el punto de vista económico.
Idealmente, la odontología debería ser aditiva y no sustractiva. Por tanto, solamente los tejidos perdidos deberían ser sustituidos por material adhesivo reteniéndose los tejidos sanos.
Desde la década de 1990 estos materiales y técnicas adhesivas han mejorado de forma significativa4, permitiendo la retención de la restauración sin necesidad de preparar una cavidad de retención.
Sobre la base de este concepto, el autor presenta la rehabilitación oral de una paciente bulímica utilizando un tratamiento aditivo en composite sin preparación dental que no requiere la colaboración de un laboratorio, exceptuando los encerados diagnósticos.
Caso clínico
La paciente, una mujer de 28 años con antecedentes de bulimia durante 12 años tratada con psicoterapia, había sido dada de alta 2 años atrás. La paciente refería problemas dentales estéticos y funcionales (sensibilidad al calor y al frío y dolor a la masticación).
La paciente no refirió dolor muscular o de la articulación temporomandibular. El maxilar inferior presentó una movilidad normal, sin restricciones ni desviaciones en la apertura. Las guías disclusivas de los caninos y los dientes anteriores estaban ausentes.
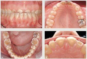
Existieron indicios claros de erosiones difusas con una pérdida importante de sustancia, especialmente en los dientes anteriores del maxilar superior y en los molares inferiores. El estado periodontal y su nivel de higiene bucal eran buenos.
Algunas de las restauraciones estaban defectuosas, no existía espacio suficiente entre los dientes anteriores para reconstrucciones futuras (figura 1).
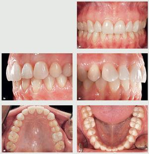
Figuras 1a a d Aspecto preoperatorio de una paciente de 28 años que había padecido bulimia durante 12 años y llevaba 2 años libre de la enfermedad. Son evidentes las erosiones con diferente grado de pérdida tisular en toda la dentición.
Objetivos del tratamiento
Los objetivos de la odontología restauradora son devolver la salud, función y estética con un tratamiento menos invasivo. Además, todos los objetivos deben ser sostenibles durante el mayor tiempo posible y el coste debe ser limitado para que el tratamiento pueda aplicarse en el mayor número posible de pacientes.
Existen varias opciones de tratamiento para lograr estos objetivos. El tratamiento tradicional de este caso en particular requería numerosas coronas de recubrimiento completo y tratamientos endodóncicos, lo que provocaría el sacrificio de una gran cantidad de tejido. Además, este tratamiento resultaría demasiado costoso para muchos pacientes, en especial entre pacientes tan jóvenes.
No existen datos publicados sobre la duración o las complicaciones inherentes de este tipo de tratamiento en pacientes de esta edad, y muchos autores se preguntan con qué frecuencia deberán rehacer este tipo de restauraciones a lo largo de su vida5.
Recientemente se han publicado tratamientos alternativos a estas rehabilitaciones tradicionales. En los casos de erosiones o abrasiones localizadas o generalizadas, estos tratamientos alternativos ofrecen la ventaja de la odontología adhesiva y la preparación dental es mínima5-10.
Plan terapéutico
El plan terapéutico se diseña alrededor de la reconstrucción de los dientes afectados por una patología erosiva con resinas de composite. En este caso, se aplicará indirectamente (técnica del armazón de composite7) en los dientes anteriores del maxilar superior y en el primer molar superior (diente 26, onlay de composite). El resto de dientes se reconstruirán de forma directa.
La secuencia del tratamiento fue la siguiente:
1) Retratamiento del conducto radicular del diente 26 y reconstrucción de composite con onlay de composite.
2) Reconstrucción de los dientes anteriores del maxilar superior con una mayor dimensión vertical de la oclusión.
3) Reconstrucción de las superficies oclusales de los dientes posteriores.
4) Reconstrucción de los bordes incisivos de los dientes anteriores del maxilar inferior.
5) Reconstrucción de las superficies vestibulares de los dientes afectados por la erosión.
Reconstrucción de las piezas anteriores del maxilar superior
Evaluación de un nuevo plan oclusal y estético
Tras la pérdida de la estructura dental es necesario aumentar la dimensión vertical de la oclusión con el objetivo de dejar espacio para reconstrucciones futuras. Este aumento se resuelve sobre la base del encerado diagnóstico. Un aumento de 2 mm en el pin del articulador es suficiente para proporcionar una buena forma anatómica.
En los molares, este aumento crea un espacio de 0,5 a 1 mm, suficiente para la reconstrucción de los dientes posteriores y no requiere la preparación del diente.
Se realiza un encerado, diagnóstico para poder evaluar los problemas estéticos y fonéticos y diseñar el plan oclusal (figuras 2a y b). Se fabrica una matriz de silicona sobre el encerado que se rellena posteriormente con composite autopolimelizable y se aplica directamente en la boca del paciente.
Figuras 2a y b Encerado diagnóstico de los dientes anteriores superiores. Las dimensiones verticales están alargadas 2 mm, creando así espacio para una forma anatómica funcional.
Al cabo de unos minutos el composite se polimeriza y se retira la matriz de silicona. Llegados a este punto pueden evaluarse los resultados estéticos (figuras 3a a e). Los incisivos centrales no eran dominantes y se pudieron alargar en el encerado. Esta nueva forma se reprodujo en las restauraciones finales (figura 3f). Es preferible utilizar una resina de composite autopolimelizable especial (ProtempTM, 3M ESPE, St. Paul, MN, EE.UU.; Cool Temp®, Coltene Whaledent, Altstätten, Suiza); ya que gracias a su elasticidad puede retirarse fácilmente y produce muy poco calor durante el fraguado.
Figura 3 La matriz de silicona obtenida del encerado se rellena con resina de composite autopolimerizable, se coloca en la boca y se deja endurecer durante 3 min (a). Una vez se ha retirado la matriz de silicona, es posible evaluar el plano oclusal, el resultado estético, y la fonación (b y c). La reducción del grosor y de la elasticidad de este composite facilita su remoción. La paciente antes, y 3 min después del mock up de composite (d y e). Además de una mejora significativa de su sonrisa, la cara tiene un aspecto más relajado y joven. Sin embargo, los incisivos centrales no eran dominantes y por tanto se alargaron aproximadamente 1 mm (f).
Fabricación de las restauraciones anteriores
Se fabricó una matriz de silicona transparente sobre el encerado diagnóstico modificado (Memosil® 2, Heraeus Kulzer, South Bend, IN, EE.UU.) (figuras 4a y 4b). El modelo, que reprodujo la situación de la paciente, se aisló con un separador de látex (Rubber Sep, Kerr Lab, Orange, CA, EE.UU.) (figura 4c).
Figura 4 Una cubeta de impresión (a) se rellena con silicona transparente y se sitúa en el encerado diagnóstico para obtener una matriz de silicona (b). Mientas tanto, el modelo de escayola que registra la situación del paciente se aisla con látex líquido (c).
El composite se aplica a la matriz de silicona con un grosor aproximado de 0,5 mm. Se aplica una cantidad de masa de dentina a la superficie palatina mientras que la masa de esmalte se aplica en la superficie vestibular. Posteriormente se reposiciona la guía de silicona en el modelo y se realiza la fotopolimerización del composite a través de la silicona transparente (figuras 5a a 5e). Llegados a este, se retira del modelo, se vuelve a fotopolimerizar durante 40 s de forma separada en cada lado (figuras 6a a, 6c).
Figura 5 Una masa de esmalte de unos 0,5 mm se sitúa en la superficie vestibular de la matriz (a), se aplica una masa de dentina a la superficie palatina (b), entonces se aplica de nuevo la matriz al modelo (c), y el composite se fotopoliremiza durante 40 s por superficie, a través de la matriz transparente (d). Se muestra un diagrama de la colocación y el grosor de las masas de esmalte y dentina (e).
Figura 6 Lado vestibular (a) y palatino (b) de las restauraciones antes de la separación proximal; las restauraciones se separaron y se recolocaron en el modelo (c).
Las restauraciones se adaptan al modelo recortándose su longitud hasta el nivel de las erosiones y por último se realiza el acabado y el pulido (figuras 7a a 7f).
Figura 7 Los armazones de composite se modelan con discos y fresas y se acortan hasta el nivel de las erosiones (a a c). Mediante una matriz de silicona obtenida del encerado se evalúa la posición de las restauraciones y su correspondencia con el encerado (d). Se realiza el acabado y pulido de las restauraciones (e y f).
Procedimientos de cementado
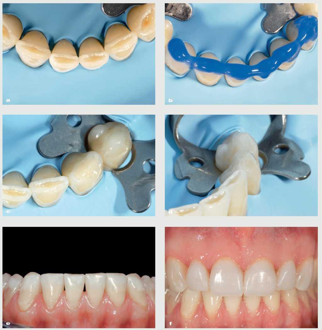
Antes del cementado se comprueba el tamaño, adaptación y posición de las restauraciones (figura 8a). Cualquier defecto se rellena con el cemento adhesivo. Antes de aplicar el dique de goma y proceder con el cementado es necesario seleccionar la dentina a utilizar como cemento y decidir si el color y la saturación son adecuadas (figuras 8b y c).
Figura 8 Comprobación de las restauraciones. Cualquier defecto se rellenará durante la cementación con adhesivo (a). Antes del proceso de cementado, la restauración se rellena con una masa de dentina y se sitúa sobre el diente (b). Ahora es posible visualizar el aspecto final y, si es necesario, realizar los cambios de color o saturación de la masa de dentina que se utilizará para el cementado. Se comprueba la posición correcta de la restauración utilizando la matriz de silicona (c). Posteriormente se retira de forma cuidadosa el composite de la restauración.
Tras la aplicación del dique de goma, los dientes se limpian con un dentífrico sin flúor. No es necesario realizar la preparación de los dientes.
El procedimiento adhesivo utiliza un sistema de «grabado total» en tres pasos. Se aplica una capa de adhesivo en la parte interna de la restauración y en los bordes externos, sin fotopolimerizar. Posteriormente la restauración se rellena de forma generosa con la dentina escogida y se aplica al diente. El exceso de composite puede modelarse en el diente y en la restauración para obtener una transición suave del diente natural a la restauración. Cada superficie se fotopoliremiza durante 40 s utilizando un método de alta resolución y posteriormente se aplica el mismo procedimiento a todos los dientes restantes. Cuando todas las restauraciones se han cementado, los dientes pueden pulirse con discos abrasivos, cintas abrasivas interproximales y puntas de goma (figura 9).
Figura 9 Tras aislar el campo operatorio con un dique de goma, los dientes se limpian cuidadosamente utilizando copas, cepillos, y una pasta de profilaxis no fluorada (a). El procedimiento de adhesión continúa utilizando un sistema adhesivo en 3 pasos. Se aplica una capa de adhesivo con un cepillo en el interior de la restauración y no se fotopoliremiza sino que se rellena con una masa de dentina (b) y se coloca en el diente (c). Cualquier exceso de composite se extiende sobre la restauración y el diente con una espátula y un cepillo para obtener márgenes lisos sin vacíos (d). Una vez se ha pulido la restauración, se realiza el mismo procedimiento en el resto de restauraciones. Restauraciones 2 días después de la cementación (e).
Restauración de los dientes posteriores y los dientes anteriores del maxilar inferior
Una vez se ha incrementado la dimensión oclusal vertical, los dientes posteriores ya no contactan (figura 10). Dos días después de haber cementado las restauraciones anteriores del maxilar superior puede comenzar la restauración de los dientes posteriores y los dientes anteriores del maxilar inferior. Las superficies oclusales y algunas superficies vestibulares necesitarán ser reconstruidas.
Figuras 10a y b Al haber aumentado la dimensión oclusal vertical, los dientes posteriores ya no presentan contacto.
En el caso de las superficies oclusales esto puede realizarse con overlay de cerámica o composite, bien mediante el método indirecto o aplicando composite guiado por la matriz8,9,11, o utilizando la técnica tradicional directa.
Varios autores han obtenido una tasa elevada de éxitos a medio plazo utilizando la técnica directa para reconstruir dientes que han experimentado erosiones o abrasiones12,13. Aún así, otro artículo de investigación ha demostrado que los composites de microrrelleno aplicados directa o indirectamente no son adecuados para la reconstrucción de los dientes posteriores erosionados o abasionados14.
En el caso aquí descrito, todas las reconstrucciones se realizaron con un composite nanohíbrido aplicado mediante la técnica directa. Naturalmente, la reconstrucción directa con composite, dado que no tiene ninguna referencia antagónica, presenta mayores dificultades y requiere una mayor experiencia clínica. Sin embargo, esta técnica es mucho más asequible para el paciente.
La preparación dental tampoco es necesaria para la reconstrucción de los premolares. El composite se aplica directamente y sustituye al tejido dental perdido. Cada cúspide debe reconstruirse con una única capa utilizando una pequeña cantidad de masa de esmalte (figuras 11a a 11f).
Figura 11 Aspecto preoperatorio de los premolares superiores (a). La parte ausente es sustituida sin preparación; la restauración se retiene mediante adhesión (b). La cúspide palatina del segundo premolar se ha reconstruido con una única capa de esmalte (c). Reconstrucción de la cúspide vestibular (d). Posteriormente se reconstruye el primer premolar utilizando el mismo procedimiento (e y f).
Los molares, a causa de las pérdidas dentarias significativas, requirieron un mayor número de capas (figura 12).
Figura 12 Cuadrante antes del tratamiento (a). Se prepara la superficie mesial del primer molar a causa de una fractura parcial de la cresta marginal (b). La dentina de los molares se ha tratado previamente y se ha cubierto con una capa de composite fluido para eliminar la sensibilidad. Procedimiento adhesivo y matriz seccional in situ (c). Capa fina de composite fluido (d). Capa de dentina (e). La colocación de capas se continúa con una masa de esmalte (f y g). Última capa de esmalte (h). Posterior acabado y pulido. Tras retirar el dique de goma se realizan los ajustes oclusales necesarios (serán muy limitados) (i y j).
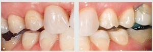
El tratamiento de las erosiones en la superficie vestibular de los dientes posteriores no necesitó la preparación de ninguna cavidad sencillamente se aplicó la resina de composite.
El borde incial de los dientes anteriores del maxilar inferior se restauró de forma directa con composite (figura 13). Posteriormente se ajustó la oclusión y el paciente fue dado de alta. Se realizaron controles oclusales a las 2 semanas, 1 mes y 9 meses (figuras 14 y 15).
Figura 13 Para evitar la acumulación de líquido, que podría empeorar las erosiones, los caninos y los incisivos se tratan con resina de composite (a). Tras el procedimiento de adhesión, las erosiones se rellenan con una masa de esmalte (b a d). Resultado tras la remoción del dique de goma (e y f). No es necesario realizar ajustes oclusales.
Figura 14 Seguimiento al cabo de 1 mes (a y b). Desde el punto de vista estético, las restauraciones están bien integradas en la cara de la paciente (c).
Figura 15a a e EV a los 9 meses.
Conclusiones
Las patologías de origen no congénico, en particular las lesiones erosivas, van en aumento en los países desarrollados y tienden a afectar principalmente a pacientes jóvenes.
Según el orden clásico de los acontecimientos, el tratamiento de estos pacientes requeriría la rehabilitación de los dientes mediante el uso de coronas, overlays, y tratamientos de endodoncia. Eso supondría una gran pérdida de tejido dental sano, así como un coste económico elevado.
Por tanto, es necesario investigar y desarrollar tratamientos alternativos que puedan satisfacer los requerimientos biológicos, funcionales y estéticos de estos pacientes jóvenes y que sean a la vez fiables y duraderos. En los últimos años se han descrito nuevas estrategias para la prevención y el tratamiento de las lesiones3,15.
La mejora de los materiales adhesivos y su fiabilidad posibilita la existencia de tratamientos alternativos. En la actualidad, las resinas de composite comercializadas han mejorado mucho desde el punto de vista mecánico y, además, ofrecen una calidad estética excelente. Estos materiales, son capaces de sustituir al tejido ausente con una preparación dental mínima, como ha demostrado claramente este caso clínico.
La técnica del armazón de composite para tratar dientes anteriores del maxilar superior, documentada aquí, no se ve apoyada por ningún estudio clínico, pero tiene su origen en la experiencia personal7. Sin embargo, el tratamiento de los dientes posteriores con resina de composite o con porcelana es algo que se ha convertido en rutinario y ha demostrado ser fiable.
El tratamiento aplicado a esta paciente, en un corto espacio de tiempo, cumplió todos los requisitos de la odontología restauradora, así como todos los deseos de la propia paciente, y todo en muy pocas citas. Además no se requirió la colaboración de ningún laboratorio exceptuando la confección de un encerado diagnóstico, el coste, tanto biológico como económico, fue mucho menor que el resultante de un tratamiento convencional.
Es más, todo el tratamiento descrito fue mínimamente invasivo y brindó la posibilidad de realizar tratamientos convencionales más invasivos en el futuro, si fueran necesarios.
Evidentemente, son necesarios más tiempo y más estudios para confirmar el rendimiento positivo a corto plazo descrito aquí.
Agradecimientos
El autor desea agradecer al técnico de laboratorio Marco Mantovan, del Laboratorio Odontotecnico Graziani e Mezzanzanica, por el encerado presentado en este artículo.
Correspondencia:
Dr Roberto C. Spreafico
Via Indipendenza, 6; 21052 Busto Arsizio, Varese, Italy
e-mail: robertosprea@tiscali.it
















