Introducción
La incidencia de lesiones cervicales exentas de caries (LCEC) ha experimentado un continuo aumento a lo largo de los años1.
La naturaleza progresiva de estas lesiones requiere un tratamiento avanzado de modo que se puedan prevenir las complicaciones biológicas y biomecánicas2-5.
La restauración conservadora de las lesiones cervicales constituye un reto para los materiales de resina debido al tipo de sustrato del que se dispone para la adhesión6, a los aspectos biomecánicos de la región cervical7 y al acceso y aislamiento del campo operativo/quirúrgico.
Son numerosos los artículos publicados en la literatura médica que hablan de estos temas, pero tan sólo algunos de ellos hacen mención al hecho de que esta región tan sólo debe abordarse una vez que se haya entendido por completo el papel que desempeña el tejido periodontal marginal a la hora de planificar y decidir el procedimiento terapéutico correcto. De hecho, ante un determinado contexto anatómico, la evaluación rigurosa del aparato periodontal constituye también una parte del proceso diagnóstico8.
La presencia de una recesión gingival asociada a las LCEC requiere la combinación de un tratamiento restaurador y periodontal para alcanzar todos los objetivos biológicos y estéticos deseados, como sería una proporción de la corona clínica ideal y una arquitectura gingival armónica9.
En este tipo de situaciones, la sola aplicación de un tratamiento restaurador estaría asociada a un elevado riesgo de lesión traumática de los tejidos peridontales y no lograría reproducir las relaciones ideales tejido-corona. Además, la retención de la restauración se podría ver alterada por la dificultad existente para aislar el campo, hecho que interfiere con una técnica de adhesión segura. Recientemente varios autores han investigado un abordaje combinado, unos obteniendo resultados a corto plazo prometedores9-13.
El presente informe de caso se centra en el tratamiento de las LCEC asociadas a recesiones gingivales múltiples utilizando un tratamiento combinado restaurador y periodontal.
Informe de caso
Un varón de 33 años, en perfecto estado de salud, acudió alegando un aspecto estético poco favorable y un aumento de la sensibilidad dental. Los dientes 16 a 13, 23 y 24 estaban afectados por LCEC y el paciente presentaba múltiples recesiones gingivales en la arcada superior, con un patrón asimétrico (figuras 1 a 6). Los principales factores que habían contribuido a esta situación fueron el empleo traumático de un cepillo dental combinado con movimientos horizontales y un consumo moderado de refrescos azucarados4,14.
Figuras 1 a 3 Aspectos frontal y lateral de la situación clínica inicial con las dos arcadas en máxima intercuspación. Se observan recesiones gingivales múltiples asociadas a lesiones cervicales exentas de caries.
Figuras 4 a 6 Aspectos preoperatorios frontal y lateral de la arcada superior. Es evidente la pérdida de la arquitectura gingival de las LCEC.
Se realizó una serie periapical completa, un periodontograma, modelos de estudio y una historia de antecedentes médicos y dentales. También se obtuvo una documentación fotográfica completa del caso.
Los objetivos del tratamiento fueron los siguientes: 1) realizar la corrección restauradora y quirúrgica de los defectos; 2) reducir la hipersensibilidad dental; 3) obtener una proporción ideal de la corona clínica, y 4) obtener una arquitectura gingival armónica15,16. Además de ello, se puso un empeño especial en procurar reducir las molestias a lo largo de todo el tratamiento, en la medida en que se redujo el tiempo total que tuvo que pasar en el sillón dental.
La exploración intraoral, así como las fotografías y los modelos de escayola pusieron de relieve que algunas de las lesiones cervicales se caracterizaban por un intenso componente horizontal con una profunda concavidad y pérdida de la unión amelocementaria (UAC) anatómica (figuras 7 a 10).
Figura 7 Diente afectado de LCEC que muestra un intenso componente horizontal con una concavidad profunda y pérdida de UAC anatómica.
Figuras 8 a 10 Aspectos frontal y lateral del modelo de estudio inicial de la arcada superior. Los modelos son fundamentales para la evaluación diagnóstica, así como para la planificación del tratamiento.
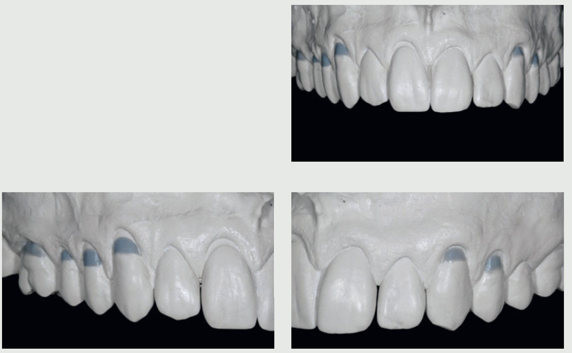
La habilidad para identificar claramente la UAC anatómica puede resultar útil en la planificación quirúrgica, dado que coincide con la línea de la cobertura radicular, al menos en ausencia de pérdida de inserción periodontal interproximal u otros factores anatómicos limitantes (rotación dental, extrusión, etc.)17. En este caso, para recuperar esta referencia se utilizaron los dientes 12 y 11 por haberse conservado su UAC (figura 11). La altura de las coronas clínicas en estos dientes se comparó con la altura media de las coronas registrada en las tablas anatómicas.
Figura 11 Se midió la altura de la corona anatómica de los dientes 11 y 12 (líneas discontinuas blancas). Esta medida se utilizó para la estimación de la altura de la corona clínica en el resto de dientes en los que había desaparecido la UAC (líneas discontinuas azules). Se prefirieron los dientes 11 y 12 a los 21 y 22 dado que la presencia de recesiones gingivales permitía identificar de una forma más clara la UAC anatómica.
Llegados a este punto, se calculó la altura de la corona clínica de todos los dientes restantes a partir de una simple proporción matemática.
La identificación clara de esta línea crea inmediatamente dos áreas de tratamiento distintas: 1) el compartimiento restaurador localizado en la porción coronal, y 2) el compartimiento periodontal localizado en la porción apical (figura 12).
Figura 12 La identificación de la UAC anatómica crea dos áreas distintas de tratamiento: el compartimiento restaurador localizado en la porción coronal (líneas discontinuas azules), el compartimiento periodontal localizado en la porción apical (áreas rojas).
Esto permite recrear la UAC anatómica perdida a través de una restauración adhesiva en el primer compartimento, dejando la porción apical de la lesión disponible para el recubrimiento radicular. Sobre un modelo de escayola se procedió al encerado siguiendo las indicaciones obtenidas mediante los cálculos realizados, con objeto de obtener una representación tridimensional del proyecto de trabajo a realizar (figuras 13 a 15).
Figuras 13 a 15 Aspectos frontal y lateral del encerado sobre el modelo en yeso siguiendo las indicaciones anatómicas.
La anatomía dental y los perfiles de emergencia fueron restaurados antes de llevar a cabo la intervención quirúrgica de las recesiones gingivales.
Antes de empezar el tratamiento, el paciente siguió un tratamiento profiláctico profesional con instrucciones de higiene oral y se le instó a que evitara cualquier traumatismo que pudiera afectar a los tejidos gingivales y a conseguir un control exhaustivo de la placa bacteriana. Todos los procedimientos restauradores y quirúrgicos fueron efectuados por el mismo clínico (MAA).
Procedimientos restauradores
Los procedimientos restauradores sobre la arcada superior se realizaron bajo el concepto de abordaje por cuadrantes en dos sesiones distintas. Las lesiones cervicales se prepararon, bajo anestesia local, con instrumentos rotatorios a una velocidad elevada, que fueron abundantemente refrigerados, y también con instrumentación manual, mediante cinceles (figura 16). Para preservar al máximo el tejido mineralizado sano se emplearon fresas redondas de diamante de distintos tamaños18. La dentina expuesta también se trató, de manera que se eliminó cualquier resto de tejido desmineralizado así como hipermineralizado, mejorando, de esta manera, la calidad del sustrato para la adhesión6.
Figura 16 Documentación para la preparación de la cavidad del diente 23 paso a paso: (a) aspecto preoperatorio del diente 23; (b) longitud ideal de la corona tal como se ha planificado en la fase diagnóstica; (c y d) identificación de la línea de acabado cervical con una fresa redonda de diamante; (e) se realiza una doble comprobación de la posición correcta de la línea de acabado cervical; (f) ameloplastia de la porción coronal de la lesión para crear un perfil de emergencia suave y así reducir cualquier sobrecontorneado de la restauración que pueda contribuir a la acumulación de la placa y a la inflamación del tejido, y (g) la línea de acabado coronal se define mejor con una fresa diamantada de gramaje fino.
Se nivelaron los márgenes de la cavidad, de modo que se podía identificar con precisión la línea de acabado (figura 17). Esto resulta útil como guía para las capas de material restaurador y para evitar un sobrecontorneado excesivo de la restauración. También se creó un ligero tope de margen de unión en el nivel cervical. La línea de acabado se situó a 1 mm apical respecto a la línea de cubrimiento radicular, con independencia de la extensión que tuviera la lesión cervical en ese momento9. Esto permite crear un perfil de emergencia más suave y previene, una vez haya cicatrizado el colgajo quirúrgico, la exposición de determinadas áreas de dentina aisladas que podría contribuir a la persistencia de la hipersensibilidad.
Figura 17 Aspecto del trazado de las líneas de acabado cervical, proximal y oclusal de la cavidad preparada.
Dada la profundidad del componente horizontal del defecto cervical, se efectuó una ameloplastia de la porción coronal de la lesión (figura 16f). Una vez más, esto pretendía reducir cualquier sobrecontorneado en la restauración que pudiera provocar el depósito de placa bacteriana, inflamación tisular y resultar, en última instancia, en una contracción del tejido durante la fase de cicatrización. Una vez acabada la preparación de la cavidad se efectuaron los procedimientos adhesivos. Se aisló cuidadosamente el campo operatorio colocando un dique de goma19,20 sobre un cuadrante cada vez, lo que permitía llevar a cabo múltiples tratamientos y comparar los perfiles anatómicos de los dientes adyacentes durante las fases quirúrgicas. Se emplearon grapas individualizadas para aislar aquellas zonas con un elevado grado de discrepancia entre los márgenes gingivales vestibulares y palatinos21,22. Una vez colocado el dique de goma se procedió al chorreado de arena (figura 18a). Se tomaron precauciones para evitar que el polvo de bicarbonato pudiera debilitar el material de unión y únicamente se utilizó polvo con base de glicina23.
Figura 18 Documentación para la restauración adhesiva del diente 23 paso a paso: (a) chorreado de la cavidad con polvo a base de glicina; (b) grabado del esmalte, y (c) grabado de la dentina.
Una vez se hubo utilizado el sistema adhesivo aplicado en tres pasos de grabado total siguiendo las instrucciones del fabricante (figuras 18b y c y 19a a c) se aplicó una fina capa de composite fluido en la cavidad sin incorporar burbujas de aire y sin sobrepasar los márgenes (figura 19c). El empleo de material fluido pretende disminuir las tensiones biomecánicas en la región cervical al mejorar la calidad de la adaptación interna de la restauración de resina de las paredes de la cavidad24-27.
Figura 19 Documentación para la restauración adhesiva del diente 23 paso a paso: (a) aplicación de la imprimación; (b) aplicación del agente adhesivo; (c) se aplicó una fina capa de composite fluido a la cavidad, y (d) se procedió a la estratificación incremental de composite de nanorrelleno en dirección coronoapical.
Para llevar a cabo las restauraciones se utilizó resina de composite de nanorrelleno. Únicamente se empleó masa de dentina dado que su reducida traslucidez y su elevada intensidad del color hacían de este material el ideal para obtener una perfecta integración en la región cervical. El composite fue colocándose por capas de forma progresiva con la ayuda de espátulas rectas y curvas de tamaño pequeño, con movimientos en dirección coronoapical para obtener máxima adaptación en el margen cervical durante la restauración del perfil anatómico en tres dimensiones (figura 19d). También se emplearon cepillos pequeños para aumentar la adaptación de los diferentes incrementos del composite.
Las restauraciones se dieron por finalizadas una vez eliminadas todas las áreas de sobrecontorneado. Este paso se completó con fresas finas de diamante y extrafinas a baja revolucion con abundante refrigeración y con instrumental oscilante diamantado. Se procedió con sumo cuidado para no provocar traumatismos termales o mecánicos en las interfases diente-restauración. De manera alterna se emplearon discos de papel de óxido de aluminio y tiras abrasivas con propiedades abrasivas decrecientes y fresas de goma blanda (figura 20). El procedimiento de pulido se retrasó 24 horas para evitar tensiones adicionales sobre la restauración y para permitir que el composite asentara29,30. Para mejorar la calidad estética de la restauración y alcanzar el nivel más alto de pulido posible se utilizaron cepillos y gomas de pulido con pasta de diamante extrafina. Finalmente, se empleó un sellador de superficie31. Antes de realizar los pasos quirúrgicos se efectuó la reevaluación del resultado de la restauración comparándolo con el encerado diagnóstico (figuras 21 a 24).
Figura 20 Documentación para la restauración adhesiva del diente 23 paso a paso: (a y b) acabado con discos y tiras de óxido de aluminio, (c) se utilizaron puntas de goma de silicona para crear una superficie suave, y (d) se utilizó un cepillo para eliminar los residuos de goma y proporcionar una superficie pulida.
Figuras 21 a 23 Aspectos frontal y lateral de la arcada superior una vez completado el tratamiento restaurador (v. figs. 13 a 15).
Figura 24 Diente 13 antes y después del tratamiento restaurador. La línea de acabado cervical de la restauración adhesiva se sitúa a 1 mm apical respecto a la línea de cubrimiento de la raíz independientemente de la extensión real de la lesión cervical (flecha discontinua).
Procedimientos periodontales
La corrección periodontal quirúrgica de las lesiones se llevó a cabo en dos sesiones, una para cada cuadrante. El cuadrante superior derecho se trató con un colgajo de reposición coronal (figuras 25 a 30). Esta técnica quirúrgica permite el tratamiento simultáneo de múltiples recesiones adyacentes, lo que reduce el número de cirugías y esto, a su vez, reduce la morbosidad total. La técnica ha sido ampliamente descrita por Zucchelli y DeSanctis32. En resumen, se realiza una incisión intrasulcular que se extiende desde el segundo molar al incisivo central bajo anestesia local con epinefrina 1:100.000 para asegurar una hemostasia óptima. Se trazaron incisiones oblicuas biseladas en las áreas interproximales que conectaban con las intrasulculares. Estas incisiones oblicuas se orientaron hacia el centro de rotación del colgajo que se correspondía con la recesión más profunda. No se utilizaron incisiones de descarga verticales. Se levantó un colgajo de espesor parcial hasta la base de la papila seguido de uno de espesor total. A continuación se levantó el colgajo perióstico hasta la unión mucogingival. A partir de este punto, se diseñó un colgajo de espesor parcial de manera que podía separarse por completo el periostio y despegar la inserción del músculo masticatorio. De esta manera, el colgajo quedaba perfectamente libre en dirección coronal y, aparentemente, con una mínima tensión o incluso sin ninguna. También se llevó a cabo la preparación de la raíz utilizando instrumentos manuales y sónicos. Para conseguir una superficie biocompatible y con objeto de no alisar excesivamente la convexidad radicular la preparación radicular realizada fue discreta. Este abordaje parece avalado por resultados recientes que cuestionaban la utilidad de una modalidad de preparación radicular más agresiva33. La papila interproximal residual se desepitelizó cuidadosamente para proporcionar un lecho receptor óptimo para la estabilidad del colgajo. En ese momento, el colgajo se colocó en posición y se consiguió una estabilización libre de tensiones utilizando suturas reabsorbibles de 5-0. Para seguir reduciendo cualquier posible movimiento del colgajo que se pudiera producir se llevaron a cabo suturas horizontales vestibularmente a lo largo de toda la extensión del colgajo.
Figuras 25 a 30 Procedimiento quirúrgico de colgajo coronal sobre el cuadrante derecho superior.
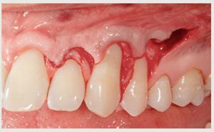
Figura 25 Aspecto preoperatorio.
Figura 26 Incisiones quirúrgicas: se trazaron incisiones oblicuas interproximales en dirección al centro de rotación del colgajo, conectadas a las incisiones intrasulculares.
Figura 27 El levantamiento del colgajo se realizó siguiendo un método de grosores combinados (parcial, total, parcial).
Figura 28 Desprendimiento del periostio y separación de la inserción del músculo masticatorio en la base del colgajo.
Figura 29 La papila se ha desepitelizado y la superficie radicular has sido preparada para recibir el colgajo.
Figura 30 El colgajo se ha colocado hacia coronal utilizando suturas pasivas.
En el cuadrante superior izquierdo se utilizó una técnica quirúrgica modificada del mismo tipo de colgajo avanzado cororalmente (figuras 31 a 36). Debido a la reducida extensión del colgajo comparado con el del cuadrante superior derecho, se realizó una incisión de descarga vertical para aumentar la movilidad del colgajo.
Figuras 31 a 36 Procedimiento quirúrgico en el cuadrante izquierdo superior.
Figura 31 Aspecto preoperatorio.
Figura 32 Para aumentar la movilidad del colgajo se diseñó un colgajo avanzado hacia coronal con una incisión de descarga vertical. Nótese la incisión submarginal sobre el diente 22 para evitar que se produzca un excesivo desplazamiento hacia coronal del colgajo en los dientes proximales que no habían resultado afectados por las recesiones.
Figura 33 Levantamiento del colgajo.
Figura 34 Tras la separación del periostio y de la inserción del músculo se obtuvo un elevado grado de desplazamiento del colgajo hacia coronal.
Figura 35 Las papilas se desepitelizaron y la superficie radicular se preparó para recibir el colgajo.
Figura 36 El colgajo se suturó en su posición.
Además, se trazó una incision submarginal en el diente 22 para evitar un desplazamiento excesivamente coronal del colgajo hacia el diente proximal que no se hallaba afectado por un defecto de recesión pero sí que estaba incluido en el colgajo quirúrgico. Esto podría prevenir cualquier tensión no deseada sobre el colgajo y mejorar la adaptación tisular. El tratamiento postoperatorio incluye la administración de antiinflamatorios (ibuprofeno, 400 mg dos veces al día) y enjuagues/colutorios de clorhexidina al 0,2 % dos veces al día hasta que se eliminen las suturas y el paciente pueda volver a cepillarse los dientes. Las suturas se extrajeron unos 15 días más tarde. La cicatrización se produjo sin incidencias (figuras 37 a 42). Al paciente se le programaron visitas de seguimiento cada 4 meses. Se logró el recubrimiento completo de las recesiones gingivales y el paciente no refirió hipersensibilidad. El seguimiento a los 12 meses mostró un resultado estético excelente y con una integración fisiológica del material de restauración con la nueva arquitectura gingival (figuras 43 a 45). En este caso y coincidiendo con otros informes34, parece que se produjo un aumento en la cantidad de encía queratinizada.
Figuras 37 a 39 Aspectos frontal y lateral de la arcada superior una vez completada la corrección de los defectos mucogingivales.
Figuras 40 a 42 Aspectos frontal y lateral de la arcada superior a los 6 meses de la cirugía.
Figuras 43 a 45 Aspectos frontal y lateral de la arcada superior al año del tratamiento. Los resultados estéticos óptimos se obtuvieron a través de la completa integración de las restauraciones cervicales con la nueva arquitectura gingival.
Discusión
Las LCEC asociadas a recesiones gingivales pueden considerarse como uno de los principales problemas estéticos en la odontología moderna. Datos epidemiológicos recientes muestran que el 65 % de las LCEC se localizan en la arcada superior. Los dientes que resultan afectados con mayor frecuencia son el primer premolar (26 %), el primer molar (25 %), el segundo premolar (20 %) y el canino (20 %)5. Por ello, la alteración de la arquitectura gingival combinada con las lesiones de tipo erosivo puede derivar en asimetría gingival y en la alteración de la altura de la corona clínica. Cuando estas características se combinan con una línea de la sonrisa elevada o amplia, la percepción estética de la sonrisa resultante puede ser negativa.
Estudios clínicos recientes informan sobre los resultados a corto plazo del abordaje combinado restauradorperiodontal en el tratamiento de las LCEC asociadas a recesiones gingivales10-13,35. Para tratar estas lesiones cervicales se han empleado restauraciones de composite10 o de ionómero de vidrio modificado11-13. A continuación, se corrigieron los defectos residuales provocados por la recesión con un colgajo avanzado coronalmente10,11, con un injerto de tejido conectivo12,13,35. La presencia de una restauración no sólo no produjo un efecto negativo sobre el grado de recubrimiento radicular, sino que mejoró de forma significativa el resultado estético del tratamiento y redujo la hipersensibilidad dental.
A pesar de las limitadas muestras histológicas existentes sobre este tratamiento combinado36,37, se ha constatado que el epitelio de unión largo y la formación de inserción de tejido conectivo están directamente relacionados con el grado de pulido y con la compatibilidad del material de restauración. La ausencia de toda alteración significativa de los parámetros clínicos periodontales (sangrado durante la prueba de sondaje, nivel de inserción clínica, profundidad de la bolsa de sondaje) con el tiempo parece estar justificada por la ausencia de toda variación de la anchura biológica13. Cabe señalar que este abordaje combinado restaurador-periodontal posee algunas ventajas. Desde un punto de vista restaurador, la reducida extensión de la obturación situada a 1 mm apical respecto a la línea de la cobertura radicular reducirá de manera significativa la tensión biomecánica ejercida sobre la restauración por los movimientos funcionales o parafuncionales. El movimiento de flexión entre la corona clínica y la raíz en la región cervical ha demostrado ser un factor que contribuye al inicio y la progresión de las LCEC7,24. De forma simultánea, el mismo mecanismo puede estar implicado en el fracaso mecánico de la restauración adhesiva. Más aún, la localización supragingival del campo operativo permite simplificar el aislamiento sin interferir con el periodonto marginal. También se aligeran los procedimientos de acabado y pulido de la restauración, y como numerosos autores recomiendan, es posible llevar a cabo un abordaje diferido sin provocar traumatismos adicionales en los tejidos marginales. Retrasar el pulido hasta 24 horas es lo recomendado para evitar la formación de un defecto y mejorar la calidad de la superficie de las restauraciones cervicales de composite29,30. Desde un punto de vista periodontal, la restauración de la UAC clínica y la creación de un perfil de emergencia fisiológico proporcionan las directrices para llevar a cabo una planificación quirúrgica óptima en la que se favorece la adaptación del colgajo. La adaptación exacta del tejido marginal queratinizado del colgajo a la convexidad de las coronas clínicas restauradas favorecida por las suturas suspensorias minimiza la exposición del coágulo sanguíneo en la cavidad oral y, a la vez, aumenta el espacio entre los tejidos blandos y la raíz. Este espacio quedará ocupado por un coágulo estable que madurará con el tejido conectivo. Éste podía ser el responsable del aumento de grosor del tejido blando en la zona vestibular como consecuencia de los procedimientos realizados para levantar el colgajo, (figuras 46 y 47). El cuidado del paciente en su domicilio y el mantenimiento también pueden mejorar si se restaura las proporciones dentales y la arquitectura gingival.
Figuras 46 Secuencia de tratamiento lado a lado, de izquierda a derecha que incluye el aspecto preoperatorio, el tratamiento restaurador y los resultados de la cirugía plástica: (a) diente 13 y (b) dientes 16 a 14.
Figura 47 Secuencia de tratamiento lado a lado, de izquierda a derecha que incluye el aspecto preoperatorio, el tratamiento restaurador y los resultados de la cirugía plástica: (a) diente 23 y (b) diente 24.
Conclusión
En resumen, las LCEC asociadas a recesiones gingivales requieren de los esfuerzos combinados periodontales y restauradores de todo el equipo odontológico. Los factores clave para obtener unos resultados predecibles son establecer un diagnóstico acertado y planificar en el tiempo la estrategia de tratamiento. Son necesarios más datos a largo plazo a partir de muestras poblacionales más amplias.
Correspondencia:
Mario Alessio Allegri
Vicolo S. Faustino 2, 37129 Verona, Italy; Tel: 0458015670; Fax: 0458015670;
e-mail: marioallegri1973@libero.it

































