Introducción
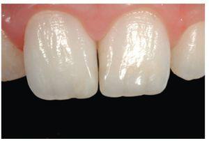
La odontología adhesiva ha permitido restaurar la funcionalidad completa de los dientes, creando una unión a los tejidos duros y conservando al mismo tiempo en la medida de lo posible los tejidos dentarios sanos (figuras. 1-3).
Figura 1 Paciente de 16 años de edad con una restauración deficiente en el diente número 11 y una erupción pasiva evidente.
Figura 2 Gingivectomía para redefinir la longitud de los dientes.
Figura 3 El caso terminado tras la reconstrucción con composite, realizada tras la cicatrización de los tejidos gingivales.
Antes de la introducción de los sistemas adhesivos, los clínicos tenían que crear retenciones mecánicas para los materiales. Cuando esto no era posible, se recurría a soluciones protésicas en vez de conservadoras.
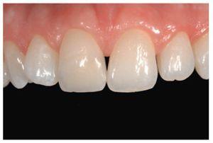
Desde un punto de vista práctico, los sistemas de resinas compuestas y adhesivos han hecho posible utilizar procedimientos menos invasivos para tratar casos clínicos que en otra época habrían exigido sacrificar una cantidad importante de estructura dentaria. Esto significa que en la actualidad los clínicos pueden ofrecer planes de tratamiento individualizados, caracterizados por un ahorro importante tanto en términos biológicos como económicos (figuras. 4-13).
Figura 4 Paciente de 33 años insatisfecha con su sonrisa pero con medios económicos limitados.
Figura 5 Tras retirar las restauraciones antiguas, fue evidente que no sería posible restaurar el sector anterior con composite y técnica directa con una inversión de tiempo de trabajo en sillón razonable y una gran calidad.
Figura 6 Tras obturar las cavidades, se toman impresiones para planificar la restauración indirecta vestibular aditiva: el encerado diagnóstico y las llaves de silicona son fundamentales para un plan de tratamiento individualizado.
Figura 7 Con la ayuda de la llave de silicona se transfiere el proyecto planificado a la boca de la paciente usando composite fluido.
Figura 8 Ahora la paciente puede evaluar el impacto estético y fonético del nuevo proyecto y el clínico puede preparar el espacio necesario directamente sobre el mock-up.
Figura 9 Las impresiones son transferidas al laboratorio: se fabrican carillas a partir del encerado con silicona transparente y una mufla. Este método permite confeccionar restauraciones de forma sencilla y rápida.
Figura 10 La fotografía recalca las nuevas dimensiones de las carillas de composite aditivas: la estructura sana de los seis dientes anteriores prácticamente no se ha tocado.
Figura 11 El caso terminado con una buena integración estética, pagando un precio relativamente bajo en términos biológicos y económicos.
Figura 12a y b La situación antes y después de la intervención: la solución aditiva permite reintervenir sin sacrificar estructura dentaria en el caso de que la paciente más tarde decidiera optar por otras soluciones restauradoras o requiriera un tratamiento endodóntico en el futuro.
Figura 13 La sonrisa de la paciente.
En los últimos años, se ha producido una revolución, no sólo en el uso de la resina compuesta, sino también en la forma de manipularla. Inicialmente, este material fue visto simplemente como una forma estéticamente agradable de obturar cavidades3. Tuvo que pasar tiempo hasta que los clínicos empezaran a utilizar unos grosores predeterminados de dentina y esmalte para crear una restauración de aspecto natural4-8. Esta técnica, conocida como estratificación, tiene sus orígenes en la forma de trabajar de los ceramistas y ha conducido al desarrollo de composites especialmente diseñados con este fin9.
Dentro de la gama de resinas compuestas del mercado hay un intento constante de encontrar materiales de dentina y esmalte con propiedades ópticas y mecánicas similares a las de los tejidos naturales.
Como resultado de su evolución, el composite ya no es considerado únicamente una alternativa «estética» a otros materiales inaceptables en el sector anterior, sino un material con sus propias propiedades exclusivas que combina la estética con la función10.
Estas propiedades, de hecho, son lo que ha hecho posible utilizar composite para soluciones tanto directas como indirectas y en el sector anterior y posterior. Su extrema versatilidad permite que tenga un amplio abanico de aplicaciones11-14.
Los composites no sólo han sustituido a otros materiales del pasado, también han aportado un valor añadido al ejercicio clínico gracias a sus características exclusivas.
Colores y forma
Durante décadas, la selección del color ha sido debatida por los clínicos, para los que es una decisión complicada15. En la actualidad, la literatura ofrece varias sugerencias, al igual que la observación de la naturaleza y la experiencia clínica16.
Hasta hace unos años habría sido impensable no hacer referencia a las guías de color virtuales, que sólo daban una idea aproximada del color con el que se debía confeccionar una restauración. Desde que se introdujo un concepto de color universal, muchos materiales han sido simplificados.
En la actualidad, se acepta de forma universal que el color de base deriva del núcleo de dentina y que el esmalte actúa como un modificador del color dentinario. El grosor del esmalte es el factor decisivo para el color del diente, y este factor cambia a lo largo del tiempo (figura 14)17.
Figura 14a El color del diente deriva de la dentina, pero el esmalte tiene un papel de importancia capital, tal y como se puede ver en estas muestras de composite confeccionadas de manera especial. Es el grosor del esmalte lo que determina las diferentes edades de los dientes.
Figura 14b Ajustando de forma cuidadosa el grosor del esmalte en los incisivos es posible reproducir la opalescencia natural sin añadir composite transparente y cambiar la «edad» del diente.
En consecuencia, la selección de la dentina se centra en un único tono base con diferentes cromaticidades y un sistema de esmalte asociado para modificar el color. No obstante, muchos clínicos siguen teniendo dudas sobre la selección del tono cromático y el número de tonos de dentina a utilizar al crear una restauración. En nuestro estudio, hemos intentado simplificar la cuestión creando discos de composite con el mismo valor cromático (A3), pero con grosores variables. Este análisis visual demuestra cómo un grosor diferente produce un resultado cromático distinto (figura 15).
Figura 15 Capas uniformes de dentina A3 con un grosor creciente: al incrementar el grosor, aumenta la saturación del color (cromaticidad).
Como una restauración dental es creada con diferentes grosores (figura 16) desde la región cervical a la incisal, la experiencia clínica sugiere la conveniencia de utilizar un número mínimo de colores de dentina y modificar su efecto cromático ajustando el grosor y usando esmalte para modificar el color base. Para este tipo de restauración, manejar correctamente el espacio dedicado a cada material tiene una importancia capital. Cualquier aplicación aleatoria es una decisión irracional (figuras 17-19)18.
Figura 16 Correcta reproducción de las capas de dentina en un diente joven.
Figura 17 Paciente de 8 años de edad, con fractura traumática de los dientes 11 y 21.
Figura 18a y b Para conseguir una restauración estéticamente atractiva es importante controlar de forma concienzuda las capas de dentina y esmalte.
Figura 19 El caso, en una revisión después de un año.
Para ahorrar tiempo de trabajo en clínica en odontología reconstructiva, es necesario manejar de forma precisa las cantidades de composite que se aplican. Un pequeño exceso o defecto de material puede marcar un fracaso estético y obligar a repetir la restauración, llevando, en otras palabras, a una pérdida de tiempo significativa.
Por ello, los clínicos no deberían buscar el éxito estético únicamente confiando en la marca de un composite en particular o en el uso de un gran número de jeringas en un único diente. Más bien deberían buscar los métodos y las directrices que les ayuden a manejar correctamente el espacio para asegurar una superposición adecuada de materiales con diferentes grados de translucidez.
Por ello, el manejo de la forma de una restauración parecería ser el tema central de este debate19.
Para optimizar el tiempo de trabajo en clínica y los resultados, es necesario empezar a pensar en cómo aplicar los materiales restauradores incluso antes de eliminar la caries o la restauración antigua, para así evitar perder toda la información dimensional que después habrá que reproducir.
Es fundamental disponer de una guía eficiente y estable para la reconstrucción, y ésta es proporcionada por la llave de silicona pesada. Esta guía puede ser creada a partir de la restauración antigua antes de retirarla, una restauración provisional o un encerado20.
Asimismo, los autores sugieren aplicar matrices seccionales preformadas con múltiples convexidades en las secciones anteriores para facilitar la obtención de un perfil de emergencia natural y optimizar la posición del punto de contacto interproximal (ver caso clínico).
Grosor tridimensional
La utilización de la llave de silicona y la matriz interproximal nos permite manejar dos dimensiones del espacio de la restauración: altura y anchura. La mayor dificultad radica en el manejo de la tercera dimensión -el grosor del diente- y esto, según la experiencia de los autores, es la principal causa de los fracasos estéticos.
Calcular correctamente el grosor de los materiales opacos y translúcidos alternantes es un paso crucial al reconstruir un diente con composites. Es un hecho conocido que los materiales de esmalte tienden a incrementar el «efecto grisáceo» a medida que va aumentando su grosor, atenuando así el color de la dentina subyacente, tal y como se puede ver en las muestras de la figura 20.
Figura 20 En el centro, una muestra de dentina A3 sobre la que se han superpuesto grosores crecientes de esmalte. Cuanto más grueso el esmalte, mayor el efecto de recubrimiento del color dentinario con la consecuente tendencia a producir un color grisáceo.
Cómo solucionar este problema
En los casos más complejos, los autores recomiendan fabricar una llave de silicona que también reproduzca la cara vestibular de los dientes. A continuación, esta llave puede ser cortada en diferentes planos, frontales o sagitales. Esta aplicación, utilizada ya en el campo de la prostodoncia, permite al clínico controlar de forma adecuada el grosor de los dos materiales. También permite decidir cuánto espacio conviene dejar para el esmalte, tras evaluar la opacidad del esmalte natural del paciente y elegir el composite (ver caso clínico).
Como regla general, los autores recomiendan dejar un espacio que no supere la mitad del grosor del esmalte natural.
Una de las innovaciones más interesantes en el mundo de los composites es la reciente introducción de tonos de esmalte altamente refractivos, con un índice de refracción muy cercano al del esmalte natural. Tal y como se puede ver en el ejemplo de la figura 21, el uso de este tipo de esmalte aumenta el grosor sin incrementar el efecto grisáceo; todo lo contrario, la luminosidad aumenta.
Figura 21 En el centro una muestra de dentina A3 sobre la que se han superpuesto grosores crecientes de un esmalte de nueva generación (HRI) (en sentido horario). Al incrementar los grosores, la dentina queda cubierta, pero no se produce un efecto grisáceo indeseado.
Esto puede ser una gran ayuda para el clínico durante el complicado proceso de manejo de una parte crucial del diente como es el esmalte vestibular.
La selección de los materiales
El tipo de composite a utilizar es una decisión importante para el clínico. ¿Cómo podemos identificar la mejor opción?
A veces, recibimos recomendaciones de clínicos con más experiencia que asumen el papel de asesores, o de un dictante de confianza en una conferencia.
El riesgo de estos casos radica en que a veces la destreza personal de un compañero o de un clínico con mucho prestigio puede afectar a las características intrínsecas del propio material. En otras ocasiones, la selección del material puede verse influida por el equipo de comerciales de una empresa que presentan el último material del mercado, el «producto milagroso» con propiedades mecánicas y estéticas mágicas, nuevas fórmulas químicas y propiedades camaleónicas.
En otros casos, los clínicos confían en las marcas de composite más conocidas y paradójicamente, tal y como han demostrado los estudios estadísticos y las clasificaciones de los productos más demandados, en algunos países se sigue haciendo uso de materiales marcadamente obsoletos.
Desde el punto de vista físico y químico, los materiales han sufrido muchos cambios a lo largo del tiempo, tal y como ha sido mencionado anteriormente. Tras la evolución de los sistemas industriales, las casas comerciales han intentado encontrar un material estable tanto desde el punto de vista micromecánico como estético. En la actualidad, utilizan una gran variedad de partículas de relleno de diferentes dimensiones para optimizar la mezcla con un porcentaje de resina.
Actualmente, los composites más utilizados son los híbridos. Este material contiene partículas de diferentes dimensiones que encajan entre sí a modo de rompecabezas, reduciendo así el porcentaje de resina a un valor mínimo. Aunque la resina es esencial para unir las partículas de relleno, es el eslabón más débil del producto final, ya que se deteriora en entornos húmedos. Una de las ventajas de esta familia de composites híbridos es su gran nivel de estabilidad mecánica, aunque en ocasiones es difícil obtener de inmediato una superficie altamente pulida. También requieren un mantenimiento continuo para conservar el resultado final.
Las nanopartículas de relleno son merecedoras de un debate adicional. Los composites fabricados a partir de estos materiales fueron creados mediante un proceso tecnológico industrial complejo y tienen la ventaja de ser extremadamente homogéneos y estar compuestos por partículas de tamaño nanométrico. En la actualidad, hay muy pocos composites en el mercado fabricados con nanorrellenos puros. Varias empresas han adoptado la filosofía de combinar diferentes porcentajes de nano y microhíbridos.
Los inconvenientes de estos materiales se encuentran en su manipulación. Su elevada viscosidad hace que estos composites sean difíciles de estratificar, especialmente en la región anterior, en la que, como ya se ha mencionado, es necesario controlar los grosores de las capas de forma escrupulosa.
Otra dificultad radica en sus pobres resultados estéticos. La optimización micromecánica de estos materiales (dureza superficial) se ha conseguido a costa de los resultados estéticos, probablemente debido a la falta de conocimientos sobre la relación de estas partículas tan minúsculas con la luz. Mezclar nanocomposites con diferentes porcentajes de composites de micropartícula parece haber optimizado el resultado estético, similar a la calidad obtenida con la última generación de híbridos puros.
Cómo evaluar los composites desde el punto de vista estético
Los fabricantes de composites por lo general diseñan kits compuestos por un número determinado de jeringas que contienen tonos de dentina y de esmalte. Los materiales dentinarios se dividen en grupos de color (A, B, C y D) y diferentes cromas según la saturación del color. Los diferentes cromas están identificados mediante números, con el número más elevado indicando el color dentinario más oscuro.
En la actualidad, hay dos tendencias en el mercado. Algunos fabricantes simplifican sus sistemas, tal y como se ha descrito anteriormente, y eliminan todos los tonos dentinarios excepto el tono A. En vista de la literatura publicada hasta ahora21 y según la experiencia clínica de los autores, ésta podría ser una sabia decisión.
Varios sistemas recomiendan asociar materiales de esmalte y dentina del mismo tipo (por ejemplo, dentina A2 con esmalte A2, etc.). Esta decisión parece estar basada principalmente en el deseo de simplificar la manipulación y facilidad de lectura del sistema más que en la investigación científica. En realidad, como ya se ha recalcado, el esmalte modifica el color base de la dentina y su influencia está relacionada directamente con el grosor del esmalte natural:- cuanto más grueso es, más blanco y opaco es el diente22.
Presumiblemente, los productos anteriormente mencionados están caracterizados por un contraste cromático entre la dentina y el esmalte, que tiene menos saturación de color, como si el esmalte fuera dentina diluida, para tener un aspecto más translúcido. Algunos fabricantes incluyen en sus sistemas un producto llamado «body». Según las instrucciones, se debería reconstruir una capa de tejido dentario ausente bastante opaco con una capa correspondiente de material «body», cubriéndola después con una capa de tono de esmalte. Este tono «body» parece ser un material de translucidez intermedia, algunas veces conocido como «universal» (un único producto utilizado para fabricar una restauración).
Otros fabricantes, sin embargo, proponen sistemas que contienen únicamente materiales de dentina y esmalte. Normalmente, la dentina de estos sistemas es muy intensa y el esmalte modifica el color base con matices de blanco o ámbar. Estos fabricantes recomiendan identificar el tono de esmalte necesario basándose en la edad del paciente y el grosor del esmalte residual, que pierde luminosidad y tono blanco fisiológicamente con el paso del tiempo permitiendo que se transparente el color base de la dentina. Asimismo, casi todos los fabricantes ofrecen esmaltes de «efectos especiales» para la reproducción de capas altamente translúcidas, como la opalescencia naranja o azul del tercio incisal del diente natural.
De este análisis general se pueden derivar una serie de conclusiones:
¿ Los fabricantes tienden a ofrecer sistemas -por lo menos en teoría- cada vez más simplificados para acelerar y optimizar el resultado final.
¿ La «globalización» presente en el campo odontológico impulsa a los fabricantes a desarrollar productos que puedan ser aceptados en diferentes mercados con necesidad y filosofías de trabajo diversas.
El mercado estadounidense y sus demandas puede ser un buen ejemplo de este fenómeno. En él, los composites son vistos mayoritariamente como un material para restauraciones de tamaño pequeño a medio en dientes anteriores, resolviendo las restauraciones más complejas preferiblemente con materiales cerámicos. También se debería observar que los pacientes norteamericanos prefieren la uniformidad y el brillo, obtenidos mediante el uso de materiales de color blanco brillante. El mercado norteamericano centra su atención en materiales cromáticamente «simples», como dentinas poco saturadas (a veces, menos que A1) y esmaltes apropiados para restauraciones posblanqueamiento.
El mercado europeo, por otra parte, tiende a ser más conservador y pretende integrar la restauración en la sonrisa natural del paciente. Los clínicos que trabajan en Europa prestan más atención a los detalles y los matices del color y los efectos que se pueden obtener con los composites modernos23.
Por ello, existen muchas oportunidades para la confusión. La experiencia demuestra que las instrucciones que acompañan los productos a menudo tienen poca utilidad (figura 22). Es más, los clínicos a menudo caen en la trampa de dividir los materiales en aquellos considerados «simples» y aquellos diseñados para los «obsesos de la estética», como si hubiera pacientes o dentistas interesados en restauraciones estéticamente desagradables. Asimismo, los clínicos exigen materiales con propiedades camaleónicas, como si fuera posible que una jeringa pudiera contener tal producto milagroso.
Figura 22 Dientes reconstruidos con el mismo grosor de dentina A3 de nueve composites distintos y un esmalte de luminosidad media y 0,5 de grosor controlado. Es evidente que en la inspección final las restauraciones tienen un aspecto totalmente distinto.
Cómo superar estas dificultades
Para dejar las cosas perfectamente claras, el producto milagroso no existe. Utilizado incorrectamente, incluso el material más propicio a la estética puede producir resultados terribles, igual que el peor material puede dar resultados satisfactorios en las manos correctas.
En consecuencia, el camino hacia el éxito consiste en practicar de forma continua con el material de elección, fabricando varias muestras y aplicando diferentes técnicas de estratificación.
¿Es posible valorar de forma objetiva un composite?
La primera sugerencia sería confeccionar una guía de color personalizada. Con demasiada frecuencia, las guías de color presentadas por el fabricante no son realistas y a menudo están fabricadas con un material distinto, como plástico o cartón, o incluso directamente no existen.
Hay muchos instrumentos en el mercado que se pueden utilizar para crear discos de diferentes grosores homogéneos, y esto le puede transmitir al clínico una idea clara de las propiedades del composite como la opacidad, translucidez y la saturación de pigmentos (figura 23).
Figura 23 Es posible encontrar herramientas para controlar el grosor del material y crear guías de color individuales.
Otro ejercicio muy interesante consiste en intentar adivinar si un tubo contiene dentina o esmalte sin mirar la etiqueta. Algunas jeringas resultan tener poca utilidad, y otras ofrecerán la posibilidad de integrarlas muy bien en diferentes sistemas. Por supuesto, este ejercicio no abarca todo, pero es un buen punto de partida para una evaluación crítica y analítica.
Sin embargo, está claro que, objetivamente, al comparar muestras con un mismo grosor y un mismo color de diferentes marcas, la saturación y la translucidez son completamente diferentes. Esto explica la necesidad de crear una guía de color individualizada, especialmente si usamos diferentes sistemas de composites (figura 24).
Figura 24 Muestras de A3 del mismo grosor de nueve marcas diferentes; obsérvese la diferencia de color y translucidez. ¿Cuál de ellas es realmente un A3?
El siguiente punto consiste en centrarnos en las propiedades físicas y ópticas de los composites para crear una escala de prioridades generales. Tal y como se muestra en la tabla 1, algunas propiedades mecánicas y estéticas parecen ser absolutamente necesarias en relación con las necesidades de la restauración, mientras que otras son poco atractivas o inútiles, o incluso perjudiciales. Sobre la base de la literatura reciente24, pero sobre todo de la experiencia clínica, los autores han intentado desarrollar un sistema para evaluar los composites presentes en el mercado. Concentrándonos en la forma anatómica de los dientes naturales, es posible hacer algunas recomendaciones sobre el grosor de las capas (figura 25). De hecho, la dentina es la capa más importante desde el punto de vista volumétrico y cromático y representa la capa crucial para que la restauración final se integre con el resto de los dientes.
Figura 25 Un diente de composite reconstruido con dos capas de dentina y una capa de esmalte palatino y vestibular en diferentes tamaños. Éste es el modelo elegido para analizar los materiales del mercado.
En este punto, es posible modelar el núcleo de dentina de forma tridimensional, tal y como se ha mencionado anteriormente, limitando las masas de dentina a dos y sacando provecho de la variación de los grosores en el diente. Una impresión de silicona pesada, tomada a partir de un incisivo natural completo, permitió crear una copia en composite (figura 26).
Figura 26 Una copia en composite de un diente natural para manejar los espacios de dentina y esmalte.
De esta forma, el diente fue dividido en tres capas: núcleo de dentina, dentina (creando anatomía interna tipo mamelones y opalescencia) y el esmalte de la superficie vestibular (figura 27).
Figura 27 Las guías de silicona pesada para la preparación de las masas de dentina y las masas dentinarias preconstruidas. Desde la izquierda: la dentina base seguida de la segunda dentina para simular las diferentes anatomías opalescentes de un diente joven, adulto y de edad avanzada.
Con la ayuda del calibrado y un sistema de medición del grosor, se prepararon tres tipos de muestras:
¿ El tipo uno estaba únicamente compuesto por un núcleo de dentina.
¿ El tipo dos estaba confeccionado con dentina base conjuntamente con dentina modelada anatómicamente para reproducir la opalescencia incisal de un diente joven (tres mamelones), adulto (ventana horizontal) y de edad avanzada.
¿ El tipo tres estaba compuesto por el núcleo de dentina anteriormente descrito con tres espacios libres diferentes de 0,3, 0,5 y 0,7 mm con el fin de reproducir de forma uniforme tres valores diferentes de esmalte superficial (figura 28)
Figura 28 Muestras para la confección de dentinas de diferentes grosores (0,3, 0,5 y 0,7 mm) para simular la pérdida de esmalte que se produce al envejecer el diente.
Se tomaron impresiones de estos tres modelos, que fueron insertadas en una mufla de laboratorio creada para este fin, por medio de una guía de silicona transparente (figura 29).
Figura 29 Se utiliza la mufla para formar el esmalte, fraguando el material a través de la silicona transparente con el fin de obtener una muestra con un grosor homogéneo.
Analizando las muestras de color en la guía prefabricada, se identificaron dos colores de dentina y tres tipos de esmalte diferentes de cada sistema de composite disponible en el mercado. La selección de las muestras se basó en el análisis de dos clínicos expertos, un dentista y un protésico dental, que analizaron las escalas de color sin conocer la marca del producto o las masas utilizadas. Se pidió a los evaluadores que identificaran las masas y basaran sus decisiones en sus conocimientos y su experiencia clínica, con el fin de seleccionar tres edades dentales.
Se reprodujeron tres dientes de composite con grosores homogéneamente distribuidos de material con cada marca de composite, por lo que los resultados fueron fáciles de comparar (figuras 30 y 31). Los datos recogidos por los autores durante esta experiencia ciertamente son empíricos, pero se acercan mucho a la realidad clínica del ejercicio cotidiano de la odontología. Por ello, se consideró que aportó valor a las aseveraciones anteriores.
Figura 30 Ahora se eliminan los excesos de composite de esmalte de forma mecánica.
Figura 31 Las muestras acabadas y pulidas están listas para ser examinadas bajo diferentes fuentes de luz para su evaluación final.
¿ Cualquier sistema de composites del mercado puede ser reducido a un número limitado de jeringas útiles en la reconstrucción de todos los dientes naturales. Cualquier excepción puede ser resuelta utilizando masas para efectos y colores especiales, apropiados para recalcar translucideces especiales y características individuales.
¿ En la mayoría de los materiales analizados, las elecciones de los clínicos aparentemente estaban en desacuerdo con el uso recomendado por el fabricante. Si se desea optimizar el trabajo con el composite elegido, es imperativo construir una guía de color personalizada compuesta por muestras de grosores homogéneos para identificar la masa correcta.
¿ Los clínicos y protésicos dentales especializados poseen una cantidad extraordinaria de conocimientos y experiencia en relación con los problemas asociados a la reproducción del color de los dientes naturales y los materiales apropiados para ello.
¿ Escuchando sus sugerencias y analizando los materiales con los instrumentos de medición del color disponibles en la actualidad (espectrofotómetro), los fabricantes podrían simplificar aún más sus sistemas, lo que sería extremadamente beneficioso para el ejercicio clínico diario. De hecho, se ha observado que el mejor rendimiento clínico ha sido ofrecido por productos producidos con este espíritu de colaboración.
Caso clínico
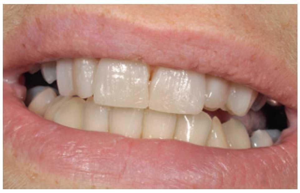
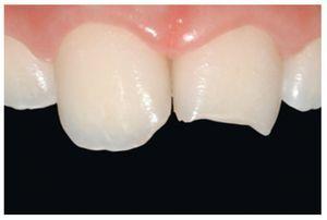
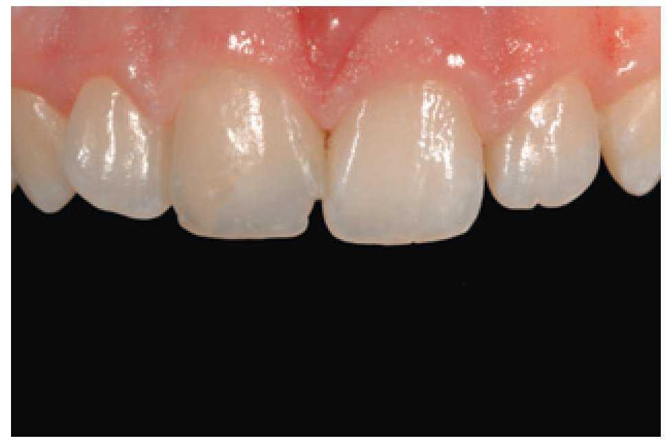
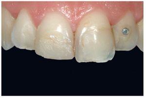
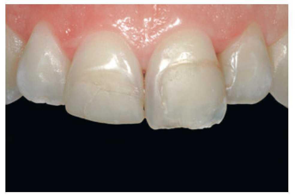
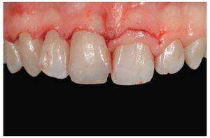
La paciente era una mujer de 32 años de edad con elevadas exigencias estéticas que acudió a la clínica necesitando un tratamiento de urgencia, tras haber pegado ella misma un fragmento de composite con cianoacrilato a una restauración preexistente en el diente número 11. No mencionó dolor ni hipersensibilidad térmica, pero sí se quejó de un leve sangrado gingival esporádico. La exploración clínica (figura 32) reveló la presencia de una serie de restauraciones de resina en los dientes 11, 21 y 22, incongruentes en términos de perfil de emergencia, color y grado de acabado, con márgenes teñidos infiltrados por caries secundaria. Más importante que esto, las restauraciones eran estética y anatómicamente deficientes. La exploración de los tejidos gingivales reveló la presencia de una gingivitis marginal causada por la deficiente higiene de la paciente y un gran acúmulo de placa bacteriana. Aún así, el aparato periodontal aparentemente estaba en buen estado.
Figura 32 Imagen previa al tratamiento que muestra el intento de la paciente de pegar un fragmento fracturado de composite en el diente número 11, alteraciones de las restauraciones existentes y evidencia del grado de contaminación por placa bacteriana.
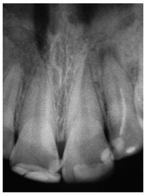
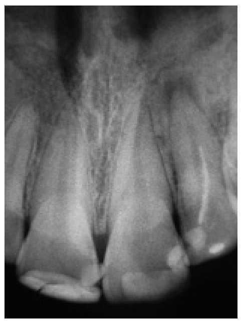
La exploración radiográfica confirmó las zonas de infiltración de caries y asimismo reveló un tratamiento endodóntico incorrecto en el diente número 22, en el que el acceso se había realizado exclusivamente a través de la cavidad de clase III mesial, con la consecuente lesión periapical asintomática (figura 33).
Figura 33 Radiografía del tratamiento endodóntico del diente número 22 con acceso a través de la cavidad de clase III mesial, con lesiones periapicales.
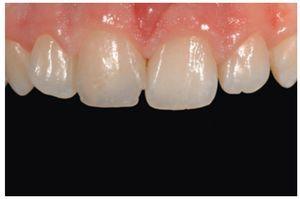
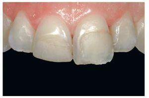
Tras una limpieza exhaustiva y una sesión de motivación sobre higiene oral (figura 34), el plan de tratamiento prosiguió con una limpieza cavitaria minuciosa para eliminar la por caries. Los márgenes fueron pulidos para eliminar las zonas que pudieran retener placa bacteriana y se realizó un retratamiento de conductos.
Figura 34 Vista del grupo incisivo tras fase de higiene oral, motivación de la paciente y limpieza de las restauraciones provisionales.
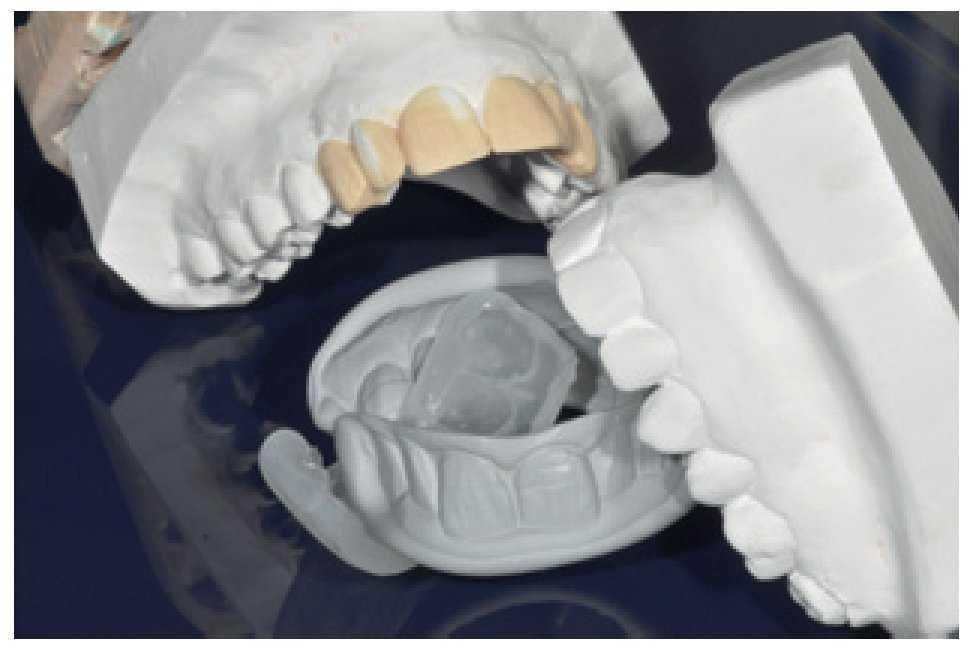
Sólo en este punto se empezó a estudiar la forma de los dientes, y el primer paso consistió en pedirle a la paciente que nos proporcionara fotografías tomadas antes de recibir sus restauraciones. Se realizó un encerado diagnóstico sobre modelos de escayola extradura (figura 35). Estos modelos de escayola fueron usados para fabricar en el laboratorio una serie de llaves de silicona pesada de soporte palatino, seccionándolas en dirección sagital y vestibulopalatina. Estas guías son indispensables para establecer las paredes palatinas y controlar el grosor del composite durante la técnica de estratificación, así como para ejercer de matriz para la forma final de las restauraciones.
Figura 35 Llave de silicona fabricada en el laboratorio a partir del encerado.
Adicionalmente, se confeccionó un mapa de color personalizado, tras realizar un análisis cuidadoso de los dientes bajo una fuente de luz de 5.500 K (Trueshade Lamp, Optident, Ilkley, Reino Unido). Tras aislar cuidadosamente el campo de trabajo de 14 a 24 con un dique de goma de tipo medio (Nic Tone, Cooley & Cooley, Houston, TX, EE.UU.) y clamps W2 (Hu-Friedy, Rotterdam, Países Bajos) y comprobar que la llave de silicona pesada ajustaba perfectamente recortándola con una hoja de bisturí n 15 en los sitios necesarios, se retiraron las obturaciones de composite deficientes con una fresa diamantada cilíndrica de grano medio (figura 36).
Figura 36 Aislamiento del campo con dique de goma y preparaciones cavitarias (vista palatina).
La preparación del esmalte se limitó al establecimiento de unos márgenes limpios, bien acabados y un chámfer en la línea de terminación vestibular para conseguir que la transición entre el composite y el esmalte natural fuera invisible. Se prestó gran atención al acabado de los márgenes de la preparación con puntas de silicona montadas en un contraángulo, a baja velocidad, para alisar suavemente la preparación y eliminar los prismas de esmalte sin soporte que se fracturarían durante la contracción de polimerización y conducirían a un cambio de color y la posterior infiltración de la restauración.
Esta operación fue llevada a cabo bajo la aplicación constante de refrigeración mediante spray de agua (figura 37).
Figura 37 Paso de acabado de los márgenes cavitarios.
Una vez acabada la preparación cavitaria, la matriz de silicona permitió visualizar la forma, el grosor, las futuras dimensiones y las correctas relaciones interproximales.
Esto es una ayuda importante, ya que consigue que el trabajo sea predecible, permite gestionar bien el tiempo y limita el tiempo de trabajo en el sillón. Asimismo, las matrices transparentes seccionales con múltiples convexidades (KerrHawe, Bioggio, Suiza) también son una ayuda útil en el manejo del tiempo, ya que permiten al clínico crear de forma sencilla e intuitiva unos perfiles de emergencia correctos. Éstas son las herramientas para gestionar de forma correcta la configuración de las restauraciones, eliminando cualquier exceso de material que conllevaría intervenciones de remodelado laboriosas y difíciles, con el riesgo añadido de dañar los dientes adyacentes y perder los puntos de contacto. Una matriz seccional es un medio útil para restaurar la anatomía interproximal gracias a su elasticidad intrínseca, que hace que sea altamente adaptable a un gran número de morfologías dentales (figuras 38 y 39). Asimismo, ayuda a evitar la contaminación accidental de los dientes adyacentes durante las fases de grabado y adhesión (figura 40). La aplicación combinada de una llave estable y matrices seccionales permite al clínico manejar de forma sencilla e intuitiva incluso las formas dentales más complejas en un único paso, optimizando así tanto el tiempo de trabajo como el resultado final (figuras 41-44).
Figura 38 Uso de una matriz seccional transparente para restaurar los perfiles de emergencia y puntos de contacto correctos.
Figura 39 Paso de estratificación, cavidad de clase III en diente número 22.
Figura 40 Uso de la matriz seccional durante la fase de grabado de la cavidad para evitar la contaminación de los elementos adyacentes.
Figura 41 Uso combinado de la llave de silicona y la matriz seccional para «encofrar» al mismo tiempo en palatino e interproximal.
Figura 42 Llave de silicona con corte vestibulopalatino en un encerado.
Figura 43 Fase de estratificación. La distribución y el grosor de las diferentes masas son controlados en sentido vestibulopalatino mediante el uso de la llave de silicona seccional.
Figura 44 Uso combinado de la llave de silicona y la matriz seccional para el control y la estratificación del perfil de emergencia y el punto de contacto mesial.
Una vez delimitada la forma geométrica de la cavidad con márgenes interproximales bien definidos y ángulos incisales, es posible centrarse en la reconstrucción del núcleo de dentina (Enamel plus HFO, Micerium, Avegno, Italia). Esto implica desaturar el color en dirección cervicoincisal con dos capas diferentes de dentina y recubrir gradualmente la preparación casi por completo desde el margen vestibular con el fin de que el punto de encuentro entre el esmalte y el composite sea casi invisible.
El núcleo dentinario del incisivo fue modelado dejando suficiente espacio para añadir las características específicas y la opalescencia registradas en el esquema de color confeccionado en la fase de estudio preliminar.
El grosor del composite interno es controlado con otra llave de silicona pesada fabricada en el laboratorio cortada en el plano sagital (figura 42). Esto permite controlar la cantidad y distribución del composite dentinario en sentido sagital, con el fin de dejar justo el espacio correcto para el esmalte y no reducir la luminosidad de la restauración (figura 43). La estratificación termina con una capa muy fina del tono del esmalte (Enamel plus HFO), con un grosor no superior a 0,3-0,4 mm. Se realiza una polimerización final de 60 segundos de duración en presencia de glicerina para evitar el acceso de oxígeno a la superficie. La presencia de oxígeno contrarrestaría la polimerización completa del composite y reduciría la resistencia superficial del material (figuras 45-48).
Figura 45 Paso de reconstrucción del núcleo de dentina usando la técnica de desaturación del color trabajando desde palatino hacia vestibular.
Figura 46 Establecimiento de la opalescencia incisal y las características internas.
Figura 47 Composite de esmalte vestibular y paso final de polimerización con gel de glicerina.
Figura 48 Búsqueda de la macro y microtextura superficial antes del pulido final.
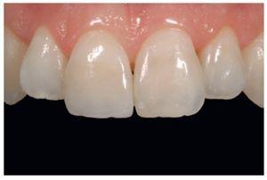
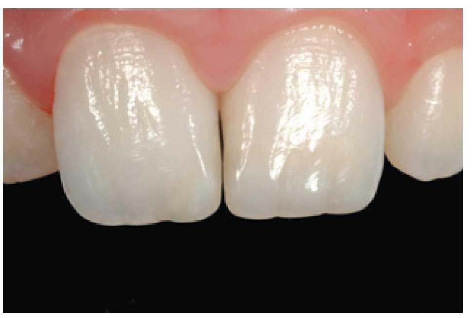
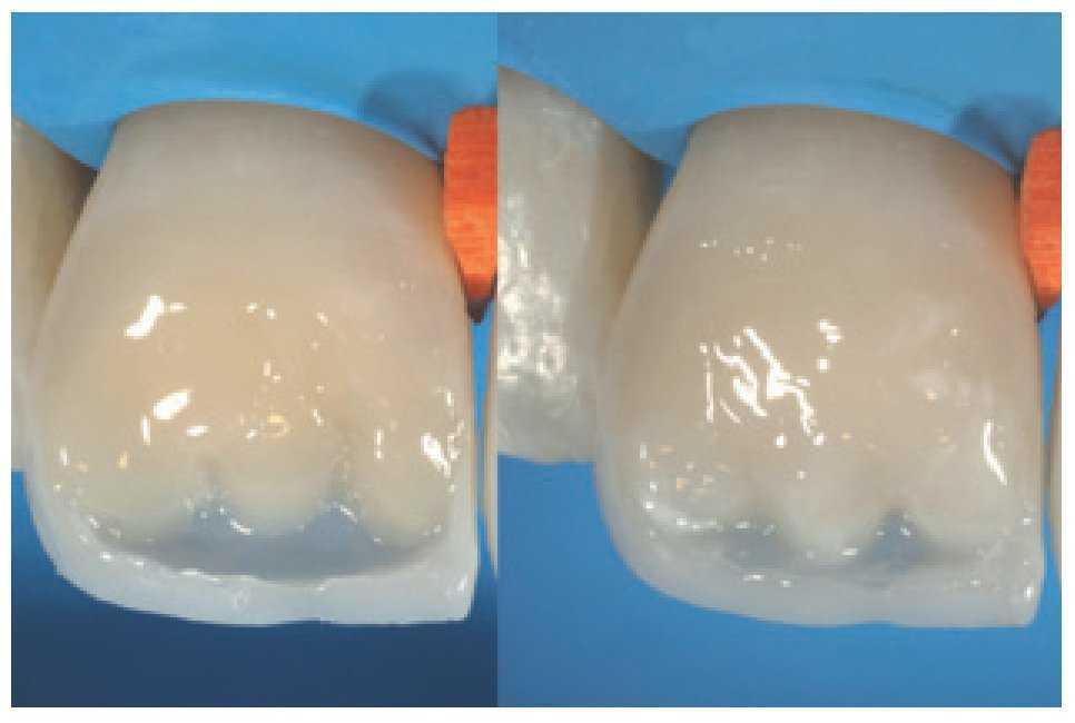
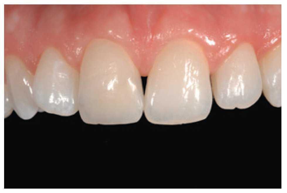
El pulido final es fundamental para el éxito estético de las restauraciones, ya que una superficie brillante y lisa reduce el acúmulo de placa y previene la decoloración de los dientes (Shiny System, Micerium). Al final, la restauración pulida presentaba una superficie muy similar a la del diente natural (figuras 49 y 50). No obstante, este nivel de resultado clínico obtenido con una técnica directa sólo es posible con un manejo correcto de la forma y la reconstrucción. Estos parámetros deben ser determinados antes de instaurar los procedimientos clínicos (figuras 51 y 52).
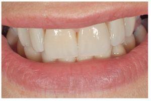
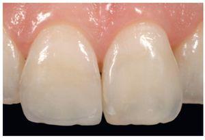
Figura 49 Vista de las restauraciones y los elementos rehidratados después de 72 horas.
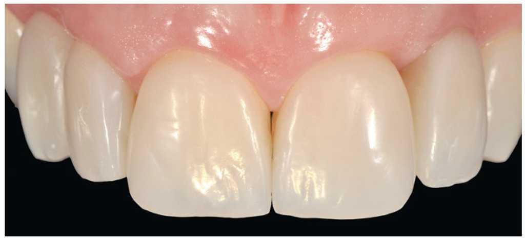
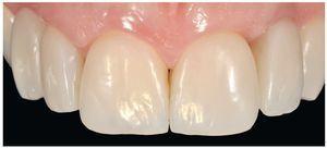
Figura 50 Buena integración estética de las restauraciones y salud de los tejidos periodontales 30 días después del tratamiento.
Figura 51 Control radiográfico de las restauraciones y la endodoncia (a) y control radiográfico de las restauraciones dos años después del tratamiento (b) con resolución de la imagen periapical translúcida.
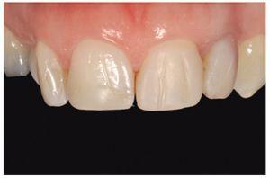
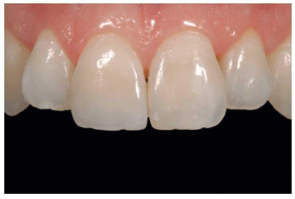
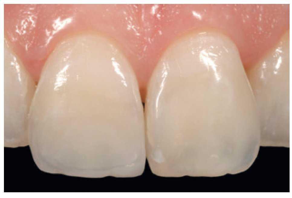
Figura 52 Revisión a los dos años.
Conclusiones
En la actualidad, los composites permiten a los clínicos fabricar restauraciones de gran nivel estético que al mismo tiempo son mínimamente invasivas, duraderas y económicas para el paciente26. Asimismo, el nivel de riesgo asociado a lo largo del tiempo es bajo y manejable. La reintervención es relativamente sencilla y económica, y las fracturas o defectos que puedan aparecer con el tiempo son reparables sin tener que repetir toda la restauración, lo que conlleva ventajas conservadoras y económicas para el paciente.
Las dudas que pueden tener los clínicos suelen estar asociadas a la cantidad de tiempo que hay que invertir en el sillón y a la dificultad de conseguir buenos resultados estéticos todos los días. Como consecuencia de ello, se prefieren técnicas más invasivas, como las restauraciones cerámicas.
Los autores piensan que los tiempos de trabajo están asociados de forma inevitable a ciertos pasos obligatorios (preparación, fase adhesiva, reconstrucción con cantidades limitadas de composite para reducir la contracción, tiempo de polimerización correctos para cada capa de material). Aún así, con los instrumentos y las guías que se han analizado en el presente artículo, la técnica de estratificación puede ser clave para el éxito a largo plazo de la restauración desde el punto de vista tanto clínico como estético. Esto permite al clínico evitar decepciones a corto plazo que requieren reparaciones y suponen además pérdidas de tiempo considerables.
Es crucial entender que una restauración exitosa empieza con la correcta selección del material de base. No obstante, no existe ningún material milagroso en el mercado y el resultado final depende fundamentalmente de la destreza manual del clínico y, lo que es más importante, de su habilidad a la hora de seleccionar las técnicas correctas que simplifican el trabajo cotidiano (figura 53).
Figura 53 Practicar de forma constante y disponer de unos buenos conocimientos sobre los materiales permite a los clínicos reproducir todos los detalles, incluso defectos estéticos graves como un diente que ha cambiado de color por la acción de antibióticos.
En esta profesión, el éxito no debe ser medido únicamente por unos resultados excepcionales, sino más bien por unos buenos estándares cotidianos con respecto a la gestión de los tiempos y a la limitación de los riesgos a largo plazo.
Agradecimientos
Los autores quieren expresar su más sincero agradecimiento a las siguientes personas: el Dr. G. Paolone (Roma) por su ayuda en la recopilación de la bibliografía, el Dr. F. Menghetti (Grossetto) por el tratamiento endodóntico y quirúrgico del caso clínico y el Sr. D. Rondoni (Savona) por su valiosa colaboración en el análisis del composite.
Correspondencia: Dr Walter Devoto
Via E. Fico 106/8; 16039 Sestri Levante, Italia
e-mail: dewal@tele2.it;
www.italianshadeguides.com
























































