Paciente femenino de 13 años de edad, con severa disfunción craneomandibular. Presenta sintomatología dolorosa e hipertonicidad muscular generalizada, vértigo, dificultad para caminar, limitación de movimientos mandibulares, masticación débil y apertura bucal máxima de 17mm clase II esqueletal por retrognatismo mandibular, micrognatismo, perfil convexo, severo apiñamiento dental anterior superior e inferior. Los objetivos del tratamiento fueron lograr una oclusión estable, mejorar el tono muscular y la función craneomandibular. Disminuir en lo posible el dolor, obtener una apertura bucal adecuada. El tratamiento inició con reprogramación neuromuscular con férula de miorrelajación, termoterapia con calor húmedo, relajantes musculares y posteriormente tratamiento ortodóntico. Los resultados del tratamiento fueron satisfactorios, ya que la paciente experimentó mejoría en su salud, física y emocional. Se recuperó la correcta función masticatoria, brindándole a la paciente una mejor calidad de vida, reintegrándose a sus actividades cotidianas.
Female patient 13 years of age with severe TMJ dysfunction who presented symptoms of pain and generalized muscular hypertonicity, vertigo, difficulty for walking, limitation of mandibular movements, weak chewing and maximum oral opening of 17mm. She was diagnosed as a skeletal Class II due toretrognathia and micrognathia. She had a convex profile severe upper and lower anterior dental crowding. Treatment began with neuromuscular reprogramming with a splint for muscular relaxation, thermotherapy with moist heat, muscle relaxants and afterwards, orthodontic treatment. The results of the treatment were satisfactory since the patient experienced improvement in her physical and emotional health. Correct masticatory function was restored giving the patient a better quality of life and allowing her to resume her normal daily activities.
La disfunción craneomandibular (DCM) es compleja y multifactorial, la cual puede provocar alteraciones de tipo locales y sistémicas.
Una de las etiologías más frecuentes es el estrés. Las estructuras más susceptibles son: músculos, las ATM, dientes y sus estructuras de soporte.
El organismo reacciona ante el factor estresante generando demandas para un reajuste o adaptación. La magnitud dependerá del estrés.
Los músculos experimentan dolor a la palpación y a los movimientos mandibulares. El paciente lo describe como: una limitación del movimiento con dolor asociado, sensibilidad, dolor articular, chasquidos y desgastes en los dientes.
La DCM es una patología multifactorial que se deberá tratar multidisciplinariamente.
Un correcto diagnóstico nos llevará a un tratamiento exitoso. Existen diferentes maneras de tratar la DCM.
El diagnóstico de disfunción craneomandibular, debe ser realizado por medio de una exhaustiva evaluación del sistema estomatognático, que comprenda básicamente una completa anamnesis y un meticuloso examen físico, pudiendo ser complementado con exámenes imagenológicos.
Los principales signos y síntomas de los trastornos de la ATM, se asocian a una alteración del complejo disco-cóndilo.
Estudios epidemiológicos sugieren que aproximadamente un 30% de la población general presenta algún signo de alteración funcional del sistema masticatorio.
Etiología de la disfunción craneomandibularEstrés, hiperactividad muscular, puntos prematuros de contacto, bruxismo, traumatismos.
Signos y síntomas de la disfunción craneomandibularDolor, síndrome de dolor miofacial, puntos gatillo, sonidos articulares (chasquido y crepitación), dolor periauricular, mareo y vértigo, limitación de movimientos mandibulares, maloclusión, alteraciones a nivel articular (alteraciones morfológicas, adherencias, luxación, trastornos inflamatorios de la ATM, trastornos inflamatorios de estructuras asociadas) y disminución de la agudeza visual.
Diagnóstico de la disfunción craneomandibularHistoria clínica, exploración, análisis funcional, Dx radiográfico y auxiliares del Dx (video, fotografías, modelos de estudio).
Tratamiento de la disfunción craneomandibularEl tratamiento de la disfunción craneomandibular se clasifica en dos tipos:
- 1.
Definitivo: va dirigido a controlar o eliminar los factores etiológicos.
- 2.
De apoyo: son terapéuticos para modificar los síntomas.
Otra manera de clasificar el tratamiento de la DCM es la siguiente: terapia paliativa, resolución natural, terapia relacionada a la causa, terapia específica y rehabilitación.
El tratamiento se lleva a cabo por medio de: férula de miorrelajación, medicamentos, fisioterapia, termoterapia, estimulación nerviosa transcutánea (TENS), botox tipo A, ultrasonido, láser, psicoterapia, aparatología ortodóntica y tratamiento quirúrgico.
REPORTE DEL CASOPaciente femenino de 13 años de edad, que presenta sintomatología dolorosa muy fuerte e hipertonicidad muscular generalizada, vértigo, imposibilidad para caminar, limitación de movimientos mandibulares, masticación débil y apertura bucal máxima de 17mm (Figuras 1 y 2). Canalizada de neurología, se presenta a la clínica para no tener dolor. Cefalométricamente presenta clase II esqueletal por retrognatismo mandibular, micrognatismo, tendencia al crecimiento horizontal, biproclinación y biprotrusión dentoalveolar. Al análisis facial muestra perfil convexo y biproquelia. Particularmente padece dolor de ATM bilateral, así como dolor muscular generalizado. Funcionalmente realiza movimientos de apertura y cierre anormales y limitados, contractura muscular generalizada, hábito de proyección lingual, succión de labio y masticación débil. Dentalmente presenta clase canina derecha e izquierda no valorable, apiñamiento severo anterior superior e inferior, sobremordida vertical aumentada, sobremordida horizontal aumentada, desviación de líneas medias, arcada superior e inferior no ideales (Figuras 3 y 4).
PLAN DE TRATAMIENTOTerapia con relajantes musculares y termoterapia con calor húmedo.
- 1.
Reprogramación neuromuscular con férula de miorelajación
- 2.
Extracciones de primeros premolares superiores e inferiores
- 3.
Sistema Roth 0.022.
- 4.
Fase I: nivelación y alineación inicial 0.014”-0.016” NiTi.
- 5.
Fase II-1: movimientos de segundo y tercer orden 0.016” x 0.016” NiTi a 0.019” x 0.025” acero inoxidable.
- 6.
Fase II-2: retracción de segmento anterior con DKL 0.019” x 0.025” acero.
- 7.
Nota: valorar la posibilidad de miniimplantes para anclaje superior.
- 8.
Cierre de espacios posteriores.
- 9.
Fase III: consolidación y estabilización 0.019” x 0.025”-0.021” x 0.025” acero.
- 10.
Fase IV: asentamiento oclusal.
- 11.
Retención.
Primeramente se prescribió Robaxisal®, 1 cada 8 horas por 15 días, aunado a fomentos de agua caliente y masajes en los músculos de la cara y cuello tres veces al día como terapia paliativa. Se colocó férula de miorrelajación superior (Figura 5), se cita a la paciente cada 15 días para revisión de puntos de contacto y desgaste en la férula, los cuales alisábamos, el aparato fue usado por tres meses, tiempo necesario para determinar si el problema que presentaba era causado por la maloclusión. Al mejorar la apertura, masticación y disminución del dolor se confirmó que el tratamiento sería ortodóntico y no se estaba originando por un problema sistémico como reumatismo juvenil; así iniciamos el tratamiento.
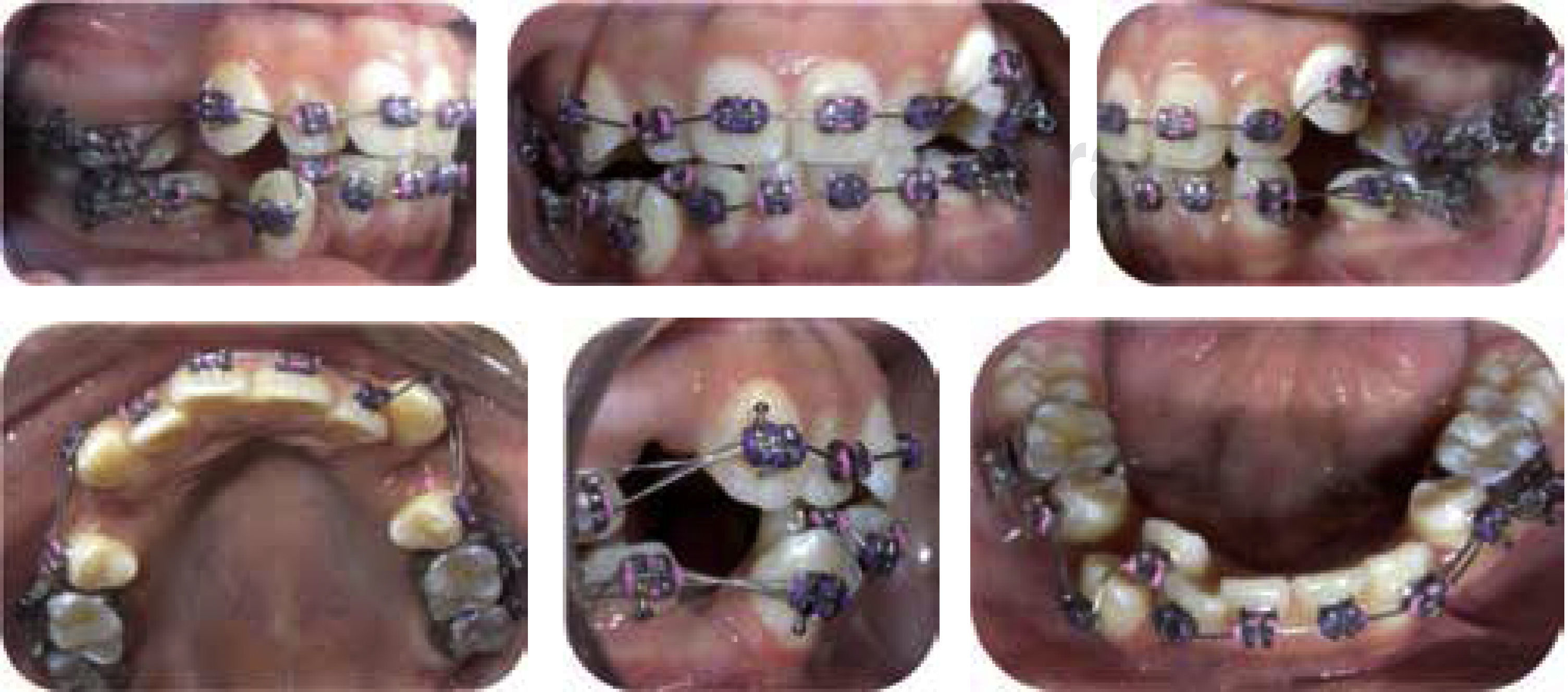
Se realizaron extracciones de primeros premolares superiores e inferiores. Colocación de bandas. Bonding de brackets superiores e inferiores prescripción Roth slot 0.022”. Fase I: nivelación y alineación inicial con arcos ligeros 0.014” NiTi. Fase II: coordinación, a base de movimientos de segundo y tercer orden ligeros, refuerzo de anclaje con microimplantes, retracción de segmento anterior con DKL y cierre de espacios, consolidación, estabilización y retención (Figuras 6 a 9).
Las fotografías extra e intraorales, las radiografías y el análisis funcional demuestran resultados completamente satisfactorios, ya que se corrigió el eje axial de los dientes y se disminuyó la biprotrusión dentoalveolar. El perfil mejoró disminuyendo la biproquelia. Se mejoró la función craneomandibular eliminándose el dolor muscular generalizado. Se logró obtener un patrón de apertura y cierre sin desviación obteniendo una apertura máxima de 38mm. Se eliminaron los hábitos bucales y se recuperó la función masticatoria correcta. Se obtuvo clase I molar y canina bilateral. Se eliminó el apiñamiento, se corrigió la sobremordida vertical y horizontal, se corrigieron las líneas medias y se mejoró la forma de las arcadas (Figuras 10 a 12).
Todos los objetivos fueron logrados, demostrando que si casos como estos son diagnosticados y tratados correctamente se puede devolver la salud al paciente.
CONCLUSIONESLas DCM son cada día más frecuentes en la población, afectando más a mujeres que a hombres e incrementándose la incidencia en adolescentes y niños.
Esta patología es multifactorial, por lo tanto se debe tratar multidisciplinariamente para obtener un resultado integral que consista en cambios faciales, articulares, funcionales, dentales, estéticos, psicológicos, sociales y emocionales.
Existen actualmente diferentes alternativas para tratar la DCM, por lo cual es importante estar capacitado para aplicar las más adecuadas para cada paciente y de esta manera manejar el dolor y aliviar el sufrimiento del paciente.
La principal labor del ortodoncista en la DCM es el diagnóstico, para determinar en qué grado la maloclusión está afectando el problema craneomandibular.
Este artículo puede ser consultado en versión completa en http://www.medigraphic.com/ortodoncia.













