El objetivo principal del presente artículo es reportar el método de la paralelización de un segundo molar inferior retenido.
MétodoSe colocó un miniimplante, para luego emplear un resorte en un doblez de la paralelización mediante el cual se dirigió el órgano dental 47 hacia su posición correcta.
ResultadosSe logró la adecuada paralelización del segundo molar inferior derecho.
ConclusiónEl caso presentado muestra una opción de paralelización de un molar, que procura mantener la estabilidad a largo plazo, lo cual es uno de los objetivos de la Ortodoncia contemporánea.
The main objective of the present article is to report a parallelization method for a retained lower second molar.
MethodA mini-implant was placed in order to use a spring with an uprighting bend which was directed to the dental organ #47 towards its correct position.
ResultsAn adequate parallelization of the lower right second molar was achieved.
ConclusionsThe presented case shows an option for molar parallelization that attempts to maintain long-term stability which is one of the objectives of contemporary orthodontics.
Un diente retenido es aquel que no ha erupcionado en la arcada dental en el tiempo esperado.1 La prevalencia de la impactación de los segundos molares suele ser del 0.3%, siendo más frecuente en la mandíbula que en el maxilar, y ocurre unilateralmente, hay una ligera predilección por el sexo femenino, y la inclinación hacia mesial es común.2,3 En un estudio realizado por Cho SY, se afirma que la retención del segundo molar está entre 0.1 y 0.06%.4,5 Bondemark y cols. observaron desórdenes en la erupción del segundo molar en el 2.3% de los pacientes.6
Los dientes que sufren de retención con más frecuencia son: terceros molares maxilares y mandibulares, caninos maxilares y segundos molares mandibulares.7–10
Cuando se encuentran retenciones de los segundos molares, representan un reto tanto para el ortodoncista como para el cirujano. La retención unilateral es más común que la retención bilateral, y más frecuente en la mandíbula, más en hombres que en mujeres, y generalmente del lado derecho. Los segundos molares retenidos generalmente se encuentran mesio inclinados.11
Los segundos molares mandibulares erupcionan como resultado de los cambios de remodelación del borde anterior de la rama ascendente después de un auto-ajuste de su inclinación mesial predeterminada. Sin embargo, una falta de espacio en el arco, debido a un inadecuado crecimiento mandibular, una inclinación axial indeseada, o mecánica ortodóncica para distalizar los primeros molares, pueden interferir en la autocorrección de la inclinación mesial, dando como resultado una retención.12
PRESENTACIÓN DEL CASOPaciente masculino de 14 años, 8 meses de edad, se presenta a la Clínica de Ortodoncia de la División de Estudios de Postgrado e Investigación de la Facultad de Odontología de la UNAM, con el principal motivo de consulta «mis papás me traen y yo quiero mis dientes derechos».
En el análisis facial se observa el tercio inferior aumentado, perfil convexo, músculos periorales hipertónicos, línea media facial coincidente con línea media dental (Figura 1).
En el análisis intraoral se observa la línea media desviada hacia la izquierda, apiñamiento severo anterosuperior y anteroinferior, incisivo central superior izquierdo proinclinado, incisivo lateral derecho superior borde a borde con el canino y un overjet y overbite de 6 y 1mm respectivamente (Figura 2).
Del lado derecho se observa la línea media desviada hacia la izquierda, apiñamiento severo anterosuperior y anteroinferior, el incisivo superior izquierdo proinclinado, el incisivo lateral derecho superior borde a borde con el canino y el segundo molar con inclinación mesial y en infraoclusión (Figura 2). Del lado izquierdo se observa clase I molar y clase I canina, además del incisivo superior izquierdo palatinizado (Figura 2).
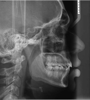
Dentro del análisis radiográfico, se observan senos maxilares simétricos, pérdida de crestas alveolares interproximales, raíces cortas de los o.d. 31, 32, 41 y 42, ausencia de terceros molares, sólo se encuentra presente el o.d. 48. También se observa el segundo molar inferior derecho inclinado hacia mesial (Figura 3). El diagnóstico cefalométrico obtenido fue clase I esquelética, patrón braquifacial con crecimiento horizontal (C.CW 71.6%) (Figura 4).
TRATAMIENTOEl objetivo principal del que trata el presente artículo es la paralelización del segundo molar inferior derecho que se realizó en el paciente; sin embargo, se mencionan los objetivos del tratamiento ortodóncico completo que recibió el paciente: mejorar perfil, disminuir tercio inferior de la cara, mantener clase molar I derecha, mantener clase molar I izquierda, conseguir clase canina I derecha, mantener clase canina I izquierda, eliminar apiñamiento en arcada superior e inferior, coordinar arcadas corregir eje axial de los dientes superiores e inferiores y corregir línea media.
Se colocó aparatología fija prescripción MBT. Se realizaron extracciones de los primeros premolares superiores e inferiores. Se empleó como anclaje superior una barra transpalatal y como anclaje inferior un arco lingual (Figura 5).
Fase I. Alineación y nivelación con arco NiTi 0.016”, arco NiTi 0.019” x 0.025” y lace back pasivo.
Fase II. Arco ss. 0.019” x 0.025” y lace back activo. Durante esta fase se colocó un miniimplante de 8mm de longitud, en la zona vestibular, entre la raíz del primero y el segundo molar inferior derecho (Figura 6). Se dejó transcurrir un mes de la colocación del miniimplante, para luego emplear un resorte en un doblez de la paralelización para dirigir la corona del órgano dental 47 hacia distal (Figura 7).
Posteriormente se retiró el resorte y se empleó un arco continuo de NiTi 0.016” x 0.022” para alinear y nivelar el o.d. 47 (Figura 8).
Fase III. Se continuó con el terminado y detallado final mediante la secuencia de arcos de la técnica MBT. Posteriormente se retiró la aparatología fija (Figuras 9 y 10). Se puede observar que los objetivos generales del tratamiento fueron cumplidos, así como el objetivo particular de la paralelización del segundo molar inferior derecho (Figuras 11 y 12).
Para retención post-tratamiento se indicó el uso de retenedores circunferenciales y un posicionador bimaxilar nocturno. (Figuras 13 y 14)
DISCUSIÓNSe ha publicado una gran variedad de tratamientos para los segundos molares retenidos, siendo en su mayoría una combinación de técnicas quirúrgicas y ortodóncicas con el objetivo de situar el diente en la posición correcta, remoción quirúrgica del segundo molar y dejar que el tercero erupcione en el lugar del segundo, remoción quirúrgica del segundo molar y trasplantar el tercero en el lugar del segundo, exposición quirúrgica del segundo molar y reposicionarlo a través de técnicas ortodoncias, entre otras.13–15 Sin embargo, en el presente caso el paciente ya no tenía el tercer molar inferior derecho, por lo que fue importante tomar una alternativa adecuada.
En el presente artículo se menciona una alternativa viable para la paralelización del segundo molar inferior, resultando en una opción para cumplir con los objetivos del tratamiento de Ortodoncia.
CONCLUSIÓNEs importante identificar las necesidades de cada paciente, para brindarle un tratamiento que mantenga la salud pulpar y periodontal tanto del diente a tratar como de las estructuras adyacentes. El caso presentado muestra una opción que procura mantener la estabilidad a largo plazo, lo cual es uno de los objetivos de la ortodoncia contemporánea.
Este artículo puede ser consultado en versión completa en http://www.medigraphic.com/ortodoncia.















