Class III malocclusion is defined as a discrepancy in size and anteroposterior position of the structures which generatedit. Fifty percent of the affected population is Japanese or Korean. Its multifactorial etiology is associated with hereditary factors and environmental influences giving rise to dental, skeletal, or functional malocclusions, making diagnosis and management complex. Camouflage is an alternative that benefits the patient with mild dento-facial anomalies given they meet inclusion features. In this article, the results of an orthodontic camouflage performed on a 13-year-old female patient with typical pseudo class III features are reported. She presented normal cephalometric values, anterior crossbite and slightly concave profile. She attended the Orthodontics Specialty Clinic of the Autonomous University of Guadalajara (UAG) referring dissatisfaction with her appearance. The treatment objective was to achieve alignment, molar, canine and intermaxillary relation class I as well as a suitable profile based on the extraction of upper and lower first premolars. At the end of two years and six months of treatment the objective was obtained.
La maloclusión clase III es definida como una discrepancia de tamaño y posición anteroposterior de las estructuras que la generan, el 50% de la población afectada es japonesa o coreana, su etiología multifactorial se asocia con factores hereditarios e influencias ambientales, dando lugar a maloclusiones de tipo dental, esqueletal o funcional, haciendo su diagnóstico y abordaje muy complejo. El camuflaje representa una alternativa con la que se beneficia al paciente con anomalías dentofaciales leves, siempre que presenten características de inclusión. En este artículo, se reportan los resultados de un camuflaje ortodóntico hecho en una paciente femenina de 13 años de edad con características típicas de pseudo clase III, valores cefalométricos en norma, mordida cruzada anterior y perfil ligeramente cóncavo; la cual acudió a consulta a la clínica de especialización de Ortodoncia de la Universidad Autónoma de Guadalajara refiriendo inconformidad con su apariencia. El objetivo del tratamiento era lograr alineación, clase I molar y canina y relación intermaxilar y perfil adecuado basados en la extracción de los primeros premolares superior e inferior. Al cabo de dos años y seis meses de tratamiento el resultado fue obtenido.
Class III malocclusion has been defined by many authors. Proffit for example, describes it as a relationship in which the incisors and/or canines of the maxilla are in lingual position with regard to their mandibular counterparts.1 Graber describes it as a true dento-skeletal dysplasia, where an anteroposterior relationship of the maxillary bones in relation to the cranial base, with or without teeth irregularities, is recognized.2
Class III represents the least prevalent of the dental abnormalities and responds to geographic variation according to racial and ethnic group; it is particularly common in individuals with Asian ancestors, in the Chinese population it has a 12% prevalence while in Europe (1.5 to 5.3%) and North Caucasian Americans (1 to 4%) it has a lower one.3 Elis and McNamar in one of their studies determined a tendency towards the combination of maxillary retrusion and mandibular prognathism, being ever-present the maxillary hypoplasia.3,4
The etiology is linked to hereditary factors influenced by environment and according to its origin, it is classified in skeletal, dental and/or functional,1 the latter two originating a true skeletal class III if not timely corrected4. There are differential characteristics between them that facilitate their diagnosis and yet thanks to its complexity it has been the most difficult pathology in regard to diagnosis and clinical management.3
The cephalometric analysis is essential to confirm the presumptive diagnosis. Being able to determine the actual source of the malfunction allows us to formulate an appropriate treatment plan, surgical or non-surgical, that meets the patient's and the clinician's demands.5,6
According to Proffit, for any kind of skeletal malocclusion there are only three treatment possibilities: orthopedic correction (functional appliances-growth modification) which provides ideal outcomes, orthodontic camouflage correction of the skeletal discrepancy where the dental discrepancy is solved but the skeletal discrepancy remains or the correction with surgical treatment.7
Class III should be corrected as soon as it is detected and as soon as it is possible to treat. The ideal goal is to always prevent an aberrant growth of the maxillary bones and their dentoalveolar components and to guide their growth in order to avoid further deficiencies or abnormalities such as: temporomandibular dysfunctions, buccal wear of the upper incisors and lingual on the lower incisors and to decrease the risk of future periodontal problems.8 Late treatments is justified only in adult patients whose growth has ceased and their only alternatives are camouflage or orthodontic surgery.8
Usually the treatment is aimed at correcting dental inclinations, achieving a correct mandibular position, and a suitable overbite and overjet.5 Camouflage is no exception and the patient should meet the following inclusion criteria: the patient is too old to modify his or her growth, the skeletal maxillary relationships are a mild or moderate class II or mild class III skeletal patients who have reasonably good dental alignment and patients who did not report alterations in the vertical or the transverse plane.1
During camouflage treatments the most frequent periodontal risk to consider is cortical thinning that causes fenestrations or dehiscences.8 That is why Ackerman indicates that the labial and lingual cortical palate and the symphysis are our barriers for dentoalveolar compensation and emphasizes the need for a meticulous soft tissue analysis as a critical step in the decision-making process of the treatment.9
Once treatment is completed relapse should be controlled by obtaining proper dental function and with constant evaluation in the short, medium and long-term of the obtained results, without forgetting retention since in some cases post-treatment growth resumes the class III pattern. Therefore, overjet correction and molar relationship are used as a tool for stability.10,11
Orthodontic camouflage through dental extractions provides excellent and durable results but inadequate aesthetic results and unstable alignments may also be seen.1 Camouflage is a conservative treatment for those moderate cases of skeletal and pseudo-class III origin in which it is possible to obtain a correct function. Transitional forces over the teeth influence surrounding bone growth, stabilizing them in their new position and minimizing relapse risk.
CLINICAL CASE REPORTDiagnosis and treatment planA thirteen-year-old female patient without any relevant medical history attends the Orthodontics clinic of the School of Dentistry at the Autonomous University of Guadalajara referring disagreement, both her and her tutor, with her dental appearance.
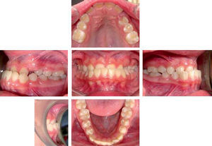
The patient shows a mesocephalic facial biotype, her lower facial third is slightly decreased and her ear pavilions have an asymmetric projection. Her mouth width matches her inter-iris distance, she has lip competence, thick lips, a straight nasal septum, a slightly concave profile, a normal cervico-mental distance, the aesthetic line within acceptable range, a slightly everted lower lip in front of the aesthetic facial line, lip competence and good development malar (Figure 1).
In the intraoral analysis, she had a deep anterior crossbite, her lower midline was diverted with respect to the upper 2mm to the left, she presented a 5mm overbite and a 3mm overjet, class I molar relationship, indeterminate bilateral canine class, ovoid upper arch form, absence of the permanent and temporary canines (significant loss of arc length), lower dental arch ovoid, crowding and 3mm mild curve of spee (Figure 2).
The panoramic radiograph showed the presence of the upper and lower left third molar germs, apparently healthy bony ridge levels, appropriate root height, and retained upper canines. The lateral headfi lm was traced with the McLaughlin cephalometry and showed results within the standard values. A Witts appraisal of 9mm describes the patient's diagnosis as a pseudo class III. It was inferred that the Witts was increased due to the forward mandibular entrapment because of the maxillary hypoplasia and increased overbite which were caused by the premature replacement of the deciduous teeth.
Her skeletal dental and soft tissues features allowed the malocclusion to be classifi ed as a pseudo class III (Table I).
Initial cephalometric values with McLaughlin analysis.
| Plane | Norm | PX |
|---|---|---|
| SNA | 82° | 81° |
| SNB | 80° | 82° |
| ANB | 2° | 1° |
| Witts | -1 mm | -9 mm |
| Go-Gn: SN | 32° | 31° |
| FM | 26° | 25° |
| MM | 28° | 27° |
| L: A-Pg | 6 mm | 7 mm |
| T: A-Pg | 2 mm | 2 mm |
| L: Max PI | 110° | 107° |
| T: Mad PI | 95° | 90° |
| A-Na Perp | 3mm | -2 mm |
| Pg-Na Perp | -4 mm | -4 mm |
| Palat-Occ PI | 10° | 11° |
| Mp-Occ PI | 12° | 11° |
| U1-Occ PI | 55° | 62° |
| L1-Occ PI | 72° | 75° |
The patient was 13 years old at the beginning of treatment and had already had her menarche therefore it was not considered necessary to take a carpal X-ray.
Upon mandible manipulation an edge to edge incisor relationship was achieved. For this reason it was considered that the malocclusion had a «pseudoclass III» postural component.
The parents were informed of the surgicalorthodontic treatment option, in which it was suggested to postpone the start of treatment until the age of 16, decompensate first and then, perform the surgery. The parents opted for the camouflage treatment.
They were informed of the risk of relapse when treating a growing class III patient. We considered that the results would be stable due to the age and gender of the patient, in addition that the case had «pseudoclass III» components.
TREATMENT OBJECTIVESThe treatment objectives were to eliminate crowding, level the curves of occlusion, achieve alignment, leveling, the space closure and detailed phases were completed.
TREATMENT PROGRESSTreatment was initiated with the extractions of the four first bicuspids, subsequently a lingual arch and MBT appliances were placed to start with the alignment and leveling phase.
Only the lower arches were cinched (bending of the archwire distal to the molar tubes) to avoid inclination of the incisors and the upper were left free to procline throughout the entire treatment.
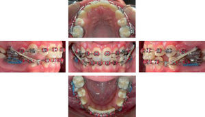
After two months open coil springs were used between the lateral incisors and the upper premolars to maintain space for the retained canines and lower canine retraction was begun with elastic chains (EC) over 0.018” stainless steel (SS) archwires (Figure 3).
Eight months later, the lingual arch was withdrawn and a lower 0.019 x 0.025” nitinol archwire was used to include the upper canines in the arch (Figure 4).
Once the leveling was complete, we began closing the lower spaces, 0.019 x 0.025” stainless steel archwires with crimpable hooks were placed, the posterior teeth were blocked out (to disarticulate and favor movement) and active lace backs that are changed monthly during control appointments (Figure 5).
Retraction of the lower anterior segment was supplemented with the use of class III vector 3/16” 31/2 ounce-intermaxillary elastics. At that moment the posterior block out were removed and placed anteriorly thus maintaining a distal position of the mandible; for two months this was the chosen mechanics and in the next appointment a dental class II relationship was observed associated with the use of intermaxillary elastics. A tomography of the condyle with open and closed mouth, a lateral headfilm and a panoramic radiograph were suggested to assess the condylar position (Figure 5).
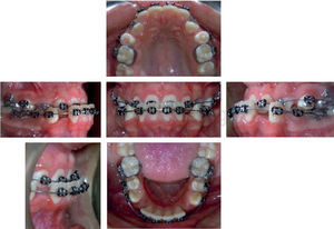
Once the axial tomography and the pan were assessed, a proper position of the condyle was found and it was decided to lose the lower anchorage mechanics and the use of intermaxillary elastic with vector II Class of nocturnal use was prescribed thus restoring the lost canine class I relationship (Figure 6).
In the finishing phase, up and down intermaxillary elastics with class I vector were used removing the appliances definitively at the end of two years and seven months of intermittent treatment, with class I molar and canine occlusion and a straight profile.
OBTAINED RESULTSWe obtained a good projection of the lower facial third, a lower and upper lip with better dentoalveolar support, a pleasant smile, straight profile, facial harmony and lips in the same plane, molar and canine class I, adequate overbite and overjet lines and centered midlines (Figure 7), with no radical changes in the cephalometric measurements (Figure 8andtable II).
Cephalometric values with McLaughlin's analysis prior and post-treatment.
| Plane | Norm | PX | Final |
|---|---|---|---|
| SNA | 82° | 81° | 81° |
| SNB | 80° | 82° | 80° |
| ANB | 2° | 2° | 1° |
| Witts | -1 mm | -9 mm | -4 mm |
| Go-Gn: SN | 32° | 31° | 34° |
| FM | 26° | 25° | 30° |
| MM | 28° | 27° | 30 |
| L: A-Pg | 6 mm | 7 mm | 5 mm |
| T: A-Pg | 2 mm | 2 mm | 3 mm |
| L: Max PI | 110° | 107° | 120° |
| T: Mad PI | 95° | 90° | 85° |
| A-Na Perp | 3 mm | -2 mm | -4 mm |
| Pg-Na Perp | -4 mm | -4 mm | -5 mm |
| Palat-cc PI | 10° | 11° | 5° |
| Mp-cc PI | 12° | 11° | 24° |
| U1-cc PI | 55° | 62° | 55° |
| L1-cc PI | 72° | 75° | 71° |
In the clinical case hereby presented, camouflage was presented to the patient as a treatment alternative considering the initial characteristics of the patient and disregarding the inclusion criteria suggested by Proffit for camouflage treatment that indicates that the patient should be old enough to modify growth.
Many authors have contradicting concepts on when to intervene a syndrome such as class III; some as the clinician Pedro María Jaramillo in his clinical case report: «Dentofacial alteration of class III and its surgical and orthodontic management», propose not to treat such cases and leave them to culminate their growth and intervene later through orthodontics or orthognathic surgery. Other authors recommend that treatment should be initiated as soon as the condition is diagnosed.1,7
The advantage of having opted for orthodontic camouflage as treatment in this case was that we avoided a more invasive and costly future therapy (orthognathic surgery) that usually involves risks and requires total bone maturation, which delays treatment;3,8 surgery is only an option when the orthodontist has no other possibility of solving the size and position discrepancy.1,8
The case evolution was conservative and by obtaining a proper occlusion, long-term stability was created for the treatment results, as Dr. Angle established. Satisfactory functional and aesthetic results were obtained for the patient and the clinician.
CONCLUSIONCurrently our society is highly demanding and competitive and class III malocclusions generate undesirable psychological effects in the patient. It is the clinician's moral and ethical obligation to treat this condition as soon as it is diagnosed and to do so with the least invasive treatment, which, in the cases of pseudo class III mature patients it turns out to be orthodontic camouflage. Orthodontic camouflage generates significant functional changes that provide the patient with a better dental appearance more than a better facial one and comply with the objectives of any orthodontic treatment (functionality and aesthetics).
This article can be read in its full version in the following page: http://www.medigraphic.com/ortodoncia











