La maloclusión clase III es definida como una discrepancia de tamaño y posición anteroposterior de las estructuras que la generan, el 50% de la población afectada es japonesa o coreana, su etiología multifactorial se asocia con factores hereditarios e influencias ambientales, dando lugar a maloclusiones de tipo dental, esqueletal o funcional, haciendo su diagnóstico y abordaje muy complejo. El camuflaje representa una alternativa con la que se beneficia al paciente con anomalías dentofaciales leves, siempre que presenten características de inclusión. En este artículo, se reportan los resultados de un camuflaje ortodóntico hecho en una paciente femenina de 13 años de edad con características típicas de pseudo clase III, valores cefalométricos en norma, mordida cruzada anterior y perfil ligeramente cóncavo; la cual acudió a consulta a la clínica de especialización de Ortodoncia de la Universidad Autónoma de Guadalajara refiriendo inconformidad con su apariencia. El objetivo del tratamiento era lograr alineación, clase I molar y canina y relación intermaxilar y perfil adecuado basados en la extracción de los primeros premolares superior e inferior. Al cabo de dos años y seis meses de tratamiento el resultado fue obtenido.
Class III malocclusion is defined as a discrepancy in size and anteroposterior position of the structures which generatedit. Fifty percent of the affected population is Japanese or Korean. Its multifactorial etiology is associated with hereditary factors and environmental influences giving rise to dental, skeletal, or functional malocclusions, making diagnosis and management complex. Camouflage is an alternative that benefits the patient with mild dento-facial anomalies given they meet inclusion features. In this article, the results of an orthodontic camouflage performed on a 13-year-old female patient with typical pseudo class III features are reported. She presented normal cephalometric values, anterior crossbite and slightly concave profile. She attended the Orthodontics Specialty Clinic of the Autonomous University of Guadalajara (UAG) referring dissatisfaction with her appearance. The treatment objective was to achieve alignment, molar, canine and intermaxillary relation class I as well as a suitable profile based on the extraction of upper and lower first premolars. At the end of two years and six months of treatment the objective was obtained.
La maloclusión clase III ha sido definida por muchos. Proffit, por ejemplo, la describe como una relación en la cual los incisivos y/o caninos del maxilar superior se encuentran en posición lingual con respecto a sus homólogos mandibulares,1 y Graber la describe como verdaderas displasias dentoesqueletales, donde se reconoce una relación anteroposterior de los maxilares en relación con la base del cráneo, estando presentes o no irregularidades de los dientes.2
Representa la menos prevalente de las anomalías dentales, responde a una variación geográfica según el grupo racial y étnico; es particularmente común en individuos con ancestros asiáticos, encontrándose en la población china en un 12%, siendo menor su aparición en europeos (1.5 a 5.3%) y norteamericanos caucásicos (1 a 4%).3 Elis y McNamar, en uno de sus estudios, determinaron su tendencia a la combinación entre retrusión maxilar y prognatismo mandibular, estando siempre presente la hipoplasia maxilar.3,4
La etiología está ligada a factores hereditarios influenciados por el medio ambiente y de acuerdo con su origen se clasifica en esquelética, dental y/o funcional,1 estas dos últimas originarias de una verdadera clase III esquelética de no ser corregidas a tiempo.4 Entre ellas existen características diferenciales que facilitan su diagnóstico y aún así gracias a su complejidad ha sido la más difícil de las patologías en cuanto a diagnóstico y manejo clínico.3
El análisis cefalométrico resulta esencial para confirmar el diagnóstico presuntivo, determinar el origen real de la anomalía nos permite formular un plan de tratamiento adecuado, quirúrgico o no-quirúrgico, que responda a las exigencias del paciente y el clínico.5,6
Según Proffit para cualquier tipo de maloclusión esquelética existen sólo tres posibilidades de tratamiento: corrección ortopedia (aparatología funcionalmodificación de crecimiento). Proporciona resultados ideales, corrección con camuflaje de la discrepancia esquelética mediante ortodoncia. Se corrige la discrepancia dental aunque se mantenga la discrepancia esquelética o la corrección con tratamiento quirúrgico.7
Las clase III deben ser corregidas tan pronto sean detectadas y sea posible tratarlas, lo ideal es siempre prevenir un crecimiento aberrante de los maxilares y sus componentes dentoalveolares y guiar su crecimiento, para evitar deficiencias o anomalías mayores como: disfunciones temporomandibulares, desgaste bucal de los incisivos superiores y lingual de los incisivos inferiores y para disminuir el riesgo de problemas periodontales futuros.8 Los tratamientos tardíos sólo se justifican en pacientes adultos cuyo crecimiento ha cesado, siendo sus alternativas sólo el camuflaje ortodóntico o cirugía.8
Por lo general el tratamiento está orientado a corregir las inclinaciones dentales, lograr una correcta posición mandibular y un adecuado entrecruzamiento vertical y horizontal.5 El camuflaje no es la excepción, sólo que debe cumplir los siguientes criterios de inclusión: demasiado mayor para poder modificar su crecimiento, relaciones maxilares clase II esqueléticas leves o moderadas o clase III esqueléticas leves, pacientes que presenten alineación dental razonablemente buena y pacientes que no presenten alteraciones en el plano vertical o transversal.1
Durante el tratamiento el riesgo periodontal más frecuente a considerar en el camuflaje es que el adelgazamiento de corticales originen fenestraciones o dehiscencias.8 Razón por la cual Ackerman indica que las corticales labial y lingual del paladar y de la sínfisis van a ser nuestras barreras para la compensación dentoalveolar y enfatiza la necesidad de un meticuloso análisis de tejidos blandos como paso crítico en la toma de decisión del tratamiento.9
Finalizado el tratamiento la recidiva debe ser controlada obteniendo función dental adecuada y con la evaluación constante a corto, mediano y largo plazo de los resultados obtenidos, sin olvidar la retención, ya que en algunos casos, el crecimiento postratamiento reanuda su patrón clase III; por ello la corrección del resalte y de la relación molar es usada como herramienta para la estabilidad.10,11
El camuflaje ortodóntico haciendo uso de las extracciones dentales consigue resultados excelentes y duraderos, pero también pueden observarse resultados estéticos inadecuados y alineaciones inestables,1 se trata de un tratamiento conservador para aquellos casos moderados de origen esqueletal y pseudoclase III en los que si se obtiene un funcionamiento correcto, las fuerzas transitorias a los dientes infl uyen en el crecimiento del hueso alrededor, estabilizándolos en su nueva posición, minimizando los riesgos de recidiva.
REPORTE DE CASO CLÍNICODiagnóstico y plan de tratamientoPaciente de 13 años de edad, género femenino, sin antecedentes médicos relevantes que acudió a la Clínica de Ortodoncia de la escuela de Odontología de la Universidad Autónoma de Guadalajara, refiriendo inconformidad tanto ella como su representante con su apariencia dental. La paciente describe un biotipo facial mesocefálico, tercio facial inferior ligeramente disminuido, pabellones auriculares con proyección asimétrica, ancho bucal coincidente con la distancia inter-iris, competencia labial, labios gruesos, frente recta, tabique nasal recto, perfil ligeramente cóncavo, distancia cérvico-mental en norma, línea estética en rango aceptable, labio inferior ligeramente evertido por delante de la línea estética facial, competencia labial y buen desarrollo malar (Figura 1).
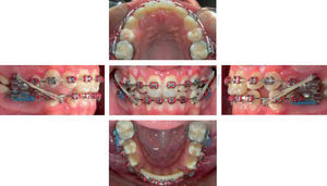
En el análisis intraoral presentaba mordida cruzada y profunda anterior, línea media inferior desviada con respecto a la superior 2mm a la izquierda, overbite de 5mm, overjet de 3mm, relación molar clase I derecha e izquierda, clase canina indeterminada bilateral, arco superior ovoide, ausencia de los caninos permanentes y temporales (pérdida significativa de longitud de arco), arcada inferior ovoide, apiñamiento leve y 3mm de curva de spee (Figura 2).
Radiográficamente la panorámica evidenció la presencia de los gérmenes de los terceros molares superiores e inferior izquierdo, niveles de crestas óseas aparentemente sano, alturas radiculares adecuadas, caninos superiores retenidos. La cefálica lateral de cráneo fue trazada con la cefalometría de McLaughlin arrojando resultados dentro de la norma siendo el único dato relevante, Witts de 9mm, permitiendo el diagnóstico de la paciente como pseudo-clase III (Cuadro I). Dedujimos que el Witts aumentado se debe al atrapamiento de la mandíbula hacia adelante por causa de la hipoplasia maxilar y el overbite aumentado causado por el recambio prematuro de los dientes deciduos.
Valores cefalométricos iniciales de la paciente con análisis de McLaughlin
| Plano | Norma | PX |
| SNA | 82° | 81° |
| SNB | 80° | 82° |
| ANB | 2 | 1° |
| Witts | -1 mm | -9 mm |
| Go-Gn: SN | 32° | 31° |
| FM | 26° | 25° |
| MM | 28° | 27° |
| L: A-Pg | 6 mm | 7 mm |
| T: A-Pg | 2 mm | 2 mm |
| L: Max PI | 110° | 107° |
| T: Mad PI | 95 | 90° |
| A-Na Perp | 3 mm | -2 mm |
| Pg-Na Perp | -4 mm | -4 mm |
| Palat-Occ PI | 10° | 11° |
| Mp-Occ PI | 12° | 11° |
| U1-Occ PI | 55° | 62° |
| L1-Occ PI | 72° | 75° |
Sus características esqueléticas, dentales y de tejidos blandos permitieron clasificar a la paciente como pseudo-clase III.
La paciente tenía 13 años al iniciar el tratamiento, ya había presentado su menarca, razón por la cual no se consideró necesario tomar una radiografía carpal.
Al manipular la mandíbula se pudo lograr una relación incisal borde a borde. Por esta razón se consideró que la maloclusión tenía un componente postural «pseudo-clase III».
A los padres se les informó de la opción de tratamiento ortodóntico-quirúrgico, en el cual se sugirió posponer el inicio de tratamiento hasta los 16 años de edad, descompensar y realizar cirugía. Los padres optaron por el tratamiento de camuflaje.
Se les informó del riesgo de recidiva al tratar un paciente clase III en crecimiento. Consideramos que el resultado sería estable por la edad y sexo de la paciente, además que el caso tenía componentes de «pseudo-clase III».
OBJETIVOS DEL TRATAMIENTOLos objetivos del tratamiento fueron eliminar el apiñamiento, nivelar las curvas de mordida, lograr clase I canina y establecer una relación intermaxilar adecuada (anteroposterior y horizontal), basados en obtener beneficios estéticos y funcionales.
PLAN DE TRATAMIENTOSe indicó máximo anclaje inferior usando arco lingual removible y previo a la extracción de los primeros premolares superiores e inferiores, se cementó la aparatología convencional slot 0.022” para ejecutar la técnica MBT; una vez colocado en la paciente todo el sistema, se completaron la fase de alineación, nivelación, cierre de espacios y detallado.
PROGRESIÓN DEL TRATAMIENTOSe inició el tratamiento con las extracciones de los cuatro primeros premolares, posteriormente se colocó el arco lingual y se cementó la aparatología convencional slot 0.22” para ejecutar la técnica MBT (brackets) para iniciar con la fase de alineación y nivelación dental.
Sólo los arcos inferiores fueron cinchados (doblez del arco distal a los tubos de los molares) para evitar la inclinación de los incisivos y los superiores dejados libres procurando proinclinación durante todo el tratamiento.
Luego de dos meses se emplearon resortes de coil abierto entre laterales y premolares superiores para mantener el espacio de los caninos retenidos e iniciamos la retracción canina inferior con cadenas elásticas (CE) sobre arcos de 0.018” de acero inoxidable (AI) (Figura 3).
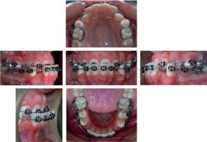
Ocho meses más tarde, se retiró el arco lingual y se colocó arcos rectangulares 0.019 x 0.025” inferior de nitinol para nivelar y arco 0.014” de nitinol superior para incluir los caninos superiores en la arcada (Figura 4).
Culminada la nivelación, iniciamos el cierre de espacios inferior, se colocaron arcos 0.019 x 0.025” de acero inoxidable con hooks crimpables, block out posteriores (paredes para ocluir y favorecer el movimiento) y lace backs activos que se cambiaron mensualmente durante sus controles (Figura5).
La retracción del segmento anteroinferior fue complementada con el uso de elásticos intermaxilares con vector de clase III de 3/16 31/2 onzas, en ese momento se eliminaron los block out posteriores y se colocaron en anterior manteniendo la posición dista de la mandíbula; durante dos meses fue la mecánica empleada y en la cita sucesiva se observó una relación dental clase II asociada al uso de los elásticos intermaxilares, por lo que se indicó una tomografía de cóndilo con boca abierta y boca cerrada, cefálica lateral y panorámica para la valoración de la posición condilar (Figura 5).
Evaluada la tomografía axial y la panorámica; se encontró una posición condilar adecuada y se decidió la realización de mecánicas de pérdida de anclaje inferior y se indicó el uso de elásticos intermaxilares con vector clase II de uso nocturno, volviendo a obtener así la relación clase I canina perdida (Figura 6).
En la fase de terminado se emplearon elásticos intermaxilares de cierre up and down con vector clase I, retirando los brackets de forma definitiva al cabo de dos años y siete meses discontinuos de tratamiento, con oclusión clase I molar y canina y perfil recto.
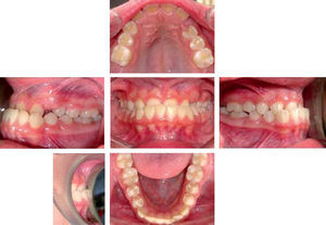
RESULTADOS OBTENIDOSSe obtuvo buena proyección de tercio facial inferior, un labio inferior y superior con mejor soporte dentoalveolar, una sonrisa agradable, perfil recto, armonía facial, labios en un mismo plano, clase I molar y canina, sobre mordida horizontal y vertical adecuada y líneas medias centradas (Figura 7), sin significar cambios radicales en sus valores cefalométricos (Figura 8yCuadro 2).
Valores cefalométricos con análisis de McLaughlin previo y posterior al tratamiento
| Plano | Norma | PX | Final |
| SNA | 82° | 81° | 81° |
| SNB | 80 | 82° | 80° |
| ANB | 2° | 2° | 1° |
| Witts | -1 mm | -9 mm | -4 mm |
| G-Gn: SN | 32° | 31° | 34° |
| FM | 26° | 25° | 30° |
| MM | 28° | 27° | 30° |
| L: A-Pg | 6 mm | 7 mm | 5mm |
| T: A-Pg | 2 mm | 2 mm | 3mm |
| L: Max PI | 110° | 107° | 120° |
| T: Mad PI | 95° | 90° | 85° |
| A-Na Perp | 3 mm | -2 mm | -4mm° |
| Pg-Na Perp | -4 mm | -4 mm | -5mm° |
| Palat-cc PI | 10° | 11° | 5° |
| Mp-cc PI | 12° | 11° | 24° |
| U1-cc PI | 55° | 62° | 55° |
| L1-cc PI | 72° | 75° | 71° |
En este caso clínico fue planteado el camuflaje como alternativa de tratamiento considerando las características iniciales de la paciente y haciendo caso omiso al criterio de inclusión dispuesto por Proffit para el tratamiento con camuflaje que indica que el paciente debe ser lo suficientemente mayor como para modificar su crecimiento.
Muchos autores tienen conceptos encontrados acerca de cuándo se debe intervenir un síndrome como el de clase III; algunos como el clínico Pedro María Jaramillo en su reporte de caso clínico: «Alteración dentofacial de una paciente clase III y su manejo ortodóntico quirúrgico», proponen no tratarlos y dejar que culmine su crecimiento para intervenir más tarde por medio de ortodoncia o cirugía ortognática y otros que debe tratarse en cuanto se diagnostique la anomalía.1,7
La ventaja de haber optado por el camuflaje ortodóntico en este caso fue el de evitar una terapia futura más invasiva y costosa (cirugía ortognática) que generalmente sugiere riesgos y requiere de maduración ósea total, retrasando su abordaje;3,8 la cirugía es opción sólo cuando el ortodoncista no tiene la posibilidad de solventar las discrepancias de tamaño y posición.1,8
La evolución del caso fue conservadora y al obtener una oclusión adecuada generó estabilidad a largo plazo de los resultados del tratamiento, como lo esta-blece Angle. Se obtuvieron resultados satisfactorios funcionales y estéticos para la paciente y el clínico.
CONCLUSIÓNActualmente la sociedad es exigente y competitiva y esta anomalía genera en el paciente efectos psicológicos indeseables; siendo de obligación ética y moral del clínico tratar dicha maloclusión una vez diagnosticada con el tratamiento menos invasivo; el cual en los casos de pacientes maduros pseudo-clase III resulta ser el camuflaje ortodóntico, generando cambios funcionales significativos que le brindan al paciente un mejor aspecto dental más que estético facial que cumplen con los objetivos de cualquier tratamiento ortodóntico (funcionalidad y estética).
Este artículo puede ser consultado en versión completa en http://www.medigraphic.com/ortodoncia











