La artrodesis subtalar es una intervención quirúrgica cuyo propósito es fusionar la articulación subtalar. Una de las complicaciones más comunes de este procedimiento es la no unión. Este artículo tiene como objetivo analizar el estudio y abordaje de las no uniones en general, así como su manejo específico en el contexto de la artrodesis subtalar. Dado que se trata de una complicación frecuente, es crucial aumentar el conocimiento sobre este tema.
Caso ClínicoPaciente masculino de 42 años, sano, con el antecedente de artrosis postraumática del tobillo izquierdo, tratada inicialmente con artrodesis tibiotalar en 2022 y revisiones subsecuentes por falta de consolidación, evolucionando con artrosis de la articulación subtalar que requirió manejo con una artrodesis subtalar. Esta última progresó a una no unión sintomática por lo que se decidió realizar una revisión de la artrodesis subtalar en julio de 2024.
ResultadoEl paciente mostró una evolución clínica postoperatoria favorable, con adecuada alineación y posición de los elementos de osteosíntesis, sin signos de infección. En su control al mes postoperatorio, se inició carga protegida con bota ortopédica, evidenciando una buena recuperación.
ConclusionesLa no unión en fusiones articulares, particularmente en la artrodesis subtalar, representa un desafío significativo en traumatología, con altas tasas de complicación. La evaluación de las no uniones debe incluir un examen clínico exhaustivo, pruebas de laboratorio y técnicas de imagen. La identificación de factores de riesgo, tanto sistémicos como locales, junto con una adecuada planificación quirúrgica, son fundamentales para prevenir complicaciones. Las estrategias de tratamiento deben abordar las causas subyacentes; las opciones quirúrgicas y el éxito de estas deben tener un enfoque multidimensional que aborde tanto aspectos técnicos como biológicos del procedimiento. Finalmente, la implementación de algoritmos diagnósticos y terapéuticos bien estructurados es crucial para mejorar los resultados funcionales y garantizar una fusión ósea exitosa.
Subtalar arthrodesis is a surgical procedure aimed at fusing the subtalar joint. One of the most common complications of this procedure is non-union. This article aims to analyze the study and management of non-union in general, as well as its specific approach in the context of subtalar arthrodesis. Given that this is a common complication, it is crucial to enhance knowledge on this topic.
Case Report42-year-old healthy male patient with a background of post-traumatic osteoarthritis of the left ankle, initially treated with tibiotalar arthrodesis in 2022 with subsequent revisions due to poor outcomes, presenting osteoarthritis of the subtalar joint that required management with a subtalar arthrodesis. The latter evolved with symptomatic non-union and it was decided to perform a revision subtalar arthrodesis in July 2024.
ResultThe patient showed a favourable postoperative clinical evolution, with adequate alignment and position of the osteosynthesis elements, with no signs of infection. At the last check-up (one month postoperatively), protected loading with an orthopaedic boot was started, showing a good recovery.
ConclusionsNon-unions in joint fusions, particularly in subtalar arthrodesis, represent a significant challenge in traumatology, with high complication rates. Evaluation of non-unions should include a thorough clinical examination, laboratory testing and imaging techniques. Identification of risk factors, both systemic and local, along with proper surgical planning, are essential in preventing complications. Treatment strategies should address the underlying causes; surgical options and their success should have a multidimensional approach that addresses both technical and biological aspects of the procedure. Finally, the implementation of well-structured diagnostic and therapeutic algorithms is crucial to improve functional outcomes and ensure successful bone fusion.
La artrodesis subtalar es un procedimiento quirúrgico destinado a fusionar la articulación subtalar. Generalmente está indicado para el manejo de patologías del retropié como la artrosis subtalar primaria o postraumática (frecuente posterior a fracturas del calcáneo o talo), coalición tarsal, deformidades del retropié (varo o valgo) adquiridas o congénitas residuales sintomáticas y disfunción del tendón tibial posterior que no responden a los tratamientos conservadores en adultos de baja demanda1,2. Si bien la artrodesis subtalar suele ser eficaz, hay que tener en consideración ciertos factores de riesgo para minimizar las complicaciones y mejorar los resultados.
Una de las complicaciones más frecuentes de esta cirugía es la no unión. No existe un consenso respecto a su definición, pero una de las más utilizadas es la de la FDA (Food and Drug Administration) que la define como una fractura que tiene al menos 9 meses de antigüedad y que durante 3 meses consecutivos no haya mostrado signos radiográficos de consolidación3. De todas formas, el tiempo transcurrido para considerar una no unión varía en la bibliografía, ha sido descrito desde 3 a 12 meses4. En la práctica clínica no se cuenta con aquellos márgenes de tiempo, por lo que para su sospecha diagnóstica se utiliza la ausencia de signos progresivos de consolidación en imágenes de controles seriados.
A pesar que se desconoce la causa exacta de la no unión, se cree que hay factores sistémicos y locales que contribuyen a su desarrollo. Dentro de los factores sistémicos que tendrían mayor riesgo de fomentar esta complicación encontramos: el estado nutricional y metabólico del paciente, baja actividad física, tabaquismo, diabetes mellitus y niveles bajos de vitamina D. Entre los factores locales encontramos fracturas expuestas, infecciones asociadas, fracturas segmentarias y/o conminutas, fijación o inmovilización inadecuada y huesos sometidos a radiación5–7.
Clásicamente se describen dos tipos de no unión: las sépticas y las asépticas. Este último grupo a su vez se puede subclasificar, según la viabilidad de los fragmentos, en vitales y no vitales, lo que orienta a problemas mecánicos o biológicos8.
En las no uniones vitales, los extremos óseos son viables y vascularizados, lo que indicaría problemas mecánicos en el proceso de fijación. Dentro de este grupo encontramos las hipertróficas y oligotróficas. En cambio, en las no uniones no vitales, los extremos óseos no son viables y carecen de vascularización, lo que indica que el problema se encuentra a nivel del proceso fisiológico o biológico de la consolidación. Este último grupo se subdivide en las de tipo atróficas y pseudoartrosis8.
Las tasas de no unión asociadas a la artrodesis subtalar pueden variar significativamente, llegando incluso hasta el 46%9–13. Dentro de sus causas se encuentran las previamente descritas más algunas específicas como la presencia de hueso avascular en el sitio de la artrodesis, uso de aloinjertos estructurales y artrodesis de la articulación subyacente (tibiotalar)1,2,13,14.
Respecto a la técnica quirúrgica específica de la artrodesis subtalar, existen varias técnicas de fijación descritas para su realización entre las cuales se encuentran el uso de 2 o 3 tornillos canulados con distintas configuraciones (la configuración delta ha demostrado ser la más estable biomecánicamente), clavos intramedulares y técnicas híbridas con uso de placa y clavo1,14–16. Estás diferentes técnicas pueden asociarse al uso de injertos óseos (autoinjerto o aloinjerto) como método de augmentación. Cada técnica tiene sus indicaciones específicas y debe ser seleccionada de acuerdo a las características del paciente y la patología subyacente.
El objetivo de este artículo es mostrar evidencia respecto al estudio y enfrentamiento de las no uniones en general y su manejo en contexto de la artrodesis subtalar. Al ser una complicación frecuente, plantea grandes desafíos, por lo que resulta importante generar mayor conocimiento al respecto.
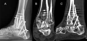
Caso clínicoSe reporta el caso de un paciente de sexo masculino, de 42 años, sano, con antecedente de artrosis postraumática de tobillo izquierdo por luxofractura expuesta de tobillo el 2021. Fue manejada con una artrodesis tibiotalar el 2022, requiriendo una revisión a los dos meses. Dos meses después de la primera revisión se realizó una artrodesis subtalar que a los 10 meses de evolución también requirió una revisión por no unión (figura 1). El paciente no aporta mayores antecedentes sobre sus cirugías previas e indicaciones quirúrgicas correspondientes.
Después de 11 meses desde la revisión de su artrodesis subtalar, el paciente consulta en nuestra institución por persistencia del dolor y limitación funcional del pie operado. Al examen físico se presenta afebril, sin cambios inflamatorios locales ni signos sugerentes de infección en tobillo y pie. Presenta dolor a la palpación del retropié y movilización de articulación subtalar, y con la articulación tibiotalar fija y sin dolor. No presenta otros hallazgos patológicos en el examen físico.
Se realizó estudio con exámenes de laboratorio que descarta una infección asociada como causa de no unión. Una tomografía computarizada (TC) de tobillo muestra consolidación adecuada de artrodesis tibio talar y no unión de la artrodesis subtalar, diagnosticándose así la no unión aséptica de la artrodesis subtalar de tobillo izquierdo.
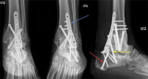
En este contexto se decide realizar una nueva revisión. Para esto se realiza artrodesis de revisión tibiocalcánea donde se aumenta estabilidad y rigidez del constructo con placa posterior tibiocalcánea con tornillo de compresión interfragmentaria a través de la placa+tornillo retrógrado calcáneo talar. Se realiza resección de pseudoartrosis, tejido óseo no vital y preparación de remanente de superficie articular subtalar posterior+agregación de autoinjerto de tibia proximal y aloinjerto de cresta ilíaca y augmentación con plasma rico en plaquetas (PRP) en julio de 2024 (figura 2). La línea de tiempo del caso clínico se detalla en la figura 3.
Proyecciones anteroposterior, mortaja y lateral de tobillo izquierdo. Resultados post op cirugía de revisión. Se aprecia aumento de la rigidez de constructo mediante una placa posterior tibiocalcánea (flecha azul), tornillo compresión interfragmentario a través de la placa (flecha amarilla)+tornillo calcáneo talar retrógrado (flecha roja).
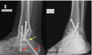
El paciente presenta evolución clínica postoperatoria favorable, sin dolor, con heridas sanas y sin signos de infección o trombosis venosa profunda. Cultivos intraoperatorios de foco de no unión fueron negativos. Durante el último control médico (3 meses postoperatorios) paciente se encuentra sin dolor, tobillo fijo en 90° con buena alineación del retropié, marcha sin bastones, realizando kinesioterapia motora y reeducación de la marcha (figura 4). En su último control radiográfico se observaron elementos de osteosíntesis en posición adecuada y adecuada alineación del retropié, junto a signos de consolidación parcial con incipientes puentes óseos (figura 5). El paciente se mantiene en evolución postoperatoria con controles médicos seriados, para evaluar la evolución clínica y radiológica de la revisión de la artrodesis subtalar.
La no unión es una complicación frecuente en las artrodesis, por lo que es importante tener claro su enfrentamiento para un estudio y manejo adecuado. El enfrentamiento de la no unión es un proceso multifactorial que incluye la evaluación clínica, el uso de imágenes y exámenes de laboratorio para poder tener un diagnóstico y manejo adecuados.
En la figura 6 se propone el siguiente algoritmo para enfrentar una no unión.
Como se mencionó anteriormente se sospechará una no unión o al menos un retardo de la consolidación cuando en las radiografías de control durante los controles médicos de una artrodesis no haya cambios radiológicos compatibles con una consolidación adecuada y esperada para el tiempo de evolución8.
Ante su sospecha, el enfrentamiento iniciará con una evaluación clínica donde se debe realizar anamnesis y examen físico completos. Mediante estos se podrán identificar los factores de riesgo previamente descritos (tabaquismo, diabetes, estado nutricional, etc.) que se sabe alteran la consolidación ósea. Asimismo, se buscarán hallazgos patológicos al examen físico sugerentes de no unión como hipermovilidad y dolor en la articulación artrodesada, y eventualmente hallazgos que orienten a su etiología, como también la presencia de signos inflamatorios o infecciosos locales sugerentes de infecciones asociadas8.
Posteriormente se debe realizar un estudio complementario con imágenes y exámenes de laboratorio. Las imágenes juegan un papel crucial en la evaluación de las no uniones. Comúnmente se utiliza la radiografía convencional, pero tiene ciertas limitaciones en la detección temprana. Las técnicas de imagen avanzadas, como la TC y la resonancia magnética (RNM) con contraste dinámico, proporcionan información más detallada sobre la consolidación y la vascularidad ósea, respectivamente. La TC es particularmente útil para evaluar la formación de callo y puentes óseos (método más utilizado en el medio local), mientras que la resonancia magnética puede ser beneficiosa para evaluar signos de infección en no uniones sépticas13. Por otro lado, los exámenes de laboratorio desempeñan un papel importante en la identificación de las causas subyacentes en la alteración de la consolidación, particularmente para distinguir entre no uniones sépticas y asépticas o descartar patologías sistémicas que puedan alterar la biología de la consolidación. Dentro de las pruebas de laboratorio es de importancia solicitar:
- 1.
Recuento de leucocitos: el aumento en el recuento de leucocitos son sugerente de un proceso infeccioso, aunque su especificidad y sensibilidad para diagnosticar una infección en caso de no unión son limitadas. Con una sensibilidad (S) 22,9% y especificidad (E) 85,7%18.
- 2.
Proteína C reactiva (PCR): los niveles elevados de PCR se asocian con infección y se ha descubierto que es un marcador útil en el diagnóstico preoperatorio de no unión infectada, con una S de 60% y E de 85,7%18.
- 3.
Velocidad de hemosedimentación (VHS): tiene un rol similar a la PCR dado que niveles elevados de VHS sugieren la presencia de un un proceso inflamatorio. Se usa en conjunto con la PCR para tener una mejor aproximación sobre una posible infección16. Con una S de 37,1% y E de 71,4%18.
- 4.
Hormona paratiroidea (PTH): el estudio de la PTH es relevante para evaluar el metabolismo óseo y la homeostasis del calcio. Los niveles elevados de PTH se han visto asociados con mayor desarrollo de no unión, debido a su rol en la estimulación de la resorción ósea6.
- 5.
Niveles de calcio y vitamina D: el calcio y la vitamina D forman parte integral del proceso de remodelación ósea. El calcio proporciona el componente mineral esencial (sustrato) para la formación de la matriz ósea, mientras que la vitamina D garantiza su disponibilidad, con su rol de absorción intestinal e influye directamente en la actividad de las células óseas para promover una reparación y remodelación óseas eficaces7.
- 6.
Función tiroidea: el hipotiroidismo puede afectar el metabolismo óseo y contribuir a la no unión. Esto debido a que las hormonas tiroideas actúan principalmente en la diferenciación y función anabólica de osteoblastos y señalización de proteínas óseas morfogenéticas (BMP, por sus siglas en inglés)6.
En el contexto específico de la artrodesis subtalar, las complicaciones asociadas, como la no unión, pueden producirse debido a problemas técnicos y/o factores de riesgo. Los problemas técnicos, relacionados con la ejecución del procedimiento, son a menudo evitables y derivados de una cirugía inadecuadamente planificada, donde el método de fijación seleccionado no fue lo suficientemente estable o no hubo una adecuada preparación de la articulación. Por otro lado, dentro de los factores de riesgo se encuentran los previamente discutidos como causas de no unión13,18,19, además de ciertos factores de riesgo específicos para la artrodesis subtalar dentro de los cuales se encuentran: artrosis postraumática, la presencia de múltiples cirugías o revisiones previas, presencia de hueso avascular, neuropatías asociadas no consideradas y artrodesis de articulaciones adyacentes como la tibiotalar20.
Las tasas de no unión en la artrodesis subtalar son considerables, los estudios informan tasas que oscilan entre el 12% y el 23,8%, llegando algunas series a reportar tasas de hasta el 46%, siendo aún mayores en cirugías de revisión9–13,21. Dado su alto grado de dificultad técnica y complicaciones asociadas, es esencial seguir rigurosamente las directrices técnicas: resección completa del hueso, cartílago y tejido fibroso no viables; disección mínima de los tejidos blandos; identificación y eliminación de infecciones, compensación metabólica/nutricional; y una fijación adecuada. La elección de una fijación rígida (biomecánicamente estable), sin importar el tipo, es crucial. Además, la incorporación de autoinjertos, aloinjertos y otros aumentos biológicos es fundamental para lograr una consolidación ósea primaria efectiva13.
En el caso específico de artrodesis con tornillos la configuración de estos es clave para la estabilidad del constructo. Según estudios biomecánicos, los tornillos colocados en configuración delta demuestran una estabilidad superior en comparación con 2 tornillos paralelos y no habría diferencias biomecánicas en base al diseño del tornillo22.
Es fundamental identificar el tipo y la causa de la no unión para determinar el tratamiento adecuado. Existen opciones de manejo conservadoras y quirúrgicas; las quirúrgicas deben seguir los principios de las artrodesis primarias, incluyendo la sustitución o refuerzo de la fijación para proporcionar estabilidad adicional, la resección de la pseudoartrosis no viable y la adición de injertos óseos o materiales biológicos para promover el crecimiento óseo20,23.
Existen distintas técnicas descritas para la artrodesis de revisión subtalar. Dentro de estas están las previamente descritas para el abordaje de artrodesis primarias y por otro lado, técnicas específicamente descritas para la cirugía de revisión como son los espaciadores metálicos con clavos endomedulares asociados de principal utilidad en casos de pérdida de stock óseo24.
Por su lado, la artrodesis por distracción con uso de andamiajes de titanio y tantalio con mayor resistencia e osteointegración en comparación con los autoinjertos y aloinjertos tradicionales25, reduce el riesgo de colapso del injerto y la morbilidad del sitio donante.
En los casos de no unión, las revisiones de artrodesis subtalar presentan resultados variables dependiendo de sus causas. Se han reportado tasas de unión de aproximadamente el 71% después de la artrodesis de revisión subtalar dependiendo de la presencia de factores de riesgo previamente descritos, los cuales aumentan significativamente el riesgo de no unión persistente23. El uso de injertos óseos, en particular autoinjertos, puede mejorar los resultados al aumentar la consolidación ósea8,13.
Respecto a los resultados funcionales se han descrito mejoras significativas medidos por la escala de la American Orthopaedic Foot and Ankle Society (AOFAS), el Foot and Ankle Outcome Score (FAOS) y el Foot Function Index (FFI)18.
ConclusiónLa artrodesis subtalar, a pesar de ser una opción quirúrgica efectiva, requiere una ejecución técnica precisa y una cuidadosa selección de pacientes para minimizar el riesgo de complicaciones. Comprender y abordar tanto las complicaciones técnicas como biológicas es esencial para mejorar los resultados y garantizar una fusión ósea exitosa. La adecuada planificación y el manejo de las comorbilidades son claves para optimizar los resultados y reducir las tasas de fracaso del procedimiento.
Consideraciones ÉticasNo se ha llevado a cabo experimentación con animales ni seres humanos.
Se respeta la privacidad y confidencialidad de los datos, siguiendo el protocolo de nuestro centro, así como contamos con el consentimiento del paciente para publicar este artículo con imágenes.
Conflicto de InterésLos autores declaran no tener conflictos de intereses.
Referencia no citada17.







