La luxofractura de Bosworth es una lesión poco frecuente del tobillo en la cual el fragmento proximal de la fractura de la fíbula queda atrapado en el maléolo posterior de la tibia distal. Requiere un diagnóstico y manejo precoz debido a las importantes secuelas funcionales si se difiere su resolución quirúrgica.
En este artículo se reportan dos pacientes que presentan esta lesión, uno de ellos tratado de forma tardía con posteriores secuelas mayores. En contraste, el otro caso tuvo una resolución precoz y resultados funcionales favorables. Esto se condice con lo reportado en la literatura, poniendo énfasis en la importancia de su reconocimiento y tratamiento temprano.
Bosworth fracture dislocation is a rare ankle injury in which the proximal fracture fragment of the fibula becomes trapped in the posterior tubercle of the distal tibia. It requires early diagnosis and management due to important functional sequelae if surgical resolution is delayed. This article reports two patients with this lesion, one of them treated late with later major sequelae. In contrast, the second case experienced early resolution and favorable functional results. This is consistent with what is reported in the literature, emphasizing the importance of early recognition and treatment.
La luxofractura de Bosworth fue descrita inicialmente en una serie de casos por el Dr. David March Bosworth en 19471. Definida como una lesión en la cual, en una fractura de tobillo, el fragmento proximal de la fractura de la fíbula se luxa hacia el rasgo de fractura del maléolo posterior de la tibia distal. Es una entidad poco frecuente, con incidencia desconocida, pero podría llegar al 1,62% de las luxofracturas de tobillos según estudios recientes2. Se ha descrito la rotación externa del pie con la pierna fija como el principal mecanismo2.
Si bien su diagnóstico puede ser radiográfico, aproximadamente el 70% de las fracturas de Bosworth no se visualizan con radiografías3. Es imprescindible tener un alto índice de sospecha clínica y realizar un estudio complementario con tomografía computarizada (TC) para confirmar el diagnóstico4. Una vez diagnosticada la fractura de Bosworth, el tratamiento preferido es la reducción abierta y fijación interna5.
Se sabe que intentos repetidos para lograr una reducción cerrada de esta lesión pueden aumentar el daño de partes blandas y cartílago articular y empeorar los resultados a mediano y largo plazo6. Por otro lado, es una lesión sub diagnosticada y tratada muchas veces en forma diferida, lo que afecta los resultados debido a complicaciones asociadas como la mal-unión y la artrosis postraumática5.
A continuación, reportamos dos casos de luxofractura de Bosworth que se presentaron en el Hospital Clínico del Instituto de Seguridad del Trabajo de Santiago, Chile entre los años 2018 y 2021. El primer caso ilustra el manejo tardío de esta patología con una evolución tórpida y luego, el segundo caso muestra el resultado satisfactorio de un paciente que recibió tratamiento oportuno. Esto se condice con lo reportado en la literatura, poniendo énfasis en la importancia de su reconocimiento y tratamiento temprano.
A continuación, presentamos dos casos clínicos, el primero ilustrando el manejo tardío de esta patología con una evolución tórpida. El caso 2 un paciente con un tratamiento oportuno con un resultado satisfactorio.
Caso 1El primer caso trata de una paciente de sexo femenino de 33 años de edad, obesa y sin otras comorbilidades que sufre un accidente de tránsito con posterior aplastamiento del tobillo derecho por su motocicleta. Ingresa con dolor intenso, deformidad evidente, impotencia funcional y con estado de la piel y neurovascular distal conservado. Se diagnostica una luxofractura bimaleolar de tobillo, con pérdida de reducción tibiotalar y fracturas de maléolo lateral (clasificación de Denis-Weber B7) y maléolo posterior (clasificación Bartonicek II8). Se intenta una reducción inicial cerrada la cual resulta insatisfactoria por lo que ingresa a pabellón para reducción cerrada bajo anestesia en la cual la reducción tibiotalar es laboriosa e inestable. Se instala un fijador externo en configuración delta.
La paciente queda hospitalizada, realizándose una TC (figura 1) durante la hospitalización. La lesión de Bosworth no fue diagnosticada en forma inmediata, solo en la TC postoperatorio se observa la interposición del fragmento de fíbula en el rasgo de fractura del maléolo posterior como causa de la irreductibilidad. Durante la espera de disponibilidad de pabellón para resolución definitiva, a los dos días de la lesión inicial, la paciente comienza con dolor intenso, desproporcionado, al examen físico destaca dolor ante la flexión del hallux, por lo que se le diagnostica un síndrome compartimental e ingresa a pabellón para una fasciotomía de emergencia.
Dos días después de fasciotomía se realiza una reducción abierta y osteosíntesis con tornillos y placa mediante un abordaje posterolateral, desimpactando el fragmento proximal de la fíbula que queda atrapado en el maléolo posterior para luego reducir y osteosintetizar con placa el maléolo posterior, seguido de una reducción y osteosíntesis con placa anatómica para el maléolo lateral asociado a un tornillo desde la fíbula a la tibia de manera tricortical para mantener la reducción de la sindesmosis (figura 2).
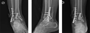
. Radiografías de tobillo posterior a reducción abierta y fijación interna. Proyección en mortaja, lateral, anteroposterior (AP). Imágenes post quirúrgicas luego de segunda intervención con reducción y osteosíntesis de fíbula y maléolo posterior con placas e fijación rígida de la sindesmosis.
Se indica inicialmente descarga por 5 semanas, luego kinesiología trisemanal con énfasis en movilizaciones y progresando hacia ejercicios de fortalecimiento y reeducación funcional. Sin embargo, la paciente evoluciona con una rehabilitación lenta, tórpida y persiste con dolor y edema intermitente en el tobillo. Por esto, a 11 meses de la lesión inicial, se procede a realizar inicialmente una artrodesis de la sindesmosis tibiofibular. En vista de la mala evolución clínica y radiográfica de la paciente, a los 3 años de evolución se realiza artrodesis tibiotalar con placas (figura 3).
Caso 2El segundo caso que reportamos es de un paciente de sexo masculino de 24 años, sano y sin antecedentes mórbidos, que sufre un mecanismo torsional tipo supinación asociada a rotación externa de su tobillo derecho al bajar una rampa. Ingresa al servicio de urgencias con deformidad evidente, impotencia funcional, edema moderado, sin lesiones en piel y estado neurovascular distal conservado. Se solicitan y toman radiografías (figura 4), diagnosticando una luxofractura trimaleolar del tobillo derecho. En primera instancia se intenta la reducción cerrada la cual resulta insatisfactoria por lo que ingresa a pabellón para reducción cerrada e instalación de un fijador externo en configuración delta.
Radiografías y tomografía computarizada de luxofractura de Bosworth. A y B: radiografía de tobillo en proyección AP y lateral, respectivamente, donde se evidencia luxofractura trimaleolar. C y D: tomografía computarizada en cortes sagital y axial, respectivamente, donde se observa fragmento proximal de fíbula interpuesto en foco de fractura de maléolo posterior.
Durante las primeras 24 horas de la lesión, se diagnostica la luxofractura de Bosworth sospechando la lesión en las radiografías ortogonales del tobillo (figura 4) y se confirma con la realización de una TC la presencia de una luxación tibio-fibular distal con atrapamiento del fragmento proximal de la fíbula en el rasgo de fractura del maléolo posterior (figura 4).
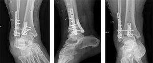
Al día siguiente del diagnóstico, el paciente ingresa a pabellón en donde se realiza una reducción abierta y osteosíntesis con placas y tornillos a través de un abordaje posterolateral logrando la desimpactación del fragmento proximal de la fíbula y osteosíntesis tanto de la fíbula como del maléolo posterior, además de la fijación sindesmal con tornillo bajo confirmación de la posición del material de osteosíntesis con visión fluoroscópica. Luego, a través de un abordaje medial se realiza la reducción y osteosíntesis del maléolo medial con tornillos canulados (figura 5).
Radiografías de tobillo posterior a reducción y osteosíntesis. Radiografía de tobillo. Proyección en mortaja, lateral AP, luego de reducción y osteosíntesis de luxofractura de tobillo mostrada en la figura 4.
El paciente evoluciona en forma satisfactoria, inicialmente en descarga por cuatro semanas, luego se realiza un enfoque integral con kinesiología, comenzando con movilizaciones tempranas y progresando hacia ejercicios de fortalecimiento y reeducación funcional con una frecuencia trisemanal. El paciente retoma sus actividades habituales a los 4 meses de la lesión inicial libre de dolor y otras complicaciones. A los 3 años de su lesión, refiere seguir libre de dolor y realizando sus actividades cotidianas.
DiscusiónSi bien la interposición de partes blandas entre los fragmentos es la causa más frecuente de irreductibilidad de tobillos fracturados-luxados, la luxofractura de Bosworth es una entidad menos frecuente pero que merece un alto grado de sospecha en estos tipos de pacientes dada su complejidad diagnóstica con radiografías. Su diagnóstico y tratamiento oportunos podrían disminuir las complicaciones asociadas5,9.
Su presentación se describe como una fractura en peroné que comienza a nivel de la sindesmosis (Weber tipo B), donde el fragmento proximal se desplaza y se ubica en la cara posterior de la tibia. También existen casos donde la fractura es suprasindesmal, correspondiendo a una Weber tipo C2. Esto tiene implicancia tanto en el diagnóstico como en el tratamiento, ya que las de Weber tipo C tienen un mayor éxito en la reducción cerrada versus las Weber tipo B.
El estudio inicial es con las proyecciones de tobillo habituales: anteroposterior (AP), lateral y mortaja. En la proyección AP se puede ver el aumento del overlap tibiofibular (principalmente en fracturas de tipo Weber tipo B). Considerado por algunos un signo patognomónico de la luxofractura de Bosworth. En la vista lateral, los signos específicos incluyen subluxación posterior del talo, luxación tibiofibular (el peroné se desplaza hacia atrás con respecto a la tibia), y angulación de los fragmentos del peroné en fracturas de Weber tipo B. En la proyección de mortaja se puede observar el ‘signo de la axila’10 que se describe como una radiodensidad cortical en la axila del plafón tibial medial probablemente debido a la rotación interna persistente de la tibia cuando la fíbula está detrás de la tibia. Pese a lo anterior, incluso cirujanos experimentados podrían malinterpretar la lesión con el uso exclusivo de radiografías ortogonales asociadas a la proyección de mortaja. Es por esto que se complementan con la TC para diagnosticar la luxofractura de Bosworth11. La TC es el estándar diagnóstico en las luxofracturas de Bosworth, ya que proporciona una imagen tridimensional, en la cual principalmente en el corte axial, se puede ver el desplazamiento del fragmento del peroné desde la sindesmosis, lo que confirmar el diagnóstico de luxofractura de Bosworth y además permite diagnosticar y caracterizar otras lesiones como por ejemplo el fragmento de Tillaux-Chaput, cuerpos libres articulares, lesiones osteocondrales, entre otros. También revela el tipo de fractura del maléolo posterior y el atrapamiento del fragmento del peroné entre la tibia posterior y dicho maléolo.
El procedimiento estándar de tratamiento es la reducción abierta temprana y la fijación interna12. En la mayoría de los pacientes, la luxofractura de Bosworth está desplazada, lo que aumenta el riesgo de daños adicionales en los tejidos blandos y complicaciones neurovasculares. Si no se puede operar al paciente de inmediato, es necesario reducir la fractura. Sin embargo, los intentos de reducción cerrada suelen ser infructuosos. Aunque las radiografías pueden mostrar una mejora en la reducción del talo respeto a la tibia, siempre se debe considerar que pudiera persistir la luxación tibiofibular.
Este es típicamente el caso en fracturas de Weber tipo B13, donde el fragmento proximal del peroné desplazado no tiene inserción ligamentosa. En las fracturas de peroné Weber tipo C, la reducción cerrada con manipulación del pie es más exitosa, ya que el fragmento distal atrapado del peroné está conectado al pie a través de los ligamentos talofibular y calcaneofibular, lo que facilita su reducción y manejo14.
Para evitar un daño adicional en los tejidos blandos, la reducción primaria debe realizarse preferiblemente bajo anestesia general y con intensificador de imagen. La técnica de reducción es aplicar presión manual directa sobre el fragmento proximal del peroné desde posterior, combinada con una rotación interna simultánea del pie. Si bien es una buena técnica, resulta difícil de reproducir de manera consistente en la práctica clínica. Por lo que, si la reducción cerrada es imposible, se debe hacer una reducción abierta, pudiendo ser realizada con una pequeña incisión posterolateral con un gancho o un “hook”12.
Las principales complicaciones de la luxofractura de Bosworth son en relación a los tejidos blandos incluyendo necrosis de la piel15, infección16 y rigidez del tobillo, particularmente después de una reducción tardía3, o parálisis del nervio peroneo profundo después de reducciones repetidas17.
En un estudio de 51 pacientes, con seguimiento de un año, demostraron resultados funcionales significativamente mayores en aquellos casos tratados en forma inmediata en comparación a aquellos en los cuales se difiere su manejo a más de 24 horas6. Sin embargo, existe la necesidad de estudios clínicos que reporten los resultados a mediano y largo plazo del tratamiento de la luxofractura de Bosworth en un mayor número de pacientes.
Presentamos dos casos clínicos de luxofractura de Bosworth, uno tratado de forma tardía con secuelas importantes y otro con diagnóstico y tratamiento precoz con buena evolución, lo que resalta la importancia del reconocimiento y intervención temprana. Las fortalezas de este trabajo incluyen la relevancia del tema, la comparación entre manejo precoz y tardío, y la aplicabilidad clínica de los hallazgos. Sin embargo, como limitación, carece de herramientas estandarizadas para evaluar los resultados funcionales, ni tampoco aborda en detalle las características técnicas relacionadas con la reducción articular, ni se discute sobre el fragmento intercalar del maléolo posterior. La descripción de estos casos clínicos tiene por objetivo mostrar un enfoque práctico y clínico, al resaltar la crucial importancia del diagnóstico y tratamiento precoz de la luxofractura de Bosworth.
ConclusiónLa luxofractura de Bosworth es una lesión infrecuente, pero clínicamente relevante, que puede causar irreductibilidad en una luxofractura de tobillo. Un diagnóstico precoz es fundamental, especialmente considerando la baja frecuencia de la lesión y las secuelas devastadoras asociadas al manejo tardío. Es crucial tener un alto índice de sospecha y realizar una búsqueda activa de esta patología para evitar complicaciones y optimizar los resultados funcionales. El tratamiento quirúrgico temprano, mediante reducción abierta y osteosíntesis interna, es determinante para mejorar los resultados clínicos, destacando la necesidad de una evaluación clínica exhaustiva ante la posibilidad de este tipo de fractura.
Consentimiento InformadoEste estudio se realizó conforme a los acuerdos adoptados por las asociaciones médicas mundiales plasmadas en la Declaración de Helsinki. Ambos pacientes entregan consentimiento expreso para participar en este reporte de casos.
Conflicto de InterésLos autores declaran no tener conflictos de interés en la realización de este reporte de casos.






