Presentar un caso de osteoporosis transitoria migratoria.
Caso clínicoMujer de 50 años que desarrolla sucesivamente dolor en la cadera izquierda, la rodilla izquierda y el tobillo derecho. La resonancia magnética (RM) de cadera establece el diagnóstico de osteoporosis transitoria de cadera y las sucesivas migraciones establecen el diagnóstico de osteoporosis transitoria migratoria.
ResultadosLa sintomatología remite con tratamiento conservador, con reposo, analgésicos, antiinflamatorios, descarga y fisioterapia hasta que los síntomas disminuyan. La descarga disminuye el dolor y previene la fractura por fatiga. El tratamiento médico no altera el curso de la enfermedad tras 65 semanas.
ConclusiónLa osteoporosis transitoria migratoria es rara, idiopática y autolimitada. Cursa con dolor migratorio en las articulaciones de carga, osteopenia radiográfica difusa periarticular y patrón de edema medular óseo en la RM. Su tratamiento es conservador.
To report on a case of transient migrant osteoporosis.
Clinical caseWe present the case of a 50-year-old female who developed pain in the left hip, left knee and right ankle successively. Her hip MRi prompted a diagnosis of transient hip osteoporosis and successive migrations resulted in a diagnosis of transient migrating osteoporosis.
ResultsSymptoms abated with conservative treatment comprising rest, analgesics, anti-inflammatories, non-weightbearing and physical therapy. Non-weightbearing relieved pain and prevented fatigue fractures. Medical treatment did not alter the course of the disease after 65 weeks.
ConclusionTransient migrating osteoporosis is a rare, idiopathic and self-limiting disease. It is accompanied by migrating pain in the weight-bearing joints, as well as by diffuse periarticular radiographic osteopenia and a pattern of bone marrow edema seen on MRi. Treatment is conservative.
La osteoporosis transitoria es rara e idiopática. Se caracteriza por dolor articular, osteopenia radiográfica periarticular varias semanas después y curación espontánea sin secuelas varios meses después. Se describió inicialmente en la cadera de mujeres durante el tercer trimestre de embarazo1, luego se describió con más frecuencia en varones de mediana edad, por esto se la llamó osteoporosis transitoria de cadera. También se publicaron osteoporosis transitorias en otras localizaciones: generalmente afectaba a las articulaciones de carga de las extremidades inferiores, entonces se acuñó el término osteoporosis transitoria regional.
Entre un 10 y un 40% de los pacientes desarrollan este proceso en varias articulaciones, de forma simultánea o sucesiva, en el mismo miembro o en el contralateral (en este caso se habla de osteoporosis transitoria migratoria)2–5. La presentación más común es la extensión de proximal a distal en el mismo miembro.
Se puede encontrar, en ocasiones, una migración intraarticular de la osteoporosis transitoria que afecta a diferentes regiones de la misma articulación, esto se ha descrito raramente y especialmente en la rodilla. Más raramente se hallan formas diseminadas o poliarticulares con episodios simultáneos y sucesivos en muchas articulaciones.
Caso clínicoMujer de 50 años con antecedentes de lumbalgia crónica con agudizaciones frecuentes en forma de ciatalgia de predominio izquierdo que acudió al servicio de urgencias por dolor lumbar irradiado a la extremidad inferior izquierda, agudizado desde hacía 2 meses y que se había hecho muy intenso, persistía en reposo y le impedía conciliar el sueño. Además, presentaba un dolor a la palpación del trocánter mayor izquierdo de reciente aparición, que aumentaba con las rotaciones y la abducción resistida de la cadera y que era el componente principal del dolor. No había déficit motor ni sensitivo, los reflejos osteotendinosos no eran valorables y los reflejos cutáneos plantares eran normales. Las radiografías mostraban anomalía de transición lumbosacra (lumbarización S1), pinzamiento de la L4L–5 y menos de la L5-S1, y escoliosis lumbar, sin cambios con respecto a las exploraciones previas; la cadera izquierda era normal. Se ingresó con el diagnóstico de lumbociática izquierda y trocanteritis izquierda.
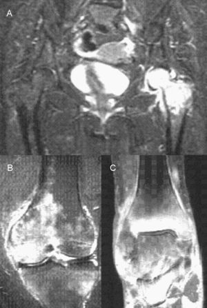
Se trató con reposo en cama, analgésicos, antiinflamatorios, corticoides y neuromoduladores, y se practicó una infiltración corticoanestésica en el trocánter mayor que no fue efectiva. La gammagrafía ósea mostró hipercaptación grave en la articulación coxofemoral, la cabeza femoral y la región trocanterea indicativa de osteonecrosis (fig. 1). Las analíticas de sangre y de orina fueron normales. La resonancia magnética (RM) de cadera mostró extenso cambio de señal en la cabeza, el cuello y la metáfisis femoral, hipointenso en T1 e hiperintenso en T2, y derrame articular compatible con osteoporosis transitoria de cadera (fig. 2). A los 12 días se la dio de alta con tratamiento (antiinflamatorio, calcio, vitamina D y calcitonina nasal). Se autorizó la movilización de la cadera, pero no la carga.
A las 8 semanas la radiografía de control de la cadera mostraba osteoporosis regional y una densitometría ósea mostraba una osteopenia femoral (T: −2,12, Z: −1,42) con valores normales a nivel lumbar (T: −0,33 y Z: −0,60).
A las 24 semanas el dolor de cadera y lumbar había disminuido mucho, pero explicaba el dolor en la rodilla izquierda intenso referido a interlínea interna; la radiografía era normal. A las 26 semanas además refería dolor en el tobillo derecho referido a maleolo interno; la radiografía también era normal. La RM de rodilla mostró degeneración del cuerno posterior del menisco interno, inflamación del ligamento lateral interno, marcados cambios de señal en el cóndilo femoral interno, la meseta tibial externa y la cabeza peroneal compatibles con focos de edema-contusión ósea, y pérdida de volumen del cartílago articular patelar (fig. 2). Una segunda gammagrafía mostró hipercaptación grave del tobillo derecho indicativa de osteocondritis u osteonecrosis, hipercaptación moderada–grave del cóndilo femoral interno de la rodilla izquierda indicativa de osteocondritis e hipercaptación de la cabeza femoral izquierda disminuida con respecto a la gammagrafía previa (fig. 1). Se le diagnosticó osteoporosis transitoria migratoria.
A las 34 semanas refería dolor de la rodilla izquierda ocasional, pero dolor del tobillo derecho intenso. A las 39 semanas explicaba dolor del tobillo derecho muy intenso con signos inflamatorios, cojera importante e impotencia funcional grave, caminaba con 2 bastones. La RM de tobillo mostró un proceso inflamatorio extenso preferentemente en el maleolo tibial con afectación leve de la cúpula astragalina, artropatía degenerativa tibioastragalina, marcado edema difuso de partes blandas, osteoporosis parcheada que afectaba al astrágalo, a los escafoides y la cuña, y atrofia muscular (fig. 2). Solicitamos rehabilitación funcional. A las 52 semanas, tras una mejoría del dolor del tobillo, éste volvió a aumentar y se añadió un bifosfonato oral semanal.
A las 65 semanas estaba casi asintomática, se suspendió el tratamiento médico, salvo la analgesia a demanda y el bifosfonato, y se la dio de alta.
Se controló 8 meses después con una densitometría. No había presentado dolor relevante ni en la cadera izquierda ni en la rodilla izquierda ni en el tobillo derecho. Tomaba el bifosfonato. La densitometría mostró osteopenia femoral (T: −1,49, Z: −0,56, ↑: 103%) y lumbar (T: −1,25, Z: −0,33, ↓: 9,5%). Había empeorado su lumbalgia, pero había mejorado el dolor femoral, esto demostraba la recuperación de la osteoporosis transitoria de cadera.
Actualmente, 6 años después, no ha presentado ni presenta ninguna sintomatología atribuible a osteoporosis transitoria migratoria.
DiscusiónLa osteoporosis transitoria es rara, pero se cita cada vez con más frecuencia y probablemente está infradiagnosticada3–6. Se suele localizar en las articulaciones de carga de las extremidades inferiores: la cadera (70%), la rodilla, el tobillo y el pie6. La osteoporosis transitoria de cadera afecta a adultos de mediana edad (40–60 años), particularmente hombres (3:1), y a mujeres embarazadas, generalmente en el tercer trimestre1,4–8. Puede ser bilateral, simultánea o secuencial en un tercio de los pacientes.
La osteoporosis transitoria es idiopática, pero se han indicado varias teorías etiopatogénicas1–7. No hay factores predisponentes conocidos, salvo el embarazo6,8. Se ha asociado con la osteoporosis vertebral y la osteoporosis sistémica6. Es autolimitada1,2,4–9, en la embarazada remite tras el parto o el aborto4.
La osteoporosis transitoria cursa con dolor periarticular que aumenta con la carga y mejora con el reposo. La afectación funcional puede ser importante, pero el dolor y los hallazgos clínicos pueden ser escasos, esta discrepancia es característica. Los síntomas alcanzan una meseta y revierten gradualmente sin dejar secuelas en el primer año después de su aparición1,2,4–7,9. Los huesos con osteoporosis transitoria pueden tener fracturas por fatiga, sobre todo, fracturas subcapitales en la osteoporosis transitoria de cadera durante la gestación5,7 que, aunque raras, son la complicación más grave.
Las radiografías iniciales son normales, a las 3–8 semanas aparece osteopenia radiográfica difusa periarticular con preservación del espacio articular1,2,4–10.
La gammagrafía muestra precozmente, en la primera semana, hipercaptación marcada, difusa y homogénea. Permite detectar la migración y monitorizar las lesiones, sobre todo, en la osteoporosis transitoria migratoria 2,4,5,7–10.
La RM muestra disminución de la intensidad de señal de la médula ósea en T1 y aumento en T2 de forma difusa indicativas de edema medular óseo, sin signos de osteonecrosis, y derrame articular4,6,8–10. La exploración es de elección, pues es altamente sensible y es positiva a las 48 h del inicio de los síntomas5. Permite excluir otras enfermedades y monitorizar su progresión. El edema medular óseo es un hallazgo inespecífico que se puede encontrar en otras entidades6,8–10. La densitometría muestra desmineralización ósea focal.
La electromiografía es generalmente normal. Los estudios de laboratorio también suelen ser normales2,6–8. El líquido articular no presenta alteraciones y sus cultivos son negativos8,9. La biopsia sinovial puede mostrar una mínima inflamación crónica inespecífica2,7,8. La presión intramedular ósea es elevada y la venografía intraósea muestra reflujo y estasis10.
La biopsia ósea puede no ser específica: muestra una combinación variable de edema medular óseo, cambios inflamatorios, reabsorción ósea, formación ósea, fibrosis, osteoporosis y necrosis medular, pero no necrosis ósea2,4,7,10. Para la mayoría de los autores no debe realizarse, pues la enfermedad es autolimitada y requiere tratamiento conservador, y la biopsia ósea es un procedimiento radical.
Al revertir la enfermedad, la densidad ósea se recupera y las exploraciones complementarias se normalizan en pocos meses1,2,4,7–10.
El diagnóstico diferencial entre síndrome de edema medular óseo, osteoporosis transitoria y distrofia simpática refleja, que se resuelven espontáneamente, y otras condiciones agresivas con secuelas a largo plazo es esencial. En el desempeñan un papel importante la historia clínica, la exploración física, la localización y extensión de las lesiones y los datos de laboratorio. La necrosis avascular es el principal diagnóstico diferencial, pues su tratamiento quirúrgico precoz es de crucial importancia4,5,8.
El tratamiento de la osteoporosis transitoria generalmente es conservador, con reposo, analgésicos, antiinflamatorios, descarga y fisioterapia hasta que los síntomas disminuyan4,5,7,9. La descarga disminuye el dolor e intenta prevenir la fractura de estrés. El tratamiento médico no altera el curso de la enfermedad5.
La cirugía descompresiva de la cabeza femoral en el síndrome de edema medular óseo y en la osteoporosis transitoria de cadera mejora inmediatamente el dolor y la movilidad, acorta significativamente la duración de la enfermedad, permite un rápido retorno al trabajo, no tiene complicaciones perioperatorias y elimina el riesgo de progresión a una necrosis avascular, por esto debe considerarse si los síntomas son intensos, prolongados e incapacitantes8,10. En la osteoporosis transitoria migratoria no se previenen episodios en otras articulaciones5.
La algodistrofia de Südeck, la distrofia simpática refleja, el síndrome de dolor regional complejo, el síndrome de edema medular óseo, la osteoporosis transitoria (regional o migratoria) y la necrosis avascular tienen sintomatología similar, son idiopáticas y presentan edema medular óseo en la RM, por esto pueden formar parte o ser diferentes estadios de la misma enfermedad9, que algunos autores incluyen bajo el término general de síndrome de edema medular óseo10.
La osteoporosis transitoria migratoria es rara, idiopática y autolimitada. Cursa con dolor migratorio en las articulaciones de carga, osteopenia radiográfica difusa periarticular y patrón de edema medular óseo en la RM. Su tratamiento es conservador.
Conflicto de interesesEl autor declara no tener ningún conflicto de intereses.




