Se han descrito varias técnicas para el tratamiento de la luxación recidivante anterior de hombro, aportando todas ellas ventajas y desventajas respecto a la estabilidad que proporcionan, la tasa de recidivas, el resultado funcional obtenido y el número y tipo de complicaciones.4,6,9,21,22 Una de las técnicas más cuestionadas por el número de complicaciones funcionales que produce es la técnica de Bristow-Latarjet. Múltiples trabajos publicados en la literatura mundial se han preocupado de revisar los resultados clínicos y las complicaciones quirúrgicas de ésta técnica.1,2,8,13,16,18,20,23,25-27,31,32
La transposición de la porción más distal de la apófisis coracoides con el tendón conjunto a la cara anterior del cuello de la escápula, a través de una incisión en el subescapular, como tratamiento quirúrgico de las luxaciones recidivantes anteriores de hombro, fue descrita por primera vez por Latarjet en 1954.15
Una técnica quirúrgica muy similar desarrollada por Sir Rowley Bristow en los años treinta, fue publicada por uno de sus discípulos, Arthur J. Helfet, en 1958.10 Desde entonces, la técnica de Bristow-Latarjet ha sido frecuentemente utilizada, modificada (Trillat 1965, May 1970, Bonnin 1973, Collins & Wilde 1973, Sweeney y cols. 1975, Lombardo y cols. 1976), revisada y, muchas veces, criticada.4,5,7,16,17,19,29
A esta técnica se le atribuyen complicaciones clínicas como déficit de rotación, pérdida de fuerza de la extremidad, recidiva, sensación de inestabilidad en el hombro afecto y cambios degenerativos precoces en la articulación glenohumeral.1,2,8,11,13,16,18-20,25-27,29,32,33
El objetivo de este trabajo es mostrar los resultados clínicos de una serie de pacientes intervenidos por luxación recidivante anterior del hombro mediante la técnica de Bristow-Latarjet haciendo especial hincapié en el análisis de los defectos en la realización de la técnica quirúrgica y así establecer su implicación en el desarrollo posterior de secuelas.
Material y método
Se revisaron 21 pacientes intervenidos entre los años 1994 y 1998, por cuatro cirujanos distintos, clínica y radiológicamente. El seguimiento medio fue de 28,6 meses (mínimo: 12 y máximo: 58 meses). La distribución por sexos era de 18 hombres y 3 mujeres, con edad media de 26,2 años (* = 5,4, mínimo: 18 y máximo: 42 años). La extremidad más frecuentemente afectada fue la derecha (16/21). De estos 21 pacientes, tres habían sido intervenidos previamente en el mismo hombro, dos por cirugía abierta (mediante técnica de Putti-Plat) y uno por artroscopia (mediante reparación de la lesión de Bankart con arpones). Se interrogó a los pacientes por el número de luxaciones previas a la cirugía dividiendo los resultados en tres grupos según el número de episodios. Ocho de ellos habían sufrido menos de seis luxaciones, otros ocho seis o más, y cinco hablaban de múltiples episodios. La evaluación de los pacientes se hizo mediante entrevista clínica con exploración física y un protocolo de exploración radiológica en el que se realizaban tres proyecciones: anteroposterior en el plano de la escápula, outlet o perfil en el plano de la escápula y Bernageau.3 Con todos ellos se completó un formulario en el que se recogía los datos de filiación, la extremidad afectada, el número de luxaciones previas a la intervención, cirugía previa o no y en caso afirmativo tipo de ésta, exploraciones complementarias realizadas (radiografía simple, RM, artroTC), fecha de intervención, última fecha de control y balance articular activo postoperatorio en ambas extremidades superiores (antepulsión, rotación externa y rotación interna).
En el apartado de análisis radiológico se analizaba la posición de la pastilla en el plano AP (si se encontraba en el tercio superior, medio o inferior y la relación con el margen anterior de la glenoides: enrasada, externa o lateral, interna o medial), en la proyección de Bernageau (si el tornillo atravesaba una o las dos corticales, si la pastilla mostraba signos radiológicos de consolidación, y en caso negativo si ésta había migrado o se mantenía gracias a una unión fibrosa, y por último la relación con el margen anterior de la glenoides) y en la proyección de outlet (si el tornillo atravesaba una o las dos corticales y si la pastilla mostraba signos radiológicos de consolidación). Por último se recogió el número y tipos de tornillo utilizados y la integridad del mismo.
Se define la posición ideal de la pastilla ósea, según la descripción de la técnica original y de la mayor parte de los autores, como aquella en la que la porción distal de la apófisis coracoides con el tendón conjunto se encuentra en el ecuador de la cara anterior del cuello de la escápula o por debajo de éste, siendo más efectiva en el tercio inferior del cuello de la escápula; enrasada con el margen anterior de la glena o a menos de diez milímetros de éste y fijada con uno o dos tornillos que atraviesen las dos corticales. Por último, debe mostrar signos de consolidación.1,12,13,18,24,26,28,30,31
Por todo ello, se definió como posición ideal para éste estudio aquella en que la pastilla se implantó en el tercio inferior del cuello, enrasada o discretamente medial a menos de cinco milímetros del margen anterior, con el tornillo o tornillos atravesando las dos corticales del cuello glenoideo y consolidada.
Resultados
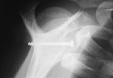
Ninguno de los pacientes intervenidos presentó nuevas luxaciones después de la cirugía. El déficit medio de rotación externa comparando las dos extremidades fue de 9° (* = 6°) y no hubo diferencias significativas en cuanto a rotación interna y la antepulsión. Un 60% de las pastillas estaban en el tercio inferior, el 20% en el tercio medio y otro 20% en el superior (Fig. 1). El 39% estaban enrasadas con el margen anterior de la glena, el 22% se habían colocado externas (Fig. 2) y el 39% se encontraban en situación demasiado medial (Fig. 3). En tan solo uno de los casos se utilizaron dos tornillos para fijar la pastilla ósea. En el resto se utilizó un tornillo pero sólo en la mitad de los casos éste atravesaba las dos corticales (Fig. 4). El tipo de tornillo más utilizado fue el maleolar (n = 18), y en tres casos se implantó un tornillo de escafoides. La mitad de las pastillas mostraban signos de consolidación, mientras que en el resto, el 21% habían migrado (Fig. 5) y el 28% se mantenían en posición merced a una unión fibrosa (Fig. 6). En ningún caso se evidenció osteolisis de la pastilla. Tan solo dos pacientes cumplían todos los parámetros radiográficos ideales. Ningún paciente requirió ser reintervenido por complicaciones clínicas posteriores, o por migración o rotura del tornillo. No se detectaron lesiones vasculonerviosas ni infección postoperatoria en ningún paciente.
Figura 1. Proyección antero-posterior. Situación de la pastilla ósea en tercio superior de la glena.
Figura 2. Proyección antero-posterior. Situación excesivamente lateral de la pastilla ósea respecto al margen anterior de la glena.
Figura 3. Proyección de Bernageau. Pastilla ósea situada medial respecto al margen anterior de la glena.
Figura 4. Proyección de outlet. Tornillo de escafoides atravesando las dos corticales.
Figura 5. Proyección de outlet. Migración de la pastilla ósea (flecha) e implante en el tercio superior de la glena.
Figura 6. Proyección de Bernageau. Unión fibrosa de la pastilla ósea. Tornillo atravesando una sola cortical.
Discusión
Múltiples técnicas han sido descritas y utilizadas para el tratamiento de la luxación recidivante anterior del hombro, todas ellas sujetas a complicaciones. Muchas de las técnicas utilizadas se ejecutan sobre partes blandas, lo que dificulta el análisis objetivo de la técnica quirúrgica. La intervención descrita por Bristow y Latarjet tiene la ventaja de poder ser estudiada objetivamente mediante el análisis del botón óseo coracoideo y el tornillo que lo sujeta, respecto a un patrón ideal de colocación descrito en los trabajos originales y posteriores modificaciones.1,12,13,18,24,26,28,30,31 Los trabajos que refieren complicaciones asociadas a la técnica de Bristow-Latarjet1,2,8,11,13,16,18-20,25-27,29,31-33 no analizan la posible preséncia de defectos técnicos de ejecución que condicionaran las complicaciones observadas. En el análisis realizado en esta serie de 21 pacientes, sólo el 60% de las pastillas estaban en el tercio inferior, el 39% enrasadas al margen anterior de la glena, el 50% de los tornillos atravesaban las dos corticales y el 50% de las transposiciones mostraban signos radiológicos de consolidación.
De manera que sólo dos de los 21 pacientes tratados mediante la técnica de Bristow-Latarjet reunían todos los criterios de idoneidad. Estos resultados son superponibles a los descritos por Hovelius y cols. en 198311,12 lo cual significa que la técnica de Bristow-Latarjet es de difícil ejecución, y que se deben establecer grupos diferenciados de pacientes según el defecto técnico realizado para poder establecer a largo plazo que tipo de complicación desarrollan. A este efecto, se está realizando un seguimiento prospectivo de estos pacientes categorizados en cuatro grupos, según la pastilla ósea esté situada en el tercio medio, tercio superior, medial o lateral respecto al margen anterior de la glena, cuyos resultados se publicarán en el futuro.
El estudio radiológico simple con las tres proyecciones descritas (anteroposterior en el plano de la escápula, Bernageau y perfil en el plano de la escápula) es suficiente para el análisis de la situación del botón óseo respecto al ecuador de la glena, así como respecto a su enrasado con el margen anterior de la misma. También es suficiente para poder determinar si el tornillo de fijación es bicortical o no, y si el botón óseo está consolidado.
Aunque no era el objetivo del estudio y a pesar de todos los defectos técnicos evidenciados, en ningún caso se observó recidiva de la inestabilidad tras un seguimiento medio de 28,6 meses y mínimo de un año, lo cual significa que respecto a la corrección clínica de la luxación recidivante anterior es una técnica altamente efectiva.
Conclusiones
1) El uso de la técnica de Bristow-Latarjet para el tratamiento de la luxación recidivante anterior del hombro está sujeto a un alto número de defectos de ejecución. 2) No se pueden atribuir todas las complicaciones funcionales descritas como inherentes a la técnica de Bristow-Latarjet sino que deben considerarse en cada caso la presencia de esos defectos. 3) A pesar de los defectos técnicos observados en la implantación y fijación de la pastilla ósea, la técnica de Bristow-Latarjet se presenta como un tratamiento eficaz de la luxación recidivante anterior del hombro, respecto a evitar la recidiva de los episodios de luxación.








