El lupus eritematoso sistémico juvenil es una enfermedad crónica, autoinmune y multisistémica que afecta a menores de 18 años. Su aparición temprana sugiere una fuerte relación genética, se han identificado variantes genéticas que causan lupus eritematoso sistémico monogénico. Se reporta el caso de una paciente de 10 años con lupus eritematoso sistémico juvenil, con presentación atípica, severa y falla al tratamiento habitual, en la que se identificó una variante en el gen TREX1 c.590C>T, p.Ala197Val. Las variantes de TREX1 representan hasta el 2% de los casos de lupus eritematoso sistémico y debe pensarse en niños con inicio temprano, presentación atípica y severa.
Juvenile systemic lupus erythematosus is a chronic, autoimmune, and multisystemic disease that affects individuals under 18 years of age. Its early onset suggests a strong genetic relationship, with identified genetic variants causing monogenic systemic lupus erythematosus. The case of a 10-year-old patient with juvenile systemic lupus erythematosus is reported, presenting atypically, severely, and with failure to respond to standard treatment, in whom a variant in the TREX1 gene c.590C>T, p.Ala197Val was identified. TREX1 variants represent up to 2% of systemic lupus erythematosus cases and should be considered in children with early onset, atypical, and severe presentation.
El lupus eritematoso sistémico juvenil (LESj) en una enfermedad crónica, autoinmune, multisistémica y potencialmente mortal que se presenta en menores de 18 años [1–3]. Su prevalencia oscila entre 3,3 y 24 casos por cada 100.000 niños y cuando aparece en esta población suele tener un comportamiento más severo y con mayor compromiso orgánico que el observado en los adultos [4,5]. Desde la perspectiva fisiopatológica, la presentación temprana puede orientar a una relación genética más fuerte y de hecho en los últimos años se han identificado diferentes variantes genéticas que pueden causar fenotipos similares al LES, conocidos como LES monogénicos [6,7]. Se han identificado más de 30 genes cuyas variantes por sí solas pudiesen causar este fenotipo, entre los cuales se encuentran genes de las proteínas del sistema de complemento y genes de sus receptores, genes asociados a apoptosis, genes asociados a identificación y degradación del ADN, genes relacionados con vías de interferón y genes asociados a la señalización intracelular. De estos, el gen de la exonucleasa reparadora 3prima (TREX1) ha sido uno de los que con mayor frecuencia se asocian con la aparición de la enfermedad; se estima que alrededor del 2% de los pacientes con LES pueden tener variantes genéticas en homocigosis o heterocigosis en el gen del TREX1 [8,9]. La función del TREX1 es principalmente degradar ADN de cadena doble en ácidos nucleicos. De esta manera, se evita su acumulación aberrante en el citosol y que sean reconocidos por los receptores de reconocimientos de patrones (PRR) en forma de patrones moleculares asociados a patógenos (PAMPS) [9]. Las variantes en el gen llevan a que la acción de exonucleasa se vea afectada, lo que genera acumulación de ácidos nucleicos de cadena simple y doble. Esto último desencadena una respuesta inmunogénica que lleva al aumento de genes estimulados por interferón, producción de autoanticuerpos y daño orgánico derivado de la alteración del sistema inmunitario innato y adaptativo [10–12]. Se presenta un caso de LES monogénico, en una niña de 10 años con una variante en el gen de TREX1.
Reporte de casoNiña de 10 años, previamente sana, sin antecedentes personales de importancia; padre con antecedente de nefropatía IgA en la adolescencia en seguimiento por Nefrología.
La paciente ingresa por presentar seudotumor ocular asociado a lesión de VI par craneal izquierdo y papiledema bilateral. A su ingreso se evidencia además hipertensión arterial, con cifras de 122/73mm/Hg, ambas superiores al percentil 90 para la edad y el sexo de la paciente, junto con alteraciones urinarias: proteinuria en rango nefrótico y hematuria macroscópica, por lo que se inició búsqueda de causas que pudiesen explicar un cuadro sistémico. Al ingreso se llevó a la paciente a la realización de una resonancia magnética cerebral, la cual no reportó anormalidad a nivel de sistema nervioso central, pero sí evidenció hiperintensidades en músculos periorbitarios que eran indicativas de proceso infeccioso, por lo que se inició manejo antibiótico. Sin embargo, durante la hospitalización la paciente presenta deterioro neurológico y renal.
Durante la búsqueda se descartaron causas infecciosas y de origen neoplásico, con reporte histológico de biopsia de lesión periorbitaria negativa para estas etiologías. Teniendo en cuenta la presentación de seudotumor orbitario, compromiso neurológico y compromiso renal, se planteó una etiología reumatológica como responsable de la clínica en la paciente. Se evaluaron causas de enfermedades inflamatorias granulomatosas, como vasculitis asociadas a anticuerpos anticitoplasma de neutrófilos (ANCA), específicamente granulomatosis con poliangitis (GPA), sarcoidosis y enfermedad relacionada a IgG4, las cuales fueron descartadas. Dentro del estudio de enfermedad reumatológica se encontró positividad en anticuerpos antinucleares (ANA), anticuerpos anti DNA de doble cadena (anti-DNAdc), anticuerpos anti-Smith (anti-Sm), además de consumo de proteínas del sistema de complemento C3 y C4 (tabla 1). Ante estos hallazgos clínicos y paraclínicos, se hizo el diagnóstico de LES, cumpliendo criterios ACR/EULAR 2019 [13].
Resultados de laboratorio
| Paraclínicos | Resultados | Valor de referencia |
|---|---|---|
| Leucocitos | 5.890 103/μl | 3.600-11.200 103/μl |
| Neutrófilos | 2.150 103/μl | 1.500-4.600 103/μl |
| Linfocitos | 1.900 103/μl | 1.500-3.500 103/μl |
| Eosinófilos | 0,040 103/μl | < 500 103/μl |
| Hemoglobina | 12 g/dl | 11,4-15,9 g/dl |
| Hematocrito | 37,3% | 36-48% |
| Plaquetas | 373 103/μl | 130.000-450.000 103/μl |
| Nitrógeno ureico | 13 mg/dl | 5-18 mg/dl |
| Creatinina | 0,50 mg/dl | 0,6-0,8 mg/dl |
| Calcio | 9,2 mg/dl | 8,5-10,3 mg/dl |
| VSG | 10 mm/h | 0-20 mm/h |
| PCR | 10,9 mg/dl | 0-5 mg/dl |
| Uroanálisis | PH 5 | |
| Densidad 1.015 g/l | 1.010-1.030 g/l | |
| Proteínas 500 mg/dl | 0-25 mg/dl | |
| Hematíes 10-15 por campo | 0-5 por campo | |
| Relación proteinuria/creatinuria | 9 | < 0,2 |
| Proteinuria 24 h | 45,5 mg/m2/h | < 4 mg/m2/h |
| Relación Calciuria/creatinuria | 0,05 | < 0,2 |
| TSH | 1,88 mUI/l | 0,4-4,7 mUI/l |
| T4L | 1,11 ng/dl | 0,9-2,3 ng/dl |
| Enzima conversora de angiotensina | 45,5 μg/l | < 63 μg/l |
| ANA | 1:2.560 AC-1 | < 1:80 |
| ENAS | Anti-Ro 0 UAnti-La 0 UAnti-Sm 46 UAnti-RNP U | < 20 U |
| Anti-DNAdc | 1/160 | < 1/10 |
| Complementos | C3 113 mg/dlC4 29,7 mg/dl | C3 88-165 mg/dlC4 14-44 mg/dl |
| Anti-MPO | 1,3 U/ml | < 5,0 U/ml |
| Anti-PR3 | 1,1 U/ml | < 20 U/ml |
| Ig séricas | IgA: 0,42 g/lIgG 2,64 g/lIgM 0,22 g/l | 0,42-2,95 g/l5-15,8 g/l0,4-2,5 g/l |
| Subpoblaciones linfocitarias | CD4: 31,6%CD8: 23,2%CD4/CD8 1,36NK: 25,9%CD19: 7,5% | 35-39%24-28%1,713-15%12-16% |
| Subclases de IgG | IgG1: 812 mg/dlIgG2: 82 mg/dlIgG3: 18,1 mg/dlIgG4: 2,48 mg/dl | 270-1.740 mg/dl30-630 mg/dl13-320 mg/dl2-620 mg/dl |
| Biopsia de lesión periorbitaria | Hiperplasia linfoide reactiva, inflamación crónica linfocítica con patrón folicular |
ANA: anticuerpos antinucleares; Anti-DNAdc: anticuerpos anti ADN de doble cadena; Anti-MPO: anticuerpos antimieloperoxidasa; Anti-PR3: anticuerpos antiproteinasa 3; ENAS: antígeno nucleares extractables; IgG: inmunoglobulina G; NK: natural killer; PCR: proteína C reactiva; TSH: hormona estimulante de la tiroides; T4L: tiroxina libre; VSG: velocidad de sedimentación globular.
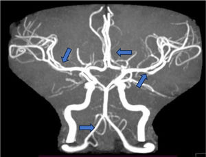
Una vez se contó con un diagnóstico clínico, se evaluó objetivamente el compromiso orgánico, para lo que se llevó a cabo una angiorresonancia cerebral, la cual reportó vasculitis de arterias cerebrales anteriores y medias bilaterales, además de disminución de calibre de arteria vertebral derecha, compatible también con vasculitis a este nivel (fig. 1). Se tomó una biopsia renal con reporte histopatológico de nefritis lúpica clase IV difusa global y se hicieron los siguientes hallazgos: presencia de más de 10 glomérulos en microscopia de luz; hallazgos glomerulares de glomerulomegalia ++, hiperplasia mesangial +, ensanchamiento mesangial +, membranas basales capilares con dobles contornos +++, adherencias capilares o sinequias +, sin fibrosis periglomerular ni proyecciones espiculares; índice de actividad, 6/24, dado por depósitos subendoteliales +, hipercelularidad endocapilar +++, exudado inflamatorio neutrofílico o cariorexis + y nefritis intersticial + e índice de cronicidad 1/12 por esclerosis glomerular en patrón focal + con reporte de inmunofluorescencia: IgG: +; IgA: ++++; IgM: ++; C3: +++; C1q: + (patrón «full house»), por lo que se decidido iniciar inducción de la remisión con ciclofosfamida a dosis de 750mg por vía intravenosa cada 4 semanas por 6 dosis.
Durante la evolución clínica de la paciente, el compromiso de sistema nervioso central (SNC) y renal tuvo una adecuada respuesta al manejo terapéutico de inducción convencional con ciclofosfamida. No obstante, posteriormente al inicio de terapia de mantenimiento con micofenolato mofetilo, la paciente inició con citopenias, a expensas de linfopenia, a pesar de ajuste a dosis máxima de este, por lo que se planteó una posible toxicidad medicamentosa versus falla terapéutica y se decidió el cambio de fármaco modificador a azatioprina, sin respuesta de las citopenias a dosis adecuada de esta. Debido a ello, se planteó una falla terapéutica a la terapia de mantenimiento.
Asimismo, tomando en cuenta la persistencia de leucocitopenia y linfopenia en la paciente, se planteó una desregulación inmune como posible causa subyacente al comportamiento clínico, y se decidió la medición de inmunoglobulinas séricas; se encontró hipogammaglobulinemia G, M, A y E. Además, se evaluaron subpoblaciones linfocitarias y se hallaron linfopenias CD3, CD4 y CD8 (tabla 1). De acuerdo con los hallazgos paraclínicos de inmunodeficiencia asociada, se llevó a cabo la secuenciación de una nueva generación (NGS) de panel de 575 genes relacionados con inmunodeficiencias y enfermedades autoinflamatorias y se encontró una variante germinal en el gen TREX1 c.590C>T, p.Ala197Val, que altera el extremo carboxilo-terminal de la proteína, en heterocigosis, de significado incierto basado en la clasificación del Colegio Americano de Genética Médica y criterios genómicos. Sin embargo, tomando en cuenta el fenotipo clínico relacionado con esta, además de la clínica de la paciente, se consideró que en este caso se trataba de una variante posiblemente patogénica y se estableció el diagnóstico molecular de LES monogénico debido a una variante genética de TREX1.
DiscusiónNuestro reporte corresponde a un caso de LES monogénico en una niña de 10 años, que al inicio de su cuadro clínico presentó manifestaciones sistémicas inusuales como seudotumor orbitario izquierdo, además de manifestaciones severas que amenazaban su vida, como el compromiso renal, manifestado en una nefritis lúpica clase IV difusa global y de SNC, con vasculitis e hipertensión endocraneana. Como lo describen Tirosh et al. [14] y Lo [8], aquellos pacientes que se presenten con cuadro clínico de LES a edad temprana, con manifestaciones inusuales, compromiso clínico de órgano vital, con inmunodeficiencia asociada, y que no responden a la terapia convencional, puede hacernos sospechar la presencia de una enfermedad monogénica [15].
El reporte de casos y series de casos de LES monogénico asociado al TREX1 viene en aumento, a escala global; sin embargo, la revisión de la literatura aún no registra reportes de casos en Colombia, lo cual sugiere un posible subdiagnóstico de este.
Según lo descrito en la literatura mundial, las manifestaciones clínicas principalmente asociadas a LES por variantes en el gen del TREX1 son las renales y neuropsiquiátricas, además de hallazgos serológicos como proteínas del complemento severamente disminuidas o consumidas y títulos de anti-ADN de doble cadena y anti-Sm elevados [16,17]. Así lo describen Lee et al. [18], quienes evaluaron una cohorte de 184 pacientes con LESj y seleccionaron a los que clínicamente hacían sospechar de enfermedad monogénica. Además, llevaron a cabo la secuenciación de una nueva generación del exoma completo y encontraron un paciente con variante en el gen de TREX1, con manifestaciones renales, neurológicas, hematológicas y positividad en ANA, anti-ADN de doble cadena y consumo de proteínas C3 y C4 del sistema de complemento; todos estos hallazgos en común con nuestra paciente.
Más recientemente, en 2023, Hou et al. [19] hicieron la evaluación de pacientes pediátricos con LES en China, para lo cual seleccionaron a aquellos que clínicamente hacían sospechar de enfermedad monogénica, debido a la edad de inicio de la enfermedad antes de los 5 años. Además, hicieron una búsqueda de variantes genéticas de TREX1 en 19 pacientes y encontraron a un paciente con variante en heterocigosis del gen cuyo compromiso orgánico predominante, al igual que en nuestra paciente, fue el de SNC, dado por vasculitis, acompañado de alteraciones cutáneas y marcadores serológicos como positividad en anticuerpos anti-ADN de doble cadena y consumo de proteínas del sistema de complemento C3 y C4.
En la literatura mundial se describen 4 grandes fenotipos clínicos asociados a variantes del gen TREX1, que son: el síndrome de Aicardi-Goutières, el lupus Chilblain familiar, el LES y la vasculopatía retinal con leucodistrofia cerebral. La presentación de cada uno de ellos dependerá del lugar donde se presente la variante en el gen [20]. En el caso de nuestra paciente, la variante encontrada (c.590C>T, p.Ala197Val) es el extremo que codifica el carboxilo- terminal del TREX1, región que controla la ubiquitinación de TREX1 y su localización celular. La interacción con la ubiquitina 1 recluta al TREX1 y al ADN citosólico a vesículas generadas durante la autofagia para degradar el ADN. Por tanto, las mutaciones en el extremo C que contribuyen a la localización aberrante también pueden dar lugar a una acumulación anormal de ADN en el citosol y desencadenar respuestas inmunitarias. Además, el extremo C interactúa con la oligosacárido transferasa (OST) en la membrana del retículo endoplásmico (RE), coglicosila oligosacáridos ligados a lípidos (LLO) y afecta la actividad de OST. La pérdida de la función de glicosilación permite que las sustancias inmunogénicas, como el LLO hidrolizado erróneamente y muchos oligosacáridos libres, se acumulen en el citosol, lo que desencadena respuestas autoinmunitarias a través de la vía STING-TBK1IRF [9]. Además, mutaciones del gen TREX1 con pérdida de función de la proteína, que alteran su actividad exonucleasa del ADN, conllevan una acumulación anormal de nucleótidos en el citoplasma. Esta acumulación excesiva podría unirse al sensor de ADN cGAS (la GMP-AMP sintasa cíclica) y activar la vía de IFN a través de STING (estimulador del gen IFN), iniciando así la expresión del IFN tipo I (IFN-I) y promoviendo la generación de anticuerpos y el desarrollo de enfermedades autoinmunes compatibles con el fenotipo de LES presentado en la paciente [11,20].
En cuanto al tratamiento de estos pacientes, aún no se cuenta con ensayos clínicos de medicamentos dirigidos específicamente a la alteración genética; sin embargo, pensando en la ruta fisiológica alterada, las terapias mayormente usadas y de las cuales hay reporte de casos acerca de su uso, son los inhibidores de las enzimas Janus Kinasa: baricitinib, ruxolitinib, tofacitinib en pacientes con lupus Chilblain familiar y vasculopatía retinal con leucodistrofia cerebral, los cuales han mostrado buenos resultados y mejoría de los datos clínicos y serológicos de actividad [21–23].
ConclusiónEl LES monogénico es una enfermedad multisistémica y de gran severidad que suele manifestarse de forma atípica cuando se compara con los LES clásicos; las variantes de TREX1 representan hasta el 2% de todos los LES en la población en general, por lo que debe pensarse en aquellos niños con inicio de la enfermedad antes de los 5 años, en los que la forma de presentación sea atípica, severa y no haya respuesta al tratamiento convencional. De esta manera, se podrá establecer un diagnóstico molecular oportuno para realizar una terapéutica adecuada, enfocada en las rutas fisiopatológicas alteradas y así evitar una progresión del daño orgánico derivado de la patología.
Declaración de contribución de autoría CREditLRo escribió el manuscrito. MFRe, ADi y LRo evaluaron al paciente y analizaron e interpretaron datos clínicos y de laboratorio del paciente. Todos los autores revisaron el manuscrito. Todos los autores aprobaron el manuscrito final y acordaron ser responsables de todos los aspectos del trabajo.
FinanciaciónNinguna.
Consideraciones éticasSe ha obtenido el consentimiento informado requerido por la legislación vigente para la publicación de cualquier dato personal o imagen del paciente. No se usó ningún recurso de AI para la redacción o generación de tablas o gráficos.
Conflicto de interesesNinguno.
Al doctor Wilmer Aponte, miembro del Servicio de Imagenología de la Fundación Hospital Pediátrico La Misericordia.




