El lupus eritematoso sistémico (LES) del anciano, también llamado lupus de aparición tardía, es una enfermedad autoinmune que aparece después de los 50–60 años, con un curso clínico y manifestaciones clínicas que difieren del LES clásico, cuya prevalencia es en personas más jóvenes, predominantemente mujeres. Se presenta, en este artículo, el caso de un paciente masculino de 72 años con cuadro clínico de un mes de evolución de dolor en hemitórax derecho, tipo pleurítico asociado a disnea, además de la presencia de lesiones eritematosas y descamativas en región malar y zona de exposición solar en tórax. Se descartó origen infeccioso y neoplásico mediante imágenes diagnósticas y laboratorios y, posteriormente, se realiza perfil inmunológico que reporta ANAS positivo, Anti-DNA positivo y complemento consumido, con evidencia de derrame pleural derecho masivo recidivante hasta la fecha.
Systemic lupus erythematosus (SLE) in the elderly, also called late-onset lupus, is an autoimmune disease that appears after 50–60 years old, with a clinical course and clinical manifestations that differ from classic SLE, with a prevalence predominantly in younger women. In this article a case of a 72 year-old male patient who, for one month, had clinical symptoms of right chest pain, associated with dyspnea and the presence of erythematous and scaly lesions on the malar area and sun exposure in the thorax. The possibilities of infectious or neoplastic origin were dismissed using diagnostic images and laboratory tests. An immunological profile was subsequently performed, reporting positive ANAS and Anti-DNA, positive, and consumed complement, with evidence of recurrent massive right pleural effusion to date.
El lupus eritematoso sistémico es una enfermedad autoinmune idiopática, multigénica, de afectación multisistémica, que no solo compromete mujeres durante sus años reproductivos, sino que también puede afectar los extremos de la vida1. En los últimos 25 años se ha demostrado la aparición de esta enfermedad por encima de los 50–60 años según varios informes epidemiológicos de la enfermedad; aunque es raro e infrecuente se ha utilizado el término de lupus eritematoso sistémico de inicio tardío o LES del anciano para diferenciarlo del LES clásico, sin embargo, en el caso de pacientes geriátricos masculinos es frecuente que se pase por alto este diagnóstico debido a la poca incidencia y a las manifestaciones atípicas de la enfermedad2.
Desde entonces, se han realizado múltiples estudios que intentan identificar las características propias de este grupo de población que padece LES de inicio tardío, encontrando diferencias en cuanto al modo de inicio de la enfermedad, el compromiso de órganos y sistemas, perfil inmunológico, severidad y pronóstico. Se ha sugerido que los pacientes con LES de aparición tardía tienen un inicio más agudo y manifestaciones clínicas menos definidas. Por lo general, este tipo de pacientes presentan manifestaciones predominantemente cutáneas, neuropsiquiátricas, hematológicas y pulmonares. Tienen más compromiso intersticial y menos artritis comparados con los pacientes jóvenes. El 90% tiene ANAS positivo, AntiDNA (30%) y más del 90% tiene anticuerpos Ro (SSA) (acompañado de anti-La (SSB) en 60%) en comparación con 36% en el grupo de menor edad. Los anticuerpos contra Ro y La son frecuentes y son una ayuda útil en el diagnóstico3.
El diagnóstico es un desafío clínico y, por lo tanto, deben excluirse otro tipo de patologías; sin embargo, es importante resaltar que el curso de la enfermedad en este tipo de pacientes resulta ser más benigno ya que, por lo general, tiene menor compromiso orgánico y sistémico con menores grados de actividad de la enfermedad, así como menos recaídas4.
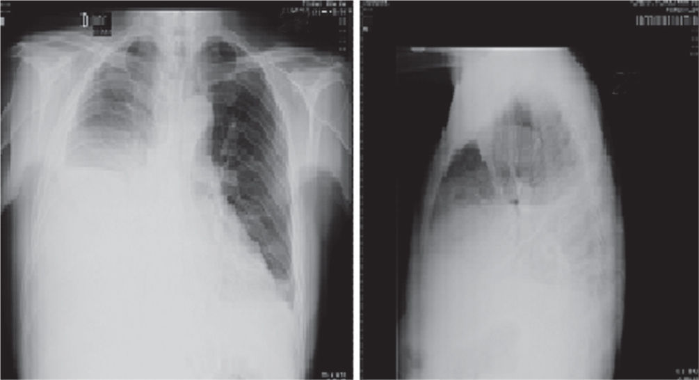
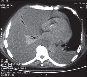
Presentación de casoPaciente masculino en la octava década de la vida, 72 años, de ocupación agricultor, quien ingresa al servicio de urgencias por presentar cuadro clínico de un mes de evolución, consistente en dolor de aparición progresiva en hemitórax derecho que se exacerba durante la inspiración y se irradia a horquilla esternal, asociado a disnea progresiva de pequeños a medianos esfuerzos, odinofagia. Cuatro días previos al ingreso presenta exacerbación de los síntomas, asociado a lesión eritematosa y descamativa en la cara (fig. 1A) y en la zona de exposición solar en tórax (fig. 1B) además de edema periorbitario en manos y miembros inferiores. Como antecedentes de importancia refiere exposición prolongada al humo de leña. Como hallazgos positivos al examen físico presentaba inyección conjuntival, edema periorbitario, mucosa oral seca con úlceras de fondo limpio, expansibilidad del tórax asimétrico, con movimientos respiratorios disminuidos en hemitórax derecho, así como ruidos respiratorios velados de forma ipsilateral, ruidos cardiacos taquicárdicos de intensidad disminuida y edema grado II con fóvea en miembros inferiores. En la química sanguínea se evidenció leucopenia y proteína C reactiva (PCR) elevada. Posteriormente, se realizó ecocardiograma transtorácico que reportó fracción de eyección del ventrículo izquierdo conservada y radiografía de tórax (figs. 2A y 2B) que documentó derrame pleural masivo en hemitórax derecho con desviación de la tráquea ipsilateral. Se realizó toracentesis diagnóstica y evacuatoria que demostró exudado linfocítico; los estudios para mycobacterias (reacción en cadena de polimerasa y cultivo) fueron negativos; así mismo se realizó estudio imaginológico con escanografía de tórax con el fin de descartar etiología neoplásica (fig. 3), además de bloque celular y estudio citológico los cuales fueron negativos para neoplasia, en el TAC de tórax se confirmó la presencia de derrame pleural derecho y derrame pericárdico sin evidencia de lesiones de características tumorales. Dada la presencia de derrame pleural y hallazgos en piel, se consideró relevante descartar compromiso autoinmune tipo lupus eritematoso sistémico con actividad, por lo que se solicitaron estudios adicionales que reportaron ANAS y anti DNA positivos con complemento consumido (tabla 1). Debido a los hallazgos inmunológicos y cuadro clínico de poliserositis asociado a compromiso cutáneo, hematológico por leucopenia con linfopenia y eritema malar, ulceras orales, se consideró cuadro compatible con lupus eritematoso sistémico del anciano, por lo que se ampliaron estudios con base en detección de compromiso renal, el cual fue negativo. Se inició manejo inmunomodulador con esteroides con el cual el paciente presentó mejoría clínica y fue dado de alta.
Radiografías de tórax proyecciones PA y lateral, en las que se observa radioopacidad completa de los dos tercios inferiores del hemitórax derecho con borramiento del contorno diafragmático y cardiaco de este lado y desviación del cardiomediastino hacia la izquierda, por derrame pleural. Mala definición del ángulo costofrénico lateral izquierdo probablemente por escaso derrame pleural de este lado.
Perfil inmunológico.
| Laboratorio | Resultado | Valor de referencia |
| ANAS mediante IR | Dilución: 1:640; patrón homogéneo | Dilución: menor 1:40 |
| Anti-DNA mediante IR | Dilución: 1:320 | Negativo |
| C3mg/dL | 65,5mg/dL | 82–185mg/dL |
| C4mg/dL | 13,5mg/dL | 18–49mg/dL |
| RNP anticuerpos (UI/mL) | 4,93UI/mL | 0–15UI/mL |
| SM anticuerpos (UI/mL) | 5,18UI/mL | 0–15UI/mL |
| RO/SSA anticuerpos (UI/mL) | 4,75UI/mL | 0–15UI/mL |
| LA (SSB) anticuerpos (UI/mL) | 17,83UI/mL | 0–15UI/mL |
El lupus eritematoso sistémico es una enfermedad autoinmune crónica, del tejido conectivo, multisistémica, que se caracteriza por la producción de autoanticuerpos no órgano-específicos, activación policlonal de linfocitos B y pérdida de la autotolerancia5. Afecta predominantemente a mujeres, con una alta tasa de incidencia durante la edad fértil y exacerbación frecuente durante el embarazo y baja tasa de incidencia después de la menopausia1. El LES se presenta comúnmente en pacientes jóvenes. Sin embargo, también puede comenzar después de los 50–60 años, denominándose en esta categoría de edad LES de inicio tardío o LES del anciano, y constituyen 2–12% de todos los pacientes con LES6,7.
En el presente caso se evidenció un cuadro de serositis, eritema malar, fotosensibilidad y compromiso hematológico sin antecedentes de importancia que puedan enfocar el diagnóstico; después de descartarse etiologías infecciosas y neoplásicas que hayan podido ocasionar el derrame pleural masivo evidente en la radiografía y TAC de tórax, se planteó la posibilidad de etiología inmunológica por lo que se realizaron estudios complementarios con anti-DNA, ANAS, complemento, anticuerpos RNP, Anti-Ro y Anti-La, encontrando hipocomplementemia, así como títulos elevados de Anti-DNA y ANAS; se correlacionan los datos de la historia clínica y paraclínicos con la nueva propuesta de criterios para lupus eritematoso sistémico –SLICCC por sus siglas en inglés (Systemic Lupus International Collaborating Clinics Classification) (tabla 2)8. Se consideró lupus cutáneo agudo por eritema malar lúpico, descartándose reacción alérgica medicamentosa y dematomiositis, presencia de úlceras orales; serositis dados por derrame pleural masivo en hemitórax derecho y derrame pericárdico; compromiso hematológico por leucopenia (2140mm3) cumpliendo 4 criterios clínicos y 3 criterios inmunológicos previamente nombrados. Las ventajas de los nuevos criterios es que permiten mejor clasificación que los previos (American College Rheumatology 1997), alcanzando mayor sensibilidad (94% frente a 86% de los anteriores criterios) y especificidad similar (92% vs. 93%), además dan un mayor peso a los estudios y las alteraciones inmunológicas, siendo los parámetros más claros en la evaluación y la clasificación de la enfermedad8.
Nuevos criterios para lupus eritematoso sistémico (SLICC).
| Criterios clínicos | Criterios inmunológicos |
| 1. Lupus cutáneo agudo: Eritema malar lúpico (no cuenta si es lupus malar discoide), lupus ampolloso, necrólisis epidérmica tóxica como variante de LES, eritema lúpico maculopapular, eritema lúpico fotosensible (en ausencia de dermatomiositis) | 1. ANA por encima del rango de referencia |
| 2. Lupus cutáneo crónico: Lupus discoide clásico localizado (por encima del cuello) o generalizado (por encima y debajo del cuello), lupus hipertrófico (verrucoso), paniculitis lúpica (lupus profundus), lupus eritematoso tumidus, lupus sabañón (lupus chillblain), sobreposición lupus discoide/liquen plano | 2. AntiDNA de doble cadena por encima del rango de referencia, excepto el que sea tomado por el método ELISA: dos veces por encima del rango de referencia del laboratorio |
| 3. Úlceras orales: Paladar, bucal, lengua o úlceras nasales | 3. Anti Sm |
| 4. Alopecia (que no deje cicatriz): Adelgazamiento difuso o fragilidad con evidencia de cabellos quebrados visibles* | 4. Anticuerpos antifosfolípido: cualquiera de los siguientes• Anticoagulantes lúpico• VDRL falsamente positivo• Anticardiolipinas a títulos intermedios o altos (IgA, IgG o IgM)• Anti B2 glicoproteína I (IgA, IgG o IgM) |
| 5. Sinovitis: Que comprometa dos o más articulaciones y que se caracterice por edema o derrame o dolor en 2 o más articulaciones y 30 minutos de rigidez matinal | 5. Hipocomplementemia (C3/C4 o CH50 bajos) |
| 6. Serositis: Pleuritis típica por más de un día o derrame pleural o frote pleural o dolor pericárdico típico* | 6. Coombs directo positivo en ausencia de anemia hemolítica |
| 7. Renal: Relación proteinuria/creatinuria (o proteínas en orina de 24 horas) que representen 500mg de proteínas/24 horas o cilindros hemáticos* | |
| 8. Neurológico: Convulsiones, mielitis, psicosis o mononeuritis multiplex, neuropatía craneal o periférica. Estado confusional agudo | |
| 9. Anemia hemolítica o Coombs directo positivo | |
| 10. Leucopenia (<4000/mm3 al menos una vez) o linfopenia (<1000/m3 al menos una vez)* | |
| 11. Trombocitopenia (<100mil/mm3 al menos una vez)* | |
| Deben cumplirse al menos 4 criterios (al menos uno clínico y otro inmunológico) o nefritis lúpica como único criterio en presencia de ANAS o anti DNA | |
El sistema inmune en el curso del envejecimiento sufre cambios morfológicos y funcionales continuamente y la capacidad para defender el organismo contra agentes patógenos externos disminuye, mientras que la respuesta de los autoantígenos aumenta9. En los últimos años han empezado a conocerse los cambios asociados al proceso de envejecimiento que sufren los individuos ancianos en su sistema inmunitario, proceso conocido como inmunosenescencia. Trabajos recientes han demostrado que las células del sistema inmunitario innato también presentan alteraciones en individuos de avanzada edad, lo que pone de manifiesto que tanto alteraciones del sistema inmunitario innato como adaptativo son importantes para explicar los cambios que sufren las personas ancianas en su inmunidad10. Estos cambios pueden contribuir a un curso atípico de la enfermedad o a la ocurrencia de otras enfermedades inflamatorias, además se ha evidenciado una reducción significativa en la proliferación de células T reguladoras y en la producción de factores de crecimiento de células B11, así como disminución en las subpoblaciones de células T CD4 y CD8 positivas y reducción de la expresión del correceptor CD28, cuya deficiencia se ha considerado como responsable de la pérdida de respuesta a los antígenos y mitógenos. Todos estos aspectos favorecen a la génesis del lupus de inicio tardío12.
Se presume que el LES de inicio tardío puede tener un curso clínico diferente, con un comienzo agudo y primeras manifestaciones con predominio de sintomatología general y constitucional que dificulta el diagnóstico si no existe una alta sospecha13. Dentro de las manifestaciones que se describen en la mayoría de reportes de caso se encuentran: artralgias, por lo que en ocasiones puede simular una polimialgia reumática, debilidad, fatiga, mialgias, pérdida de peso, fiebre o pérdida de la función cognitiva, citopenias, compromiso pulmonar dado por neumonitis intersticial, principalmente5,9,14,15.
La nefritis, artritis, manifestaciones cutáneas y fotosensibilidad, estas últimas dos vistas en el paciente del caso en mención, se encuentran en menor proporción en comparación al LES clásico9. Por tal motivo se consideró una presentación atípica.
Es importante resaltar que el curso clínico del LES de aparición tardía se considera más benigno debido al menor compromiso de órganos y sistemas, en comparación con el LES clásico, cuyo curso puede llegar a tener pronóstico reservado debido a la evolución rápida y compromiso multisistémico. En cuanto al perfil inmunológico del paciente con LES del anciano se ha demostrado, en diferentes estudios, que este grupo de población presenta unas tasas más bajas de títulos de Anti-DNA, ANTI-RNP y menor hipocomplementemia. Tienen una elevada prevalencia de Anti-Ro y Anti-La en ausencia de RNP reflejando una asociación significativa con el Síndrome de Sjögren tal y como ha sido descrito en trabajos publicados previamente9,16,17.
En la actualidad se ha atribuido la relación del derrame pleural al lupus eritematoso sistémico como consecuencia del depósito de complejos inmunitarios y la unión de anticuerpos anti-DNA al mesotelio18. El derrame es en general exudativo, bilateral y como características tiene un valor de pH bajo, proteínas elevadas, deshidrogenasa láctica y cultivos negativos, y glucosa indeterminada. La presencia de células LE en el líquido pleural es altamente específica para el diagnóstico de pleuritis por lupus y generalmente indica un estado activo de la enfermedad, sin embargo, no se observan frecuentemente células LE y no se ha implementado como criterio para hacer el diagnóstico de LES. Adicionalmente, la afección pleural en pacientes con LES de inicio tardío es tratada con esteroides los cuales generan adecuada respuesta19, como ocurrió con el paciente descrito.
Existe una fuerte base genética asociada al LES, lo que significa que puede jugar un papel en la comprensión de la enfermedad. Los estudios muestran que hay asociación clínica y serológica con el LES y el papel de los genes del HLA. Por esta razón, la búsqueda de un polimorfismo genético fuertemente asociado es perseguido activamente para identificar los alelos en el sistema del HLA, siendo con mayor frecuencia el HLA-DRB1*03 en comparación con los controles sanos20.
El tratamiento a seguir está basado en la supresión de los síntomas lúpicos y control de la respuesta inmune, hasta el momento no hay estudios específicos para el tratamiento propio de LES del anciano, sin embargo, el tratamiento es similar independientemente de la edad del paciente. Es importante el manejo de comorbilidades ya que pueden aumentar el riesgo de recaídas, además del control de medicamentos debido a la predisposición de toxicidad en pacientes adultos mayores21.
ConclusionesDebido a las características inespecíficas de la clínica y a la gran cantidad de diagnósticos diferenciales, en la etiología de los derrames pleurales de los pacientes ancianos, se puede dificultar el enfoque inicial y retrasa el diagnóstico de LES de aparición tardía, sin embargo, el curso de la enfermedad resulta ser de características más benignas debido al menor compromiso multisistémico en comparación al LES clásico.
El derrame pleural masivo como manifestación inicial del LES es infrecuente y se han reportado pocos casos al respecto; se deben realizar estudios complementarios en el líquido pleural para confirmar diagnóstico pero se debe tener en cuenta que el estudio del líquido no es criterio para definir LES.
La incidencia de LES en ancianos es predominantemente en hombres, se ha propuesto la predisposición hormonal dependiente de estrógenos como factor de riesgo para LES, lo que explicaría la menor prevalencia de casos de mujeres adultas mayores con LES.
El perfil inmunológico del paciente del LES del anciano difiere del LES clásico dada la predominancia de tasas positivas más bajas de anticuerpos anti DNA de doble cadena, anti-RNP, e hipocomplementemia, sin embargo, en el reporte de caso se encuentran los dos primeros datos elevados y consumo de complemento evidente.
Conflicto de interesesLos autores declaran no tener ningún conflicto de intereses.







