El hallux valgus es uno de los motivos de consulta más frecuentes dentro de las patologías que afectan el pie, el 90% de los pacientes son mujeres. Se caracteriza por deformidad en varo de primer metatarsiano y valgo del primer dedo, dolor en la prominencia ósea medial y debajo de cabeza de los metatarsianos. Además, se puede acompañar de artejos menores en garra y metatarsalgia. El uso de calzado inadecuado, ya sea en punta y con tacón alto, así como el antecedente genético, se han descrito como las principales causas de esta patología. El tratamiento depende exclusivamente de la sintomatología y está encaminado inicialmente al uso de calzado amplio y cómodo, plantillas cuando hay metatarsalgia asociada. El tratamiento ortopédico puede mejorar el dolor más no la deformidad. Si este manejo no da resultado, se recurre al tratamiento quirúrgico. La cirugía tiene como objetivo realinear las estructuras óseas para corregir la deformidad mediante osteotomías y liberación de tejidos blandos, lo cual mejora el dolor y facilita el uso de calzado. Existen múltiples técnicas quirúrgicas descritas, que se escogen dependiendo de la severidad del hallux y de la experiencia del cirujano. Los resultados del tratamiento quirúrgico son exitosos aproximadamente en el 85% de los casos. Como en todas las patologías hay riesgo complicaciones post operatorias y estas pueden ocurrir en el 15% de los pacientes; las más frecuentes son la recidiva de la deformidad e infecciones superficiales. El riesgo de recidiva aumenta en deformidades severas, pacientes con pie plano o inestabilidad de articulación cuneo metatarsiana.
The hallux valgus is one of the most frequent reasons for consultation within the pathologies that affect the foot, 90% of patients are women. It is characterized by varus deformity of the first metatarsal and valgus of the first toe, pain in the medial bony prominence and below the head of the metatarsals, in addition minor claw and metatarsalgia can be accompanied. The use of inappropriate shoes, narrow and high-heeled, as well as the genetic background have been described as the main causes of this pathology. The treatment depends exclusively on the symptomatology and is initially aimed at the use of wide and comfortable shoes, insoles when there is associated metatarsalgia. Orthopedic treatment can improve pain, not deformity. Surgical treatment is reserved for those patients who, despite performing adequate orthopedic treatment, do not improve. The aim of the surgical treatment is to realign the bony structures to correct the deformity by means of osteotomies and soft tissues release, this improves the pain and facilitates the use of footwear. There are multiple surgical techniques described, which are chosen depending on the severity of the hallux and the experience of the surgeon. The results of surgical treatment are successful in approximately 85% of cases. As in all pathologies there is a risk of post-operative complications, which may occur in 15% of patients; the most frequent are the recurrence of deformity and superficial infections.
De la articulaciones metatarso falángicas del pie la mas compleja es la del hallux, por el mecanismo de los sesamoideos. Dicha articulación se compone de huesos largos unidos entre si por ligamentos colaterales y músculos intrínsecos que se insertan en la base de la falange proximal. Así como también cuenta con músculos extrínsecos, especialmente el flexor y extensor del hallux, y secundariamente el tibial anterior y el peroneo largo que se insertan en el primer metatarsiano, los cuales aumentan la estabilidad de la articulación metatarso falángica. Debido a que no hay músculos que se insertan en la cabeza del primer metatarsiano, éste es sensible a las fuerzas extrínsecas, lo que puede llegar a ocasionar una deformidad en valgo mayor a la considerada normal. La articulación metatarso falángica del hallux juega un papel muy importante en la transferencia de carga durante la marcha y a través de la fascia plantar fleja la cabeza del primer metatarsiano, estabilizando el arco longitudinal medial del pie. La patología, ya sea adquirida o iatrogénica disminuye la habilidad de la articulación metatarso falángica para funcionar como estructura de carga, lo que resulta en un carga anormal en el aspecto lateral del pie. Las deformidades como el hallux valgus y el hallux rigidus son las principales patologías que afectan la articulación y requieren corrección.
El término hallux valgus fue descrito por primera vez por Carl Hueter 1, y fue definido como una subluxación de la primera articulación metatarso falángica del hallux, con varo del primer metatarsiano y valgo del hallux. A medida que la deformidad progresa, los tejidos blandos de la parte lateral se contraen y los de la parte medial se relajan, la cabeza del primer metatarsiano se desplaza medial y al falange proximal se desplaza lateral, por lo tanto se expone el sesamoideo fibular. Si la cabeza se sigue desviando hacia medial, se aleja de los sesamoideos y la crista que normalmente los estabiliza, se luxa. La deformidad progresa y los músculos estabilizadores se convierten en fuerzas deformantes.
La etiología del hallux valgus ha sido debatida por años, sin embargo esta patología se asocia con predisposición genética, el uso de calzado ajustado y tacón alto; también se puede asociar a otras alteraciones mecánicas del pie, tal como retracción de Aquiles, pie plano severo, enfermedades neuromusculares como la parálisis cerebral, accidentes isquémicos transitorios, ruptura del tendón tibial posterior o artritis reumatoidea. 2,3
Según múltiples estudios realizados, el hallux valgus tiene un prevalencia entre el 23% y el 35% 4,5 de la población general. Es más frecuente en mujeres en una proporción 15:1 6,7. La mayoría de las veces requiere tratamiento quirúrgico. Los síntomas mas frecuentes de esta patología son dolor plantar, dolor en la parte medial de articulación metatarso falángica del hallux con el apoyo y deformidad que dificulta el uso del calzado.
El diagnostico del hallux valgus se realiza inicialmente con la historia clínica, historia familiar, examen físico y radiológico, es importante tener en cuenta que las radiografías se deben tomar proyecciones antero - posteriores,lateral y oblicuas con apoyo8.
La historia clínica se debe enfocar en el tiempo de duración de los síntomas, cambio de actividad, tipo de calzado y si hay algún tipo de intervención previa. El examen físico debe incluir observación de la marcha, alineación de miembros inferiores, rango de movilidad de la articulación metatarso falángica del hallux comparativa, valoración de los pies con apoyo y sin apoyo, establecer el uso del calzado que usa el paciente, presencia de callos o hiperqueratosis, deformidades de artejos menores, medio pie o retropié, hiperlaxitud de articulación cuneo metatarsiana, presencia de bunion, y si hay o no de retracción del Aquiles.
El tratamiento del hallux valgus inicialmente debe ser conservador, especialmente en hallux valgus juvenil, adultos mayores o pacientes con comorbilidades. El tratamiento ortopédico incluye cambio de calzado, separadores interdigitales y terapia física. El tratamiento quirúrgico se realiza si el ortopédico no funciona, así como también si hay deformidad y dolor progresivo o alteración en su estilo de vida y /o actividad.
En cuanto al tratamiento quirúrgico, se han descrito mas de 150 técnicas en la literatura, pero ninguna de ellas ha mostrado excelentes resultados. Los procedimientos son agrupados en categorías, de acuerdo a la severidad de la enfermedad con respecto a los hallazgos radiográficos, la presencia o ausencia de artrosis en la articulación metatarso falángica y si hay o no inestabilidad de la articulación cuneo metatarsiana. En general, las categorías incluyen procedimientos distales de tejidos blandos, osteotomías del primer metatarsiano, osteotomías de la primera falange, artrodesis o artroplastia de resección. La combinación de estos procedimientos se usan para el tratamiento del hallux valgus y se escogen de acuerdo a la severidad de la enfermedad.
Anatomía del hallux valgusLa articulación metatarsofalangica del hallux esta compuesta por la cabeza del primer metatarsiano, la base de la falange proximal y el complejo sesamoideo; su estabilidad esta dada por los ligamentos medial, lateral y plantar. Los laterales van de los epicóndilos de la cabeza del primer metatarsiano a la base plantar de la falange proximal, los ligamentos sesamoideos van plantar a los sesamoideos y a la placa plantar. La placa plantar esta formada por los dos tendones del flexor hallucis brevis (FHB), el abductor y el aductor del hallux, la aponeurosis plantar y la cápsula articular.(figs. 1a-c)
(a,b,c): 1. Tendón extensor hallucis longus 2. Tendón extensor hallucis Brevis 3. Tendón aductor del hallux 3a. Porción oblicua 3b. Porción transversa 4.Tendon flexor hallucis brevis 4a. Lateral 4b. Medial 5. Ligamento intermetatarsiano 6. Cresta 7. Tendon flexor hallucis longus 8. Ligamento transverso profundo metatarsiano 9. Ligamento sesamoideo 10. Ligamento colateral 11a. Sesamoideo medial 11b. Sesamoideo lateral 12. Abductor del hallux.
Los sesamoideos están incluidos en los tendones del FHB, unidos entre si por el ligamento intersesamodeo, y se articulan con la cara plantar de la cabeza del primer metatarsiano en sus dos carillas separadas por una cresta, están unidos a la base de la falange proximal por la placa plantar. (fig. 1b)
Los músculos se pueden dividir en cuatro grupos según su ubicación así: dorsales dos extensores, uno largo (EHL) y otro corto (EHB), el EHL esta anclado mediante ligamentos al dorso de la base de la falange proximal y debajo de estos ligamentos se inserta el EHB; plantares el flexor largo (FHL) esta adherido al complejo sesamoideo a través de su vaina y el EHB. (fig. 1b) 9
Los grupos musculares medial (abductor) y lateral (aductor) pasan mas plantar que dorsal.10
El musculo aductor (figs. 2 y 3) tiene dos porciones una oblicua que se origina de la base de 2-3-4 metatarsianos, la vaina fibrosa de peronero longus y el ligamento plantar largo, y una porción transversa que se origina en las cápsulas metatarsofalángicas del 3-4-5 metatarsiano y el ligamento trasverso ancho; ambas porciones se insertan en el sesamoideo lateral del hallux y la cápsula de la articulación metatarsofalángica; la porción trasversa además se inserta en la superficie articular lateral de la base de la falange proximal. (fig. 3) El ángulo entre las dos porciones del aductor es de 31 grados en promedio y se aumenta en los pacientes con deformidad en valgo del hallux. 11 (figs. 2-3)
En el hallux valgus se produce un desequilibrio muscular como consecuencia de la alteración ósea, en el cual los grupos dorsales y plantares se desvían a medial formando una cuerda de arco actuando adicionalmente como abductor 12
Existe también un menisco articular 13como variable anatómica en el 21% de la población, es una extensión de cápsula y del ligamento colateral medial, va desde la parte medial de la cabeza del primer metatarsiano y se dirige a plantar, lateral y distal, insertándose en la base lateral de la falange proximal, esta estructura aunque es variable, tiene importancia ya que puede prevenir stress rotacional y en valgo (fig. 4).
Existe además una unión anatómica y biomecánica entre el complejo de los gastronemios y el hallux de tal forma que la retracción de los gastronemios, aquíles, fascia plantar y placa plantar aumentan las fuerzas deformantes del hallux. 14
La anatomía patológica del hallux valgus es una deformidad multiplanar con hallux abducto valgo y metatarso primo aducto valgo; entender esta deformidad es importante para planear la corrección15, hay una desviación medial del primer metatarsiano más que una desviación lateral de la falange proximal, la traslación lateral de la base de la falange proximal solo ocurre en casos de dedos traslapados 16 y se asocia a características anatómicas como un primer metatarsiano elevado varo y pronado y con aplanamiento de la cresta plantar.
Anatomía Radiológica:La evaluación radiológica debe hacerse siempre en proyecciones con apoyo dorsoplantar para evaluar la magnitud del desplazamiento, y lateral para determinar la elevación de la cabeza y osteofitos dorsales. Las proyecciones adicionales oblicuas y axial de sesamoideos sirven para evaluar artrosis y desplazamiento lateral de los sesamoideos.17
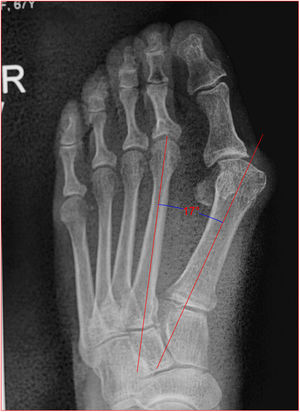
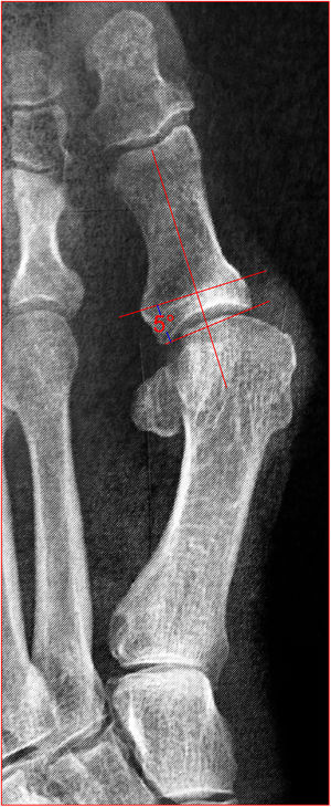
Angulo de valgo: es la intersección del ejes longitudinales del primer metatarsiano y de la falange proximal del hallux. Normal hasta 15 grados (fig. 5).
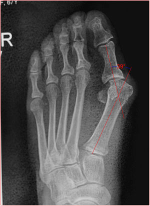
Angulo de desplazamiento articular proximal (PASA por sus siglas en inglés): mide el desplazamiento de la superficie articular de la cabeza del primer metatarsiano, un desplazamiento mayor a 10 grados es anormal e implica una deformidad angular del metatarsiano por si mismo. Se mide entre la perpendicular al eje del metatarsiano y una línea que corresponde a la superficie articular de la cabeza del primer metatarsiano. Cuando este ángulo es anormal no se puede reposicionar la falange con procedimiento de tejidos blandos aislado y requiere una osteotomía de realineamiento para desplazarla medialmente (fig. 6).
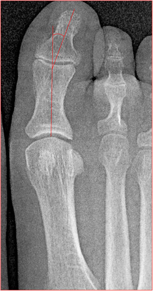
Angulo de desplazamiento articular distal (DASA por sus siglas en inglés), mide la orientación de la superficie articular de la falange proximal. Es el ángulo entre la perpendicular a la línea del eje de la falange proximal y la línea de la articulación de la falange proximal. Mayor a 10 indica deformidad en la falange (fig. 7).
Angulo de valgo interfalángico entre los ejes longitudinales de falange proximal y el primer metatarsiano, normal hasta 10. Este ángulo elevado empeora clínicamente la deformidad y requiere osteotomía de la falange (fig. 8).
Angulo intermetatarsianoEs el ángulo entre los ejes longitudinales de primer y segundo metatarsiano, normalmente es menor de 12 grados, cuando esta aumentado se llama metatarso primo varo o aducto y deberá corregirse con osteotomía (fig. 9).
Congruencia articularEs congruente cuando las superficies articulares son paralelas, siempre que es incongruente se debe liberar tejidos blandos con o sin osteotomías.
Articulación tarso primer metatarsiano puede ser plana o curva, cuando esta inclinada a medial se asocia con instabilidad articular progresiva. (fig. 10) La hipermobilidad también se puede ver como elevación del primer metatarsiano con respecto al segundo en proyección lateral con apoyo.
Posición de los sesamoideos: con valgo aumentado del hallux, hay fuerzas rotacionales que llevan a pronación. Y solo se puede valorar en la proyección axial de sesamoideos, en la proyección PA no se diferencia entre pronación del primer metatarsiano y la luxación real de los sesamoideos. (fig. 11)
Biomecánica del Hallux Valgus:El desarrollo de la deformidad del hallux valgus tiene lugar en la primera articulación metatarsofalángica y el complejo sesamoideo. El complejo sesamoideo consta de siete músculos, ocho ligamentos y dos huesos sesamoideos. Cuando el primer metatarsiano escapa del complejo y se desplaza medialmente, los sesamoideos permanecen in situ, varios de los ligamentos “fallan” y otros se contraen 18, adicionalmente pueden presentarse alteraciones circulatorias dado que es como es conocido, el hallux es el artejo peor irrigado ya que la circulación se desvía principalmente hacia la arteria plantar externa más que a la plantar interna, además la arteria plantar tiene un curso muy tortuoso y éste empeora aún más con la deformidad, generando isquemia en los tejidos distales 19.
Para entender de la biomecánica de la deformidad de la articulación Metatarsofalángica se deben tener en cuenta algunos conceptos de cinemática cinética y articular.
Cinemática del hallux valgusRangos de movilidadEn la primera articulación Metatarsofalángica la movilidad es mayor en el plano sagital donde el rango normal es de aproximadamente 45o de flexión plantar a 90o de dorsiflexión. Durante la fase de apoyo no se utiliza la extensión completa del plano de movimiento sagital porque la marcha normal requiere movimiento de solo unos pocos grados de flexión plantar y menos de 70o de dorsiflexión. Adicionalmente hay un dato teórico de algunos grados de movilidad de abducción-aducción en el plano trasverso durante el apoyo. En el hallux valgus se encuentran disminución de los arcos de movilidad, especialmente la flexión plantar y moderada disminución en la dorsiflexión, esta limitación en la movilidad esta probablemente dada por los cambios capsulo- ligamentarios secundarios por la degeneración articular 20.
Para hacer una medición objetiva se han realizado estudios de análisis de movimiento en los que se analiza el pie con múltiples segmentos, en el caso del hallux valgus se ha reportado que la deformidad en valgo está presente durante todo el ciclo de la marcha. En el plano transverso la movilidad está ligeramente disminuida desde la segunda mecedora hasta el final de la tercera mecedora con respecto a un pie control sin deformidad en el antepié, dicha limitación está dada por contracturas en los ligamentos colaterales y la capsula articular. En el plano los rangos de movilidad también están disminuidos ligeramente desde balanceo final hasta la segunda mecedora y en el caso del plano coronal se observó que la máxima pronación se alcanza al final de la tercera mecedora.
Movilidad de la superficie articularLa evaluación del movimiento de la superficie articular incluye análisis de los centros de rotación y desplazamiento de las carillas articulares. La falange y el metatarsiano son cuerpos rígidos que pueden ser considerados como conectores de movimiento, donde uno de los conectores rota relativamente sobre el otro. En el caso del hallux, el centro de giro de movimiento cae dentro de la cabeza del primer metatarsiano, mientras que en el hallux valgus los centros de giro pueden caer fuera de la cabeza del primer metatarsiano y alterar la biomecánica articular formando osteofitos y articulaciones incongruentes con alteración del tejido blando secundario. 21
El movimiento normal de la articulación metatarsofalángica del hallux puede ser descrito como un deslizamiento tangencial desde máxima plantiflexión a moderada dorsiflexión. En los pies con hallux valgus se muestra una compresión y distracción durante la flexión plantar, seguida por cortos intervalos de deslizamiento, finalizando con una compresión temprana en la dorsiflexión.
El movimiento de los sesamoideos está descrito como un deslizamiento de estos bajo la cabeza del primer metatarsiano alcanzando un desplazamiento total de 10 a 12mm desde máxima plantiflexión a la máxima dorsiflexión, donde los centros de rotación caen dentro de la cabeza del primer metatarsiano. En el movimiento de los sesamoideos se observa un deslizamiento tangencial con alguna tendencia a la distracción con la flexión plantar y compresión con la dorsiflexión. La deformidad en valgo del hallux está asociada con subluxación lateral de los sesamoideos. Esta subluxación y la posterior contractura de tejidos blandos lleva a anormalidades en la movilidad articular. El análisis de movimiento revela que hay una disminución de la movilidad de los sesamoideos y un desplazamiento del centro de giro, lo que lleva a una distracción temprana y una compresión tardía.
La limitación en la movilidad articular también es causada por contracturas de las partes blandas laterales e hiperlaxitud de los tejidos mediales de la articulación Metatarsofalángica. Esto último ha sido motivo de estudio con el fin de determinar si puede influir como una de las causas para presentar una deformidad en hallux valgus, como lo muestra el estudio de inmunohistoquímica realizado por Eiichi, en donde se encontraron cambios en las propiedades mecánicas del ligamento colateral medial en pies con hallux valgus causados por la degeneración estructural de las fibras de colágeno y la composición de colágeno 22.
Cinética del hallux valgusEl análisis estático provee una descripción de la mayoría de las fuerzas que actúan en esta articulación, tres fuerzas coplanares principalmente han sido identificadas, incluyendo la fuerza de reacción del piso que actúa sobre las cabezas de los metatarsianos, fuerzas tensiles de los tendones flexores y la aponeurosis plantar y la fuerza de reacción articular que actúa entre la falange proximal y al cabeza de los metatarsianos.
El máximo de fuerzas que actúan a través de la primera articulación Metatarsofalángica puede llegar a ser igual al peso del cuerpo. Las fuerzas que actúan en los cuatro metatarsianos menores es considerablemente menor. En el hallux valgus la fuerza de reacción en la primera articulación Metatarsofalángica está disminuida por la subluxación lateral del mecanismo flexor y los sesamoideos, y por consiguiente cambia el peso soportado en los metatarsianos laterales.
Fuerzas musculares deformantesLos cambios biomecánicos producidos en el hallux valgus incluyen cambios en la orientación de las fibras de los músculos que atraviesan la articulación generando fuerzas aún más deformantes. El control muscular en el hallux es provisto por tendones de la musculatura intrínseca y extrínseca. El flexor hallucis brevis se inserta en los sesamoideos que trasfieren las cargas desde el piso a la cabeza del primer metatarsiano y mejora el brazo de palanca para aumentar el momento plantiflexor. En el hallux valgus el tendón del extensor hallucis longus queda lateral a la articulación Metatarsofalángica del hallux convirtiéndolo en una fuerza aductora, la subluxación lateral de los flexores y los sesamoideos igualmente transforman su función original para aumentar las fuerzas de aducción. El tendón abductor cae plantar también cambiando su función de soporte medial y pasa a ser flexor y a pronar la falange. Por lo tanto, una vez que se altera la mecánica de esta articulación, todos los músculos que en algún momento eran estabilizadores, pierden esa función y pasan a ser fuerzas deformantes del hallux.
Etiología del Hallux valgusExisten varias condiciones que se han asociado a hallux valgus y se han descrito en la literatura, existen factores etiológicos inflamatorios, sistémicos, funcionales, anomalías anatómicas o variaciones anatómicas, sin embargo, se han clasificado en factores extrínsecos y factores intrínsecos e incluso se ha planteado la posibilidad de una predisposición intrínseca que se desarrolla bajo el efecto de otros factores en éste caso extrínsecos, por lo que no se puede determinar una única causa del hallux valgus.
Factores Intrínsecos:Factores Genéticos: Estos factores tienen relación con la deformidad y los más relevantes son la alteración en la formula metatarsiana, presencia de pie plano y la hiperlaxitud ligamentaria, aunque los estudios no muestran diferencia estadísticamente significativa para esta última.
Se ha demostrado que existen factores hereditarios en un 90% de los pacientes con patrón de herencia autosómico dominante de penetrancia incompleta, y en pacientes con Hallux valgus juvenil se ha demostrado la existencia de factores hereditarios maternos en un 94% de los casos, sin demostrarse diferencias en la prevalencia de la deformidad entre grupos raciales. 23
Edad: existe un mayor riesgo de Hallux valgus en pacientes ancianos, relacionado con cambios posturales, aumento de presiones plantares y cambios cinemáticos articulares, con un pico de presentación entre los 30 y 60 años. 24,25
Género: Se presenta con una mayor frecuencia en mujeres con una relación Hombre-Mujer de 1:15. Esto puede estar relacionado con la diferencia del calzado, pero no existe evidencia de calidad que soporte esta asociación.
Existen diferencias en la anatomía ósea, que parecen estar relacionadas con la deformidad. En las mujeres la superficie articular de la cabeza del primer metatarsiano es más pequeña y redonda, así mismo presentan con mayor frecuencia aducto del primer metatarsiano, lo que ocasiona mayor inestabilidad de la articulación metatarso-falángica, e hiperlaxitud ligamentaria que aumenta la movilidad del primer rayo.
Anatomía de los Metatarsianos: Se ha encontrado un aumento de la incidencia de hallux valgus pacientes con cabezas redondas del primer metatarsiano, lo que genera mayor inestabilidad articular en comparación con pacientes con cabezas planas del primer metatarsiano. No se han encontrado diferencias estadísticamente significativas en cuanto a la longitud del primer metatarsiano. 26 Se ha encontrado mayor asociación de hallux valgus en casos de mayor oblicuidad de la articulación cuneo-metatarsiana, lo que se asocia a la presencia de metatarso primo varo. Encontrando en pacientes con hallux valgus la presencia de una sola faceta articular cuneometatarsiana, mientras que los pacientes con pies normales presentan hasta tres facetas articulares en la primer articulación tarsometatarsiana, lo que supone una mayor estabilidad. 27
1.1Metatarso Primo Varo:Su asociación con hallux valgus es clara, principalmente en hallux valgus juvenil con una prevalencia del 75% en estos pacientes versus un 57% en el caso de hallux valgus en el adulto. Se ha discutido sobre su aparición es una causa o efecto de hallux valgus. Se ha propuesto que el metatarso primo varo ocurre primero generando disfunción del tendón del abductor Hallucis y a su vez generando subluxación inferior del mismo. Se ha descrito en mujeres una asociación adicional según el tipo de calzado (tacones y zapatos en punta)’
Otros autores proponen la deformidad de metatarso primo varo secundaria a la deformidad de hallux valgus al evidenciar que la corrección quirúrgica de la articulación metatarsofalángica corrige la orientación del primer metatarsiano sin necesidad de intervenir el primer metatarsiano como tal. 28,29
1.2Factores Biomecánicos y Cinemáticos:Los estabilizadores estáticos de la articulación metatarsofalángica incluyen la cápsula, el ligamento colateral medial y el ligamento sesamoideo medial, estas estructuras se encuentran mecánicamente alteradas en hallux valgus con alteración de la organización de las fibras de colágeno tipo I y tipo III predisponiendo a mayor deformidad durante la marcha en el contexto de hiperlaxitud ligamentaria 30
Los estabilizadores dinámicos alrededor de la primera articulación metatarsofalangica son el abductor hallucis el cual abduce, plantiflexiona e supina el primer artejo y el adductor hallucis aduce, plantiflexiona y prona el hallux, estos dos músculos forman una especie de manguito rotador plantar cuyo imbalance juega un papel importante en la progresión de la deformidad. El abductor hallucis tiene un papel secundario como contribución al soporte medial del arco longitudinal medial cuando éste tendón esta disfuncional explica la asociación con disfunción del tibial posterior.
El brazo de palanca del tendón del flexor hallucis longus con la progresión de la deformidad se desplaza de inferior a lateral a medida que el hallux se prona y se deforma en valgo 31
La teoría de la hipermobilidad de la articulación tarsometatarsiana del primer rayo en el plano sagital y la ausencia de estabilidad ligamentaria de la región distal del primer y segundo metatarsianos se ha propuesto como un factor intrínseco predisponente que puede potenciarse con la presencia de pie plano o equino funcional. Una elevación del primer metatarsiano disminuye la presión bajo la cabeza del mismo generando traslado del área de carga hacia el borde medial del pie y específicamente del hallux aumentando la deformidad en valgo. 32,33
Pie Plano
El pie plano ocasiona un aumento de la carga en el borde medial del pie y del hallux favoreciendo la pronación y deformidad en valgo del mismo. Esto es causado por elevación y alargamiento del primer metatarsiano generando la alteración de la primer metatarsofalángica. El Peroneo largo es menos capaz de estabilizar el primer rayo generando hipermovilidad del mismo. A medida que el retropié de evierte aumenta la fuerza de abducción cuando el hallux se dorsifelxiona al en prebalanceo durante la marcha. Y a medida que se perpetua la deformidad en pronación del pie se genera in imbalance entre el abductor hallucis y el adductor hallucis, rotando los sesamoideos y desplazándolos generando la deformidad en hallux valgus, Un arco longitudinal medial <20° aumenta la pronación del primer metatarsiano >10°.34–36
Hallux Limitus funcional
Esta condición se trata de la limitación para dorsiflexión del hallux únicamente durante el apoyo que predispone a hallux rigidus y a hallux valgus, para que se genere este último el pie debe tener alguna otra condición que cause la deformidad como un retropié evertido, antepie valgo flexible, plantiflexión del primer rayo que instauran la deformidad durante la fase de apoyo de la marcha. 37,38
Retracción del tendón de Aquiles
Cuando hay retracción y limitación para la dorsiflexión del pie la tendencia es deformidad en rotación externa con traslado del área de carga en el borde medial del pie en lugar de la región distal durante la tercera mecedora en el pre-balanceo aumentando la fuerza de valgo. Una capacidad de dorsiflexión <5- 10° se asocia a hallux valgus. 39
2Factores Extrínsecos:2.1Carga ExcesivaEl trauma repetitivo, las actividades de marcha excesiva y de aumento de apoyo continuo se han visto relacionadas con la progresión de la deformidad en valgo. Con excepción de las bailarinas de ballet. Aun no se ha encontrado una asociación significativa con la obesidad 40
Calzado
Existe una baja prevalencia de hallux valgus en poblaciones que caminan descalzas y según el tipo de calzado se ha visto incluso recurrencia de la deformidad a pesar de corrección quirúrgica. Los tacones y en punta son los que más se han visto relacionados ya que aumenta la carga sobre el primer metatarsiano, aumentando la pronación y la fuerza en valgo. Por otra parte se ha encontrado este factor principalmente como riesgo de progresión de la deformidad. En hallux valgus juvenil se hace más débil la asociación. 41–43
2.2Historia Natural:Para comprender bien la evolución dinámica de la deformidad del hallux valgus, se debe tener en cuenta claramente la anatomía y la etiología de esta enfermedad, donde están comprometidos, el hallux con sus dos falanges que van moviéndose hacia una deformidad en valgo; el primer metatarsiano que va deformando de su posición alineada, yéndose hacia varo; la posición de los dos huesos sesamoideos que se articulan con la base de la cabeza del primer metatarsiano (CPM), que cambian y se subluxan al moverse el primer metatarsiano, haciendo este complejo metatarso falángico, en una articulación inestable e incongruente; Finalmente los tejidos blandos, la musculatura extrínseca e intrínseca, ligamentos capsula articular y la piel, participan de manera activa para completar esta deformidad .Este transtorno va desde leve hasta una deformidad grave, que además de producir dolor en el antepié, hace imposible el uso del calzado.
La historia natural implica diferentes estadios 44 en donde la posición del hallux y del primer metatarsiano principalmente, va cambiando en el tiempo, de acuerdo a la etiología que anteriormente se explicó.
Inicialmente debe haber una falla de los elementos estabilizadores mediales capsulares y ligamentarias de la articulación metatarso falángica (MTF) y cuneo metatarsiana (CM) en su forma oblicua, haciendo que la CPM comience a desplazarse hacia medial. La forma redondeada de la CPM empieza entonces a favorecer el desplazamiento del Hallux para ir hacia Valgo.
Al desplazarse la cabeza, el complejo sesamoideo y sus ligamentos, van quedando laterales, con respecto al primer metatarsiano, comenzando a empeorar la estabilidad de todo el sistema y a ejercer, estos ligamentos, fuerzas diferentes que aumentan la deformidad constituyendo el Hallux valgus. Se pierde así la congruencia articular de los sesamoideos con la parte plantar de la CPM. Ver fig. 1245
La función de la musculatura intrínseca se modifica. El abductor migra de la parte medial, hacia la parte medial plantar, perdiendo acción, y el aductor del hallux se hace mas lateral y ejerce acción para aumentar la deformidad en valgo del hallux y al mismo tiempo rota el hallux y el metatarsiano, apareciendo otra deformidad asociada que es el hallux pronado.
La musculatura extrínseca, que son principalmente el extensor y flexor largo del hallux, al instalarse la deformidad en valgo del hallux, forman una cuerda de arco lateral, incrementando aun más la fuerza deformante y aumentando mas el ángulo del Hallux valgus.
Al aumentar la deformidad, la cual tiene mayor progreso de acuerdo a la insuficiencia del primer rayo, por su hipermovilidad 46,47, el uso del calzado 48 y demás factores que predisponen al hallux valgus, se hace un desplazamiento exagerado de la CPM contra la piel (bunion) en la parte medial, y con el borde del calzado, origina una bursa y una hiperqueratosis en la piel, que va desde el simple eritema o si es muy severo, a crear una ulcera en la piel.
El cartílago se va comprometiendo entre mas deformado sea el ángulo de la articulación MTF, y en el borde medial de la CPM se forma un surco medial, y se va deteriorando cada vez más la calidad del cartílago al descubrirse la cabeza, pero no tan severo como ocurre con el hallux rigidus, o en el caso de un Hallux valgus secundario a una Artritis reumatoidea. La otra parte que se afecta, es el cartílago de los sesamoideos, pues éstos pierden su articulación en la base de CPM, originando una artrosis importante que forma parte de la sintomatología dolorosa.
Al mismo tiempo a medida que se desvía la CPM pierde apoyo que compartía con el segundo rayo, que son las cabezas de segundo y tercer metatarsianos, originando sobre estas, una transferencia de la carga lo que origina una metatarsalgia, que al continuar su apoyo y uso de calzado de tacón alto, pueden ocasionar rupturas de la placa plantar y aparecer una deformidad asociada, que es el segundo dedo en garra, y una hiperqueratosis plantar que aumenta de manera severa la metatarsalgia.
Toda esta historia natural de la evolución del hallux valgus termina en una deformidad severa y grotesca, que además de ser muy sintomática, hace imposible el uso del calzado comercial limitando finalmente la marcha normal del paciente.
3Conflicto de interesesLos autores declaran no tener ningún conflicto de intereses














