Evaluar los motivos más frecuentes por los que se solicitan estudios de imagen craneales desde el Servicio de Urgencias y calcular la prevalencia de la patología aguda urgente en este grupo de población.
Material y métodosSe recogieron las tomografías computarizadas (TC) cerebrales solicitadas por el Servicio de Urgencias en los meses de octubre y noviembre de 2018. Se recogieron los siguientes datos: edad, sexo, motivo de solicitud del estudio, hallazgos encontrados en la prueba de imagen, administración de medios de contraste y motivo, y en caso de que el paciente tuviera estudios de imagen craneales previos, reseñar la existencia de cambios. Se utilizó el programa SPSS para hacer el análisis estadístico.
ResultadosSe realizaron 507 TC de cerebro urgentes, 41,4% en hombres y 58,6% en mujeres, con una edad media de 65,4±20 años. El motivo de solicitud más frecuente fue el traumatismo craneal (40,5%), y de ellos únicamente el 15,6% presentó patología intracraneal postraumática aguda. El segundo motivo fue sintomatología neurológica focal (16%), de los cuales el 16% presentó infarto isquémico reciente o hemorragia aguda. En cuanto a los hallazgos, el 43,2% de los estudios fueron informados como normales. El hallazgo más frecuentemente encontrado fue lesiones isquémicas de pequeño vaso, en un 20%. En un 3,9% de todos los pacientes se encontraron lesiones ocupantes de espacio, incluyendo lesiones tanto benignas como malignas.
ConclusionesLa mayoría de los estudios cerebrales solicitados desde urgencias no muestran patología que modifique el manejo del paciente. La sobreutilización de la TC cerebral urgente sobrecarga los servicios de radiología y somete a la población a radiación innecesaria.
To evaluate the most common reasons for requesting brain CT studies from the emergency department and to calculate the prevalence of urgent acute pathology on this population group.
Material and methodsWe reviewed brain CT studies requested from the emergency department during October and November 2018. We recorded the following variables: age, sex, reason for requesting the study, CT findings, use of contrast agents and reasons for using them, and, in patients who had undergone previous head CT studies, whether the findings had changed. SPSS was used for statistical analyses.
ResultsA total of 507 urgent brain CT studies were done (41.4% in men, 58.6% in women; mean age, 65.4±20 years).
The most common reason for requesting the study was head trauma (40.5%); only 15.6% of these studies showed acute posttraumatic intracranial lesions.
The second most common reason was focal neurologic symptoms (16%); only 16% of these studies showed recent ischemic infarcts or acute bleeding.
No pathological findings were reported in 43.2% of the studies.
The most common abnormal finding was small vessel disease (20%).
Space-occupying lesions (both benign and malignant) were found in 3.9% of all patients.
ConclusionsMost brain CT studies requested from the emergency department showed no findings that would modify the management of the patient. Overuse of urgent brain CT increases the radiology department's workload and exposes patients to radiation unnecessarily.
La tomografía computarizada (TC) se ha convertido en una herramienta de trabajo indispensable en la práctica médica habitual y en especial en las situaciones de urgencia1, donde se requiere establecer un correcto diagnóstico de forma rápida.
Las urgencias neurológicas son uno de los motivos más frecuentes de asistencia al servicio de urgencias. En estos casos, la TC de cráneo es útil para evaluar la patología intracraneal aguda y para determinar su gravedad, con el fin de seleccionar a los pacientes que necesitan un tratamiento quirúrgico inmediato y diferenciarlos de aquellos en los que es suficiente un manejo médico u observación2–5.
Este hecho, sumado a la amplia disponibilidad de esta técnica en los hospitales de nuestro medio, ha propiciado un aumento exponencial de las peticiones de TC cerebral desde el Servicio de Urgencias en las últimas décadas6. Y esto, a su vez, está generando una creciente preocupación en las diferentes sociedades de radiología1,7.
Es importante que las pruebas de imagen urgentes se encuentren claramente justificadas e indicadas8, ya que, en caso contrario, esos pacientes están siendo sometidos a dosis de radiación nada desdeñables, sabiendo que su abuso puede acarrear efectos adversos sobre su salud, que no deberían ser menospreciados6,7,9, sobre todo en la población pediátrica10.
Además, este problema no solo influye en la salud de nuestra población, sino que también afecta a la salud de nuestro sistema sanitario, ya que la realización injustificada de pruebas de imagen supone un gasto económico importante e innecesario para el sistema6,9.
El principal objetivo de este estudio es calcular la prevalencia de la patología aguda en las TC de cráneo solicitadas desde el Servicio de Urgencias en nuestro medio. Se evaluarán los motivos más frecuentes por los que se solicitan los estudios de imagen craneales desde el Servicio de Urgencias en nuestro centro.
Material y métodosEstudio unicéntrico, retrospectivo, observacional y descriptivo, donde se trataron todos los datos de forma anonimizada. El estudio fue aprobado por el Comité de Ética de la Investigación de Galicia, que no consideró necesario obtener el consentimiento informado.
Se recogieron todos los estudios de TC craneal solicitados desde el Servicio de Urgencias a pacientes mayores de 16 años desde el 1 de octubre hasta el 30 de noviembre de 2018, ambos inclusive. No se incluyeron menores de 16 años, puesto que nuestro hospital no es centro de referencia para este grupo de población.
Cada TC fue interpretada de forma urgente por el radiólogo de guardia, adjunto y/o residente, y un neurorradiólogo (de 7 o de 12 años de experiencia, respectivamente) realizó una segunda lectura al día siguiente.
Se recogieron en cada uno de los estudios los datos demográficos de los pacientes (edad y sexo) y el motivo de solicitud de la prueba de imagen, y en caso de que los pacientes presentaran varios síntomas simultáneamente, se tuvo en cuenta el síntoma predominante o el más relevante. También se recogieron los hallazgos descritos en la conclusión diagnóstica de la TC.
Las TC craneales se adquirieron sin administrar contraste intravenoso (CIV), y si en algún caso fue necesaria su administración, se recogió el motivo por el cual se decidió administrarlo.
En nuestro centro disponemos de protocolo “Código Ictus”, en el cual se realiza una TC basal inicial para descartar la presencia de hemorragia intracraneal, y una vez descartada, se completa con una angio-TC de troncos supraaórticos (70ml de lopromida 300 a 4ml/s) y un estudio de perfusión (60ml de lopromida 300 a 5ml/s), como se muestra en el ejemplo de la figura 1. En nuestro hospital no disponemos de equipo de neurorradiología intervencionista, por lo que, en caso de confirmar la presencia de un infarto isquémico agudo candidato a tratamiento endovascular, se realiza rápidamente el traslado del paciente a otro centro hospitalario dentro de la misma ciudad, que sí dispone de una sección de neurorradiología intervencionista.
Protocolo “Código Ictus”. A) Tomografía computarizada (TC) de cráneo basal, plano axial: hipodensidad frontal izquierda con pérdida de la diferenciación sustancia blanca-gris en relación con infarto agudo (flecha). B) Angio-TC de troncos supraaórticos, plano axial: oclusión completa de la arteria carótida interna izquierda (flechas), tanto en su porción extracraneal (imagen de la izquierda) como intracraneal (imagen de la derecha). C) TC de perfusión, mapa de flujo sanguíneo, plano axial. D) TC de perfusión, mapa de volumen sanguíneo, plano axial: área con flujo y volumen sanguíneo disminuido que indica infarto establecido (puntas de flecha) y área de flujo disminuido con volumen aumentado que representa un área de penumbra revascularizable (flechas blancas).
Por otro lado, se comprobó si estos pacientes tenían TC craneales previas, y en caso afirmativo, si se habían producido cambios significativos entre el estudio urgente y el anterior. Por último, se recogió el manejo del paciente: si había sido ingresado, trasladado a otro centro hospitalario o si había sido dado de alta a domicilio.
Una vez recogidos los datos, se clasificaron los estudios siguiendo dos criterios. En primer lugar, teniendo en cuenta que uno de los objetivos del estudio es calcular la prevalencia de la patología aguda urgente de las TC solicitadas en Urgencias, los estudios fueron divididos en función de la presencia o ausencia de patología aguda urgente. En este trabajo se considera patología urgente aquella que necesita atención médica inmediata11,12, y dentro de la cual se engloba la patología isquémica aguda (aunque hay que considerar las limitaciones de la TC para excluir patología urgente con un estudio normal y para determinar si una lesión isquémica de pequeño vaso es aguda o no), patología traumática intracraneal (incluyendo las fracturas), patología hemorrágica no traumática, lesiones ocupantes de espacio (LOE) u otro tipo de patología que asocie signos de herniación, hidrocefalia aguda e infección intracraneal.
Además, a este respecto, hay que comentar que, en muchos de los casos, en los estudios de Urgencias se puso de manifiesto otro tipo de patología que no se puede englobar en urgente según la anterior definición, pero que es importante, ya que su diagnóstico cambia el pronóstico y el manejo del paciente, como por ejemplo el diagnóstico de un tumor cerebral (sea primario o metastásico) o de una enfermedad desmielinizante.
En segundo lugar, el otro criterio para la clasificación de los estudios se basó en el motivo de solicitud, con el fin de mostrar los hallazgos más prevalentes en cada grupo por separado.
El tratamiento y análisis estadístico de los datos se realizó con el programa SPSS® (Chicago, Illinois) versión 15, mediante el cual se calcularon las medias, desviaciones estándar y porcentajes.
ResultadosSe realizaron un total de 507 TC craneales solicitadas desde el Servicio de Urgencias en el periodo seleccionado de 2 meses. De estas, 210 (41,4%) fueron en hombres y 297 (58,6%) en mujeres. La edad media fue de 65,4±20 años (rango: 17-98 años).
Los principales motivos de solicitud de las TC fueron el traumatismo craneoencefálico, seguido del déficit neurológico focal agudo (tabla 1). En algunas ocasiones, los pacientes presentaban varios síntomas simultáneamente, pero para realizar la clasificación se tuvo en cuenta el motivo o síntoma predominante.
Motivos de solicitud de las tomografías computarizadas cerebrales urgentes agrupadas
| Motivo de solicitud | Frecuencia | Porcentaje |
|---|---|---|
| Traumatismo | 206 | 40,6 |
| Déficit neurológico focal agudo | 81 | 16 |
| Cefalea | 80 | 15,8 |
| Inestabilidad/mareo | 53 | 10,5 |
| Alteración del nivel de consciencia | 49 | 9,7 |
| Convulsiones | 14 | 2,8 |
| Alteración visual | 10 | 2 |
| Sintomatología psiquiátrica | 7 | 1,4 |
| Parálisis de pares craneales | 5 | 1 |
| Amnesia | 2 | 0,4 |
De la totalidad de los pacientes recogidos, 245 (48,3%) tenían al menos un estudio de TC craneal realizado previamente en nuestro hospital. Dentro de este grupo, solo se objetivaron cambios significativos en 37 (7,3%) pacientes; no evidenciando cambios con respecto al estudio previo inmediato en los 208 (41%) casos restantes.
En 41 (8%) de los 507 estudios urgentes realizados se administró CIV. En 23 (56,1%) casos, por antecedentes neoplásicos que obligaban a descartar enfermedad metastásica; en 11 (26,8%), debido a la detección por parte del radiólogo de un hallazgo sospechoso en la TC basal sin contraste; en 4 (9,8%) por clínica o hallazgos en TC que hacían sospechar la posibilidad de aneurismas intracraneales; y en 3 (7,3%), para la realización de angio-TC de troncos supraaórticos y estudio de perfusión dentro del protocolo “Código Ictus” (fig. 1).
Con respecto al manejo de los pacientes, 325 (64,1%) fueron dados de alta a su domicilio desde el Servicio de Urgencias, 175 (34,5%) fueron ingresados en nuestro hospital y 7 (1,4%) fueron trasladados a otro centro hospitalario para ser tratados con procedimientos de neurointervencionismo no disponibles en nuestro centro (1 paciente para tratamiento de aneurismas cerebrales y el resto para el tratamiento endovascular del ictus).
Hallazgos de las TC craneales urgentesCon respecto a los resultados globales de las TC, 219 (43,2%) de los estudios fueron completamente normales.
Si el resto de los estudios se clasifican en grupos en función del tipo de patología, la más frecuente fue la patología isquémica con 146 (28,8%) casos, y de estos, 20 (3,9%) fueron infartos agudos o subagudos. La patología traumática aguda fue la siguiente en frecuencia, con hallazgos en 97 (19,1%) pacientes, aunque de estos solo 32 (6,3%) tenían hallazgos relevantes (al excluir el hematoma de partes blandas). El resto de los grupos de patología en orden de frecuencia fue el siguiente: LOE con 20 (3,9%) casos; otra patología con 9 (1,8%) casos; patología infecciosa con 5 (1%) casos; cambios posquirúrgicos con 5 (1%) casos; patología hemorrágica no traumática con 4 (0,8%) casos, y patología inflamatoria con 2 (0,4%) casos.
Si tenemos en cuenta la definición de patología aguda urgente anteriormente referida, del total de los 507 estudios solicitados, solo se halló patología aguda urgente en 61 (12%) estudios, la cual consistió en 34 casos con patología traumática (6,7%), 20 casos con infartos agudos o subagudos (3,9%), 4 casos con hemorragias no traumáticas (0,8%), 2 casos con hidrocefalia aguda (0,4%) y 1 caso con una LOE que condicionaba herniación (0,2%). En 8 (1,6%) de los 507 casos se evidenció patología importante (no urgente, pero que cambia el pronóstico o manejo del paciente), que consistió en 3 casos de metástasis de nueva aparición (0,6%) y 1 de enfermedad metastásica en progresión (0,2%), 2 casos con tumores primarios del sistema nervioso central (0,4%), 1 caso con una LOE indeterminada (0,2%) y 1 caso diagnosticado de enfermedad desmielinizante (0,2%). Los restantes 219 estudios (43,2%) tenían otro tipo de patología que no cumplía criterios para englobarse en ninguno de los dos grupos anteriores.
Al hacer un análisis de los resultados por grupos en función del motivo de solicitud de la prueba, en orden de frecuencia, se encontraron los siguientes hallazgos:
TraumatismoEl traumatismo craneoencefálico fue el motivo de petición más frecuente, con 206 (40,6%) pacientes, de los cuales 94 (45,6%) eran hombres y 112 (54,4%), mujeres, con una edad media de 66,6±21,6 años.
Los resultados de las TC por traumatismo se encuentran resumidos en la tabla 2. En la figura 2 se muestra uno de los casos con combinación de patología traumática aguda recogidos en la tabla 2.
Resultados de las tomografías computarizadas cerebrales urgentes solicitadas por traumatismo craneoencefálico
| Traumatismo | Global | Sin pérdida de consciencia | Con pérdida de consciencia | Hace días/semanas | Asociado a síntoma neurológico |
|---|---|---|---|---|---|
| Normal | 77 (37,4%) | 39 | 21 | 17 | 0 |
| Patología traumática | 92 (44,6%) | 62 | 21 | 8 | 1 |
| • Hematoma de partes blandas | 60 (29%) | 38 | 14 | 7 | 1 |
| • Fracturas | 11 (5,3%) | 11 | 0 | 0 | 0 |
| • Hematoma subdural | 6 (2,9%) | 4 | 2 | 0 | 0 |
| • Contusión parenquimatosa | 4 (2%) | 2 | 1 | 1 | 0 |
| • Higroma subdural | 2 (1%) | 1 | 1 | 0 | 0 |
| • HSA | 1 (0,5%) | 1 | 0 | 0 | 0 |
| • Combinación | 8 (3,9%) | 5 | 3 | 0 | 0 |
| Patología isquémica | 33 (16%) | 19 | 5 | 7 | 2 |
| • Infartos agudos | 1 (0,5%) | 1 | 0 | 0 | 0 |
| • Infartos crónicos | 7 (3,4%) | 5 | 1 | 1 | 0 |
| • Lesiones de pequeño vaso | 25 (12,1%) | 13 | 4 | 6 | 2 |
| LOE | 3 (1,5%) | 1 | 0 | 2 | 0 |
| Otros | 1 (0,5%) | 1 | 0 | 0 | 0 |
HSA: hemorragia subaracnoidea; LOE: lesión ocupante de espacio.
Tomografía computarizada de cráneo basal, plano axial. Paciente con traumatismo craneoencefálico que presenta hematomas de partes blandas parietal izquierdo (punta de flecha blanca) y frontal derecho (punta de flecha negra), hematoma subdural agudo en la convexidad izquierda (triple flecha negra), con áreas de menor densidad en su interior, en relación con sangrado hiperagudo (asterisco blanco), que condiciona desviación de la línea media hacia la derecha (doble flecha blanca), contusión hemorrágica frontotemporal derecha (asterisco negro) y hemorragia subaracnoidea (flecha blanca).
Las LOE fueron un meningioma y un linfoma, ambos ya conocidos, y un colesteatoma. En el grupo de otros, únicamente se encontraba una estenosis del acueducto de Silvio, también conocida previamente.
Déficit neurológico focal agudoA 81 (16%) pacientes se les solicitó una TC cerebral por un déficit neurológico focal agudo: 29 (35,8%) eran hombres y 52 (64,2%), mujeres, con una edad media de 69,9±16,7 años.
Los resultados de las TC por déficit neurológico focal agudo se muestran en la tabla 3. Llama la atención el número de estudios normales, sobre todo en el grupo de pacientes en los que persistía la clínica (21; 25,9%). Es interesante comentar que, de este grupo en concreto de pacientes, 4 (19%) fueron ingresados para completar el estudio mediante una resonancia magnética (RM) y solo en un caso (4,8%) se identificó un infarto agudo no visualizado en la TC. Además, 7 (33,3%) pacientes fueron ingresados sin que se les realizara una prueba de imagen complementaria. El resto de los casos (10; 47,7%) fueron dados de alta.
Resultados de las tomografías computarizadas cerebrales urgentes solicitadas por déficit neurológico agudo
| Déficit neurológico focal | Global | Clínica persistente | Clínica recuperada (AIT) |
|---|---|---|---|
| Normal | 25 (30,8%) | 21 | 4 |
| Patología isquémica• Infartos agudos• Infartos crónicos• Lesiones de pequeño vaso | 47 (58%)12 (14,8%)11 (13,6%)24 (29,6%) | 4012721 | 7043 |
| Patología hemorrágica no traumática | |||
| • Hematoma parenquimatoso | 1 (1,3%) | 1 | 0 |
| LOE | 6 (7,4%) | 6 | 0 |
| Cambios posquirúrgicos | 2 (2,5%) | 2 | 0 |
AIT: accidente isquémico transitorio; LOE: lesión ocupante de espacio.
En la figura 1 se muestra un ejemplo de un caso con infarto agudo en el que se realizó el protocolo “Código Ictus”.
En este grupo, las LOE fueron en 3 (3,7%) de los casos metástasis [1 (1,2%) de ellas ya era conocida, aunque estaba en progresión, y las otras 2 (2,5%) de nuevo diagnóstico], en 1 caso (1,2%), glioblastoma multiforme ya conocido, y en 2 (2,5%) meningiomas.
CefaleaLa cefalea fue el tercer motivo más frecuente de solicitud, con 80 (15,8%) pacientes del total, de los cuales 27 (33,8%) eran hombres y 53 (66,2%) mujeres, con una edad media de 54,3±18,1 años.
Los resultados de las TC por cefalea se exponen en la tabla 4, y se objetiva que en la mayoría de los casos, la cefalea se trataba de un síntoma único y solo en 10 (12,5%) de los casos la cefalea se acompañaba de otros síntomas [6 se acompañaban de alteraciones visuales (7,5%), 1 caso (1,25%) de alteraciones visuales y vómitos, otro caso (1,25%) de vómitos y febrícula y en otro (1,25%) de alucinaciones visuales].
Resultados de las tomografías computarizadas cerebrales urgentes solicitadas por cefalea
| Cefalea | Global | Síntoma único | Asociada a otros síntomas |
|---|---|---|---|
| Normal | 51 (63,8%) | 45 | 6 |
| Patología isquémica• Infartos crónicos• Lesiones de pequeño vaso | 14 (17,4%)5 (6,2%)9 (11,2%) | 1156 | 303 |
| LOE | 4 (5%) | 4 | 0 |
| Patología infecciosa | 4 (5%) | 4 | 0 |
| Cambios posquirúrgicos | 2 (2,5%) | 2 | 0 |
| Patología hemorrágica no traumática (HSA) | 1 (1,3%) | 1 | 0 |
| Otros | 4 (5%) | 3 | 1 |
HSA: hemorragia subaracnoidea; LOE: lesión ocupante de espacio.
En la figura 3 se expone el único caso de la muestra con hemorragia subaracnoidea (HSA) secundaria a la rotura de aneurismas intracraneales.
A) Tomografía computarizada (TC) de cráneo basal, plano axial. Hiperdensidad espontánea difusa en el interior de las cisternas de la base (asterisco negro) con extensión a través de las cisuras de Silvio (flechas blancas) e interhemisférica (flecha negra) hasta los surcos de la convexidad. B) Reconstrucción 3D de angio-TC de arterias intracraneales: dilataciones aneurismáticas en ambas arterias cerebrales medias y en la confluencia entre la arteria cerebral anterior y la arteria comunicante anterior derecha (flechas negras).
Las LOE fueron en uno de los casos, metástasis (1,25%), y en otro un glioma difuso (1,25%), ninguno conocido; y además un quiste pineal (1,25%) y un cavernoma (1,25%), ambos ya conocidos. Los 4 casos de patología infecciosa (5%) fueron sinusopatías inflamatorias. En el grupo de otros se recogieron: 2 (2,5%) casos de hidrocefalia (dos asistencias de un mismo paciente con hidrocefalia ya conocida y mal funcionamiento de su válvula de derivación ventriculoperitoneal con empeoramiento de la hidrocefalia), un paciente (1,25%) con higromas subdurales crónicos (también conocidos) y un paciente (1,25%) con enfisema en los planos musculares (sin causa reconocida).
Inestabilidad, mareo y/o vértigosSíntomas como la inestabilidad, los mareos y los vértigos se agruparon, alcanzando en total 53 (10,5%) peticiones: 17 (32,1%) en hombres y 36 (67,9%) en mujeres, con una edad media de 66,5±16,6 años.
Los resultados de las TC por este grupo de síntomas se encuentran resumidos en la tabla 5. Todos los infartos hallados en este grupo de pacientes (18; 33,9%) afectaban al territorio posterior, tanto los agudos como los crónicos. Además, hay que añadir que uno de los casos (1,9%) catalogado como normal con la TC, presentaba un infarto agudo de territorio posterior en la RM.
Resultados de las tomografías computarizadas cerebrales urgentes solicitadas por inestabilidad, mareo o vértigo
| Inestabilidad/mareo/vértigo | Global | Solitario | Asociado a cefalea |
|---|---|---|---|
| Normal | 30 (56,6%) | 20 | 10 |
| Patología isquémica• Infartos agudos• Infartos crónicos• Lesiones de pequeño vaso | 18 (33,9%)2 (3,8%)2 (3,8%)14 (26,3%) | 13229 | 5005 |
| Patología traumática | |||
| • Hematoma de partes blandas | 1 (1,9%) | 1 | 0 |
| LOE | 1 (1,9%) | 1 | 0 |
| Patología infecciosa | 1 (1,9%) | 1 | 0 |
| Patología inflamatoria | 1 (1,9%) | 1 | 0 |
| Otra | 1 (1,9%) | 1 | 0 |
LOE: lesión ocupante de espacio.
También hay que comentar que no se encontró patología del oído medio ni interno en ninguno de los casos.
La LOE encontrada en este grupo fue 1 cavernoma (1,9%). En el grupo de patología infecciosa se describió 1 caso de sinusopatía inflamatoria (1,9%). En el grupo de patología inflamatoria se incluyó 1 paciente joven que tenía lesiones hipodensas que sugerían una enfermedad desmielinizante, tipo esclerosis múltiple en el contexto (1,9%). En el grupo de otra patología se recogió 1 paciente diagnosticado de vasculopatía moya-moya like (1,9%).
Alteración del nivel de conscienciaDentro de este grupo se engloba el síncope, la disminución del nivel de consciencia, la agitación y la desorientación. En este punto se debe especificar que no se ha empleado ninguna escala objetiva de forma rutinaria, sino que la solicitud de TC en este subgrupo se basa en una valoración subjetiva tanto del médico que atiende la urgencia como de los familiares del paciente que lo llevan a este servicio. En total se incluyeron 49 (9,7%) pacientes en este grupo, de los cuales 30 (61,2%) eran hombres y 19 (38,85), mujeres, con una edad media 73,9±15 años.
Los resultados de las TC por alteraciones en el nivel de consciencia se muestran en la tabla 6.
Resultados de las tomografías computarizadas cerebrales urgentes solicitadas por alteración del nivel de consciencia
| Alteración del nivel de consciencia | Global | Síncope | Agitación, desorientación | Disminución del nivel consciencia |
|---|---|---|---|---|
| Normal | 17 (34,7%) | 3 | 11 | 3 |
| Patología isquémica• Infartos agudos• Infartos crónicos• Lesiones de pequeño vaso | 25 (51%)4 (8,2%)1 (2%)20 (40,8%) | 8206 | 142111 | 3003 |
| Patología hemorrágica no traumática | 2 (4,1%) | 2 | 0 | 0 |
| • Hemorragia intraventricular | 1 (2%) | 1 | 0 | 0 |
| • Combinación | 1 (2%) | 1 | 0 | 0 |
| LOE | 4 (8,2%) | 2 | 2 | 0 |
| Otros | 1 (2%) | 0 | 1 | 0 |
LOE: lesión ocupante de espacio.
Las LOE fueron 1 glioblastoma multiforme no conocido (2%), 1 meningioma (2%), 1 quiste dermoide (2%) y 1 quiste aracnoideo (2%). En el grupo de otros se incluyó 1 paciente con una cavidad porencefálica (2%).
ConvulsionesEl 2,8% de las solicitudes fueron por convulsiones (14), 6 (42,9%) en hombres y 8 (57,1%) en mujeres, con una edad media de 56,5±25,1 años.
El 42,9% de los estudios (6) fueron catalogados como normales. En 2 (14,3%) pacientes se encontró patología traumática: en un caso (7,15%) una fractura y en el otro (7,15%), una contusión parenquimatosa.
En otros 2 (14,3%) pacientes se describió patología isquémica: un infarto agudo (7,15%) y otro crónico (7,15%).
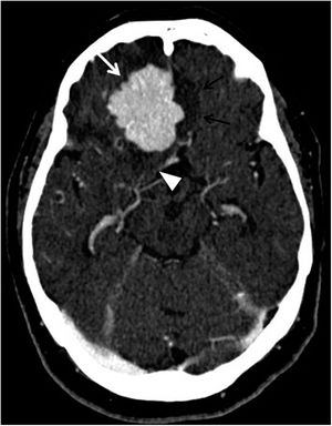
En el grupo de LOE se halló un meningioma (7,15%) que estaba ocasionando herniación transtentorial (fig. 4). En el grupo de patología inflamatoria se describió un paciente con una artritis inflamatoria de la articulación temporomandibular (ATM) por cristales (7,15%). En el grupo de otros se incluyeron una heterotopia nodular subependimaria (ya conocida) y un encefalocele (7,15%, respectivamente).
Tomografía computarizada de cráneo con contraste intravenoso, plano axial. Paciente que acude por convulsiones, en el que se objetiva una lesión ocupante de espacio extraaxial frontobasal derecha, con márgenes lobulados bien definidos y captación homogénea del contraste, en relación con meningioma (flecha blanca), con edema vasogénico en el parénquima de vecindad (doble flecha negra) y desviación del uncus derecho hacia la cisterna supraselar (punta de flecha blanca).
Un 2% de las solicitudes (10 pacientes) fue por alteraciones visuales, que englobaron disminución de la agudeza visual y diplopia. De estos pacientes, un 80% eran mujeres y un 20% hombres (8 y 2 pacientes, respectivamente), con una edad de 57,5±20,6 años.
El 90% de los estudios (9) fueron considerados normales y en el 10% restante (1) se encontraron lesiones isquémicas de pequeño vaso.
Sintomatología psiquiátricaEn el 1,4% de los casos (7 pacientes) el estudio se realizó por sintomatología psiquiátrica con el fin de descartar organicidad. Cinco de los casos eran mujeres (71,4%) y 2 (28,6%), hombres. La edad media era de 65±17,1 años.
De estos pacientes, en cuatro (57,1%) las TC eran normales; en uno (14,3%) se encontró patología traumática (hematoma de partes blandas) y en otro (14,3%) patología isquémica (infarto crónico).
Además, en el último de los casos (14,3%) se descubrió una LOE, de la cual no se obtuvo confirmación histológica, y como el paciente tenía un antecedente neoplásico, el diagnóstico diferencial se realizó entre metástasis y glioblastoma multiforme.
Parálisis de pares cranealesUn 1% de las solicitudes (5 pacientes) fueron por parálisis de pares craneales; 4 (0,8%) de ellas por parálisis del VII par craneal, que correspondía con una parálisis periférica, y 1 (0,2%) por parálisis del VI par. El 80% de los pacientes eran mujeres (4) y el 20% restante, hombres (1). La edad media era 69,6±21,6 años.
Solo 1 (20%) de los estudios fue normal. En 1 (20%) de los pacientes se describieron cambios posquirúrgicos. Los restantes tenían patología isquémica: 2 de ellos (40%) lesiones isquémicas de pequeño vaso y otro (20%) infartos crónicos.
AmnesiaEn último lugar, 2 pacientes consultaron por un cuadro de amnesia global transitoria (0,4%), los 2 hombres, con una edad media de 63,5±17,7 años.
En ambos pacientes se encontró patología isquémica, en un caso (50%) infartos crónicos y en el otro (50%) lesiones de pequeño vaso.
DiscusiónLa urgencia médica se define como un problema médico-quirúrgico agudo que pone en peligro la vida, un órgano o una función de un paciente, y por lo tanto requiere atención médica inmediata11,12.
La TC craneal es una herramienta esencial en el diagnóstico de múltiples entidades neurológicas, especialmente en situaciones agudas en Urgencias, ya que permite evaluar la patología intracraneal de forma rápida y determinar la gravedad de la situación para seleccionar a aquellos pacientes que necesitan un tratamiento quirúrgico urgente y diferenciarlos de los que pueden ser manejados con tratamiento médico u observación2–5.
Entre los motivos más comunes de asistencia a los servicios de urgencias se encuentran las urgencias neurológicas, que pueden variar desde el 2,6% al 14% de todas las asistencias según trabajos recientes realizados en hospitales españoles13,14. Las urgencias neurológicas son múltiples y variadas, aunque las más frecuentes descritas en la literatura científica15–17 son el traumatismo craneoencefálico, el déficit neurológico agudo y la cefalea. En el presente estudio esto se corrobora, pues también fueron los motivos más frecuentemente encontrados en nuestra muestra (tabla 1). En trabajos en los que únicamente recogen la patología médica (por lo tanto, no incluyen el traumatismo), el siguiente motivo en frecuencia es la epilepsia14; sin embargo, en nuestra muestra los siguientes motivos fueron la inestabilidad y la alteración del nivel de conciencia por delante de las convulsiones.
El resultado más relevante de nuestro estudio es que tan solo un 12% de las TC de cráneo solicitadas desde Urgencias tenían patología intracraneal aguda urgente, y del resto, una gran parte (43,2%) eran completamente normales. La premisa de que la mayoría de las TC de cráneo pedidas desde Urgencias en nuestro medio no tienen patología intracraneal aguda ya se ha expuesto en otros trabajos anteriores similares a este15,16; sin embargo, en ninguno de ellos encontraron tasas tan bajas de patología aguda.
Aunque se trata de un estudio meramente descriptivo, con el que únicamente intentamos reflejar lo que ocurre en el día a día en nuestro hospital, y en el que no estamos valorando la justificación particular de cada una de las pruebas recogidas, llama la atención el porcentaje tan bajo de patología aguda urgente hallada. Hay que tener en cuenta las limitaciones que existen al valorar patología isquémica aguda en la TC: en primer lugar, lo ideal en el caso del Código Ictus es que el estudio sea normal si se han cumplido los tiempos de actuación; en segundo lugar, la dificultad para la valoración de la agudeza de las lesiones de pequeño vaso, y por último, la baja sensibilidad de la TC para las lesiones en el territorio posterior.
Estos resultados podrían poner de manifiesto que se está haciendo un uso excesivo de la TC cerebral desde Urgencias, ya que, como se objetiva en nuestra muestra, gran parte de las exploraciones son completamente normales o muestran hallazgos sin ninguna relevancia para los pacientes, tanto a nivel global como en cada uno de los subgrupos por separado.
Esto podría deberse en parte a la sobresaturación, por todos conocida, de los servicios de urgencias14, la tendencia cada vez mayor a la práctica de una medicina defensiva por un aumento en las reclamaciones y denuncias por parte de los pacientes, y sobre todo a la amplia disponibilidad de las pruebas de imagen en los hospitales, que ha propiciado un aumento en la demanda de las TC urgentes, especialmente las de cráneo, en los últimos tiempos, con la consecuente sobresaturación de los servicios de radiología.
Como se mencionó anteriormente, en este estudio no se valoró si las TC realizadas durante el periodo estudiado estaban correctamente indicadas o justificadas. Esta es una cuestión realmente importante tanto a la hora de solicitar una prueba por parte de los clínicos desde Urgencias como de aceptarla desde el Servicio de Radiología, y podría ser un tema para desarrollar en trabajos posteriores.
La justificación de las pruebas de imagen en Urgencias es fundamental para evitar la sobreexposición a radiación innecesaria por parte de los pacientes, con dosis nada desdeñables, sabiendo que su abuso puede acarrear efectos adversos sobre su salud, que no deberían ser menospreciados6,7,9. Además, esto no solo influye en la salud de nuestra población, también afecta a la salud del sistema sanitario, ya que la realización injustificada de pruebas de imagen supone un gasto económico importante6,9.
Por ello, para determinar la necesidad de realizar una prueba de imagen craneal en Urgencias, existen múltiples guías. En el caso del traumatismo craneoencefálico, tanto la Canadian CT Head Rule (CCHR)18 como la New Orleans Criteria (NOC)19 están ampliamente reconocidas y estandarizadas para la evaluación de este tipo de pacientes en Urgencias. Mas recientemente han aparecido guías adicionales como la National Institute for Health and Care Excellence (NICE)9, el National Emergency X-Radiography Utilization Study II (NEXUS II)20 y la del Scandinavian Neurotrauma Committee (SNC)21. Se ha demostrado que con la adopción de estas guías es posible reducir de forma segura el número de TC solicitadas en los pacientes con traumatismos leves22, incluso en pacientes con edad pediátrica23.
En nuestro centro hospitalario se emplea la Canadian CT Head Rule, pero como se muestra en la tabla 2, muchas de las tomografías realizadas, pese a utilizar esta guía, son completamente normales. Además, sorprende que solo el 44,6% de los estudios tienen patología traumática aguda, y si se tiene en cuenta que de estos aproximadamente el 30% únicamente tienen hematomas de partes blandas, implica que solo el 15,6% de los estudios por este motivo tenían patología traumática realmente relevante. Que los hallazgos de patología traumática sean tan reducidos hace que nos planteemos si la guía se está empleando adecuadamente o si es deficiente. Podría ser interesante un estudio comparativo de las diferentes escalas en estos pacientes.
Además, es llamativa la tendencia, cada vez mayor, de repetir la TC craneal en pacientes traumáticos a pesar de que el estudio inicial fuese normal, por el riesgo de complicaciones tardías, fundamentalmente de hematomas subdurales subagudos. Sin embargo, se ha demostrado que este riesgo es insignificante24, ya que son negativos el 99,7% de los estudios repetidos tras un estudio de TC inicial normal25, por lo que fundamentalmente debería repetirse en caso de que exista una alteración del nivel de consciencia o deterioro neurológico en relación con el estado previo del paciente26,27.
Con respecto al resto de urgencias neurológicas no traumáticas, no hay unas guías de actuación clínica ampliamente aceptadas28, por lo que sería necesario desarrollar protocolos de actuación para este tipo de situaciones que establezcan las indicaciones de una prueba de imagen en Urgencias.
Algunos autores han identificado una serie de criterios clínicos que predicen la presencia de hallazgos anormales en la TC craneal de pacientes no traumáticos en Urgencias y por lo tanto pueden ser empleados para hacer una selección de los pacientes candidatos a TC. Se han propuesto los siguientes criterios: edad superior a 60 años, déficit neurológico focal, alteración del estado mental y cefalea acompañada de náuseas y/o vómitos29. Otros autores, sin embargo, elevan la edad a los 70 años, proponen las náuseas y/o vómitos acompañando o no a la cefalea, y añaden los siguientes criterios: historia de malignidad y alteración en el perfil de la coagulación6. En este mismo trabajo, los autores no apoyan la realización rutinaria de TC a pacientes que únicamente presentan cefalea, vértigo, mareo, consumo de drogas, alteraciones en la presión sanguínea o síntomas generalizados como debilidad difusa en pacientes menores de 70 años6. En otro artículo se propone que el criterio de la alteración del estado mental sea sustituido por el valor en la escala de coma de Glasgow (<14), ya que se trata de una medida objetiva y mejor reproducible28.
Además, es importante señalar la puntualización de sociedades como el Royal College of Radiologists, que recomiendan que “solo aquellas pruebas que vayan a afectar al manejo inmediato del paciente durante las guardias médicas deberían ser realizadas”30.
Por último, siempre debemos seguir el principio ALARA (“as low as reasonably achievable”)31, no solo evitando realizar las exploraciones que no estén justificadas o que no vayan a suponer un cambio en el manejo del paciente, sino también buscando reducir la dosis de radiación, aun a pesar de la situación urgente, y para ello disponer de protocolos preestablecidos en los que se hayan optimizado los parámetros necesarios1.
Este estudio presenta varias limitaciones. Se trata de un estudio retrospectivo, que recoge los resultados de un único centro y por lo tanto de una región geográfica concreta, por lo que los resultados no representan ampliamente a la población. Otra limitación importante es que nuestro hospital no es centro de referencia para el Código Ictus, lo que podría justificar el escaso número de pacientes con hematomas parenquimatosos e infartos agudos en este estudio. Además, no incluye población pediátrica, por lo que no se puede evaluar la prevalencia de los hallazgos patológicos en esta población.
En conclusión, la mayoría de los estudios cerebrales solicitados desde Urgencias no muestran patología que modifique el manejo del paciente. La TC cerebral urgente es una herramienta importante, pero su sobreutilización sobrecarga los servicios de radiología y somete a la población a una radiación innecesaria.
Autoría1. Responsables de la integridad del estudio: MNF y ESA.
2. Concepción del estudio: MNF, ESA y NSP.
3. Diseño del estudio: MNF, ESA y NSP.
4. Obtención de los datos: MNF, ESA, NSP, CJB, CASV y SCE.
5. Análisis e interpretación de los datos: MNF, ESA, NSP, CJB, CASV y SCE.
6. Tratamiento estadístico: MNF y ESA.
7. Búsqueda bibliográfica: MNF, ESA, NSP, CJB, CASV y SCE.
8. Redacción del trabajo: MNF y ESA.
9. Revisión crítica del manuscrito con aportaciones intelectualmente relevantes: MNF, ESA, NSP, CJB, CASV y SCE.
10. Aprobación de la versión final: MNF, ESA, NSP, CJB, CASV y SCE.
Conflicto de interesesLos autores declaran no tener ningún conflicto de intereses.








