Analizar los hallazgos radiológicos iniciales en las radiografías de tórax de pacientes con RT-PCR positiva para SARS-CoV-2 y valorar si existe una relación entre la graduación de los mismos y los datos clínicos y analíticos.
Materiales y métodosEstudio retrospectivo donde se analizaron las radiografías de tórax iniciales de pacientes adultos sintomáticos entre el 29 de febrero y el 23 de marzo de 2020 con una prueba RT-PCR nasofaríngea positiva para SARS-CoV-2 y una analítica inicial que incluía: leucocitos, linfocitos, plaquetas, cociente linfocitos/leucocitos y PCR. Entre otros hallazgos radiológicos se valoraron: opacidades en vidrio deslustrado, consolidaciones, opacidades lineales y derrame pleural. También la distribución y la extensión de estos hallazgos mediante un índice de gravedad radiográfico.
ResultadosDe 761 pacientes sintomáticos, 639 precisaron ingreso hospitalario (84%) y 122 fueron dados de alta con aislamiento domiciliario. La necesidad de ingreso fue mayor cuanto más alto el índice de gravedad radiográfico. Existió una relación estadísticamente significativa entre la extensión de la afectación pulmonar inicial y los parámetros analíticos estudiados (p<0,05 para plaquetas, p<0,01 para linfocitos y p<0,001 para el resto), así como con los días de evolución desde el inicio de los síntomas (p<0,001).
ConclusiónLa graduación de los hallazgos radiológicos al diagnóstico y su relación con los datos analíticos podría ser útil a la hora de valorar la evolución de pacientes con COVID-19, pues a mayor índice de gravedad radiográfico, mayor incidencia de ingreso hospitalario y parámetros analíticos más alterados.
To analyze the initial findings in chest X-rays of patients with RT-PCR positive for SARS-CoV-2, and to determine whether there is a relationship between the severity of these findings and the clinical and laboratory findings.
Materials and methodsThis retrospective study analyzed the relationship between initial chest X-rays and initial laboratory tests in symptomatic adults with nasopharyngeal RT-PCR results positive for SARS-CoV-2 seen at our center between February 29 and March 23, 2020. Among other radiologic findings, we analyzed ground-glass opacities, consolidations, linear opacities, and pleural effusion. We also used a scale of radiologic severity to assess the distribution and extent of these findings. Among initial laboratory findings, we analyzed leukocytes, lymphocytes, platelets, neutrophil-to-lymphocyte ratio, and C-reactive protein.
ResultsOf 761 symptomatic patients, 639 (84%) required hospitalization and 122 were discharged to their homes. The need for admission increased with increasing scores on the scale of radiologic severity. The extent of initial lung involvement was significantly associated with the laboratory parameters analyzed (p<0.05 for platelets, p<0.01 for lymphocytes, and p<0.001 for the remaining parameters), as well as with the time from the onset of symptoms (p<0.001).
ConclusionIt can be useful to use a scale of radiologic severity to classify chest X-ray findings in diagnosing patients with COVID-19, because the greater the radiologic severity, the greater the need for hospitalization and the greater the alteration in laboratory parameters.
El 31 de diciembre de 2019 se comunicaron a la Organización Mundial de la Salud (OMS) numerosos casos de una neumonía de etiología desconocida detectados en Wuhan (China). El agente causante de esta neumonía fue identificado como un nuevo virus de la familia Coronaviridae que posteriormente se ha denominado SARS-CoV-2 (coronavirus tipo 2 del síndrome respiratorio agudo grave). El cuadro clínico asociado a este virus se ha denominado COVID-19 (enfermedad por coronavirus 2019). El 30 de enero de 2020, la OMS declaró la COVID-19 una emergencia de salud pública de importancia internacional y el 12 de marzo fue declarada pandemia1,2. Hasta la fecha, en España (18 de diciembre de 2020) se han comunicado 1.797.236 casos confirmados y 48 926 fallecimientos3.
El espectro clínico de la COVID-19 varía desde formas asintomáticas hasta formas graves con distrés respiratorio del adulto y muerte. Las manifestaciones clínicas más frecuentemente descritas son fiebre, tos, mialgias, cefaleas y disnea4. En pacientes ingresados, la enfermedad grave o mortal es más frecuente5.
La mayoría de las publicaciones radiológicas sobre la COVID-19 se centraron en un principio en los hallazgos en la tomografía computarizada (TC) de tórax, ya que en China se empezó a utilizar como técnica de primera línea dada su elevada sensibilidad6. Posteriormente, el American College of Radiology (ACR), la Society of Thoracic Radiology (STR) y la American Society of Emergency Radiology (ASER) desaconsejaron el uso sistemático de la TC torácica como técnica de cribado o de primera elección en el diagnóstico de pacientes con sospecha de COVID-197. Kim et al. confirman, en un metaanálisis, que fuera de China, donde hay una baja prevalencia de la COVID-19 (1-22,9%), la TC de tórax en pacientes con sospecha clínica de COVID-19 tiene un valor predictivo positivo bajo (1,5-30,7%)8. En otro metaanálisis más reciente Xu et al. concluyen que en general la TC de tórax tiene buena sensibilidad para detectar la neumonía COVID-19, especialmente en aquellas regiones con una situación epidémica grave, y es de ayuda para detectar casos sospechosos en fases tempranas. Por el contrario, la especificidad es relativamente baja (25-33%)9.
La radiografía de tórax es menos sensible que la TC y por ello puede ser normal en las fases iniciales de la COVID-19, pero es una técnica útil, rápida, ampliamente disponible y fácil de realizar. En la mayoría de los casos ha sido la única técnica radiológica que se ha realizado a estos pacientes7. Sin embargo, la radiografía de tórax presenta una amplia variabilidad interobservador. Para intentar paliar este hecho se han utilizado diferentes métodos objetivos que valoran la extensión y gravedad de la afectación pulmonar. Por ejemplo, el índice de gravedad del edema pulmonar (RALE) fue útil a la hora de cuantificar la extensión del distrés respiratorio del adulto10. Más recientemente se han utilizado también diferentes sistemas de puntuación tanto para la TC como para la radiografía de tórax, que cuantifican la afectación pulmonar en los enfermos con COVID-1911–16.
Se han publicado hasta el momento muy pocos estudios que relacionen la cuantificación de la gravedad de los hallazgos radiológicos en la radiografía de tórax con los datos analíticos12,17. Los principales parámetros analíticos que se han relacionado con la gravedad de la neumonía COVID-19 y la evolución de los pacientes son el aumento de la proteína C reactiva (PCR), del dímero-D y de la enzima lactato deshidrogenasa (LDH) y la linfopenia18.
El objetivo de este trabajo es valorar si existe una relación entre los hallazgos en la radiografía de tórax y la cuantificación de su gravedad, con los datos analíticos en el momento del diagnóstico y con el tiempo transcurrido desde el inicio de los síntomas.
Material y métodosSe realizó un estudio descriptivo, transversal, retrospectivo y unicéntrico. Este estudio fue aprobado por el Comité de Ética de Investigación Clínica de nuestro centro.
Población de estudioSe incluyeron consecutivamente todos los pacientes sintomáticos, mayores de edad, que acudieron a nuestro centro entre el 29 de febrero y el 23 de marzo de 2020, con una prueba RT-PCR (reacción en cadena de la polimerasa con transcriptasa inversa) nasofaríngea positiva para SARS-CoV-2 y una radiografía de tórax y analítica en sangre al diagnóstico.
Fueron excluidos aquellos pacientes con una RT-PCR positiva, pero sin radiografía de tórax al diagnóstico, aquellos sin analítica inicial y aquellos en cuya analítica inicial no estaban presentes estos cinco parámetros: recuento de leucocitos, linfocitos y plaquetas, el cociente linfocitos/leucocitos y la PCR (fig. 1).
De los 1.165 pacientes iniciales fueron excluidos 4 pacientes menores de 18 años. Además, se descartaron 165 pacientes por no tener una radiografía de tórax al inicio de la enfermedad y 116 pacientes por no poseer una analítica de sangre inicial. Por último, de los 880 pacientes restantes, 119 no presentaban las detecciones analíticas en sangre de los 5 parámetros necesarios para la inclusión en este estudio: recuento de leucocitos, de linfocitos, de plaquetas, cociente linfocitos/leucocitos y PCR.
Todos los datos se obtuvieron de las historias clínicas de los pacientes.
Variables de resultado primariasSon los hallazgos radiológicos en la radiografía de tórax inicial, la cuantificación de su extensión (score o índice de gravedad radiográfico) y su correlación con los datos analíticos iniciales.
En las radiografías de tórax se valoraron los siguientes hallazgos: opacidades en vidrio deslustrado, consolidaciones, opacidades lineales, derrame pleural, adenopatías, fibrosis pulmonar por patología pulmonar previa, enfisema y nódulos/masas. Se siguieron los criterios de la Sociedad Fleischner para definir los hallazgos radiológicos19. En el caso de que presentaran opacidades en vidrio deslustrado o consolidaciones pulmonares se recogió su distribución: central (en los dos tercios internos del pulmón), periférica (en el tercio externo), o difusa, con afectación de ambas. Asimismo, se valoró qué campos pulmonares se encontraban afectados (superior, medio e inferior en cada pulmón) y si las lesiones eran uni- o bilaterales.
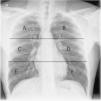
Con el fin de graduar la extensión de la afectación pulmonar (índice de gravedad radiográfico), cada pulmón se dividió en tres campos separados por dos líneas horizontales: una superior a la altura del borde inferior del cayado aórtico y otra inferior a la altura de las venas pulmonares13,15 (fig. 2). La cuantificación de la extensión de la afectación pulmonar se obtuvo sumando la puntuación en cada campo pulmonar (0=normal y 1=con afectación), obteniéndose una puntuación global para ambos pulmones entre 0 y 6.
Radiografía de tórax con la división pulmonar en seis campos que se ha empleado en nuestro estudio para la valoración de la distribución de los hallazgos radiológicos. La línea horizontal superior pasa por el borde inferior del arco aórtico y la línea horizontal inferior pasa a la altura de las venas pulmonares inferiores. A y B) Campos superiores. C y D) Campos medios. E y F) Campos inferiores.
En cuanto a los datos de laboratorio iniciales correspondientes a la primera radiografía de tórax, se recogieron el recuento de leucocitos, de linfocitos y su porcentaje, de plaquetas, la PCR, el dímero D, la enzima lactato deshidrogenasa (LDH), la ferritina y la enzima creatina cinasa (CK). El tiempo transcurrido entre la analítica sanguínea y la radiografía de tórax no superó en ningún caso las 24 horas.
Variables independientesLos datos antropométricos y demográficos que se recogieron fueron: sexo, edad, peso e índice de masa corporal (IMC). El IMC se dividió en seis categorías: bajo peso (<18,5), normopeso (18,5-24,9), sobrepeso (25-29,9), obesidad de tipo I (30-34,9), obesidad de tipo II (35-39,9) y obesidad mórbida (40-49,9).
Los datos clínicos que se incluyeron fueron: lugar de procedencia de los pacientes (urgencias/no urgencias), síntomas que presentaban (fiebre, tos, disnea, dolor torácico, síntomas gastrointestinales, síncope y otros) y fecha de inicio, necesidad de ingreso en los 30 primeros días (sí/no), número de días de ingreso, ingreso prolongado (más de 30 días) y fecha de entrada y salida del hospital.
Se recogieron las fechas de todas las pruebas de RT-PCR realizadas y el tiempo que transcurrió desde una prueba RT-PCR positiva hasta la realización de la radiografía de tórax.
Análisis de las imágenes y obtención de la informaciónDos residentes de radiodiagnóstico de segundo y tercer año (S.G.P y A.N.M., respectivamente) revisaron todos los informes de las radiografías de tórax que se encontraban en equipos con IMPAX 6.5.33 (Agfa-Gevaert N.V.). En el caso de que algunos estudios no tuvieran un informe radiológico o de duda consultaron con dos radiólogos torácicos expertos con 16 y 26 años de experiencia (B.C.M y A.B.G.C., respectivamente); las dudas se resolvieron por consenso.
Análisis estadísticoLas variables cualitativas se presentan con su distribución de frecuencias. Las variables cuantitativas se resumen con su media y desviación estándar (DE). Las variables cuantitativas que muestran una distribución asimétrica se resumen con la mediana y el rango intercuartílico (RIC). La distribución de las variables continuas se evaluará mediante la inspección gráfica del histograma, box-plot y Q-Q plots.
La variable score o índice de gravedad radiográfico se analizó como categórica. Para las variables cuantitativas se compararon las medias mediante el análisis de la variancia (ANOVA) o el test de Kruskall Wallis en caso de que las variables cuantitativas no se ajustaran a una distribución normal. Se evaluó la relación ordinal de los parámetros analíticos y las categorías del score mediante el test no paramétrico de Jonckheere-Terpstra. Las variables cualitativas se compararon mediante la prueba de la χ2 o test exacto de Fisher en caso de que fuera necesario. Para todas las pruebas se aceptó un valor de significación del 5%. El procesamiento y análisis de los datos se realizó mediante el paquete estadístico SPSS 21.0.
ResultadosAnálisis descriptivoDel total de 1.165 pacientes consecutivos con RT-PCR para SARS-CoV-2 positiva que fueron vistos en nuestro centro entre el 29 de febrero y el 23 de marzo de 2020, 761 pacientes sintomáticos adultos son los que constituyen nuestra población de estudio (fig. 1), 370 mujeres y 391 hombres con una edad media de 65,8±17,1 años. En cuanto al IMC, había un 0,4% de pacientes con bajo peso, un 14,3% de pacientes con valores dentro de la normalidad, un 29,8% con sobrepeso y un 26,9% con obesidad. En 218 (28,6%) pacientes no se disponía de alguno de los datos necesarios para calcular el IMC (tabla 1).
Características epidemiológicas y clínicas de los pacientes
| Características clínicas | n 761 (%) |
|---|---|
| Sexo | Hombres 391 (51,4%), mujeres 370 |
| Edad (años) | |
| <30 años | 22 (2,9%) |
| 31-40 | 45 (5,9%) |
| 41-50 | 93 (12,2%) |
| 51-60 | 121 (15,9%) |
| 61-70 | 125 (16,4%) |
| 71-80 | 177 (23,3%) |
| 81-90 | 149 (19,6%) |
| 91-100 | 29 (3,8%) |
| IMC | |
| Bajo peso | 3 (0,4%) |
| Normopeso | 109 (14,3%) |
| Sobrepeso | 227 (29,8%) |
| Obesidad | 204 (26,9%) |
| Datos perdidos | 218 (28,6%) |
| Presentación clínica | |
| Tos | 562 (73,9%) |
| Fiebre | 566 (74,4%) |
| Disnea | 340 (44,7%) |
| Dolor torácico | 102 (13,4%) |
| Gastrointestinales | 193 (25,4%) |
| Síncope | 15 (2%) |
| Tiempo desde el comienzo de los síntomas (días) | |
| 0-2 | 165 (21,7%) |
| 3-5 | 221 (29%) |
| 6-9 | 241 (31,7%) |
| >9 | 134 (17,6%) |
| Ingresados | 639 (84%) |
El 97,2% de los pacientes acudieron con síntomas al servicio de urgencias, 14 pacientes contrajeron la COVID-19 estando ingresados en planta y 7 lo hicieron en la unidad de cuidados intensivos.
El 74,4% de los 761 pacientes presentaba fiebre; el 73,9%, tos; el 44,7%, disnea; el 25,4%, síntomas gastrointestinales; el 13,4%, dolor torácico; y el 2%, síncope. El tiempo transcurrido entre el comienzo de los síntomas y la consulta médica fue de 0-2 días en 165 pacientes (21,7%), de 3-5 días en 221 (29%), de 6-9 días en 241 pacientes (31,7%) y más de 9 días en 134 (17,6%) (tabla 1).
De los 761 pacientes, 639 precisaron ingreso hospitalario (84%) mientras que 122 fueron dados de alta para continuar aislamiento domiciliario. La necesidad de ingreso fue mayor cuanto más alto fue el índice de gravedad radiográfico (tabla 2).
Frecuencia de ingreso hospitalario según el índice de gravedad radiográfico
| Ingreso hospitalario | ||
|---|---|---|
| Sí | No | |
| Índice de gravedad radiográfico | ||
| 0 | 201 (68,1%) | 94 (31,9%) |
| 1 | 121 (85,8%) | 20 (14,2%) |
| 2 | 108 (95,6%) | 5 (4,4%) |
| 3 | 80 (98,8%) | 1 (1,2%) |
| 4 | 81 (97,6%) | 2 (2,4%) |
| 5+6a | 48 (100%) | 0 (0%) |
Se hicieron 368 radiografías de tórax (48,4%) con el paciente en bipedestación (proyecciones posteroanterior y lateral) y 393 (51,6%) en proyección anteroposterior, de las cuales 361 (91,8%) fueron radiografías portátiles.
De los 761 pacientes estudiados, 295 (38,8%) presentaron una radiografía de tórax normal al diagnóstico y 466 (61,2%) tenían hallazgos patológicos. De las radiografías patológicas, 168 (36%) mostraban un aumento de densidad en vidrio deslustrado, mientras que 202 presentaban consolidación pulmonar (43,3%). Vidrio deslustrado y consolidación pulmonar se vieron en 40 pacientes (8,5%), y una neumonía lobar en 56 (12%) pacientes. Además, otros hallazgos menos frecuentes fueron derrame pleural en 25 casos (5,4%), fibrosis pulmonar por patología previa en 15 pacientes (3,2%), opacidades lineales en 9 pacientes (1,9%), enfisema pulmonar en otros 9 casos (1,9%) y nódulos o masas pulmonares en 4 casos (0,9%). En ningún caso se identificaron adenopatías (tabla 3).
Hallazgos en la radiografía de tórax e índice de gravedad radiográfico
| Hallazgos en la radiografía de tórax | n=761 (%) |
|---|---|
| Radiografía de tórax normalRadiografía de tórax patológica | 295 (38,8%)466 (61,2%) |
| Vidrio deslustrado | 168 (36%) |
| Consolidación | 202 (43,3%) |
| Consolidación y vidrio deslustrado | 40 (8,5%) |
| Neumonía lobar | 56 (12%) |
| Derrame pleural | 25 (5,4%) |
| Fibrosis pulmonar previa | 15 (3,2%) |
| Opacidades lineales | 9 (1,9%) |
| Enfisema pulmonar | 9 (1,9%) |
| Nódulo/masa | 4 (0,9%) |
| Adenopatías | 0 (0%) |
| Distribución por campos | n=466 (%) | |
|---|---|---|
| Izquierdo | Derecho | |
| Superior | 57 (12,2%) | 95 (20,4%) |
| Medio | 259 (57,5%) | 263 (56,4%) |
| Inferior | 259 (55,6%) | 260 (55,8%) |
| Afectación | n=466 (%) | |
| Afectación unilateral | 175 (37,6%) | |
| Afectación bilateral | 291 (62,4%) | |
| Distribución | n=466 (%) | |
| Distribución periférica | 417 (89,5%) | |
| Distribución central | 4 (0,9%) | |
| Distribución difusa | 45 (9,7%) | |
| Índice de gravedad radiográfico | n=466 (%) | |
| 1 | 141 (30,3%) | |
| 2 | 113 (24,2%) | |
| 3 | 81 (17,4%) | |
| 4 | 83 (17,8%) | |
| 5 | 28 (6%) | |
| 6 | 20 (4,3%) |
En cuanto a la distribución de los hallazgos en la radiografía de tórax, predominó la distribución periférica y la afectación bilateral: 417 casos (89,5%) mostraron una localización periférica, 45 casos (9,7%) una localización difusa tanto central como periférica y 4 de 466 casos presentaron una distribución central (0,9%). La afectación unilateral se encontró en 175 (37,6%) pacientes, mientras que 291 tenían afectación en ambos pulmones (62,4%) (tabla 3).
Por campos pulmonares, los más afectados fueron los medios e inferiores: el campo medio derecho en un 56,4%, el inferior derecho en un 55,8%; el medio izquierdo en un 57,5% y el inferior izquierdo en un 55,6%. La afectación del campo pulmonar superior derecho se encontró en un 20,4% de casos, mientras que la del superior izquierdo en un 12,2% (tabla 3).
Cuantificación de la gravedad de la afectación pulmonarDe los 761 pacientes, 295 (38,8%) no presentaban afectación radiográfica inicial (score 0); 141 (18,5%) pacientes presentaron un score de 1; 113 (14,8%) un score de 2 y 81 pacientes (10,6%) un score de 3. De los 131 pacientes restantes, el score fue 4 para 83 (10,9%) pacientes, 5 para 28 (3,7%) y 6 para 20 (2,6%) (tabla 3).
No hubo diferencias estadísticamente significativas del índice de gravedad radiográfico ni por sexo ni por grupos de edad; sin embargo, sí las hubo por valores de IMC (p<0,001), siendo mayor el IMC en pacientes con un score alto que en aquellos con un score bajo.
Se encontró una asociación directa estadísticamente significativa entre los días transcurridos desde el inicio de los síntomas y el score o índice de gravedad radiográfico (p<0,001). En los pacientes con síntomas de 0-2 días de evolución no se encontraron hallazgos en un 59,4% de los casos, porcentaje que disminuye progresivamente hasta el 24,6% en aquellos con síntomas de 9 o más días de evolución (fig. 3).
Relación porcentual entre los días transcurridos desde el inicio de los síntomas y el índice de gravedad radiográfico. En el eje x están representados cada uno de los índices de gravedad radiológicos (se combinaron los índices de gravedad 5 y 6 por el escaso número de pacientes). En el eje y está representado el porcentaje de pacientes con un determinado tiempo de evolución de los síntomas dentro de cada índice de gravedad.
Del total de 466 radiografías con hallazgos (61,2%), la frecuencia de vidrio deslustrado fue mayor en los índices de gravedad radiográficos bajos y fue decreciendo a medida que aumentaba la puntuación (p<0,001), mientras que ocurrió lo inverso con la consolidación pulmonar, que fue más frecuente a medida que aumentaba el índice de gravedad radiográfico (p<0,001) (fig. 4 y tabla 4).
A y B) Varón de 49 años, exfumador desde hace 5 años, con antecedentes de hipertensión arterial, dislipemia, cardiopatía hipertensiva, hiperuricemia, trasplante renal y tiroidectomía total por carcinoma papilar de tiroides. Acude por fiebre, tos seca y mialgias de 4 días de evolución. Datos de laboratorio: leucocitos 7.100/μL, linfocitos 600/μL (linfocitos/leucocitos 7,7%), plaquetas 140.000/μL, PCR 1,63mg/dL, dímero D 754 ng/mL y LDH 471 U/L. Radiografía de tórax posteroanterior del 16 de marzo de 2020 donde se observa una opacidad en vidrio deslustrado, periférica, en el campo medio derecho (score=1) (flecha). El paciente ingresó y en la radiografía de tórax del día 24 de marzo de 2020 se ve un claro empeoramiento radiológico con consolidaciones pulmonares bilaterales, más extensas (flechas), asociado a un incremento de las necesidades de oxigenoterapia. C y D) Mujer de 33 años, procedente de Guatemala, sin antecedentes personales de interés, que acude al servicio de urgencias derivada por su médico de atención primaria por tos y fiebre de 9 días de evolución. Analítica sanguínea: leucocitos 5.100/μL, linfocitos 1.400/μL (linfocitos/leucocitos 27,9%), plaquetas 224.000/μL, PCR 8,44mg/dL, dímero D 500 ng/mL y LDH 666 U/L. En la radiografía de tórax posteroanterior del 17 de marzo de 2020 se identifican consolidaciones pulmonares bilaterales, parcheadas y de predominio en los lóbulos inferiores (score=5) (flechas). La paciente ingresó y 2 días después presentó empeoramiento clínico y analítico, observándose en la radiografía del día 23 de marzo un empeoramiento radiológico, con confluencia de las consolidaciones previas.
Incidencia de vidrio deslustrado y consolidación pulmonar según el índice de gravedad radiográfico
| Vidrio deslustrado(n=466) | Consolidación(n=466) | ||||
|---|---|---|---|---|---|
| No | Sí | No | Sí | ||
| Índice de gravedad radiográfico | 1 | 79 | 62 | 111 | 30 |
| 2 | 48 | 65 | 62 | 51 | |
| 3 | 38 | 43 | 26 | 55 | |
| 4 | 55 | 28 | 16 | 67 | |
| 5+6 | 38 | 10 | 9 | 39 | |
| Total | 258 | 208 | 224 | 242 | |
Debido al escaso número de pacientes con un índice de gravedad elevado, se decidió combinar en una misma categoría los índices de gravedad de 5 y 6.
La asociación entre los valores analíticos obtenidos (leucocitos, linfocitos –valor absoluto y relativo–, plaquetas, PCR, dímero-D, LDH, ferritina y CK) y el índice de gravedad radiográfico de la afectación pulmonar en la radiografía de tórax inicial fue estadísticamente significativa en todos los casos. Todos los valores analíticos aumentaron conforme el índice radiográfico aumentaba, a excepción de dos parámetros, el recuento de linfocitos y el cociente linfocitos/leucocitos, cuyo valor disminuyó a medida que aumentaba la afectación radiológica. La significación estadística fue p<0,05 para las plaquetas, p<0,01 para los linfocitos y p<0,001 para el resto de los valores (tabla 5).
Valores medios de los parámetros analíticos según el índice de gravedad radiográfico
| Score radiográfico | 0 | 1 | 2 | 3 | 4 | 5+6 | valor de p | |
|---|---|---|---|---|---|---|---|---|
| Leucocitos | Mediana | 5.400 | 5.200 | 5.400 | 6.000 | 6.000 | 7.850 | <0,001 |
| RIC | 4.100-7.500 | 4.300-6.850 | 4.500-7.150 | 4.800-8.400 | 4.500-8.000 | 5.925-10.775 | ||
| Linfocitos | Mediana | 900 | 900 | 1.000 | 800 | 800 | 800 | 0,007 |
| RIC | 600-1.300 | 600-1.400 | 600-1.400 | 600-1.300 | 500-1.100 | 600-1.000 | ||
| Linfocitos (%) | Mediana | 17,6 | 18,4 | 18,1 | 14 | 12,1 | 10,6 | <0,001 |
| RIC | 10,7-24,2 | 11,9-25,2 | 13,6-25,6 | 9,6-20,8 | 8,5-19 | 6,6-14,3 | ||
| Plaquetas | Mediana | 171.000 | 163.000 | 180.000 | 187.000 | 185.000 | 195.000 | 0,028 |
| RIC | 139.000-223.000 | 127.500-212.000 | 137.000-218.000 | 147.000-224.500 | 149.000-257.000 | 151.000-235.750 | ||
| PCR | Mediana | 3,11 | 3,3 | 6,1 | 8,2 | 10,7 | 14,1 | <0,001 |
| RIC | 0,9-6,4 | 1,5-6,9 | 2,8-10,9 | 4,9-12,9 | 5,1-16,1 | 6,5-24,1 | ||
| Dímero D | Mediana | 624 | 564 | 672 | 648 | 580 | 1.013 | <0,001 |
| RIC | 389-1.202 | 374-877 | 403-1.139 | 443-969 | 444-1.101 | 783-1.867 | ||
| LDH | Mediana | 499 | 543 | 629 | 710 | 706 | 909 | <0,001 |
| RIC | 403-634 | 448-554 | 531-789 | 517-838 | 584-949 | 761-1.100 | ||
| Ferritina | Mediana | 323 | 355 | 551 | 618 | 477 | 907 | <0,001 |
| RIC | 142-791 | 165-711 | 250-974 | 349-1.072 | 206-919 | 404-1.737 | ||
| CK | Mediana | 85 | 93 | 116 | 127 | 85 | 183 | 0,001 |
| RIC | 61-150 | 53-169 | 64-214 | 73-220 | 61-155 | 74-370 |
Debido al escaso número de pacientes con un índice de gravedad elevado, se decidió combinar en una misma categoría los índices de gravedad de 5 y 6.
Se encontró en nuestro estudio una relación estadísticamente significativa entre la extensión de la afectación en la radiografía de tórax inicial y los parámetros analíticos estudiados, así como con los días de evolución desde el inicio de los síntomas. La necesidad de ingreso hospitalario fue mayor cuanto más alto fue el índice de gravedad radiográfico.
La fiebre y la tos fueron las manifestaciones clínicas encontradas más frecuentes seguidas de la disnea, los síntomas gastrointestinales y el dolor torácico.
El 38,8% de los pacientes sintomáticos con COVID-19 de nuestro estudio presentó una radiografía de tórax normal al diagnóstico y un 61,2% tenía hallazgos patológicos, porcentaje similar al de otras series, 60-91%15,20,21. La afectación pulmonar tenía un predominio bilateral, en los campos inferiores y en la periferia del pulmón, según lo descrito en la literatura médica15,18,22. La consolidación fue el hallazgo más común seguido de las opacidades en vidrio deslustrado, de acuerdo con lo publicado en otras series15. El 12% de nuestros pacientes presentaron una neumonía lobar, hallazgo que habitualmente sugiere una etiología bacteriana, a pesar de lo cual estos pacientes presentaron una PCR positiva y no se diagnosticó una infección bacteriana en el momento inicial. El derrame pleural fue un hallazgo infrecuente y en casi todos los casos, secundario a otra patología (antecedente de insuficiencia cardiaca, derrame pleural crónico ya existente en radiografías de tórax previas).
Diferentes autores han propuesto sistemas de puntuación de los hallazgos radiológicos tanto para la TC como para la radiografía de tórax, intentando graduar o cuantificar la extensión de la afectación pulmonar en los pacientes con COVID-19 y relacionarla con la evolución clínica de estos pacientes. Warren et al. utilizaron un índice de gravedad del edema pulmonar (RALE) que fue útil a la hora de cuantificar la gravedad del distrés respiratorio del adulto10. Posteriormente, otros autores han empleado una modificación de este sistema de puntuación para estimar la gravedad de la afectación pulmonar en pacientes con COVID-1914–16,23,24 o han creado un sistema de cuantificación propio como el de Borghesi et al.13, quienes observaron que el índice de gravedad radiológico era significativamente mayor (p≤0,002) en aquellos pacientes que fallecieron. Además, Xiao et al. identificaron una asociación estadísticamente significativa entre el índice de gravedad y la necesidad de intubación25.
Se ha descrito que aquellos pacientes con mayor edad y mayor número de comorbilidades presentan neumonías por SARS-CoV-2 más graves26. Toussie et al. observaron que los pacientes varones, de mayor edad y con mayor IMC presentaban un índice de gravedad mayor, mientras que Borghesi et al. observaron que el índice de gravedad era significativamente mayor en hombres y en el grupo de edad comprendido entre los 50 y los 80 años11,27. No obstante, en nuestro estudio no encontramos diferencias estadísticamente significativas entre el índice de gravedad radiográfico y la edad o el sexo de nuestros pacientes, pero sí con el IMC (p<0,001).
Se ha encontrado en nuestro trabajo una relación lineal directa significativa entre la existencia de consolidaciones pulmonares en la radiografía de tórax y un índice de gravedad radiográfico mayor, y una relación lineal inversa significativa entre la frecuencia de opacidades en vidrio deslustrado e índices de gravedad más bajos. Al igual que en el estudio de Toussie et al., también se observó una asociación directa significativa entre los días transcurridos desde el inicio de los síntomas y el índice de gravedad radiográfico, empeorando la puntuación a medida que aumentaban los días de evolución11. Esto es consistente con los estudios que han descrito los cambios temporales de los hallazgos pulmonares: el vidrio deslustrado es el patrón predominante al inicio de los síntomas, posteriormente progresa hacia un patrón mixto de atenuación en vidrio deslustrado y consolidación pulmonar alcanzando su máxima expresión los días 6.°-13.°. Finalmente, vuelve a predominar el vidrio deslustrado hasta su resolución. Un porcentaje de pacientes no evoluciona favorablemente y presenta signos de fibrosis pulmonar, con un grado de extensión variable23,28,29.
Los principales parámetros analíticos que se han relacionado con la gravedad de la neumonía COVID-19 y la evolución de estos pacientes son el aumento de la PCR (58,3-60,7%), del dímero-D (46,6%), de la LDH (41-57%) y la linfopenia (43-83,2%). También se ha descrito un aumento de los leucocitos, las plaquetas y la CK12,18,24. De hecho, Gatti et al. afirman que la LDH y la PCR son los principales predictores de hallazgos en la radiografía de tórax, con una sensibilidad del 90% si ambos parámetros están elevados17. En nuestro estudio, los pacientes con enfermedad más grave tenían alteraciones analíticas más acusadas que aquellos con enfermedad menos grave, observándose una asociación significativa entre los valores analíticos obtenidos y el índice de gravedad radiográfico. Todos los valores analíticos aumentaron conforme el score aumentaba, a excepción de dos parámetros, el recuento de linfocitos y el cociente linfocitos/leucocitos, cuyo valor disminuyó a medida que aumentaba la afectación radiológica.
Nuestro estudio tiene algunas limitaciones. En primer lugar, al ser un estudio retrospectivo y centrado en la primera época de la pandemia, no disponíamos de protocolos consolidados de informes radiológicos en pacientes con COVID-19 y tampoco se sabía con certeza qué parámetros eran más útiles en la analítica de sangre, por lo que existe un número importante de datos perdidos que han reducido la muestra final. No obstante, el tiempo transcurrido entre la realización de la radiografía de tórax y el análisis de sangre al diagnóstico fue siempre inferior a 24 horas. En segundo lugar, nuestro estudio presenta las limitaciones inherentes a la técnica radiológica empleada en la ejecución y la interpretación, en muchas ocasiones magnificadas por la situación clínica de estos enfermos.
Como conclusión, la radiografía de tórax es una técnica válida en la valoración inicial de pacientes con COVID-19, cuyos hallazgos deberían considerarse junto con los datos analíticos y clínicos a la hora de evaluar la evolución de estos pacientes, pues a mayor índice de gravedad radiográfico, mayor incidencia de ingreso hospitalario y parámetros analíticos más alterados.
Autoría- 1.
Responsable de la integridad del estudio: AB, BC.
- 2.
Concepción del estudio: AB, BC.
- 3.
Diseño del estudio: AB, ÁNM, SGP.
- 4.
Obtención de los datos: ÁNM, SGP, AV.
- 5.
Análisis e interpretación de los datos: MEFF.
- 6.
Tratamiento estadístico: MEFF.
- 7.
Búsqueda bibliográfica: AB.
- 8.
Redacción del trabajo: ÁNM, SGP.
- 9.
Revisión crítica del manuscrito con aportaciones intelectualmente relevantes: AB, BC.
- 10.
Aprobación de la versión final: AB, BC.
Los autores declaran no tener ningún conflicto de intereses.













