metricas
Sugerencias
Radiología Estudio radiológico de las duplicaciones del tracto urinario
Información de la revista
Vol. 47. Núm. 2.
Páginas 55-71 (Marzo 2005)
Compartir
Descargar PDF
Más opciones de artículo
Vol. 47. Núm. 2.
Páginas 55-71 (Marzo 2005)
Estudio radiológico de las duplicaciones del tracto urinario
Imaging Urinary Tract Duplications
Visitas
47945
Teresa Berrocala, Ana Alonsoa, Alberto Bravoa, Julia Gutiérreza, Luis de Pabloa
a Sección de Radiología Pediátrica. Hospital Universitario La Paz. Madrid. España. Madrid.
Este artículo ha recibido
Información del artículo
Resumen
Texto completo
Bibliografía
Descargar PDF
Estadísticas
Figuras (28)
Mostrar másMostrar menos
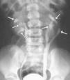
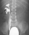
Objetivo: Ilustrar el espectro de hallazgos radiológicos de las duplicaciones del tracto urinario y mostrar la eficacia de los ultrasonidos, la cistouretrografía miccional seriada (CUMS), la urografía intravenosa (UIV), el estudio isotópico y la resonancia magnética (RM) en el manejo de estas entidades. Material y métodos: Hemos revisado retrospectivamente los hallazgos radiológicos de las duplicaciones del riñón, uréter, vejiga y uretra a partir de los datos de nuestro archivo de patología genitourinaria pediátrica. Todos los casos cuentan con estudio ecográfico, mientras que la CUMS, la UIV, el estudio isotópico y la RM se realizaron en función del tipo de duplicación. Hacemos hincapié en las bases embriológicas de los hallazgos radiológicos que, cuando fue posible, se cotejaron con los hallazgos anatomopatológicos. Resultados: Las duplicaciones completas o incompletas afectaron con más frecuencia al sistema pielocalicial y al uréter (pelvis renal bífida, uréter semibífido, uréter bífido bajo, duplicación ureteral completa y triplicación). Las duplicaciones vesicales se muestran en los planos sagital y coronal, aunque la forma más frecuente fue la división sagital con dos vejigas resultantes contiguas separadas por un pliegue peritoneal con tejido areolar fino. Las duplicaciones uretrales o las uretras accesorias se dieron fundamentalmente en el plano coronal; sin embargo, también describimos la duplicación en el plano sagital en ausencia de duplicación vesical. Mostramos un caso extremadamente raro de duplicación completa de uretra femenina. Conclusión: Mostramos una visión de conjunto de las duplicaciones del tracto urinario y discutimos la utilidad de varias técnicas de imagen disponibles. Dado que estas entidades tienen una apariencia radiológica característica, este artículo puede ser útil para comprender mejor estas anomalías.
Palabras clave:
Duplicación
Tracto urinario
Niños
Objective: To illustrate the spectrum of imaging findings for urinary tract duplications and to show the efficacy of ultrasonography (US), voiding cystourethrography (VCU), intravenous urography (IVU), scintigraphy, and magnetic resonance (MR) in the management of these entities. Material and methods: We have reviewed the imaging findings for cases of renal, ureteral, vesical, and/or urethral duplication from our pediatric genitourinary pathology archive. All patients underwent US examination; VCU, IVU, scintigraphy, and MR studies were performed in function of the type of duplication. We explain our findings within the framework of embryological development and correlate the imaging findings with the histopathologic findings whenever possible. Results: Complete or partial duplications most commonly affected the pyelocalyceal system or the ureters (bifid renal pelvis, bifid mid-ureter, low bifid ureter, complete ureteral duplication and triplication). Vesical duplications are shown in the sagittal and coronal planes, although the most common presentation was sagittal division resulting in two contiguous bladders separated by a peritoneal fold with thin areolar tissue. Ureteral duplication or accessory ureters were mostly seen in the coronal plane; however, we also describe duplication in the sagittal plane in the absence of vesical duplication. We show an extremely rare case of complete duplication of the female urethra. Conclusion: We provide an overview of the set of urinary tract duplications and discuss the usefulness of the different imaging techniques available for each type. As these entities have a typical radiological appearance, this article can help to understand these anomalies better.
Keywords:
Duplication, urinary tract, children

Artículo

Opciones para acceder a los textos completos de la publicación Radiología
Suscriptor
Suscriptor de la revista

Si ya tiene sus datos de acceso, clique aquí.

Si olvidó su clave de acceso puede recuperarla clicando aquí y seleccionando la opción "He olvidado mi contraseña".
Suscribirse
Suscribirse a:

Radiología

Comprar
Comprar acceso al artículo

Comprando el artículo el PDF del mismo podrá ser descargado

Comprar ahora
Contactar
Teléfono para suscripciones e incidencias
De lunes a viernes de 9h a 18h (GMT+1) excepto los meses de julio y agosto que será de 9 a 15h
Llamadas desde España
932 415 960
Llamadas desde fuera de España
+34 932 415 960
E-mail