El tratamiento más utilizado en la ascitis maligna de repetición es generalmente el drenaje peritoneal temporal. Presentamos nuestra experiencia en la colocación de catéteres tunelizados permanentes en una serie de pacientes y el análisis de la seguridad y efectividad del mismo.
Material y métodosEl procedimiento se llevó a cabo en una serie de 10 pacientes, con medidas de asepsia total, en la sala de ecografías dedicada a intervencionismo, únicamente con control ecográfico y bajo anestesia local.
ResultadosLos catéteres se mantuvieron permeables una mediana de 52 días en los 9 pacientes que fallecieron. A uno de estos pacientes se le retiró el catéter, que permanecía permeable, por una sepsis generalizada. Un paciente permanecía con el catéter permeable a la conclusión del estudio 124 días tras la colocación.
ConclusiónA pesar del escaso número de pacientes, el catéter peritoneal tunelizado parece ser un procedimiento seguro, efectivo y mínimamente invasivo para el tratamiento de la ascitis maligna en pacientes oncológicos terminales, facilitando la evacuación de la ascitis en el domicilio sin necesidad de acudir a un centro hospitalario y evitando punciones de repetición con el consiguiente riesgo para el paciente. No obstante, sería necesaria una mayor experiencia y estudios prospectivos aleatorizados.
The most common treatment in recurrent malignant ascites is generally temporary peritoneal drainage. We present our experience in placing permanent tunneled catheters in a series of patients and analyze the safety and efficacy of the treatment.
Material and methodsWe used total aseptic measures in the interventional ultrasonography suite to place permanent tunneled catheters in 10 patients under ultrasonographic guidance and local anesthesia.
ResultsThe catheters remained patent for a median of 52 days in the nine patients who died. In one of these, the catheter was withdrawn while still patent due to generalized sepsis. At the end of the study, one patient still had a permeable catheter 124 days after placement.
ConclusionAlthough the low number of patients in our series precludes generalizations, tunneled peritoneal catheters seem to be a safe and effective minimally invasive treatment for malignant ascites in terminal oncologic patients. This approach facilitates the draining of the ascites at home, obviating the need for repeated hospital visits and punctures and the risks involved therein. Nevertheless, further experience and prospective randomized trials are necessary.
La ascitis es una acumulación patológica de líquido en la cavidad peritoneal. Es una complicación frecuente de las enfermedades malignas intraabdominales que suele provocar síntomas y signos como distensión abdominal, náuseas, saciedad temprana, anorexia y en casos extremos síndrome de distrés respiratorio1,2. Generalmente la ascitis maligna es recurrente y estos pacientes necesitan someterse a paracentesis evacuadoras de repetición, lo que aumenta el riesgo de infecciones y los ingresos hospitalarios3.
Recientemente se han publicado estudios sobre la efectividad de los catéteres de drenaje permanentes para el tratamiento de la ascitis maligna4–9. En el presente trabajo exponemos nuestra experiencia y evaluamos la seguridad y efectividad de un catéter tunelizado de drenaje en 10 pacientes con enfermedad metastásica peritoneal y ascitis de repetición.
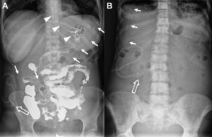
Material y métodosEl catéter tunelizado PleurX® (Denver Biomedical, Golden CO) es un catéter de silicona flexible de 15,5Fr de diámetro. Consta de un manguito de poliéster que se aloja en el tejido celular subcutáneo y que favorece la adhesión al mismo. En el extremo exterior el catéter consta de una válvula unidireccional que previene el paso de cualquier sustancia hacia la cavidad peritoneal. En el extremo interior, el catéter está fenestrado en los últimos 24cm. El catéter es fácilmente visible en estudios radiológicos (fig. 1).
A) Radiografía abdominal de la paciente número 4 donde se observa la porción intraperitoneal (flechas rectas) y externa del catéter tunelizado así como la válvula unidireccional (flecha hueca). Sonda nasogástrica (puntas de flecha). B) Radiografía abdominal de la paciente número 1 que muestra la posición intraperitoneal del catéter tunelizado (flechas rectas) y la porción externa del mismo con la válvula unidireccional (flecha hueca).
Se ha realizado un estudio observacional descriptivo de una serie de casos en el que se incluyeron a todos los pacientes que fueron remitidos a nuestro servicio de radiología para la colocación de un catéter tunelizado permanente entre el 15 de abril de 2009 y el 5 de febrero de 2010. Se analizaron la causa de la ascitis, el tiempo utilizado para el procedimiento, el dolor referido por el paciente durante el procedimiento (mediante la escala VAS), las complicaciones inmediatas y tardías, la permeabilidad mediana del catéter y la cantidad de ascitis drenada en sus hogares (por vía telefónica o en la consulta).
En este periodo se colocaron 10 catéteres permanentes tunelizados en 10 pacientes (tabla 1). La colocación del catéter se llevó a cabo según las instrucciones del fabricante en la sala de ecografías dedicada a intervencionismo con un transductor sectorial de 2 a 5MHz (Antares® de Siemens, Erlangen, Alemania), con medidas de asepsia y antisepsia.
Catéteres permanentes tunelizados en 10 pacientes
| Paciente | Edad | Sexo | Tumor primario | Dolor (0–10) | Días PleurX | Evolución |
| 1 | 60 | F | Mama | 0 | 58 | Retirada por sepsis generalizada |
| 2 | 40 | F | Gástrico | 0 | 91 | Fallecimiento con catéter permeable |
| 3 | 71 | M | Páncreas | 3 | 63 | Fallecimiento con catéter permeable |
| 4 | 60 | F | Gástrico | 0 | 35 | Fallecimiento con catéter permeable |
| 5 | 72 | F | Colangiocarcinoma | 0 | 113 | Fallecimiento con catéter permeable |
| 6 | 56 | M | Colangiocarcinoma | 0 | 52 | Fallecimiento con catéter permeable |
| 7 | 62 | F | Páncreas | 0 | 124 | Viva al terminar el estudio |
| 8 | 42 | F | Mama | 0 | 13 | Fallecimiento con catéter permeable |
| 9 | 60 | F | Colon | 0 | 27 | Fallecimiento con catéter permeable |
| 10 | 59 | M | Pulmón | 2 | 14 | Fallecimiento con catéter permeable |
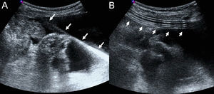
La inserción del catéter se realiza del siguiente modo: tras obtener el consentimiento informado y con el paciente en ayunas se estudia la distribución de la ascitis y se marcan dos puntos en la piel separados unos 7cm en una línea paralela al margen costal inferior, ya que una localización más caudal es incómoda cuando se utiliza cinturón (fig. 2). Se esteriliza la piel y se anestesia con 20cc de mepivacaína al 1% el punto medial, el punto lateral hasta el peritoneo y el trayecto subcutáneo entre ambos. Se accede a la cavidad peritoneal desde el punto lateral con una aguja del calibre 18G y se avanza una guía metálica de punta en J que se deja una vez retirada la aguja. Con un bisturí se abre un ojal de 1cm en sendos puntos de punción, para posteriormente avanzar el tunelizador unido al catéter desde el punto medial al lateral. Posteriormente se retira el tunelizador.
Por último se avanza el introductor pelable 16F por la guía metálica en el punto lateral (fig. 3), se retiran el dilatador y la guía y se avanza con rapidez el catéter a través del introductor pelable.
Una vez introducido el catéter (fig. 3) y comprobada la ausencia de acodaduras se procede a suturar las incisiones y asegurar el catéter con seda.
Durante la estancia hospitalaria se instruye a los pacientes y familiares sobre el manejo del catéter. Primero se debe descubrir el extremo externo del catéter y retirar el tapón protector. Se inserta el conector externo a otro catéter unido a la botella de vacío de 1litro y posteriormente se perfora la membrana de vacío que está en el cuello de la botella para que la ascitis salga por efecto del vacío. Cuando deja de salir ascitis, se pinza el catéter de la botella, se desconecta del catéter tunelizado y se procede a la limpieza y recolocación de este bajo un apósito cutáneo. En el domicilio el contenido de la botella se puede desechar por la cisterna y la botella con la basura orgánica.
ResultadosEn 9 de los pacientes la ascitis se desarrolló por la progresión peritoneal de su enfermedad de base. Solo en un paciente la ascitis fue provocada por hipertensión portal postsinusoidal debida a la compresión de las venas suprahepáticas por su enfermedad de base (colangiocarcinoma intrahepático) (tabla 1).
El tiempo medio de ocupación de sala fue de 50min. Todos los pacientes toleraron el procedimiento y posteriormente mostraron su satisfacción por la comodidad y confort aportados por el catéter al permitir la evacuación de la ascitis en el domicilio sin necesidad de acudir a un centro hospitalario y sin punciones de repetición. Dos pacientes refirieron molestias durante la colocación del catéter (3/10 y 2/10 en la escala VAS). No se registraron complicaciones durante ni inmediatamente después de la colocación del catéter.
Una paciente (número 1) ingresó en nuestro centro 58 días después de la colocación del catéter con una sepsis generalizada. Se le retiraron la cánula venosa unida a reservorio con acceso subclavio y el catéter tunelizado, que permanecía permeable. Estudios microbiológicos demostraron bacilos gram negativos (Serratia marcescens) en la sangre, líquido ascítico y en la cánula del reservorio venoso. Aunque el catéter tunelizado no se analizó, ni el punto de punción ni el trayecto tunelizado mostraban signos locales de infección. La paciente falleció 6 días después.
Los catéteres se mantuvieron permeables una mediana de 52 días (rango: 13–113 días) en los 9 pacientes que fallecieron. En el momento de la conclusión del estudio, un paciente seguía vivo, con permeabilidad del catéter 124 días después de la colocación.
Según los pacientes o sus familiares, la media de volumen drenado en sus hogares fue alrededor de 1l (1 botella de vacío) cada 2–10 días (tabla 1).
DiscusiónAscitis es la acumulación patológica de líquido en la cavidad peritoneal10. Alrededor del 10% de los casos están producidos por ascitis maligna, generalmente provocada por neoplasias ováricas (36,7%), hepatobiliares (31%) y del tracto gastrointestinal (26%)11. La presentación clínica más frecuente es un abdomen distendido con dificultad respiratoria, fiebre y dolor, vómitos, saciedad temprana, disnea, edema de extremidades inferiores y ganancia de peso1,2.
Hay muchas causas de ascitis en pacientes oncológicos como carcinomatosis peritoneal, linfangitis carcinomatosa, trombosis portal, hipertensión portal, afectación metastásica hepática masiva, fallo cardíaco congestivo o peritonitis, entre otras1. Los implantes peritoneales producen ascitis exudativa con aumento de las proteínas en el líquido ascítico. La linfangitis carcinomatosa produce obstrucción del drenaje linfático peritoneal, ocasionando ascitis quilosa. La hipertensión portal causada por tumores primarios o metástasis hepáticas múltiples, trombosis portal y cirrosis puede provocar una ascitis trasudativa5.
La esperanza de vida de los pacientes con ascitis maligna es baja, con una supervivencia de 2 a 6 meses desde el diagnóstico de la ascitis maligna5,6,11,12, por lo que el tratamiento debe ser mínimamente invasivo y permitir una pronta alta hospitalaria. De hecho, la supervivencia mediana de nuestros 10 pacientes fue de 53 días, a la conclusión del estudio.
La paracentesis constituye un tratamiento paliativo para estos pacientes12–14. El drenaje repetido de grandes volúmenes de ascitis se ha asociado con reducciones significativas de los niveles de proteínas séricas. En nuestro centro el tratamiento de reposición de proteínas se realiza con infusión intravenosa de albúmina (6–8g/l de líquido ascítico extraído) o con Dextrano 40 salino (100ml/l de líquido ascítico extraído), solamente en aquellas ocasiones en las que se evacuan más de 3–5l de ascitis, dependiendo de la situación del paciente15.
El alivio de los síntomas después de la paracentesis generalmente es inmediato pero, debido a que generalmente la ascitis se desarrolla de nuevo rápidamente, la mejoría sintomática es de corta duración. Por ello, los pacientes precisan acudir con relativa frecuencia a un centro hospitalario para repetir la paracentesis2,12–14. Diferentes estudios han comprobado que tras el drenaje de líquido ascítico, el 90% de los pacientes refiere que los síntomas vuelven a aparecer rápidamente, provocados por la reaparición de la ascitis1,13.
Las opciones paliativas de la ascitis maligna a largo plazo incluyen las derivaciones peritoneo-venosos (shunts de LeVeen y de Denver) y las válvulas peritoneo-auriculares, que requieren cirugía y hospitalización, aunque evitan la pérdida de proteínas que ocurre en las paracentesis de repetición. Lorentzen propuso una derivación peritoneo-gástrica y también se ha descrito un método peritoneo-vesical4,8,14,16. Aun así la calidad de vida con cualquiera de estos tratamientos no ha demostrado ser superior a la de los pacientes tratados con paracentesis de repetición6,14. Debido al creciente número de referencias que describen el uso de catéteres tunelizados permanentes4–9 y a que la utilización de tubos de drenaje convencionales de forma permanente no es una opción segura, se creyó conveniente probar estos catéteres. Además en nuestro centro hay experiencia en la colocación del catéter que analizamos para el drenaje de derrames pleurales malignos17.
La utilización de catéteres abdominales tunelizados para el drenaje de ascitis maligna ha sido descrita previamente4–9 y realizada con sedación, a diferencia de nuestro trabajo, en que se realizó exclusivamente con anestesia local4,6,8. La dosis administrada fue de 20cc de mepivacaína al 1%, dosis siempre inferior a la máxima recomendada (5mg/kg)18. El fin de la realización de un trayecto tunelizado es reducir el riesgo de peritonitis. La colocación percutánea de catéteres tunelizados de drenaje con guía radiológica (fluoroscopia y/o ecografía) ha sido utilizada con éxito por otros autores4–9, pero no hemos encontrado ninguna referencia en la bibliografía sobre la colocación de un tubo de drenaje peritoneal tunelizado únicamente con guía ecográfica.
En varios estudios con catéteres tunelizados permanentes, se ha demostrado un aumento de la calidad de vida de los pacientes, alivio sintomático y se ha constatado el escaso dolor durante el procedimiento y la ventaja de poder evacuar periódicamente el líquido ascítico sin acudir a un centro hospitalario4–8. En nuestra serie no se observaron infecciones relacionadas con el catéter y todos los pacientes destacaron la comodidad del drenaje permanente que permite el drenaje en sus domicilios y evita punciones de repetición.
Las mayores limitaciones de este estudio son el escaso número de pacientes y la ausencia de un grupo control, por lo que no puede llegarse a conclusiones generalizables. A pesar de esto y dados los resultados, parece plausible que la colocación de un catéter peritoneal tunelizado pueda ser un procedimiento seguro, efectivo y mínimamente invasivo para el tratamiento de la ascitis maligna en pacientes oncológicos terminales, facilitando la evacuación de la ascitis en el domicilio sin necesidad de acudir a un centro hospitalario y evitando punciones de repetición con el consiguiente riesgo para el paciente. No obstante sería necesaria una mayor experiencia en series con más pacientes y la realización de estudios prospectivos aleatorizados.
AutoríaRamón Saiz Mendiguren y José Juan Noguera han intervenido en la obtención de datos y redacción del trabajo. Miren Gómez-Ayechu, Carolina Marginet y Amaia Gracía-Lallana han contribuido en la concepción y diseño del estudio, así como a su revisión crítica. David Cano y Alberto Benito han contribuido a la revisión crítica del trabajo y han dado su aprobación final a la versión que se envía a la revista Radiología para publicar.
Todos los autores han leído y aprueban la versión final del artículo.
Conflicto de interesesLos autores declaran no tener ningún conflicto de intereses.



