Un paciente de 65 años se presenta en la clínica con el deseo de una prótesis completa. No se observan en el paciente restricciones debidas a enfermedad.
Proyecto
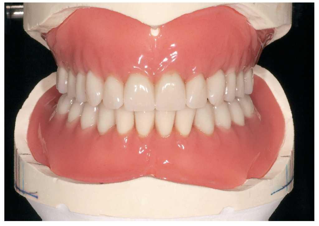
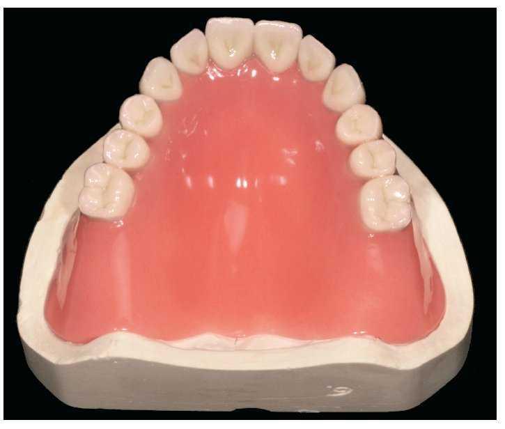
Conforme al nuevo principio de Gerber se montan 24 dientes, en caso de que la medición del modelo no aconseje otra cosa. Se utilizan dientes de resina de Candulor para un principio de mano de mortero. El montaje de Gerber ofrece un montaje de los dientes posteriores estáticamente favorable y adecuado a la cresta alveolar. Se procura un equilibrio bilateral dentro de un campo de movimiento determinado y se ofrece así, con una rehabilitación mediante prótesis completa de ambos maxilares, una oclusión equilibrada bilateralmente implementada por los dientes con relieve cuspídeo reducido, lo cual representa el concepto más prometedor.
Tiempo necesario
Material necesario
¿ Dientes de resina Candulor
¿ Resina protésica de color gingival (Candulor)
¿ Cera de montaje
¿ Silicona para llaves
Fotodocumentación
Fotodocumentación
La autora
Martina Ruth, nacida el 25/2/1984 en Müllheim, después de completar su formación escolar general obteniendo su certificado de enseñanza media en 2001, cursó formación como protésica dental hasta 2004 en la firma Zahntechnik Woerner GmbH en Friburgo, donde mantuvo una relación laboral fija hasta final de 2009. Durante los primeros nueve meses del año 2010 trabajó en el laboratorio de clínica del Dr. Klöpel en Heitersheim, y desde el 1/10/2010 trabaja en el laboratorio dental Hasenböhler en Basilea, Suiza. Además, ha adquirido los siguientes conocimientos especiales: en 2003 Diplôme d'Études en Langue Française (DELF) «1er Degré», en 2005-2006 examen de aptitud como instructor y formación continua como técnica superior, entre 2007 y 2009 Teoría y práctica en la Cámara de Artesanía de Friburgo.
Correspondencia
Martina Ruth
Danziger Straße 14, 79395 Neuenburg, Alemania.
Correo electrónico: martina_ruth@gmx.de















