La prótesis completa es uno de los temas que despiertan más pasión y aversión. Con frecuencia, una vez concluida la formación, para muchos se termina también la relación con el tema de las prótesis. Por un lado, el deseo de convertirse en un ceramista aventajado constituye seguramente el estímulo de la mayoría de los protésicos dentales. Una motivación esencial para esta decisión profesional es, además de la imagen, la mala remuneración. Sin duda no hace falta discutir el hecho de que la legislación no actúa de forma especialmente social a este respecto. Simplemente, no es justo que alguien se pase toda la vida contribuyendo solidariamente a la sociedad y al final reciba unas «migajas». ¿Tiene que ser así? ¿Tiene una prótesis completa que ser inmediatamente reconocible?
Numerosos factores, tales como la elección de dientes artificiales de aspecto natural y resinas de color de encía, desempeñan un papel esencial en la confección de una prótesis completa «invisible».
Los dientes
El desarrollo no ha permanecido estancado, y de vez en cuando aparece un artículo especializado o de prensa dedicado a la prótesis completa. Es digno de celebrar el hecho de que los dientes artificiales han experimentado una importante transformación en los últimos años. Algunos de los requisitos planteados a un diente anterior artificial moderno revisten gran importancia para la confección de una prótesis estética. Todos los trabajos aquí presentados han sido confeccionados empleando las formas V de la serie Tribos-501 (Gebdi, Engen, Alemania).
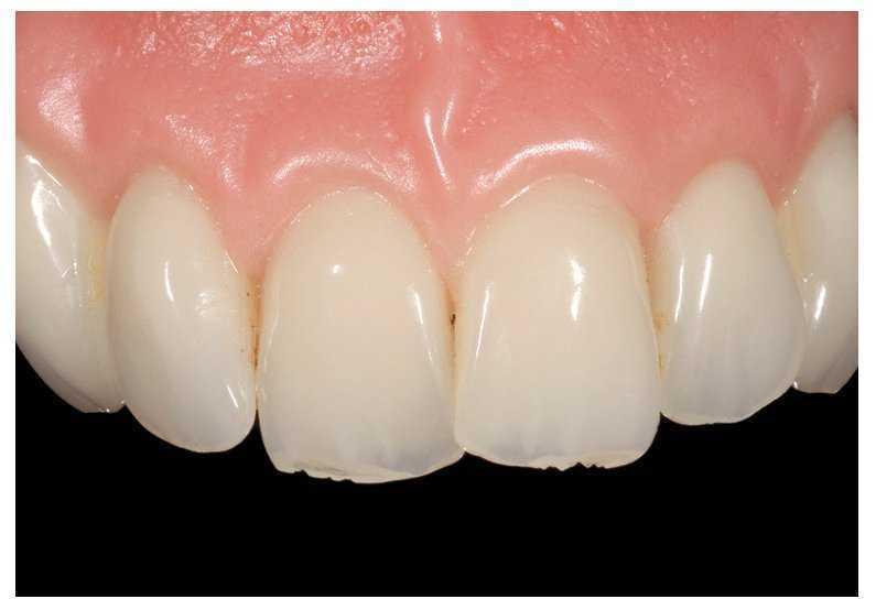
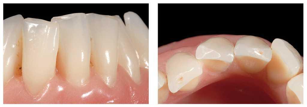
El cierre proximal es uno de los factores más importantes en este contexto (figs. 1 a 15), puesto que el famoso «triángulo negro» constituye siempre una característica negativa en una prótesis completa. Este «triángulo negro» no puede evitarse ni tan siquiera utilizando la estética rosa, ya que si se cierran estos triángulos con resina rosa se obtiene un aspecto poco natural.
Fig. 1 Mediante un montaje ligeramente rotado de los dientes puede lograrse una mayor naturalidad.
Fig. 2. En este caso pudo conseguirse un cierre proximal.
Figs. 3 y 4. Incluso sin tallado, estos dientes posibilitan unas rotaciones pronunciadas.
Fig. 5. La existencia de «triángulos negros» no es inevitable.
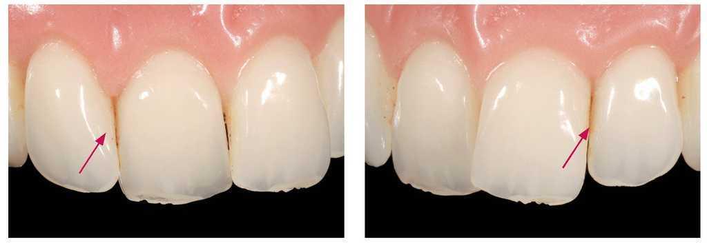
Figs. 6 a 9. La superficie proximal en la zona distal presenta una dimensión suficiente tanto por mesial como por distal.
Fig. 10. El lado rotado hacia fuera del incisivo central presenta una papila más alta.
Figs. 11 y 12. Papilas cortas pese a un «apiñamiento» pronunciado.
Fig. 13. El recorrido desigual del borde marginal refuerza la naturalidad.
Aunque se escojan dientes más grandes y se tallen por proximal para aproximar más los cuellos dentales, pocas veces se obtiene un resultado satisfactorio, toda vez que las formas ofrecidas suelen ser demasiado pequeñas.
La resina
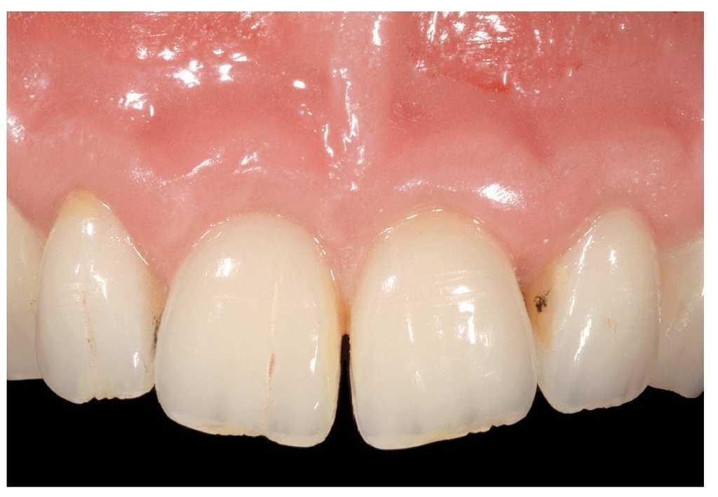
Estamos de acuerdo en que es necesaria la coloración, pero ésta no constituye por sí misma una garantía de una estética rosa perfecta. Para ocultar eficazmente cuellos dentales o elementos constructivos, se necesita un material de base muy opaco (figs. 16 a 22).
Fig. 16. Gracias al uso de un material opaco, son visibles los cuellos dentales. La encía sana y tirante en la zona del cuello dental es clara y blanquecina.
Fig. 5. La existencia de «triángulos negros» no es inevitable.
Figs. 17 y 18. A continuación, por debajo, sigue la «zona roja».
Figs. 19 a 22. La encía debería dotarse de una textura suave, como la de una piel de naranja. A menudo, los pliegues palatinos requieren cierta habituación.
Ya se ha escrito mucho acerca de métodos de confección, y sin duda la discusión al respecto todavía se prolongará durante mucho tiempo. Cada cual tiene sus preferencias. Yo soy partidario de la técnica de vaciado, dado que en este procedimiento puedo transferir 1:1 a resina mi modelado anatómico. Además es uno de los métodos más rápidos que conozco.
El paciente
A fin de cuentas, también hay que pensar en el paciente, y éste tiene derecho a una sonrisa natural. El paciente debería tener la oportunidad de elegir entre «seguro» y «privado». En mi primer año de estudios, mi ya fallecido mentor (Ernst Hofmann, Hamburgo, Alemania) me preguntó a propósito de uno de mis trabajos: «¿Le colocaría esta prótesis a su abuela?». Como aquí se pone de manifiesto, hasta el día de hoy no he olvidado esta frase, y nunca lo haré.
Si contamos con los conocimientos necesarios acerca de los dientes artificiales modernos y las resinas con encía de aspecto natural, también debemos ofrecerle este estándar de calidad al paciente de edad avanzada (figs. 23 a 28).
Figs. 23 a 28 (página opuesta). Si a continuación se procede al modelado de la anatomía de los dientes y la prótesis completa se integra en el entorno oral, el paciente acepta esta prótesis y recupera parte de su calidad de vida.
Conclusión
Ahora o nunca, ¿cuándo empezaremos si no ahora? Las nuevas generaciones de dientes artificiales y los modernos materiales de base nos brindan la oportunidad de desarrollar a partir del «pariente pobre», la prótesis completa, un nuevo y atractivo ámbito de actividad. Quien quiera una prestación del seguro puede recibirla, pero ¿qué paciente se conforma con eso? Como ya dijo el escritor Erich Kästner: «¡No hay nada bueno, a no ser que se haga!». En este sentido, espero haberle animado en alguna medida a simplemente intentarlo.
Correspondencia
ZTM Jan Schünemann.
Lifestyle Dentistry.
Lipper Hellweg 29, 33604 Bielefeld, Alemania.
Correo electrónico: jan.schuenemann@lifestyle-dentistry.com














