Los movimientos anormales hipercinéticos incluyen corea, distonías, mioclonías, temblor, balismo y tics, y pueden ser secundarios a diversas causas tratables, como trastornos metabólicos. El síndrome hemicorea-hemibalismo es una manifestación poco frecuente en los pacientes con diabetes mellitus tipo 2 y control metabólico deficiente.
Presentación del casoSe reporta el caso de una mujer de 67 años con diabetes mellitus tipo 2 de larga evolución y hemoglobina glucosilada del 19%, quien presentó movimientos hipercinéticos en el hemicuerpo izquierdo. La resonancia magnética mostró hiperintensidad en T1 del putamen derecho, compatible con estriatopatía metabólica. La paciente mejoró tras el control glucémico y el tratamiento con haloperidol.
ConclusiónLa disquinesia inducida por hiperglucemia es una condición reversible con un adecuado control metabólico. Es fundamental reconocer esta entidad para evitar estudios innecesarios y optimizar el manejo terapéutico.
Hyperkinetic abnormal movements include chorea, dystonias, myoclonus, tremor, ballismus, and tics, and may be secondary to various treatable causes, such as metabolic disorders. Hemichorea-hemiballismus syndrome is a rare manifestation in patients with type 2 diabetes mellitus and poor metabolic control.
Case presentationWe report the case of a 67-year-old woman with long-standing type 2 diabetes mellitus and glycated hemoglobin of 19%, who presented hyperkinetic movements in the left side of the body. Magnetic resonance imaging showed T1 hyperintensity of the right putamen, compatible with metabolic striatopathy. The patient improved after glycemic control and treatment with haloperidol.
ConclusionHyperglycemia-induced dyskinesia is a reversible condition with adequate metabolic control. It is essential to recognize this entity to avoid unnecessary studies and optimize therapeutic management.
Los movimientos anormales hipercinéticos, incluyen: la corea, las distonías, las mioclonías, el temblor, el balismo y los tics. Estos trastornos del movimiento pueden ser secundarios a numerosas causas tratables y reversibles, dentro de las cuales destacan las causas metabólicas1.
El síndrome de hemicorea hemibalismo (SHH) puede ocurrir en pacientes con diabetes mellitus tipo 2 (DM2), rara vez en pacientes con diabetes mellitus tipo 1, de larga data y pobre control metabólico2. A continuación se presenta un caso de una paciente de 67 años quien se presentó con movimientos hipercinéticos en el hemicuerpo izquierdo, los cuales mejoraron tras el control metabólico y el uso de un antagonista dopaminérgico.
Presentación del casoSe presenta el caso de una mujer de 67 años con antecedentes de hipertensión arterial y DM2 de 17 años de evolución, con pobre adherencia al tratamiento farmacológico. Consulta a un hospital regional de segundo nivel por un cuadro de 12 días de evolución caracterizado por movimientos involuntarios. Los síntomas iniciaron en la mano izquierda y progresaron a la pierna ipsilateral. La paciente no identificó los factores desencadenantes o atenuantes. Los movimientos cesaban durante el sueño profundo, pero su intensidad dificultaba la conciliación del sueño.
En el centro de remisión, fue evaluada por el servicio de endocrinología, que documentó una hemoglobina glucosilada del 19%. Se inició tratamiento con insulina y ácido valproico para el control de los movimientos involuntarios. Ante la persistencia de los síntomas y la falta de disponibilidad de neuroimagen, la paciente fue referida a nuestra institución.
Al ingreso, se encontraba en condiciones generales aceptables. Se evidenciaron movimientos anormales limitados al hemicuerpo izquierdo, caracterizados por ser irregulares, arrítmicos y breves, con episodios ocasionales de movimientos más amplios y violentos que cruzaban la línea media.
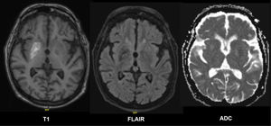
Se realizó una resonancia magnética cerebral (RMC) bajo sedación debido a su inquietud motora. La RMC mostró hiperintensidad en secuencia T1 del estriado, predominantemente en el putamen derecho, sin restricción en difusión, hallazgos compatibles con estriatopatía de origen metabólico (fig. 1).
Hiperintensidad en secuencia T1 del estriado, predominantemente en el putamen derecho. Secuencia fluid attenuated inversion recovery (FLAIR) con hipointensidad en putamen derecho. Coeficiente de difusión aparente (ADC) sin evidencia de restricción a la difusión. Hallazgos compatibles con estriatopatía diabética.
Se solicitaron estudios complementarios, incluyendo pruebas de función renal y hepática, así como estudios carenciales e infecciosos, todos dentro de parámetros normales o negativos. Se indicó haloperidol para el control sintomático, con mejoría parcial en la frecuencia y amplitud de los movimientos, aunque sin resolución completa, de los síntomas. Durante la hospitalización, se logró un adecuado control glucémico, lo que permitió el egreso de la paciente con un esquema de hipoglucemiantes orales.
DiscusiónLa diabetes mellitus es una enfermedad frecuente y con una alta carga de morbilidad. Se proyecta que para el año 2050, más de 1,31 mil millones de personas tendrán diabetes, con tasas de prevalencia que superarán el 10% en varias regiones del mundo3. A pesar de la alta frecuencia de esta enfermedad, la estriatopatía diabética (ED) tiene una prevalencia de tan solo un caso por cada 100.000 personas, esto probablemente en relación al subdiagnóstico, ya que la mayoría de los clínicos no están familiarizados con esta entidad4.
La ED fue descrita por primera vez en el año 2009 por Abe et al., en una serie de casos de 6 pacientes5. La manifestación patognomónica de la ED son movimientos coreiformes, hiperglicemia y el aumento de la señal en la secuencia de T1 en el putamen contralateral, sin edema circundante ni efecto de masa, también, aunque en menor frecuencia se puede encontrar este aumento de la señal en el núcleo caudado y el globo pálido6.
El síndrome SHH es la manifestación más frecuente dentro del espectro de los trastornos del movimiento presentes en la ED, configurando hasta el 69,5% de los casos, seguido por otras fenomenologías como: la corea pura, la coreoatetosis, el espasmo hemifacial, la distonía y el síndrome de piernas inquietas, entre otros7.
Hay limitados reportes de caso en la literatura y menos aún series de casos, existen dos series de casos, con 20 y 25 casos, respectivamente, con una predominancia femenina del 55 y 64%, respectivamente y edades de presentación en promedio de 67,8 y 735 años y niveles de hemoglobina glicosilada promedio del 13,5%89. La paciente reportada en este caso, una mujer, en su séptima década de la vida y con pobre control metabólico y diabetes de larga evolución, concuerda con el perfil clínico descrito en estas series.
La fisiopatología de esta condición no está del todo establecida, algunos autores proponen un «octeto ominoso» secundario a injuria isquémica debida a una reducción del flujo sanguíneo cerebral por la hiperosmolaridad secundaria a la hiperglicemia. Esto provocaría una cascada patológica así: primero acumulación de gemistocitos debido a eventos isquémicos, segundo, hemorragia petequial, tercero, deposición de metahemoglobina, cuarto, deposición mineral, quinto, edema citotóxico, sexto, mielinólisis, séptimo, gliosis y octavo, atrofia6.
El tratamiento de la ED radica en el control de la hiperglicemia y trastornos hidroelectrolíticos, en caso de estar presentes, el primer síntoma en remitir con la corrección de la hiperglicemia es la corea en uno de cada 4 casos, pero la mayoría de los pacientes requerirá de otros medicamentos para el control de los síntomas motores2.
En un metaanálisis se identificó, el tratamiento con haloperidol como la terapia sintomática más frecuente. Con esta intervención y el control metabólico el 61,29% de los pacientes tuvo remisión completa de los síntomas, el 35,48% tuvo mejoría significativa de los síntomas y uno de los pacientes presentó corea refractaria, por lo que fue tratado satisfactoriamente con una talamotomía ventrolateral10. Otros fármacos utilizados en ED son la tetrabenazina, la risperidona y el clonazepam. Una vez conseguido el control metabólico se espera una reversión de los hallazgos en la RMC en promedio, después de 8 meses de un adecuado control metabólico5.
ConclusiónEl pobre control metabólico puede ser una causa tratable y reversible de los trastornos del movimiento hipercinéticos, Los cuales pueden ser detectados sobre la base de una adecuada historia clínica, examen neurológico y correcta interpretación de las imágenes diagnósticas disponibles.
FinanciaciónLos autores declaran no haber recibido financiación para la realización de este caso clínico.
Conflicto de interesesLos autores declaran no tener ningún conflicto de intereses.




