La encefalopatía hipóxico-isquémica puede manifestarse con signos radiológicos que aportan información relevante sobre el pronóstico. Entre ellos se describe el signo del cerebelo blanco o cerebelo denso, asociado a daño e hipodensidad difusa de los hemisferios cerebrales, lo que genera la impresión de un cerebelo hiperdenso en las imágenes. Este hallazgo se vincula a daño cerebral irreversible y, por ende, a un mal pronóstico neurológico1. Describimos los casos e imágenes de dos pacientes con traumatismos encéfalo-craneanos graves, cuyos estudios de neuroimagen muestran hallazgos compatibles con este signo.
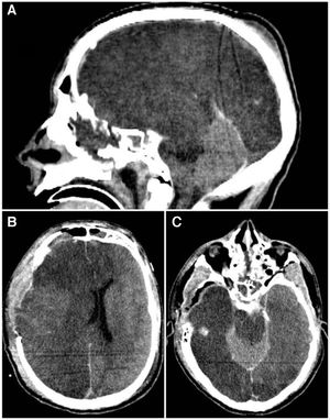
El primer paciente, de 29 años, presentó un politraumatismo tras una caída desde 2,5 metros. Al ingreso, presentaba Glasgow 3, pupilas anisocóricas y ausencia de respuesta motora al dolor. La tomografía de cráneo (TC) inicial evidenció hipodensidad supratentorial difusa, desdiferenciación de la sustancia gris-blanca, borramiento de surcos, colapso de cisternas peritroncales y un cerebelo hiperdenso en cortes sagitales. El paciente falleció tras 4 días de internación por shock refractario (fig. 1).
A) TC de cerebro corte sagital que demuestra el signo del cerebelo blanco, asociado a hipodensidad del tronco encefálico. B) TC de cerebro corte axial que evidencia desviación de la línea media por edema hemisférico derecho. C) TC de cerebro corte axial con evidencia de hiperdensidad relativa del cerebelo en relación a los hemisferios cerebrales.
El segundo paciente, varón de 40 años, fue derivado tras un accidente vehicular. Ingresó con Glasgow 6 e intubación orotraqueal. Estaba bajo asistencia respiratoria mecánica, sin fármacos sedativos, con pupilas midriáticas arreactivas, ausencia de reflejos vestibuloculares, corneanos, cilioespinales y respuesta motora al dolor, solo con reflejo tusígeno mantenido. La TC de cráneo mostró desviación de línea media de 6mm, contusiones hemorrágicas bifrontales y temporales, hemorragia subaracnoidea difusa, hematoma subdural laminar izquierdo, edema cerebral posterior con colapso de cisternas peritroncales y foco hemorrágico en protuberancia, compatibles con herniación central y hemorragias de Duret. Tras una prueba de apnea positiva, se diagnosticó muerte encefálica y se activó el protocolo de donación de órganos (fig. 2).
El signo del cerebelo blanco, también llamado signo de reversión, es un hallazgo raro descrito mayormente en contextos de traumatismo craneal grave, asfixia, ahogamiento, estatus epiléptico o hipoxia tras paro cardiorrespiratorio. Se observa una inversión de las densidades de sustancia gris y blanca por edema supratentorial difuso, mientras el cerebelo y el tronco se preservan2.
El edema cerebral difuso ocurre en el 10-20% de las lesiones encefálicas graves y es más frecuente en niños (relación 2:1)2. Este hallazgo se asocia con alta mortalidad o secuelas neurológicas graves; un tercio de los pacientes fallece y el resto presenta importantes déficits3.
FinanciaciónNinguna.
Conflicto de interesesNinguno para declarar.





