Sr. Editor:
El síndrome de Joubert (OMIM 213300) es un desorden raro autosómico recesivo, cuyo locus se encuentra en el cromosoma 9q, y se caracteriza por ataxia, retardo en el desarrollo psicomotor, anomalías oculares y respiratorias, relacionadas con disgenesia del vermis cerebelar y mesencéfalo. Actualmente es incluido en el espectro malformativo de síndromes cerebelooculorrenales (SCOR)1. Característicamente se observa en la resonancia magnética (RM) de cerebro una imagen conocida como “el signo del molar”2.
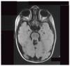
Comunicamos el caso de un varón de 2 años de edad, remitido con historia de hipotonía y retardo en el desarrollo psicomotor. Al examen físico en la consulta de genética se encuentra: pliegue epicántico bilateral, abombamiento frontal, occipucio prominente, labio superior triangular, paladar ojival, polidactilia postaxial en mano izquierda, además de hipotonía. Con estos hallazgos, se solicitó una RM de cerebro, la cual mostró el signo clásico “del molar” (fig. 1), por ausencia de vermis cerebeloso, con lo cual se hizo el diagnóstico clínico de síndrome de Joubert. En estudios complementarios, la valoración por oftalmología fue informada como normal y las pruebas de función hepática estaban elevadas.
Marie Joubert, una neuróloga francesa, fue la primera en comunicar este síndrome en 5 pacientes que presentaban trastornos de la respiración y movimientos oculares anormales, ataxia, retardo mental asociados con agenesia del vermis cerebeloso3. Maria et al4 propusieron los criterios diagnósticos para el síndrome de Joubert: hipotonía, ataxia, retardo general del desarrollo y signo del molar.
El signo del molar se observa en los cortes axiales de neuroimágenes, como la tomografía computarizada y la RM de cerebro, y se caracteriza por una fosa interpeduncular posterior profunda, pedúnculos cerebelares superiores engrosados y elongados, además de hipoplasia o agenesia del vermis cerebeloso1.
El pronóstico de estos pacientes es pobre, con una tasa de sobrevida a 5 años solamente del 50%5. Estos pacientes son más susceptibles a los efectos depresores del sistema respiratorio por medicamentos anestésicos, como los opioides y el óxido nitroso, por lo cual el uso de estos agentes anestésicos debe evitarse6. La asesoría genética para este síndrome es necesaria pues hay riesgo de recurrencia del 25% para cada siguiente embarazo.




