Los quistes aracnoideos son colecciones de líquido cefalorraquídeo (LCR) rodeadas por una membrana aracnoidea indistinguible histológicamente de la aracnoides sana1. Radiológicamente se comportan como lesiones extraaxiales con contenido líquido, que muestran las mismas características que el LCR en las diferentes secuencias de la resonancia magnética (RM) y no captan contraste. La mayoría tiene un origen congénito, aunque se han descrito casos secundarios a procesos infecciosos o traumáticos. Su localización más habitual es en el compartimento supratentorial2, siendo raros los quistes aracnoideos espinales. La mayoría se diagnostican de forma incidental al realizar una prueba de neuroimagen. Cuando son sintomáticos, las manifestaciones clínicas dependerán de su localización y tamaño; en el caso de los quistes espinales lo habitual es que provoquen síntomas por compresión a nivel local, como radiculopatía o mielopatía3, siendo la cefalea un síntoma muy infrecuente, y en especial la cefalea paroxística asociada al esfuerzo.
Presentamos el caso de un varón de 39 años con antecedentes de episodios de lumbalgia sin ciatalgia de años de evolución. Consulta por presentar desde hace 5 meses episodios de cefalea al agacharse y realizar maniobras de Valsalva. El dolor lo define como opresivo, de intensidad severa; se inicia en la región occipital con irradiación a al vértex y cede en minutos con el reposo. No náuseas, vómitos, ni alteraciones de la visión. Exploración general y neurológica normal.
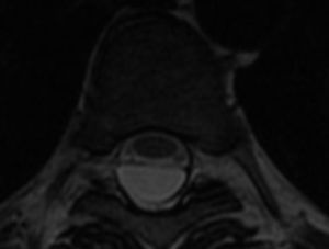
Mediante RM craneal con y sin contraste y angio-RM venosa se descartaron lesiones ocupantes de espacio, alteraciones de la charnela occipitocervical, trombosis de senos venosos y captaciones patológicas de contraste. Se realizó punción lumbar, que muestra LCR de aspecto claro con presión de apertura de 15cm de agua, acelular, glucorraquia normal y proteínas elevadas (81mg/dl). Se completó el estudio con RM medular, objetivándose colecciones líquidas sugestivas de quistes aracnoideos, intradural desde el nivel T1-T2 hasta T9 (fig. 1) y extradural (fig. 2) desde T11 hasta L5, que ocasionan desplazamiento anterior de la médula y de las raíces de la cola de caballo; no se objetivó realce tras la administración de contraste. El paciente desestimó tratamiento quirúrgico.
Son excepcionales los casos descritos en la literatura de cefalea paroxística desencadenada por maniobras de Valsalva, o al adoptar determinadas posturas corporales, secundaria a quistes aracnoideos espinales; se ha demostrado que la cefalea es debida a elevaciones transitorias de la presión intracraneal4. La capacidad para expandirse del espacio subaracnoideo espinal, la compresión del sistema venoso cerebroespinal y el flujo del LCR entre los compartimentos intracraneal y espinal son fundamentales para proteger el cerebro de las elevaciones transitorias de la presión intracraneal (PIC). Los aumentos de presión en la cavidad abdominal o torácica se transmiten al plexo venoso espinal extradural ocasionando aumento del volumen en el compartimento vascular intraespinal5 que es compensado inmediatamente por la distensibilidad del espacio subaracnoideo, evitando el aumento de la PIC. Cuando los quistes aracnoideos espinales son de gran tamaño se comportan como una lesión ocupante de espacio, que altera la dinámica de flujo del LCR impidiendo la expansión del espacio subaracnoideo que actúa como reservorio elástico amortiguando las variaciones fisiológicas de la presión intracraneal6.
Se ha comunicado la rotura de quiste aracnoideo espinal como causa de hipotensión-hipovolemia de LCR7,8 y casos de cefalea de esfuerzo, sin claro componente ortostático, como manifestación principal de la misma9. Los estudios de RM espinal en pacientes con hipotensión de LCR frecuentemente muestran dilatación de los plexos venosos y colecciones líquidas en espacio epidural10. En el caso que se presenta, la presión de apertura del LCR era normal, la RM craneal no mostraba realce meníngeo, descenso de amígdalas cerebelosas ni obliteración de cisternas periquiasmáticas o prepontinas, descritos como signos indirectos de hipotensión intracraneal, lo que hace improbable que esta fuese la causa de la cefalea.
Ante una cefalea de esfuerzo es obligada la realización de una RM craneal para descartar lesiones focales, malformaciones de charnela occipitocervical o signos que sugieran hipovolemia de LCR. En casos seleccionados, según síntomas clínicos o resultados de pruebas complementarias, es recomendable completar el estudio con una RM medular.
FinanciaciónEste trabajo no ha recibido financiación.
Este trabajo ha sido presentado como póster en la LXV Reunión anual de la Sociedad Española de Neurología en el área de Cefaleas.





