La rinosinusopatía puede condicionar, sin tratamiento o cuando este es ineficaz, una importante morbimortalidad1. Las complicaciones asociadas a una tórpida evolución dependen fundamentalmente de la afección de estructuras adyacentes; la cavidad orbitaria, por su peculiar conformación, es la estructura anatómica más susceptible. Presentamos a una paciente con neuritis óptica derecha secundaria a rinosinusopatía homolateral.
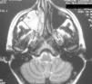
Paciente de 27 años de edad sin antecedentes de interés que ingresó procedente de urgencias por dolor retroocular de 5 días de evolución que se incrementaba con los movimientos oculares, asociado en las últimas horas a limitación del campo visual derecho. La exploración neurológica y el fondo de ojo fueron compatibles con la normalidad, a excepción del escotoma ya referido. El estudio campimétrico realizado puso de manifiesto una pérdida del campo visual derecho. En los estudios de neuroimagen —tomografía computarizada (TC) maxilofacial (fig. 1) y resonancia magnética (RM) cerebral, secuencias ponderadas en T1, T2, DP y flair(fig. 2)—, se objetivó lesión ocupante de espacio en el seno maxilar, frontal, celdas etmoidales y fosa nasal derechas. La rinofibrolaringoscopia confirmó una colección de moco y pus en las cavidades paranasales derechas. Con el diagnóstico de rinosinusopatía y neuropatía óptica por vecindad, se inició antibioterapia vía oral, que mejoró los síntomas de la paciente y normalizó el estudio campimétrico.
La cavidad orbitaria está compuesta por siete huesos distintos: frontal, zigomático, maxilar, etmoides, esferoides, lagrimal y palatino. Esta estructura anatómica limita caudalmente con el seno maxilar, el seno frontal y la fosa craneal anterior a nivel craneal y por último con las celdillas etmoidales a nivel medial. Las paredes óseas entre la órbita y las celdillas (lámina papirácea) y el seno maxilar (suelo de la órbita) son extremadamente delgadas, hecho que favorece la propagación de infecciones en esa área, sobre todo desde las celdillas etmoidales a través de sistemas venosos carentes de válvulas. Los signos y síntomas del paciente traducen los diferentes grados de afección orbitaria (musculatura ocular externa, nervio óptico, etc.), así como las diferentes estrategias terapéuticas. La rinosinusitis puede dar lugar a complicaciones locales, orbitarias, intracraneales y a distancia. Las principales complicaciones orbitarias siguiendo la clasificación de Chandler2 son el edema inflamatorio, la celulitis orbitaria, el absceso subperióstico, el absceso orbitario y la tromboflebitis del seno cavernoso, aun cuando esta última sería intracraneal. Los estudios diagnósticos requieren habitualmente la realización de una TC de senos paranasales de alta resolución, una rinofibrolaringoscopia que confirme desde el punto de vista anatomopatológico la naturaleza inflamatoria-infecciosa del proceso ocupante de espacio y una cuidadosa evaluación de la movilidad ocular y de la agudeza visual. En determinados casos y en función de la estructura anatómica implicada, es preciso un abordaje multidisciplinario3, tal y como sucedió en el caso que se presenta, así como un tratamiento agresivo y precoz con el objeto de evitar la progresión de la enfermedad y minimizar las posibles secuelas. Una terapia antibiótica específica en esta paciente fue suficiente para mejorar no sólo los síntomas, sino también el estudio campimétrico. Concluimos destacando la importancia de la rinosinusopatía en el diagnóstico etiológico de las neuritis ópticas y la necesidad de un abordaje precoz para frenar su progresión y las eventuales complicaciones.





