La leucoencefalopatía multifocal progresiva (LMP) es una enfermedad desmielinizante del sistema nervioso central causada por la reactivación del virus John Cunningham (JC) en pacientes inmunodeprimidos1. El tratamiento con agentes inmunosupresores en pacientes con neoplasias hematológicas predispone a desarrollar esta enfermedad2, mientras que es excepcional que el diagnóstico de una LMP preceda al de la neoplasia. A continuación presentamos el caso de una LMP como forma de presentación de un linfoma sistémico.
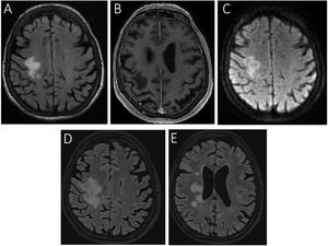
En marzo de 2020, una mujer de 74años ingresó en nuestro hospital por debilidad muscular progresiva en la extremidad superior izquierda de dos meses de evolución. En la exploración física se observó una hemiparesia izquierda y una parálisis facial central ipsilateral. La analítica sanguínea mostró una leve anemia (Hb 11,9g/dl), así como una elevación de la velocidad de sedimentación globular (VSG) (62mm/h) y beta-2-microglobulina (6.789μg/l). La resonancia magnética (RM) craneal puso de manifiesto una alteración de señal en el lóbulo frontal derecho, con una difusividad aumentada, aunque sin realce tras la administración de contraste (fig. 1 A, B y C). La paciente fue dada de alta con el diagnóstico de ictus isquémico y se inició tratamiento rehabilitador. Dos meses después reingresó por empeoramiento de la hemiparesia. En una nueva RM craneal se constató una progresión de la lesión descrita inicialmente (fig. 1 D, E). Se realizó una determinación de PCR de virus JC en líquido cefalorraquídeo (LCR), que fue positiva. Se inició tratamiento con mirtazapina 15mg/24h y citalopram 20mg/24h, que no produjeron mejoría clínica.
Imágenes de RM craneal potenciadas en axial T2 FLAIR, T1 gadolinio y difusión.
La imagen en corte axial FLAIR (A), T1 gadolinio (B) y difusión (C) en el momento del primer ingreso de la paciente muestra una alteración de señal en la región perirrolándica derecha, con extensión al centro semioval. No se observa realce tras la administración de contraste y la difusividad se encuentra aumentada. Dos meses después (D) se observa un crecimiento de la lesión inicial, con extensión al cuerpo calloso y a la cápsula interna, además de apreciarse pequeñas lesiones satélites en la sustancia blanca adyacente (E).
Ante la sospecha de una enfermedad neoplásica subyacente, se realizó una TC toracoabdominal, que puso de manifiesto una esplenomegalia y conglomerados adenopáticos abdominales y pélvicos, sugestivos de un proceso linfoproliferativo. Finalmente, tras la realización de una biopsia muscular inguinal, la paciente fue diagnosticada de un linfoma noHodgkin tipoB de alto grado. No se planteó administrar tratamiento quimioterápico por el empeoramiento progresivo que estaba presentando la paciente. No obstante, se inició una perfusión bisemanal de cidofovir a dosis de 5mg/kg. Durante el tratamiento, la paciente presentó una mejoría parcial del déficit motor. Una nueva RM craneal mostró una leve reducción del tamaño de las lesiones. Tras 8meses de tratamiento con cidofovir y dado que el estado clínico de la paciente había mejorado de forma significativa, se decidió iniciar un ciclo de quimioterapia con ciclofosfamida, doxorubicina, vincristina y prednisolona. En una punción lumbar de control llevada a cabo días antes de iniciar la quimioterapia se apreció una reducción significativa del número de copias del virus JC en el LCR (710UI/ml, previo 15.960UI/ml). Sin embargo, 14meses tras el inicio de los síntomas, la paciente falleció a causa de una hemorragia intracraneal masiva.
DiscusiónPresentamos el caso de una paciente en la que la LMP llevó al diagnóstico de una neoplasia hematológica. Consideramos que el linfoma sistémico causó un estado de inmunosupresión que predispuso a la LMP, puesto que la paciente no había recibido ningún tratamiento inmunosupresor. Se planteó el diagnóstico diferencial con una diseminación cerebral del linfoma, por el aumento de la restricción a la difusión de las lesiones, pero el tratamiento con cidofovir produjo una mejoría clínica de la paciente y de las lesiones radiológicas, además de reducir de forma significativa la carga viral del virus JC en el LCR.
La mayoría de las personas se infectan de forma asintomática por el virus JC durante la infancia, permaneciendo el virus posteriormente en un estado de latencia1. En personas con un estado de inmunosupresión celular el virus infecta y destruye los oligodendrocitos, provocando una desmielinización progresiva de la sustancia blanca cerebral3. Los pacientes con neoplasias hematológicas son el mayor grupo de riesgo para desarrollar LMP, tras los infectados por VIH. Además de la propia inmunosupresión causada la enfermedad oncohematológica, la quimioterapia y los tratamientos inmunosupresores empeoran el estado inmunológico de estos pacientes. Un estudio retrospectivo llevado a cabo en un centro oncológico recoge los datos clínicos de 16 pacientes con algún cáncer hematológico diagnosticados de LMP entre los años 2000 y 2015. Todos los pacientes, salvo uno, habían recibido tratamiento quimioterápico previamente2. Todavía es más excepcional que el diagnóstico de la LMP preceda al de la neoplasia (tabla 1). Como puede observarse en la tabla mencionada, nuestra paciente presenta una supervivencia algo superior respecto a pacientes de características similares.
Casos en los que la leucoencefalopatía multifocal progresiva precede al diagnóstico de la neoplasia hematológica
| Sexo/edad | Tipo de neoplasia hematológica | Tiempo de latencia entre el diagnóstico de LMP y la neoplasia hematológica | Tratamiento | Supervivencia desde el diagnóstico de LMP | |
|---|---|---|---|---|---|
| Viallard J.F. (2005)4 | H/61 | Linfoma T angioinmunoblástico | 6 meses | Cidofovir, ciclofosfamida, vincristina y prednisona | 9 meses |
| Bruce D.R. (2014)6 | H/70 | Leucemia linfática crónica | Simultáneo | Ninguno | 2 meses |
| Caso presentado | M/74 | Linfoma no Hodgkin de alto grado tipo B | 3 meses | Cidofovir, ciclofosfamida, doxorubicina, vincristina y prednisolona | 14 meses |
H: hombre; LMP: leucoencefalopatía multifocal progresiva; M: mujer.
En lo que respecta al tratamiento, las opciones son limitadas y raramente se han obtenido resultados clínicos satisfactorios3,4. El pronóstico general en esta población es infausto, con una mortalidad del 90% aproximadamente a los 2meses del diagnóstico5,6.
Como conclusión, nuestro caso demuestra que la LMP puede ser la forma de presentación de una neoplasia hematológica y subraya la importancia de realizar un estudio tumoral en pacientes con LMP sin ninguna causa de inmunosupresión aparente.
Consentimiento informadoSe obtuvo por escrito el consentimiento informado de la paciente para la publicación de este caso.
FinanciaciónLa presente investigación no ha recibido ayudas específicas provenientes de agencias del sector público, sector comercial o entidades sin ánimo de lucro.
Conflicto de interesesLos autores declaran no tener ningún conflicto de intereses.





