El estado protrombótico es una manifestación documentada de la infección por SARS-CoV-2, principalmente en los casos más graves de pacientes ingresados en la unidad de cuidados intensivos (UCI). Los mecanismos por los que se produce no se conocen completamente, si bien se ha descrito que podría provocar disfunción endotelial, exceso de trombina e inhibición de la fibrinolisis1. Entre las complicaciones trombóticas más frecuentes se incluyen el tromboembolismo pulmonar, el infarto de miocardio, el ictus isquémico y hemorrágico, que aparecen 1-2 semanas tras el diagnóstico2. La trombosis venosa cerebral (TVC) ha sido descrita en pequeñas series de casos1,3, pero en registros más amplios de pacientes hospitalizados con COVID-19 no se reportan4,5. El hecho de que la presentación clínica de la TVC sea variable; desde cefalea, síntomas focales, crisis epilépticas hasta alteración del nivel de conciencia6, podría inducir al infradiagnóstico o el retraso diagnóstico en infectados por SARS-CoV-2, ya que entre sus manifestaciones clínicas se ha documentado sintomatología neurológica variada4,5,7. Describimos a continuación un caso de TVC secundaria a infección por SARS-CoV-2.
Mujer de 36 años con antecedentes de asma bronquial y encefalopatía hipóxica perinatal con discapacidad leve. Acude a urgencias por progresiva hipoactividad y postración en domicilio, donde lleva 8 días confinada por PCR de exudado nasofaríngeo SARS-CoV-2 positiva, sin otros síntomas referidos. A su llegada presenta saturación de oxígeno del 89%, que no mejora con oxigenoterapia a alto flujo, por lo que se procede a intubación orotraqueal e ingreso en la UCI. La radiografía de tórax muestra una neumonía intersticial bilateral. En el análisis sanguíneo destacan linfopenia y D-dímero 25.830,0ng/ml.
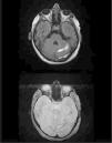
El día 11.° del ingreso se realiza ventana de sedación, presentado la paciente apertura ocular espontánea con disfasia motora leve y hemiparesia derecha de predominio braquial. En una TAC craneal urgente con contraste se descubren defectos de repleción en los senos venosos sagital superior, recto, transverso y sigmoide izquierdos, en relación a la TVC, e infartos en región frontotemporal y hemisferio cerebeloso izquierdos con áreas hemorrágicas. Se inicia tratamiento con heparina de bajo peso molecular y se completa estudio con RM craneal y angio-RM venosa cerebral que confirma el diagnóstico (figs. 1 y 2). En el estudio de hipercoagulabilidad destaca una determinación de anticoagulante lúpico positiva. Dada la presencia de componente hemorrágico en el infarto cerebral y la evidencia disponible8, se decidió continuar tratamiento anticoagulante con dabigatrán. En las semanas posteriores en planta presenta una evolución lentamente progresiva con estabilidad respiratoria, iniciándose tratamiento rehabilitador con tendencia a la mejoría de la hemiparesia y recanalización parcial de la TVC con control de la RM a los 2 meses, sin otras complicaciones.
Angio-RM cerebral que muestra trombosis venosa extensa, que afecta a senos longitudinal superior, transverso y sigmoide de ambos hemisferios (A). Control en un mes (B) con recanalización parcial del seno longitudinal superior, transverso y sigmoide izquierdos tras tratamiento con dabigatrán.
Consideramos que la TVC de la paciente se desarrolló como complicación de la infección por SARS-CoV-2, que activa la inflamación sistémica y promueve el estado de hipercoagulabilidad, sin olvidar que en estos pacientes la deshidratación inducida por la infección y el estasis sanguínea debido a la inmovilidad prolongada puedan participar como mecanismos adicionales1. Además, en el estudio analítico encontramos anticuerpos anti-fosfolípido, de significado incierto y transitorios, que también han sido referidos en publicaciones previas10. En nuestro caso optamos por la anticoagulación oral de la paciente con dabigatrán por haber demostrado menor tasa de complicaciones hemorrágicas intracraneales y eficacia en el tratamiento de la TCV8, dado que ya presentaba complicación hemorrágica del infarto cerebeloso, sin observar complicaciones y con buena evolución radiológica.
Hasta el momento, y a pesar de la alta prevalencia de complicaciones trombóticas en pacientes COVID-19, solo han sido documentados escasos casos de TVC1,3. En amplias series españolas4,5 no se describieron en la primera ola de contagios casos de TVC. En nuestro caso, a pesar de que la paciente acudió con bajo nivel de alerta progresivo y D-dímero muy elevado9, no fue hasta la estabilización respiratoria cuando se pudo realizar el diagnóstico y, por tanto, el tratamiento. Esta presentación y demora podrían apoyar la hipótesis de un infradiagnóstico de la TVC en pacientes con infección por SARS-CoV-22.
Por tanto, recomendamos tener en cuenta la posibilidad de complicaciones trombóticas venosas intracraneales en pacientes con infección viral por SARS-CoV-2 en pacientes con empeoramiento del nivel de conciencia o aparición de síntomas focales subagudos o progresivos que no cumplan un territorio arterial definido.
FinanciaciónNo se ha recibido financiación para la realización de este trabajo.


