En España, la prueba del virus de la inmunodeficiencia humana (VIH) es gratuita; sin embargo, el 45,9% de las personas diagnosticadas en 2019 presentó diagnóstico tardío1. Se ha descrito una elevada frecuencia de oportunidades perdidas para adelantar el diagnóstico de la infección por el VIH2. El diagnóstico tardío se asocia con infecciones oportunistas, como la leucoencefalopatía multifocal progresiva (LMP), causada por el virus John Cunningham (JC). La LMP se caracteriza por lesiones cerebrales que, en imagen por resonancia magnética (IRM), se aprecian como desmielinizantes, sin efecto masa, sin realce con gadolinio y con predilección por los lóbulos occipitales y parietales. Los síntomas má s frecuentes son pérdida de fuerza, ataxia, déficit visual y alteraciones cognitivas3. El único tratamiento eficaz es la terapia antirretroviral (TAR), pero en el 15-30% de los casos aparece un síndrome inflamatorio de reconstitución inmune (SIRI), consistente en un empeoramiento clínico paradójico, mediado por el incremento de la respuesta inflamatoria4. El SIRI-LMP se relaciona con la rapidez de ascenso de los linfocitos CD4 tras iniciar la TAR, conlleva una elevada mortalidad (28%) y puede generar secuelas invalidantes3.
Presentamos un caso de diagnóstico tardío de infección por el VIH y LMP, que cursó con complicaciones graves relacionadas con el SIRI y discutimos sobre la presentación clínica y el tratamiento.
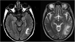
Mujer de 45 años con antecedentes de depresión y múltiples visitas a Urgencias, hospitalizada con el diagnóstico de brote psicótico. Presentaba una actitud oposicionista, delirios de persecución, alucinaciones auditivas y agitación. No mejoró con fá rmacos antipsicóticos. La exploración neurológica fue normal. Se detectó linfopenia (600/mm3) y el test del VIH resultó positivo (carga viral superior a 1.000.000 copias/mL y recuento de linfocitos CD4+ 60 células/mm3). La IRM cerebral mostró una lesión hipointensa-T1 e hiperintensa-T2, localizada en sustancia blanca temporo-occipital izquierda y parietal derecha, sin restricción a la difusión y sin efecto masa (fig. 1a). Se detectó ADN del virus JC en líquido cefalorraquídeo (LCR) y se descartaron otras infecciones. Se diagnosticó LMP.
Se inició TAR (tenofovir-alafenamida, emtricitabina y bictegravir) y la sintomatología psiquiá trica remitió. Fue dada de alta asintomá tica. Un mes después, los linfocitos CD4+ eran 274/mm3 y la carga viral era indetectable. Dos meses tras iniciar la TAR, refería pérdida progresiva de visión. La IRM objetivó un aumento de las lesiones con efecto expansivo (fig. 1b), se descartó patología ocular y, con el diagnóstico de probable SIRI, se inició tratamiento con dexametasona (4 mg/12 h) durante tres semanas; posteriormente, se redujo la dosis hasta suspender en cuatro semanas. Cuatro meses tras iniciar la TAR, la paciente ingresó por convulsiones y ceguera incapacitante. Con pruebas de imagen y estudio de LCR, se descartaron otras causas, se asumió SIRI y se reinició dexametasona (4 mg/8 h). Se controlaron las convulsiones, pero persistió el déficit visual (OD -10,5 y OI -9,5). La paciente fue ingresada en un centro sociosanitario.
Aunque son frecuentes las alteraciones cognitivas, la psicosis es una manifestación inusual de LMP, con pocos casos publicados3,5.
Los glucocorticoides (GC) son el tratamiento de elección del complejo SIRI-LMP. En los pacientes con VIH y tuberculosis meníngea, con un riesgo estimado de SIRI del 18% y una mortalidad atribuida de 2%, se indican GC de modo adyuvante desde el inicio6. El papel central de la respuesta del hospedador en la patogénesis de las enfermedades infecciosas (marco daño-respuesta de Pirovski-Casadevall7) y la analogía con la tuberculosis meníngea y la neumonía por Pneumocystis jirovecii, invita a que se planteen nuevas estrategias terapéuticas para el complejo LMP-SIRI, que podrían incluir el uso preventivo de GC desde el inicio de la TAR. En casos de pacientes hematológicos, los GC pueden ser eficaces en la LMP8. Un aspecto en contra del uso preventivo de los GC es que reducen la respuesta linfocitaria T-CD8+ frente al virus JC9, pero un uso precoz y prolongado puede asociarse a un mejor pronóstico10.
El presente caso ejemplifica la dificultad del diagnóstico del VIH en personas con síntomas psiquiá tricos y nos ilustra sobre la utilidad de solicitar el VIH de forma sistemá tica. Por otro lado, tras iniciar la TAR ante una LMP-VIH, debe monitorizarse cuidadosamente al paciente y, en caso de SIRI, dadas las potenciales secuelas irreversibles, se debe valorar el uso precoz y prolongado de GC.




