Sr. Editor:
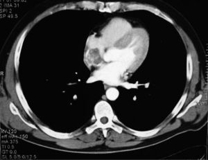
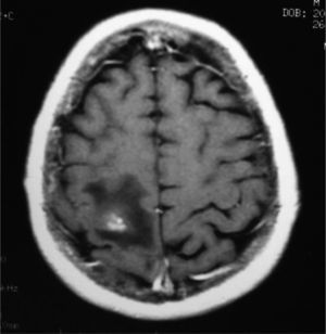
Los tumores primarios cardíacos son una entidad poco común. Su incidencia varía entre el 0,0017 y el 0,033% según las series consultadas1,2. En autopsias sistemáticas se encuentran en el 0,2% de los casos y la mayoría son benignos (90%)1. Entre los tumores cardíacos primitivos malignos destacan, por su frecuencia, los sarcomas (76-78%), y el angiosarcoma es el más frecuente en adultos1–3, que predomina entre la segunda y la quinta década de la vida3 y en el sexo masculino2–4. Dos tercios de los angiosarcomas se localizan en la aurícula derecha aun cuando tienen mejor pronóstico los alojados en la aurícula izquierda. Caso clínico: varón caucásico de 45 años de edad, sin alergias conocidas ni antecedentes personales de interés. Ex fumador de 10 cigarrillos desde hace 2 años. Sin hábitos tóxicos. En su historia familiar destaca el fallecimiento de su padre a los 57 años por neoplasia gástrica, el de su madre a los 65 años por melanoma con enfermedad ósea diseminada, el de su hermano a los 45 años por neoplasia de pulmón, su hermana a los 42 años por metástasis cerebral con neoplasia de pulmón primaria y otra hermana a los 57 años por sarcoma hepático. Encontrándose previamente bien presentó crisis focal (clonía del hemicuerpo izquierdo) con posterior generalización. En la exploración neurológica se objetivó disartria y paresia crural distal izquierda (4/5) con Babinski. La auscultación cardíaca fue rigurosamente normal. En las pruebas complementarias realizadas no se observaron alteraciones significativas en hemograma, bioquímica, inmunidad, coagulación ni gasometría arterial. Las serologías realizadas para descartar lesiones cerebrales de origen infeccioso (VIH, citomegalovirus, toxoplasma) fueron negativas. Se objetivó elevación de la enolasa sérica (33,6ng/ ml) con normalidad de los demás marcadores tumorales. Las pruebas de neuroimagen realizadas (tomografía computarizada [TC] y resonancia magnética [RM] cerebral) (fig. 1) revelaron una imagen compatible con metástasis única parietal derecha con pequeña hemorragia concomitante. Una TC torácica (fig. 2) reveló nódulos pulmonares metastásicos y una tumoración en la aurícula derecha informada en el ecocardiograma como imagen neoformativa de 59 × 42 × 30mm, redondeada, amplia base de implantación, densidad variable, bordes policíclicos con pequeñas zonas móviles en su superficie. El resto del estudio (broncoscopia, gammagrafía ósea, colonoscopia, pruebas funcionales respiratorias) fue normal. La biopsia de un nódulo pulmonar mediante toracoscopia fue compatible con angiosarcoma cardíaco en estadio IV. El paciente fue tratado con radioterapia holocraneal y quimioterapia paliativa con taxol semanal a dosis de 127,5mg, descartándose la cirugía, y falleció a los pocos meses por complicaciones infecciosas secundarias. El angiosarcoma cardíaco, por su baja frecuencia y su dificultad diagnóstico-terapéutica, supone un reto clínico importante. Dadas su agresividad y la frecuencia de metástasis al diagnóstico, las opciones de tratamiento son limitadas2. La mayoría de las veces es asintomático hasta fases avanzadas del proceso5. La clínica de presentación es muy variada, bien por crecimiento local del tumor (alteración del flujo cardíaco o de la función valvular) que va afectando al pericardio y estructuras vecinas (pericarditis, taponamiento cardíaco, arritmias, embolia tumoral) o bien por su extensión a distancia2–5. Las metástasis son frecuentes al diagnóstico de la enfermedad y los pulmones, hígado y cerebro son las localizaciones más habituales2, hecho que empeora de forma clara el pronóstico1,4,5. La supervivencia de los pacientes oscila en 9–12 meses tras el diagnóstico si no se puede resecar el tumor1,3. En general, el desarrollo de las pruebas de imagen (TC helicoidal y RM) ha mejorado el diagnóstico antes de la cirugía1,5. El tratamiento indicado de forma generalizada en pacientes sin enfermedad a distancia es la cirugía resectiva radical en combinación con quimioterapia y/o radioterapia adyuvante1,2. Algunos autores proponen el trasplante cardíaco como alternativa quirúrgica; sin embargo, las supervivencias obtenidas no difieren de las conseguidas con cirugía convencional1,2,5.





