Los espacios perivasculares o de Virchow-Robin (EVR) hacen referencia al espacio que rodea la pared de los vasos que nutren el parénquima cerebral, conformando un medio separado del espacio subaracnoideo. En resonancia magnética (RM), los EVR dilatados se observan típicamente como imágenes de morfología redondeada o lineal, con una intensidad de señal igual a la del líquido cefalorraquídeo (LCR) en todas las secuencias. Por lo general, el parénquima que rodea estos espacios no muestra alteraciones en su intensidad de señal. Aunque suelen aparecer en localizaciones típicas (ganglios basales, sustancia blanca subcortical, mesencéfalo), pueden hacerse evidentes en prácticamente cualquier localización1.
La dilatación de los EVR es un hallazgo frecuente en las pruebas de neuroimagen, si bien se ha descrito su mayor prevalencia en las personas de mayor edad o con enfermedad de pequeño vaso, asociándose a infartos lacunares y leucoencefalopatía vascular2,3. Pese a ello, el mecanismo por el que se producen es todavía hoy una incógnita, existiendo diversas teorías: aumento de la permeabilidad de la pared arterial, alteraciones en el drenaje del LCR, elongación espiral de los vasos sanguíneos y atrofia cerebral… Además, se ha descrito una correlación entre la aparición de EVR dilatados y trastornos neuropsiquiátricos, esclerosis múltiple, lesión traumática cerebral o enfermedades con afectación microvascular1,4. Algunas de estas situaciones son patológicamente equiparables a los efectos inducidos por el tratamiento radioterápico, como pueden ser edema de la sustancia blanca, desmielinización, cambios fibrinoides en los vasos sanguíneos, necrosis coagulativa y quistes con licuefacción central y gliosis periférica5. Recientemente también la radioterapia (RT) cerebral se ha propuesto como causa probable de la aparición de los EVR dilatados6,7.
Presentamos el caso de un varón de 63 años que acudió al servicio de urgencias por una crisis epiléptica en 2012, refiriendo episodios similares de crisis de ausencia en los meses previos, sin otros antecedentes personales de interés. Se realizó una tomografía computarizada (TC) craneal urgente, poniéndose de manifiesto una lesión intraaxial en el lóbulo frontal derecho. Posteriormente se completó el estudio mediante RM y toma de biopsia, que confirmó el diagnóstico de astrocitoma difuso con focos de transformación a astrocitoma anaplásico. Cuatro meses después el paciente inició tratamiento con quimioterapia (temozolamida) y RT, recibiendo una dosis total de 60Gy a fracciones de 2Gy/día entre octubre y noviembre de 2012. Posteriormente se realizó seguimiento clínico por el servicio de oncología y de neuroimagen mediante RM.
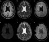
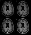
El paciente ha seguido controles mediante RM craneal, y en el estudio realizado en 2017 se detectó una lesión quística de nueva aparición en la corona radiata derecha, objetivándose un crecimiento progresivo en sucesivos controles (fig. 1). La exploración clínica del paciente no mostró ningún déficit o alteración neurológica de nueva aparición. Se trata de una lesión quística y septada, isointensa al LCR en todas las secuencias; sin gliosis ni edema circundante, sin restricción de la difusión ni realce tras la administración de contraste. Está situada en el campo de irradiación, y se encuentra rodeado de múltiples focos hemorrágicos puntiformes, visibles en secuencias de susceptibilidad magnética, en la sustancia blanca adyacente8 (fig. 2).
Imágenes potencias en T1-3D SPGR tras la administración de contraste intravenoso en 4 controles realizados en 2017, 2018, 2019 y 2020 (sucesivamente imágenes a-d). Se aprecia crecimiento progresivo de una lesión redondeada en corona radiada derecha, isointensa al LCR y sin realce parietal.
Estado de la lesión en RM de 2020. La imagen muestra secuencias T1-3D SPGR sin contraste (a), T2-TSE (b), T2-FLAIR-3D (c), Difusión b:1000 (d), mapa ADC (e) y susceptibilidad magnética (f). La lesión es isointensa al LCR en T1 y T2 (a, b), suprime señal en T2-Flair (C), lo que sugiere agua libre en su interior, sin edema ni gliosis periféricos, y presenta difusión facilitada (d, e). En secuencia de susceptibilidad magnética se identifican focos hemorrágicos hipointensos cercanos, en el campo de irradiación (f).
Ante estos hallazgos, el diagnóstico diferencial podría incluir neoplasias quísticas, lesiones infecciosas o lesiones isquémicas. Las neoplasias exclusivamente quísticas son excepcionales en el cerebro, y la ausencia de captación o de edema hacen muy improbable este diagnóstico. En el caso de las lesiones infecciosas, como un absceso, la ausencia de sintomatología asociada o de restricción de la difusión permiten su descarte. La ausencia de otras alteraciones en la sustancia blanca, adyacente o a distancia, así como el crecimiento progresivo de este espacio favorecen el diagnóstico de EVR frente a lesión isquémica lacunar.
Todo lo anteriormente expuesto refuerza el diagnóstico de un hallazgo benigno como es el de un EVR dilatado de nueva aparición en el campo de RT. Su localización, dentro del campo de RT, y el tiempo de aparición en relación con la misma (unos 5 años), que coindice con lo descrito en casos similares por Gopinath et al.6 y Mark et al.7 (tabla 1), nos lleva a considerar como primera posibilidad que el tratamiento ha inducido la aparición de este hallazgo.
Casos similares descritos en la literatura
| Artículo | N.° de casos | Tiempo de aparición tras RT (años) | Localización | Dosis total (Gy) |
|---|---|---|---|---|
| Gopinath et al.6 | 1 | 5 | Ganglios basales, bilateral | No se indica |
| Mark et al.7 | 2 | 6 | Ganglios basales, unilateral | 54 |
| 8 | Ganglios basales, unilateral | 54 |
RT: radioterapia.
En conclusión, el conocimiento de los mecanismos por los que actúa la RT sobre el SNC y la evidencia referida anteriormente nos hacen pensar en la radiación como causa de la dilatación de los EVR. Aunque se trate de un hallazgo sin significación patológica, es importante tenerlo en cuenta dentro del diagnóstico diferencial en el contexto de un paciente tratado con RT para evitar confundirlo con diagnósticos alternativos que podrían requerir otro tipo de actuación, con potenciales efectos perniciosos.
FinanciaciónNo se ha recibido financiación para la elaboración de este manuscrito.






