Historia clínica
Se trata de un paciente de 35 años que es llevado al hospital por presentar un brote psicótico y agitación. Llegó al aeropuerto procedente de Colombia. A la exploración estaba taquicárdico, hipertenso, con fiebre de 38,3° C y con midriasis pupilar. Ante la sospecha de una intoxicación se realizó una analítica basal y una determinación de los niveles de tóxicos en sangre.
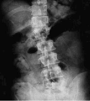
Dada la procedencia del paciente y la sospecha diagnóstica se le realizó una radiografía abdominal (fig. 1), en donde se vieron a nivel del estómago y distribuidas por todo el intestino múltiples imágenes cilíndricas.
Fig. 1.
En la analítica destacaban unos niveles de cocaína de >10.000 ng/ml, diagnosticándose de ingesta de múltiples bolsas de cocaína y sobredosis secundaria a la rotura de una de ellas. Se le administró una solución evacuante, tras la cual el paciente presentó obstrucción intestinal, siendo necesario intervenirle de urgencia.
El paciente llevaba 80 bolsas de cocaína de 10 gramos cada una.
Comentario
La cocaína es un alcaloide natural que se encuentra en las hojas de la planta Erythroxylon coca. Este arbusto se cultiva en México y el norte de Sudamérica (Colombia y Perú son los principales productores)1, así como en las Antillas e Indonesia.
El abuso de cocaína puede ser de diferentes clases: clorhidrato de cocaína (polvo que se ingiere o se esnifa y generalmente se adultera con azúcar, cafeína, talco, anfetaminas, lidocaína, estricnina, etc.; si se disuelve de forma adecuada puede utilizarse vía intravenosa) y el crack (forma sólida de la cocaína alcaloide).
La dosis letal media de cocaína es variable. Por vía oral la dosis media con efectos letales oscila entre 500 y 1.000 mg; los consumidores crónicos pueden llegar a tolerar hasta 10 g diarios sin resultados adversos.
Los signos clínicos resultantes de la intoxicación por cocaína son midriasis, taquicardia, hipertensión, hipertermia, sudación y agitación psicomotora.
Las complicaciones más frecuentes son:
1) Dentro del sistema cardiovascular: infarto agudo de miocardio, taquiarritmias ventriculares, estenosis de arterias coronarias y disección de aorta.
2) Dentro del sistema nervioso central: convulsiones, hemorragia intracerebral, infarto cerebral, vasculitis cerebral, síndrome de arteria medular anterior, euforia, paranoia, psicosis, accidente isquémico transitorio y oclusión de la arteria central de la retina2.
3) Dentro del sistema respiratorio: edema pulmonar, hipertensión pulmonar, parada respiratoria, tromboembolismo pulmonar, neumotórax, neumomediastino y hemoptisis2.
4) Además se asocia a rabdomiolisis, isquemia intestinal, etc.
El tratamiento de un paciente afectado por intoxicación aguda por cocaína se basa en benzodiacepinas y tratamiento sintomático (hipertermia con medidas físicas, la hipertensión con nitroprusiato, etc.). Nunca deben emplearse los bloqueadores beta ni los neurolépticos1, 2.
Los cuadros psicóticos, como el que presentó este paciente, pueden ser precipitados por el consumo de cannabis, cocaína, anestésicos, anticolinérgicos y abstinencia a hipnóticos. Los síntomas de una intoxicación por cocaína pueden ser similares a una meningitis, encefalopatía, epilepsia con estatus y una tirotoxicosis1.


