Caso clínico
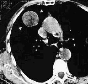
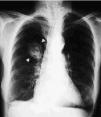
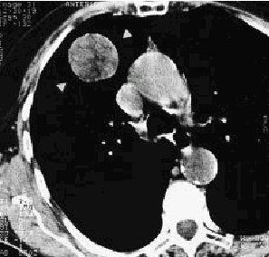
Mujer de 72 años que presenta como único antecedente personal de interés una tuberculosis pulmonar en la infancia. Refiere un cuadro clínico que tras ser minuciosamente estudiado es diagnosticado como neoplasia de colon izquierdo, decidiéndose realizar una hemicolectomía izquierda. En la radiografía preoperatoria de tórax se encuentra una masa en el lóbulo pulmonar superior derecho, de contornos bien definidos y sin calcificaciones (fig. 1). Ante la sospecha diagnóstica de una posible metástasis pulmonar se decide realizar una tomografía computarizada (TC) de tórax. En ella se visualiza una masa en el lóbulo pulmonar superior derecho, de contornos bien definidos y de un diámetro máximo de 4 cm, en cuyo interior se observan áreas de densidad partes blandas y múltiples áreas reticuladas hipodensas que muestran densidad correspondiente a grasa (fig. 2). Ante estos datos puede establecerse con fiabilidad el diagnóstico por TC de hamartoma pulmonar gigante. Tras su resección por minitoracotomía se confirma anatomopatológicamente que se trata de un hamartoma pulmonar de predominio condroide.
Fig. 1.
Fig. 2.
Comentario
Los tumores benignos del pulmón representan un porcentaje pequeño de los tumores primarios pulmonares. Entre éstos, predominan los hamartomas (75%), que suelen ser solitarios, tener predilección por el sexo masculino y presentar un pico máximo de aparición a los 60 años. Histológicamente están compuestos por una combinación de tejidos mesenquimales y epiteliales, entre los cuales destacan el tejido cartilaginoso, adiposo, conjuntivo mixomatoso y muscular liso. La mayoría de los hamartomas son intrapulmonares, pero no debe olvidarse que un pequeño porcentaje son endobronquiales. Suelen ser periféricos, de un diámetro inferior a 4 cm, de aspecto redondeado u ovalado y de contorno liso o ligeramente lobulado.
La matriz cartilaginosa de estos tumores puede calcificarse y originar la típica imagen radiológica en «palomitas de maíz» que, pese a no ser muy frecuente (20%), es patognomónica de hamartoma pulmonar. El dato más sensible en el diagnóstico por TC es la presencia de densidad grasa en su interior (50%).
Los hamartomas pueden presentarse de forma solitaria, o bien asociados a otras enfermedades formando parte de la tríada de Carney o del síndrome de hamartoma pulmonar.
El diagnóstico diferencial básico debe incluir el resto de los tumores pulmonares benignos, enfermedades granulomatosas y metástasis pulmonares (como en este caso). La actitud terapéutica ante un hamartoma suele ser simplemente su observación y seguimiento. No obstante, si éste produce sintomatología (tos, hemoptisis), crece con rapidez o bien es difícil descartar su naturaleza maligna, se procede generalmente a su extirpación quirúrgica.
Bibliografía recomendada
Hansen CP, Holtveg H, Franxis D, Rasch L, Bertelsen S. Pulmonary hamartoma. J Thorac Cardiovasc Surg 1992; 104:674-678.
Meyer CA, White CS. Cartilaginous disorders of the chest. Radiographics 1998; 18:1.109-1.123.
Ramírez-Chávez G, Trucy E, Félix-Page D. Le diagnostic des hamartomes pulmonaires. Ann Radiol 1985; 28:35-42.
Reed JC. Radiología torácica. Patrones radiológicos y diagnóstico diferencial (2.a ed). Barcelona: Doyma, 1985.
Sigelman SS, Khouri NF, Scott WW Jr, Leo FP, Hamper UM, Jishman EK, Zerhoumi E. Pulmonary hamartoma: CT findings. Radiology 1986; 160:313-317.



