INTRODUCCION
Presentamos un caso clínico infrecuente en la consulta de Atención Primaria. Se trata de una enfermedad de Crohn (EC) con afectación ileocólica, cuyo interés radica en su forma de presentación: predominio de manifestaciones generales (fiebre vespertina, pérdida ponderal, anorexia, astenia e impotencia funcional de miembros inferiores), frente a manifestaciones digestivas.
Sería interesante recordar que debemos incluir a la enfermedad inflamatoria intestinal en el diagnóstico diferencial de una fiebre de origen desconocido, especialmente en personas jóvenes (existe un pico de incidencia de la patología en la 2.a y 3.a década de la vida) independientemente de que la clínica no sea del todo clara hacia el proceso digestivo.
Nuestra labor en la consulta de Atención Primaria deberá ser iniciar el estudio abierto a todos los posibles diagnósticos para poder derivar a la atención hospitalaria lo más precozmente posible y con buena orientación diagnóstica.
EXPOSICION DEL CASO
Se trata de un varón de 29 años, fumador de 20 cigarrillos/día sin otros antecedentes de interés. Consulta por presentar desde hace un mes fiebre vespertina diaria de hasta 38,5° que cede con antipirético, pérdida de 7 Kg, astenia y anorexia. Presenta, también desde hace un mes, impotencia funcional en miembro inferior derecho con coxalgia esporádica sin alteraciones en la sensibilidad. Refiere deposición diarreica diaria sin productos patológicos asociados ni dolor abdominal, de predominio diurno, aunque en el último mes ocasionalmente no le respetaba el descanso nocturno, que el paciente achacaba a sus alteraciones del hábito intestinal de años de evolución atribuidas a colon irritable.
En la exploración física sus constantes y su estado nutricional eran normales, coloración de piel y mucosa normal, bien hidratado. No se palpan adenopatías laterocervicales ni supraclaviculares, ni hay evidencia de bocio. La auscultación cardiopulmonar no presentaba alteraciones. Abdomen blando, depresible, no doloroso, no se palpan masas ni visceromegalias, ruidos intestinales aumentados. Extremidades inferiores sin edemas, pulsos conservados y simétricos y exploración neurológica sin alteraciones significativas.
Tras la evaluación clínica inicial se inició en Atención Primaria el siguiente estudio analítico que incluyo: hemograma con velocidad de sedimentación globular (VSG), bioquímica incluyendo enzimas hepáticas, bilirrubina, lactato deshidrogenasa (LDH) y proteína C reactiva, hormonas tiroideas, estudio de coagulación, prueba de Mantoux, radiografía de tórax, coprocultivo, urocultivo, serología de Brucella, determinación de anticuerpos anti VIH y ecografía abdominal.
Los resultados del hemograma fueron: hemoglobina 13,6 g/dl (velocidad corpuscular media 85fl, CHCM 33 g/dl), leucocitos 13.610 (N:81,3%, L:11,9%), plaquetas 358.000/μl y la velocidad de sedimentación globular (VSG) de 76 mm/1.a hora. El resto del estudio analítico fue normal excepto la proteína C reactiva que era de 117,7 mg/l, el fibrinógeno de 641,10 mg/dl y el hierro que era de 13 μl/dl. La radiografía de tórax y la ecografía abdominal fue normal. Mantoux, cultivos y serología negativos.
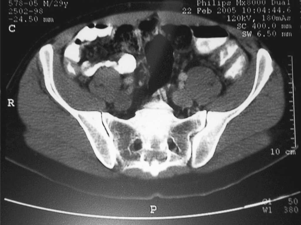
Se deriva al paciente para continuar estudio hospitalario donde se solicita nuevo estudio analítico, frotis sanguíneo, proteinograma, inmunoglobulinas, anticuerpos antinucleares, hemocultivos seriados, serología de C. burnetii, lúes, Salmonella, citomegalovirus, virus de Epstein Barr, Legionella, ecocardiograma y tomografía axial computarizada toracoabdominal. Todos los resultados analíticos fueron normales excepto el aumento de reactantes de fase aguda (VSG 95 mm/1.a hora, proteína C reactiva de 78,7 mg/l), los hemocultivos y serologías fueron negativas, el ecocardiograma dentro de la normalidad. En la tomografía axial computarizada (fig. 1) apareció un engrosamiento circunferencial de las paredes del ciego, colon ascendente, trasverso y partes del descendente, con estenosis de la luz, estos hallazgos son muy sugestivos de enfermedad inflamatoria intestinal siendo menos probables otros diagnósticos como linfoma intestinal, tuberculosis intestinal, enterocolitis infecciosas...
Figura 1. Tomografía axial computarizada toracoabdominal.
Se realizó colonoscopia, en colon izquierdo hasta ángulo esplénico se aprecian zonas edematosas salteadas, más continuas en descendente proximal. En algunas de ellas se aprecian pequeñas úlceras aftoides de 1 cm. Transverso distal poco afectado. Desde la mitad de trasverso hasta ángulo hepático se aprecia marcado edema de toda la mucosa salpicado de ulceras aftoides y serpiginosas de hasta 2 cm; siendo el diagnóstico endoscópico compatible con enfermedad de Crohn, confirmándose con las muestras tomadas para biopsia. Se solicita tránsito intestinal (fig. 2) donde aparece la afectación de íleon terminal.
Figura 2. Tránsito intestinal.
Evolución. Se inicia tratamiento con corticoides y soporte nutricional. La respuesta al tratamiento fue satisfactoria desapareciendo la fiebre, habiendo ganancia ponderal y deposiciones normales; los reactantes de fase aguda disminuyeron. Respecto a la afectación de miembro inferior derecho se etiquetó como espondiloartropatía seronegativa asociada a EC habiendo también mejoría clínica.
Diagnóstico. Enfermedad de Crohn ileocólica con patrón inflamatorio.
DISCUSION
La enfermedad de Crohn es un trastorno inflamatorio crónico y recurrente del tubo digestivo con afectación preferente del íleon terminal y el colon. La incidencia de la patología que ha presentado nuestro paciente se sitúa en España en 5,5/100.000 habitantes y año, sin que se hayan encontrado diferencias significativas entre distintas zonas geográficas de nuestro país1. La causa desencadenante es aún desconocida, aunque parece ser el resultado de complejas interacciones entre factores ambientales, predisposición genética y alteración en la regulación de la respuesta inmunitaria2.
Los síntomas3 de presentación más frecuente son la diarrea, que en el 25% de los pacientes con EC apararecerá asociada a rectorragia, y que en pacientes con afectación de la función motora del colon descendente o por la estenosis puede ocasionar estreñimiento. El dolor abdominal depende de la localización de la enfermedad y de su patrón clínico, en pacientes con afectación ileal el dolor suele ser de intensidad leve o moderada, de carácter cólico y de localización en fosa ilíaca derecha; en la afectación gástrica o duodenal puede ser el dolor indistinguible del de la úlcera péptica; los pacientes con afectación del colon presentan dolor en hemiabdomen inferior. La fiebre suele ser inferior a 38,5° y constituye una manifestación del proceso inflamatorio. La pérdida de peso, que suele ser del 10% al 20% del peso corporal, se atribuye a los déficit nutricionales secundarios a la malabsorción y al aumento de la actividad catabólica. Es frecuente encontrar lesiones perianales, entre las que se encuentran fisuras, abscesos o fístulas perianales. Además de las manifestaciones clínicas relacionadas con la inflamación intestinal, la EC se caracteriza por la presencia de manifestaciones extraintestinales, cutáneo-mucosas, oculares, osteoarticulares, hepatobiliares, pancreáticas, hematológicas y circulatorias entre otras, que pueden preceder, acompañar o comportarse de forma independiente de la enfermedad intestinal subyacente4.
El diagnóstico de la EC se basa en datos clínicos, radiológicos, endoscópicos y anatomopatológicos, ninguno de ellos patognomónicos, si bien la presencia de granulomas no caseificantes resulta de gran valor diagnóstico. Se deben descartar causas infecciosas, neoplasias y otros procesos que cursan con inflamación intestinal que pueden remedar hallazgos característicos de la EC5.
Respecto al tratamiento de la EC, hay que tener claro que se trata de una enfermedad que no podemos curar pero sí controlar, y en cuyo curso se alternan periodos de actividad clínica con otros de inactividad. Al aplicar el tratamiento puede ocurrir tres cosas: la primera es que tengamos éxito, permitiendo la retirada de los fármacos y quedando el paciente en remisión. La segunda es que reaparezca la actividad clínica cuando suspendamos el tratamiento, siendo preciso mantenerlo o reintroducirlo de forma precoz (cuando utilizamos corticoides estaremos hablando de corticodependencia)6. La tercera situación es que no consiga abolir la actividad, entonces hablamos de enfermedad corticorrefractaria. En estas dos situaciones requerirán un manejo terapéutico especial con utilización de inmunosupresores y, si fracasan éstos, con infliximab7.
Correspondencia: I. Pérez Sánchez.
C/ Hermanos Segura Covarsi N.o 1 4.o D. 06011 Badajoz. España.
Correo electrónico: nachoperezs@terra.es
Recibido el 30-03-05; aceptado para su publicación el 29-07-05.





