Mujer de 53 años de edad diagnosticada de parálisis del plexo braquial derecho tras un accidente de tráfico e hiperhidrosis estudiada de causa no filiada, sin otros antecedentes personales ni familiares de interés, en seguimiento y estudio en nuestra consulta de Atención Primaria debido a hipertransaminasemia.
La paciente ha seguido revisiones periódicas, detectándose en la analítica cifras de alaninoaminotransferasa (ALT) de 46 U/l, gammaglutamiltranspeptidasa (GGT) de 114 U/l y fosfatasa alcalina de 219 U/l.
La exploración física sin hallazgos patológicos. Se inicia un estudio de virus hepatótropos detectándose: serología de virus de la hepatitis B (VHB) compatible con un contacto anterior, prueba del virus de la hepatitis C (VHC) negativa, virus Epstein-Barr, citomegalovirus y toxoplasma negativos y el resto de la bioquímica sin alteraciones significativas.
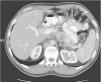
La ecografía abdominal mostró una masa adyacente a la unión de la cabeza del páncreas con proceso uncinado y la tomografía axial computarizada (TAC) abdominal confirmó la presencia de un posible adenocarcinoma del proceso uncinado de páncreas de 3 por 2 cm (fig. 1).
Figura 1. Tomografía axial computarizada abdominal que muestra lesión en proceso uncinado de páncreas.
Con estos hallazgos se remite a la paciente a la consulta del servicio de cirugía, siendo intervenida quirúrgicamente y realizándose una gastro-duodeno-pancreatectomía cefálica. El estudio anatomopatológico mostró la existencia de un tumor endocrino pancreático con características de comportamiento incierto y el estudio inmunológico dio los siguientes resultados: pancreatinas tipo AE1/AE3, sinaptofisina, cromogranina y polipéptido pancreático (PP) fueron positivos; insulina, glucagón, péptido intestinal vasoactivo (VIP), somatoslina, gastrina, hormona adrenocorticotropa (ACTH), calcitonina y serotonina negativas.
Segundo caso clínicoVarón de 34 años de edad que consulta en Urgencias por un síndrome constitucional en forma de astenia y pérdida de peso de 4-5 kilogramos de 3 semanas de evolución, epigastralgia de características inespecíficas y síntomas cardinales de diabetes en los últimos 15 días.
En la anamnesis destaca antecedente personal de vitíligo desde hace 5 años y en la exploración física se palpa zona indurada y dolorosa en la región epigástrica. Se observa glucemia de 310 mg/dl y cetosis sin datos de acidosis. El resto de la bioquímica no presentaba alteraciones significativas. El paciente es ingresado para el tratamiento de la diabetes de reciente diagnóstico y el estudio de la epigastralgia.
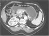
La ecografía abdominal mostró grandes adenopatías peripancreáticas. Se realizó la TAC abdómino-pélvica que mostró conglomerados adenopáticos de más de 4 cm (algunos necróticos) localizados en la salida del tronco celíaco, arteria mesentérica superior que rodea completamente el parénquima pancreático y con discreta dilatación del conducto pancreático, probablemente por compresión (fig. 2). El rastreo de la tomografía por emisión de fotón único (SPECT) somatostatina mostró una lesión no captante.
Figura 2. Tomografía abdominal que muestra múltiples adenopatías peripancreáticas.
La biopsia de la adenopatía peripancreática mostró hallazgos sugestivos de tumor neuroendocrino con estudio inmunohistoquímico de origen incierto: pancreatinas tipo AE1/AE3, positivo y marcadores sinapnatofisina, CD56, CD57, serotonina, glucagón, insulina, PP, somatostatina, gastrina, ACTH y calcitonina negativas, así como VIP y cromogranina positivas de forma irregular y heterogénea, respectivamente.
Se decide realizar un seguimiento ambulatorio por el servicio de oncología tras la corrección de los niveles glucémicos. El paciente fue sometido a cuatro sesiones de quimioterapia con triple terapia: adriamicina, estreptozotocina y 5 fluoruracilo (FU), tras una mala respuesta al tratamiento se decidió recurrir a la cirugía, siendo imposible la resección completa del tumor. Se han intentado nuevos tratamientos con sunitib, bevacizumab y somatulina que fueron suspendidos por diarreas. Actualmente se encuentra en tratamiento con interferón (IFN) alfa 5 millones de unidades (MU) por superficie corporal con progresión tumoral.
COMENTARIOSLos tumores neuroendocrinos de origen pancreático típicamente se presentan en la edad adulta, con un pico de incidencia entre los 30 y 60 años, como en nuestros pacientes, aunque se han descrito casos en todas las edades1,2. En ocasiones se asocian a síndromes endocrinos, como en nuestro segundo caso, y desde el punto de vista inmunohistoquímico pueden presentarse con características de comportamiento incierto como los descritos en nuestra presentación3.
El papel de los profesionales de Atención Primaria es fundamental en el estudio inicial del paciente, al constituir el primer nivel de atención y puerta de entrada al sistema sanitario. Estos casos clínicos nos muestran la importancia de un correcto estudio etiológico de la hipertransaminasemia y los síndromes constitucionales.
La incidencia en España es desconocida4, así como el impacto en cuanto a la morbimortalidad, por lo que es importante colaborar con grupos de investigación en un contexto nacional, interdisciplinario y científico para mejorar el diagnóstico, registro y tratamiento de estos tumores.
Corespondencia: M. Frías Vargas. C/ Pablo Lafargue 3, 4ºC. 28017 Madrid. Correspondencia: drfrias_v@hotmail.com
Recibido el 24-04-08; aceptado para su publicación el 18-09-08.





