Presentamos el caso de un varón de 13 años con sintomatología de dolor en el retropié de varios meses de evolución, bultoma en el talón y cojera cada vez más incapacitante. No refería ningún antecedente traumático. Tras tratamiento analgésico y reposo el cuadro no mejoró. Se realizaron radiografías de tobillo y posteriormente resonancia magnética (RM).
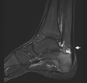
En la radiografía lateral (fig. 1) se apreciaba una prominencia de la tuberosidad posterior del calcáneo, que tras realizar varias mediciones se clasificó como deformidad de Haglund, y una lesión lítica en la cortical de su superficie posterior. En la RM (fig. 2) se visualizó una bursitis retrocalcánea, engrosamiento del tendón aquíleo, con una hiperintensidad de señal lineal intratendinosa en secuencia de supresión grasa, indicativa de rotura parcial, y aumento de intensidad en la región posterior del calcáneo en la misma secuencia, compatible con edema óseo. Estos hallazgos se clasificaron como síndrome de Haglund, diagnóstico que se confirmó quirúrgicamente.
El síndrome de Haglund es una de las causas de atrapamiento posterior del tobillo1. Existen varias teorías sobre su patogenia. Según algunos autores, la contracción continua del complejo gemelo-sóleo produce un atrapamiento del tendón aquíleo y la bursa retrocalcánea contra una tuberosidad posterosuperior del calcáneo aumentada de tamaño1. Otros autores postulan que el proceso comienza por una rigidez externa en el talón, que comprimiría la bursa retroaquílea contra el hueso; la tuberosidad calcánea aumentaría de tamaño como respuesta a la irritación crónica, y a su vez vuelve a comprimir la bursa y el tendón aquíleo, provocando así un ciclo de agresión-respuesta a la agresión-nueva agresión2.
El factor predisponente más frecuente es el calzado ajustado. De hecho, Patrick Haglund, el cirujano ortopédico que describió por primera vez este síndrome en 1928, destacaba la elevada prevalencia de este entre la «gente culta», pues usaban un calzado muy ceñido para jugar al hockey y al golf3. Otros posibles factores predisponentes son un arco plantar aumentado, un tendón demasiado tenso y cualquier otra situación que favorezca la fricción entre el tendón y el hueso4.
La deformidad de Haglund es una alteración en la morfología del calcáneo, que forma una prolongación ósea vertical en la tuberosidad posterosuperior. Aunque se han propuesto varios criterios de medida para diagnosticarla, el método más usado es el de las líneas de inclinación paralelas (parallel pitch lines, PPL). Consiste en trazar una línea tangente a la superficie inferior del calcáneo, y otra paralela a ésta en la cara superior, a la altura del punto más alto de la cara posterior de la superficie de la articulación subastragalina3. Si la tuberosidad supera esta línea se puede considerar deformidad de Haglund2.
El síndrome de Haglund produce una sintomatología orientativa, con un característico aumento de partes blandas en el talón, dolor focal en la inserción del tendón de Aquiles y dorsiflexión dolorosa del pie.
Habitualmente el estudio radiológico comienza y termina con la radiografía lateral de tobillo, sobre todo si se aprecia una deformidad de Haglund y alteración en la grasa de Kager. La RM se suele reservar para casos que no mejoran con el reposo o dudosos.
El hallazgo clásico es la tríada tendinitis aquílea, bursitis retrocalcánea y deformidad de Haglund. También se puede apreciar líquido en la bursa retroaquílea. El tendón de Aquiles está engrosado en su inserción y su afectación puede incluir la degeneración mucosa o la rotura parcial. Como tendinitis insercional, no es raro apreciar edema óseo en la región posterior del calcáneo5. Nuestro caso tiene la particularidad de presentar una erosión en la cortical de la región posterosuperior del calcáneo, descrita en casos de bursitis retrocalcánea de largo tiempo de evolución4.
En el diagnóstico diferencial se debe incluir la xantomatosis (produce un engrosamiento parecido del tendón de Aquiles), algunas entesitis (como el síndrome de Reiter), y las artritis gotosa y reumatoide, que pueden provocar un aumento de partes blandas similar.
Este cuadro suele ceder con el tratamiento médico conservador. Si a los 6 meses no lo ha hecho, se plantea el tratamiento quirúrgico. Éste consiste en un procedimiento abierto, mediante el cual se retira la bursa retrocalcánea y se reseca la deformidad de Haglund. El resultado suele ser bueno en la gran mayoría de los casos4.





