La granulomatosis de Wegener es una vasculitis sistémica primaria granulomatosa con afectación del tracto respiratorio superior e inferior, glomerulonefritis y vasculitis de vasos de pequeño calibre. La afección pulmonar abarca desde nódulos pulmonares asintomáticos a infiltrados pulmonares y hemorragias alveolares fulminantes.
El pronóstico es malo debido a insuficiencia renal o respiratoria, aunque las cifras han cambiado gracias a los nuevos tratamientos con glucocorticoides y ciclofosfamida.
Se presenta un caso con afectación pulmonar severa que tras adecuada anamnesis, múltiples pruebas y un óptimo proceso secuencial de actuación se diagnostica de la enfermedad descrita previamente.
Es una enfermedad con baja incidencia en urgencias, donde la anamnesis del paciente nos ofrece una sospecha diagnóstica apoyada por las pruebas complementarias precisas. Es importante conocer y dominar el manejo de la estabilidad de este tipo de pacientes que permita una resolución de los síntomas por los que acuden a urgencias.
Wegener's granulomatosis is a systemic vasculitis with involvement of primary granulomatous upper and lower respiratory tract, glomerulonephritis and vasculitis of small vessels. The lung disease ranges from asymptomatic pulmonary nodules to pulmonary infiltrates and fulminant alveolar haemorrhage.
The prognosis is poor due to kidney and respiratory failure, although the data are changing due to new treatments with glucocorticoids and cyclophosphamide.
We report a case with severe lung disease, which after appropriate anamnesis, multiple tests, and optimal sequential action, the patient was diagnosed with Wegener's granulomatosis.
This disease has a low incidence in the Emergency Department, where the patient history supported by the appropriate additional provides a diagnostic suspicion. It is important that the Emergency Department has the skills to manage the stability in these patients in order to resolve their symptoms.
La granulomatosis de Wegener es una enfermedad de origen desconocido que se distingue por un complejo clínico-patológico en el contexto de una vasculitis granulomatosa de las vías respiratorias altas y bajas, glomerulonefritis y grados variables de vasculitis de vasos de pequeño calibre.
En 1931, Heinz Klinger describió el primer caso. En 1954, Jacob Godman et al. ampliaron estos conceptos y depuraron los aspectos patológicos de la enfermedad. En los años 1980 se observó que los anticuerpos citoplásmicos antineutrófilos (ANCA), tenían especificidad del 95% para el diagnóstico; también se encontró que los anticuerpos dirigidos contra la proteinasa 3 (PR3) se correlacionaban con la existencia de ANCA y de este tipo de granulomatosis1.
Se trata de una enfermedad poco frecuente, es decir, con baja incidencia de presentación en el área de urgencias, donde los datos obtenidos durante la anamnesis del paciente, junto con la suma de signos y síntomas clínicos evidentes, después de varias asistencias del paciente, nos ofrecen una importante sospecha diagnóstica2.
Durante su ingreso en urgencias o en otras áreas hospitalarias se completa su estudio con otras pruebas complementarias necesarias que nos encaminarán a un juicio clínico definitivo complicado por la falta de familiaridad y experiencia en estas enfermedades «raras».
Los síntomas presentes de la granulomatosis de Wegener se relacionan con la afectación de forma característica del tracto respiratorio superior (nariz, senos paranasales y oídos) donde la otitis serosa media es la manifestación ótica más común, seguida de la pérdida auditiva de tipo conductivo, perforaciones timpánicas, lesiones del oído medio y condritis. También es frecuente la afectación del tracto respiratorio inferior y los riñones, completando todo ello la tríada clásica de esta enfermedad1–3.
La afección pulmonar abarca desde la presencia de nódulos pulmonares asintomáticos a infiltrados pulmonares y hemorragias alveolares fulminantes. La afectación renal más habitual es la presencia de glomerulonefritis segmentaria necrosante, aunque también es frecuente la presencia de una glomerulonefritis proliferativa. Otros órganos afectados pueden ser las articulaciones, la piel (púrpura palpable, úlceras, nódulos subcutáneos), sistema neurológico (mononeuritis múltiple, neuropatías periférica, meningitis), sistema vascular y síndrome constitucional (fiebre, astenia, anorexia y pérdida de peso)1–5.
La importancia del papel del médico de urgencias, por tanto, se basa en el conocimiento y dominio en la realización de una adecuada historia clínica, recopilando información acerca de los síntomas característicos de la enfermedad y en el proceso que se sigue para ir desarrollando un buen diagnóstico diferencial, aplicando un tratamiento inicial y un soporte adecuado para la estabilización del paciente, que debe resultar ser el óptimo para la enfermedad que presente el paciente.
El objetivo de este caso clínico es ilustrar la presentación, diagnóstico, tratamiento y evolución de una paciente con granulomatosis de Wegener, incidiendo en el manejo adecuado en la unidad de urgencias.
Presentación del casoPaciente mujer de 41 años, de nacionalidad española, casada con 2 hijos de 4 y 7 años, que acudió al área de Policlínica del Servicio de Urgencias del Hospital Civil (PabellónC del Hospital Regional Universitario Carlos Haya de Málaga) en febrero de 2012 refiriendo un cuadro de aproximadamente 7 días de evolución de debilidad generalizada, astenia intensa y disnea progresiva hasta hacerse de mínimos esfuerzos.
Durante la anamnesis por aparatos destacaba un hábito intestinal estreñido con presencia de heces de características melénicas ocasionales y acompañado de una pérdida de peso no cuantificada durante los últimos 3 meses. No presentaba fiebre termometrada previa a la consulta, según nos indicó. Comentaba también la alta frecuencia de menstruaciones muy intensas, aunque lo consideraba como situación habitual.
Como antecedentes personales presentaba varias consultas recientes a urgencias por dolores articulares difusos e inflamaciones articulares de las manos inespecíficas que se encontraban en estudio desde hacía 2 meses por parte de reumatología en consultas externas. Además acompañaba una pérdida de audición secundaria a un proceso ótico infeccioso aparente según se definió en principio, y en espera de valoración por otorrinolaringología.
A su llegada a urgencias las constantes fueron de una presión arterial en torno a 100/60mmHg, una frecuencia cardíaca de 125 lat./min, una saturación de oxígeno basal del 85%, una frecuencia respiratoria en torno a 25 respiraciones por minuto y sin fiebre.
En la exploración física en consulta, con buena y correcta intimidad del paciente, se evidenció mal estado general de la paciente y palidez mucocutánea, con taquipnea ante mínimos esfuerzos y en la auscultación se evidenció una taquicardia rítmica sin extratonos o soplos y con murmullo vesicular conservado con crepitantes en ambas bases pulmonares.
Las pruebas complementarias realizadas fueron una analítica de sangre donde destacaba una hemoglobina igual a 7,4g/dl, hematócrito del 24,1%, VCM 85,1 u.cúbico, HCM 26,1pg, plaquetas 551.000/μl y leucocitos 12.920/μl con fórmula leucocitaria normal, hemostasia con tiempo de protrombina del 74%, INR igual a 1,17, y una bioquímica de sangre con glucosa 135mg/dl, creatinina 1,1mg/dl, sodio 141mEq/dl, potasio 3,3mEq/dl y PCR 235.
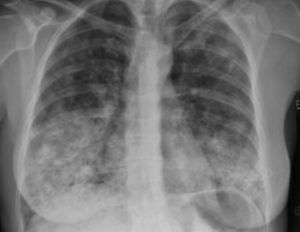
Se realiza electrocardiograma donde presentaba taquicardia sinusal a 120 lat./min con eje normal, sin otras alteraciones observadas. En la radiografía de tórax al ingreso (fig. 1) presentó varios infiltrados bilaterales bronquioalveolares de predominio en bases pulmonares y con imágenes de aspecto nodulares distribuidas por ambos campos pulmonares. La radiografía de abdomen no mostró ninguna alteración significativa.
Ante la clínica relatada por la paciente, los signos y síntomas de presentación durante la anamnesis realizada y tras los primeros resultados analíticos solicitados se consensuó su ingreso en el área de observación para una adecuada monitorización y un correcto tratamiento aplicado. Se planteó el diagnóstico de presunción inicial de síndrome anémico secundario a hemorragia digestiva alta secundaria a la ingesta de antiinflamatorios no esteroideos por sus múltiples dolores e inflamaciones articulares referenciadas previamente. Se solicitaron concentrados de hematíes, aunque ante la ausencia de melenas evidentes en la exploración (tacto rectal) y ausencia de otros focos de sangrado evidentes se mantuvo una actitud conservadora frente al estudio gastroscópico. Se pautó tratamiento con un inhibidor de la bomba de protones.
Se inició tratamiento con antibioterapia de amplio espectro con ceftriaxona ante la sospecha infecciosa, corticoides intravenosos a altas dosis con prednisona y se realizó transfusión de 2 bolsas de concentrados de hematíes ante la anemia evidente en analítica, presentando mejoría clínica en las primeras horas tras el ingreso.
Durante su ingreso en observación se evidenció pico febril, y se cursaron cultivos de sangre y orina que resultaron ambos negativos. Así mismo se obtuvieron muestras de esputo inducido tras presentar un episodio observado de hemoptisis autolimitado, siendo su resultado negativo para los cultivos de auramina, para neumocistis y para bacterias convencionales. Se solicitaron determinaciones analíticas de marcadores hepáticos tales como VIH, hepatitis B y C, con resultados también negativos todos, y se añadió también un amplio estudio de autoinmunidad (siendo los ANA negativos, c-ANCA positivos, MPO negativo y PR3 positivos).
Se determinó la necesidad de realizar estudio radiológico mediante tomografía computarizada (TC) de tórax para diferenciar las imágenes inespecíficas encontradas en la radiografía simple describiéndose las lesiones como infiltrados con broncograma aéreo de predominio basal bilaterales, compatibles con edema de pulmón no cardiogénico y adenopatías mediastínicas sin posibilidad de valoración. Estos hallazgos nos condujeron a descartar un posible distrés respiratorio secundario a cuadro infeccioso o sangrado (vasculitis).
Formaron parte del diagnóstico diferencial de nuestro caso las infecciones pulmonares que se descartaron por los hallazgos radiológicos y analíticos obtenidos y tras valoración por especialistas de medicina interna y radiología. Se descartó la presencia de un proceso tumoral metastásico secundario a carcinoma bronquiolo-alveolar en relación con posible enfermedad digestiva causante de heces melénicas referidas tras tomografía computarizada de tórax. Se barajó enfermedad inmunológica ante los nódulos evidentes en las imágenes pulmonares de nódulos reumatoides, apoyado por los antecedentes personales de poliartritis y poliartralgias previas eliminada tras resultados analíticos. Por el mismo motivo, también se eliminó la posibilidad de alguna enfermedad metabólica, como la amiloidosis, que pueden coexistir con enfermedades reumatológicas. La tromboembolia pulmonar ante una disnea de mínimos esfuerzos con saturación basal baja en una paciente joven fue otra posibilidad planteada y descartada tras la analítica presentada con valores de dímero-D normalizados, ya que poseen un muy alto valor predictivo negativo.
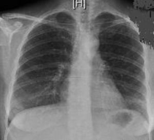
Tras la estabilización hemodinámica de las primeras horas del ingreso en observación, la paciente presentó deterioro respiratorio intenso y progresivo requiriendo soporte ventilatorio mediante ventilación mecánica no invasiva tipo BIPAP. Por la situación clínica de gravedad de la paciente y los hallazgos analíticos y radiológicos obtenidos hasta ese momento, sin un claro juicio clínico definido, se comentó el caso con la unidad de cuidados intensivos y se procedió al ingreso a su cargo donde presentó mejoría progresiva respiratoria en los días posteriores y donde se mantuvieron unas saturaciones de oxígeno del 95% con gafas nasales, sin sensación de disnea añadida. Al no presentar signos de infección durante el ingreso se suspendieron los antibióticos al séptimo día. La radiografía torácica simple fue mejorando progresivamente, en posible relación con la administración de corticoides hasta presentar una imagen al alta casi sin alteraciones (fig. 2).
Ante la enfermedad respiratoria de base, una vez estabilizada, se procedió al traslado de la paciente a la planta de neumología, donde se valoró y completó el estudio de la enfermedad en espera de la correcta evolución y resolución del cuadro clínico presente. Con ayuda de los hallazgos que se obtuvieron en los estudios realizados o iniciados en el área de urgencias y las pruebas inmunológicas específicas que se realizaron posteriormente, se llegó al diagnóstico final de granulomatosis de Wegener con hemorragia alveolar masiva acompañante.
Durante la realización de este caso clínico se aseguraron la completa confidencialidad de la paciente, así como de todos sus datos en las pruebas complementarias realizadas, y las fotos ilustrativas presentadas, protegiendo su identificación en todo momento.
DiscusiónLa granulomatosis de Wegener es una vasculitis sistémica primaria granulomatosa localizada en el tracto respiratorio superior e inferior, asociada a glomerulonefritis. Puede aparecer a cualquier edad con una prevalencia de 3:100.000 personas y mayor incidencia alrededor de los 40 años, con una relación 2/1 hombre/mujer6,7.
Clínicamente, suele iniciarse por una afección de vías respiratorias altas (sinusitis, epistaxis, hemoptisis) siendo frecuente el daño ótico, incluso el 85% de los pacientes sufren otitis media. En nuestro caso, la clínica otológica precede al cuadro respiratorio agudo donde la granulomatosis provocó otitis media, razón por la que la paciente buscó atención otorrinolaringológica sin resultados. Otras alteraciones que se pueden presentar son la sordera neurosensorial, lesiones orales, poliartralgias, artritis, alteración del estado general, pérdida de peso, anorexia y astenia2,3.
Radiológicamente, pueden hallarse infiltrados bilaterales múltiples con nódulos que se localizan frecuentemente en los lóbulos inferiores y medios, y que miden entre 1 y 5cm de diámetro. Pueden cavitarse o tener patrones migratorios. Por lo regular, duran de 8 a 12 semanas, aunque se han informado casos más persistentes. Puede haber derrames pleurales, infiltrados alveolares difusos a consecuencia de una hemorragia alveolar, linfadenopatías hiliares y mediastínicas y daño intersticial. La TC de tórax define mejor estos hallazgos radiológicos. En el 10% de los casos puede desarrollarse una hemorragia pulmonar masiva por capilaritis alveolar, siendo esta la primera causa de hemorragia alveolar difusa, situación presente en nuestra paciente. La TC de tórax define mejor estos hallazgos radiológicos1.
En el laboratorio suelen aparecer parámetros elevados relacionados con una anemia normocítica con leucocitosis, trombocitosis, hipoalbuminemia, aumento de la velocidad de sedimentación globular y positividad de c-ANCA1.
Se ha descrito que la existencia de c-ANCA positivos tiene una especificidad del 98% y una sensibilidad del 66% para el diagnóstico; así mismo, la existencia de anticuerpos dirigidos contra la proteinasa 3 (PR3), positivos en este caso se correlaciona con la existencia de este tipo de granulomatosis. Sus títulos son importantes como marcadores de actividad de la enfermedad1,6.
La existencia de síntomas y signos clínicos compatibles es la que lleva al diagnóstico, siendo la confirmación definitiva efectuada mediante biopsia y estudio histopatológico de tejido pulmonar, nasal, sinusal, renal o cutáneo.
El tratamiento consiste en administración de inmunosupresores, ciclofosfamida, metrotrexato y altas dosis de corticoides intravenosos7.
El pronóstico de los pacientes con granulomatosis de Wegener generalizada que no son tratados es malo, ya que el 90% fallecen en poco tiempo, debido a insuficiencia renal o respiratoria. Las cifras de mortalidad se han modificado gracias a los nuevos tratamientos con los glucocorticoides y la ciclofosfamida. La muerte ocurre principalmente por insuficiencia renal, enfermedad pulmonar e infecciones1,3.
En nuestro quehacer diario nos encontramos muchas veces con el problema de no llegar a conocer la evolución completa de una determinada enfermedad. En este caso, llegamos a ser testigos a través de varias consultas previas en nuestro servicio y durante el ingreso final de la completa evolución natural de esta enfermedad. Por ello es muy importante conocer y dominar el manejo de la estabilidad de este tipo de pacientes con enfermedades «raras» y complicadas que permitan una resolución de los signos y síntomas por los que acuden al área de urgencias.
Responsabilidades éticasProtección de personas y animalesLos autores declaran que para esta investigación no se han realizado experimentos en seres humanos ni en animales.
Confidencialidad de los datosLos autores declaran que en este artículo no aparecen datos de pacientes.
Derecho a la privacidad y consentimiento informadoLos autores han obtenido el consentimiento informado de los pacientes y/o sujetos referidos en el artículo. Este documento obra en poder del autor de correspondencia.
Conflicto de interesesLos autores declaran no tener ningún conflicto de intereses.





